MYO1B Recombinant Rabbit Monoclonal Antibody [JE65-01]
cat.: HA721119
Product Type: Recombinant Rabbit monoclonal IgG, primary antibodies
Species reactivity: Human, Mouse, Rat
Applications: WB, IHC-P
Clonality: Monoclonal
Clone number: JE65-01
Form: Liquid
Storage condition: Shipped at 4℃. Store at +4℃ short term (1-2 weeks). It is recommended to aliquot into single-use upon delivery. Store at -20℃ long term.
Storage buffer: 1*TBS (pH7.4), 0.05% BSA, 40% Glycerol. Preservative: 0.05% Sodium Azide.
Concentration: 1ug/ul
Purification: Protein A affinity purified.
Molecular weight: Predicted band size: 132 kDa
Isotype: IgG
Immunogen: Recombinant protein within human MYO1B aa 916-1,136/1,136.
Positive control: C6 cell lysate, Mouse heart tissue lysate, Rat heart tissue lysate, A431 cell lysate, NIH/3T3 cell lysate, human lymph nodes tissue, human testis tissue, human colon carcinoma tissue, mouse liver tissue, rat liver tissue.
Subcellular location: Actin cytoskeleton, actin filament, myosin complex, early endosome, endosome membrane, extracellular exosome, plasma membrane, apical part of cell, brush border, cell periphery, cytoplasm, filopodium, microvillus, perinuclear region of cytoplasm, vesicle
Recommended Dilutions:
  WB
  IHC-P

1:1,000-1:5,000
1:200-1:500
Uniprot #: SwissProt: O43795 Human | P46735 Mouse | Q05096 Rat
Alternative names: MMI alpha MMI-alpha MMIa MYH 1c MYH-1c Myo1b MYO1B variant protein MYO1B_HUMAN Myosin I alpha myosin IB Myosin-Ib myr1 OTTHUMP00000165861 Unconventional myosin Ib
Images
HA721119_1.jpg Fig1: Western blot analysis of MYO1B on different lysates with Rabbit anti-MYO1B antibody (HA721119) at 1/1,000 dilution.

Lane 1: HAP1-parental cell lysate
Lane 2: HAP1-MYO1B KD cell lysate

Lysates/proteins at 10 µg/Lane.

Predicted band size: 132 kDa
Observed band size: 132 kDa

Exposure time: 10 seconds; ECL: K1801;

4-20% SDS-PAGE gel.

Proteins were transferred to a PVDF membrane and blocked with 5% NFDM/TBST for 1 hour at room temperature. The primary antibody (HA721119) at 1/1,000 dilution was used in K1803 at 4℃ overnight. Goat Anti-Rabbit IgG - HRP Secondary Antibody (HA1001) at 1/50,000 dilution was used for 1 hour at room temperature.
HA721119_2.jpg Fig2: Western blot analysis of MYO1B on different lysates with Rabbit anti-MYO1B antibody (HA721119) at 1/5,000 dilution.

Lane 1: C6 cell lysate
Lane 2: Mouse heart tissue lysate
Lane 3: Rat heart tissue lysate

Lysates/proteins at 20 µg/Lane.

Predicted band size: 132 kDa
Observed band size: 132 kDa

Exposure time: Lane 1: 10 seconds; Lane 2-3: 2 minutes 24 seconds; ECL: K1801;

4-20% SDS-PAGE gel.

Proteins were transferred to a PVDF membrane and blocked with 5% NFDM/TBST for 1 hour at room temperature. The primary antibody (HA721119) at 1/5,000 dilution was used in primary antibody dilution (K1803) at 4℃ overnight. Goat Anti-Rabbit IgG - HRP Secondary Antibody (HA1001) at 1/50,000 dilution was used for 1 hour at room temperature.
HA721119_3.jpg Fig3: Western blot analysis of MYO1B on different lysates with Rabbit anti-MYO1B antibody (HA721119) at 1/1,000 dilution.

Lane 1: A431 cell lysate
Lane 2: NIH/3T3 cell lysate

Lysates/proteins at 10 µg/Lane.

Predicted band size: 132 kDa
Observed band size: 132 kDa

Exposure time: 1 minute;

8% SDS-PAGE gel.

Proteins were transferred to a PVDF membrane and blocked with 5% NFDM/TBST for 1 hour at room temperature. The primary antibody (HA721119) at 1/1,000 dilution was used in 5% NFDM/TBST at room temperature for 2 hours. Goat Anti-Rabbit IgG - HRP Secondary Antibody (HA1001) at 1/50,000 dilution was used for 1 hour at room temperature.
HA721119_4.jpg Fig4: Immunohistochemical analysis of paraffin-embedded human lymph nodes tissue with Rabbit anti-MYO1B antibody (HA721119) at 1/400 dilution.

The section was pre-treated using heat mediated antigen retrieval with Tris-EDTA buffer (pH 9.0) for 20 minutes. The tissues were blocked in 1% BSA for 20 minutes at room temperature, washed with ddH2O and PBS, and then probed with the primary antibody (HA721119) at 1/400 dilution for 1 hour at room temperature. The detection was performed using an HRP conjugated compact polymer system. DAB was used as the chromogen. Tissues were counterstained with hematoxylin and mounted with DPX.
HA721119_5.jpg Fig5: Immunohistochemical analysis of paraffin-embedded human testis tissue with Rabbit anti-MYO1B antibody (HA721119) at 1/400 dilution.

The section was pre-treated using heat mediated antigen retrieval with Tris-EDTA buffer (pH 9.0) for 20 minutes. The tissues were blocked in 1% BSA for 20 minutes at room temperature, washed with ddH2O and PBS, and then probed with the primary antibody (HA721119) at 1/400 dilution for 1 hour at room temperature. The detection was performed using an HRP conjugated compact polymer system. DAB was used as the chromogen. Tissues were counterstained with hematoxylin and mounted with DPX.
HA721119_6.jpg Fig6: Immunohistochemical analysis of paraffin-embedded human colon carcinoma tissue with Rabbit anti-MYO1B antibody (HA721119) at 1/400 dilution.

The section was pre-treated using heat mediated antigen retrieval with Tris-EDTA buffer (pH 9.0) for 20 minutes. The tissues were blocked in 1% BSA for 20 minutes at room temperature, washed with ddH2O and PBS, and then probed with the primary antibody (HA721119) at 1/400 dilution for 1 hour at room temperature. The detection was performed using an HRP conjugated compact polymer system. DAB was used as the chromogen. Tissues were counterstained with hematoxylin and mounted with DPX.
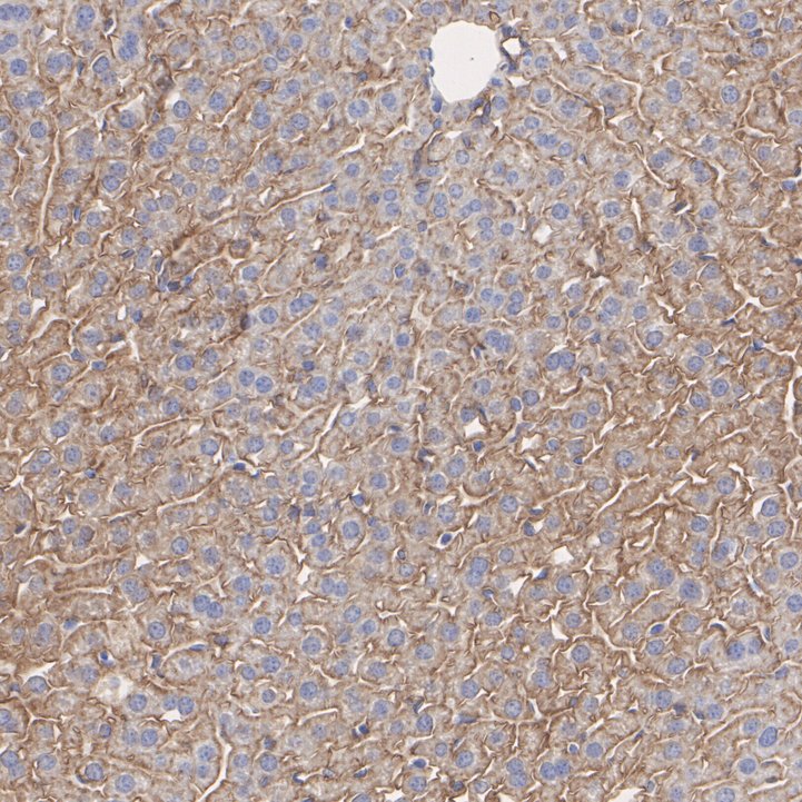
HA721119_7.jpg Fig7: Immunohistochemical analysis of paraffin-embedded mouse liver tissue with Rabbit anti-MYO1B antibody (HA721119) at 1/200 dilution.

The section was pre-treated using heat mediated antigen retrieval with Tris-EDTA buffer (pH 9.0) for 20 minutes. The tissues were blocked in 1% BSA for 20 minutes at room temperature, washed with ddH2O and PBS, and then probed with the primary antibody (HA721119) at 1/200 dilution for 1 hour at room temperature. The detection was performed using an HRP conjugated compact polymer system. DAB was used as the chromogen. Tissues were counterstained with hematoxylin and mounted with DPX.
HA721119_8.jpg Fig8: Immunohistochemical analysis of paraffin-embedded rat liver tissue with Rabbit anti-MYO1B antibody (HA721119) at 1/200 dilution.

The section was pre-treated using heat mediated antigen retrieval with Tris-EDTA buffer (pH 9.0) for 20 minutes. The tissues were blocked in 1% BSA for 20 minutes at room temperature, washed with ddH2O and PBS, and then probed with the primary antibody (HA721119) at 1/200 dilution for 1 hour at room temperature. The detection was performed using an HRP conjugated compact polymer system. DAB was used as the chromogen. Tissues were counterstained with hematoxylin and mounted with DPX.
Note: All products are “FOR RESEARCH USE ONLY AND ARE NOT INTENDED FOR DIAGNOSTIC OR THERAPEUTIC USE”.