PIN4 Recombinant Rabbit Monoclonal Antibody [JE64-05]
cat.: HA721121
Product Type: Recombinant Rabbit monoclonal IgG, primary antibodies
Species reactivity: Human, Mouse, Rat
Applications: WB, IHC-P, IF-Cell, FC
Clonality: Monoclonal
Clone number: JE64-05
Form: Liquid
Storage condition: Shipped at 4℃. Store at +4℃ short term (1-2 weeks). It is recommended to aliquot into single-use upon delivery. Store at -20℃ long term.
Storage buffer: 1*TBS (pH7.4), 0.05% BSA, 40% Glycerol. Preservative: 0.05% Sodium Azide.
Concentration: 1ug/ul
Purification: Protein A affinity purified.
Molecular weight: Predicted band size: 14 kDa
Isotype: IgG
Immunogen: Synthetic peptide within human PIN4 aa 82-131/131.
Positive control: HEK-293 cell lysate, RAW264.7 cell lysate, C6 cell lysate, Mouse stomach tissue lysate, Mouse liver tissue lysate, Rat liver tissue lysate, HEK-293, RAW264.7, human stomach tissue, mouse placenta tissue, mouse stomach tissue, rat placenta tissue, rat stomach tissue, human testis tissue, human colon carcinoma tissue, mouse esophagus tissue, rat large intestine tissue.
Subcellular location: Nucleolus, Cytoplasm, spindle; Mitochondrion, Mitochondrion matrix.
Recommended Dilutions:
  WB
  IHC-P
  IF-Cell
  FC

1:2,000
1:200-1:2,000
1:100
1:1,000
Uniprot #: SwissProt: Q9Y237 Human | Q9CWW6 Mouse
Entrez Gene: 684441 Rat
Alternative names: EPVH Eukaryotic parvulin homolog hEPVH hPar14 hPar17 MGC138486 OTTHUMP00000023527 OTTHUMP00000217483 OTTHUMP00000217485 Par14 Par17 Parvulin 14 Parvulin-14 Parvulin-17 Peptidyl prolyl cis trans isomerase NIMA interacting 4 Peptidyl prolyl cis/trans isomerase EPVH Peptidyl-prolyl cis-trans isomerase NIMA-interacting 4 Peptidyl-prolyl cis-trans isomerase PIN4 Peptidyl-prolyl cis/trans isomerase EPVH PIN4 PIN4_HUMAN PPIase Pin4 Protein (peptidylprolyl cis/trans isomerase) NIMA interacting, 4 (parvulin) Rotamase Pin4
Images
HA721121_1.jpg Fig1: Western blot analysis of PIN4 on different lysates with Rabbit anti-PIN4 antibody (HA721121) at 1/2,000 dilution.

Lane 1: HEK-293 cell lysate (20 µg/Lane)
Lane 2: RAW264.7 cell lysate (20 µg/Lane)
Lane 3: C6 cell lysate (20 µg/Lane)
Lane 4: Mouse stomach tissue lysate (40 µg/Lane)
Lane 5: Mouse liver tissue lysate (40 µg/Lane)
Lane 6: Rat liver tissue lysate (40 µg/Lane)

Predicted band size: 14 kDa
Observed band size: 14 kDa

Exposure time: 2 minutes; ECL: K1801;

4-20% SDS-PAGE gel.

Proteins were transferred to a PVDF membrane and blocked with 5% NFDM/TBST for 1 hour at room temperature. The primary antibody (HA721121) at 1/2,000 dilution was used in 5% NFDM/TBST at 4℃ overnight. Goat Anti-Rabbit IgG - HRP Secondary Antibody (HA1001) at 1/50,000 dilution was used for 1 hour at room temperature.
HA721121_2.jpg Fig2: Western blot analysis of PIN4 on different lysates with Rabbit anti-PIN4 antibody (HA721121) at 1/2,000 dilution.

Lane 1: HAP1-parental cell lysate
Lane 2: HAP1-PIN4 KD cell lysate

Lysates/proteins at 10 µg/Lane.

Predicted band size: 14 kDa
Observed band size: 14 kDa

Exposure time: 120 seconds; ECL: K1801;

4-20% SDS-PAGE gel.

Proteins were transferred to a PVDF membrane and blocked with 5% NFDM/TBST for 1 hour at room temperature. The primary antibody (HA721121) at 1/2,000 dilution was used in K1803 at 4℃ overnight. Goat Anti-Rabbit IgG - HRP Secondary Antibody (HA1001) at 1/50,000 dilution was used for 1 hour at room temperature.
HA721121_3.jpg Fig3: Immunocytochemistry analysis of HEK-293 cells labeling PIN4 with Rabbit anti-PIN4 antibody (HA721121) at 1/100 dilution.

Cells were fixed in 4% paraformaldehyde for 15 minutes at room temperature, permeabilized with 0.1% Triton X-100 in PBS for 15 minutes at room temperature, then blocked with 1% BSA in 10% negative goat serum for 1 hour at room temperature. Cells were then incubated with Rabbit anti-PIN4 antibody (HA721121) at 1/100 dilution in 1% BSA in PBST overnight at 4 ℃. Goat Anti-Rabbit IgG H&L (iFluor™ 488, HA1121) was used as the secondary antibody at 1/1,000 dilution. PBS instead of the primary antibody was used as the secondary antibody only control. Counterstained with Mitotracker. Nuclear DNA was labelled in blue with DAPI.
HA721121_4.jpg Fig4: Immunocytochemistry analysis of RAW264.7 cells labeling PIN4 with Rabbit anti-PIN4 antibody (HA721121) at 1/100 dilution.

Cells were fixed in 4% paraformaldehyde for 15 minutes at room temperature, permeabilized with 0.1% Triton X-100 in PBS for 15 minutes at room temperature, then blocked with 1% BSA in 10% negative goat serum for 1 hour at room temperature. Cells were then incubated with Rabbit anti-PIN4 antibody (HA721121) at 1/100 dilution in 1% BSA in PBST overnight at 4 ℃. Goat Anti-Rabbit IgG H&L (iFluor™ 488, HA1121) was used as the secondary antibody at 1/1,000 dilution. PBS instead of the primary antibody was used as the secondary antibody only control. Counterstained with Mitotracker. Nuclear DNA was labelled in blue with DAPI.
HA721121_5.jpg Fig5: Immunohistochemical analysis of paraffin-embedded human stomach tissue with Rabbit anti-PIN4 antibody (HA721121) at 1/200 dilution.

The section was pre-treated using heat mediated antigen retrieval with Tris-EDTA buffer (pH 9.0) for 20 minutes. The tissues were blocked in 1% BSA for 20 minutes at room temperature, washed with ddH2O and PBS, and then probed with the primary antibody (HA721121) at 1/200 dilution for 1 hour at room temperature. The detection was performed using an HRP conjugated compact polymer system. DAB was used as the chromogen. Tissues were counterstained with hematoxylin and mounted with DPX.
HA721121_6.jpg Fig6: Immunohistochemical analysis of paraffin-embedded mouse placenta tissue with Rabbit anti-PIN4 antibody (HA721121) at 1/1,000 dilution.

The section was pre-treated using heat mediated antigen retrieval with Tris-EDTA buffer (pH 9.0) for 20 minutes. The tissues were blocked in 1% BSA for 20 minutes at room temperature, washed with ddH2O and PBS, and then probed with the primary antibody (HA721121) at 1/1,000 dilution for 1 hour at room temperature. The detection was performed using an HRP conjugated compact polymer system. DAB was used as the chromogen. Tissues were counterstained with hematoxylin and mounted with DPX.
HA721121_7.jpg Fig7: Immunohistochemical analysis of paraffin-embedded mouse stomach tissue with Rabbit anti-PIN4 antibody (HA721121) at 1/1,000 dilution.

The section was pre-treated using heat mediated antigen retrieval with Tris-EDTA buffer (pH 9.0) for 20 minutes. The tissues were blocked in 1% BSA for 20 minutes at room temperature, washed with ddH2O and PBS, and then probed with the primary antibody (HA721121) at 1/1,000 dilution for 1 hour at room temperature. The detection was performed using an HRP conjugated compact polymer system. DAB was used as the chromogen. Tissues were counterstained with hematoxylin and mounted with DPX.
HA721121_8.jpg Fig8: Immunohistochemical analysis of paraffin-embedded rat placenta tissue with Rabbit anti-PIN4 antibody (HA721121) at 1/1,000 dilution.

The section was pre-treated using heat mediated antigen retrieval with Tris-EDTA buffer (pH 9.0) for 20 minutes. The tissues were blocked in 1% BSA for 20 minutes at room temperature, washed with ddH2O and PBS, and then probed with the primary antibody (HA721121) at 1/1,000 dilution for 1 hour at room temperature. The detection was performed using an HRP conjugated compact polymer system. DAB was used as the chromogen. Tissues were counterstained with hematoxylin and mounted with DPX.
HA721121_9.jpg Fig9: Immunohistochemical analysis of paraffin-embedded rat stomach tissue with Rabbit anti-PIN4 antibody (HA721121) at 1/1,000 dilution.

The section was pre-treated using heat mediated antigen retrieval with Tris-EDTA buffer (pH 9.0) for 20 minutes. The tissues were blocked in 1% BSA for 20 minutes at room temperature, washed with ddH2O and PBS, and then probed with the primary antibody (HA721121) at 1/1,000 dilution for 1 hour at room temperature. The detection was performed using an HRP conjugated compact polymer system. DAB was used as the chromogen. Tissues were counterstained with hematoxylin and mounted with DPX.
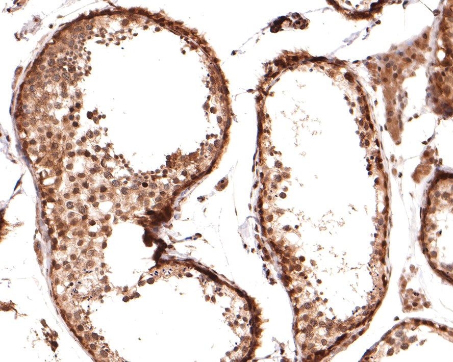
HA721121_10.jpg Fig10: Immunohistochemical analysis of paraffin-embedded human testis tissue with Rabbit anti-PIN4 antibody (HA721121) at 1/2,000 dilution.

The section was pre-treated using heat mediated antigen retrieval with sodium citrate buffer (pH 6.0) for 2 minutes. The tissues were blocked in 1% BSA for 20 minutes at room temperature, washed with ddH2O and PBS, and then probed with the primary antibody (HA721121) at 1/2,000 dilution for 1 hour at room temperature. The detection was performed using an HRP conjugated compact polymer system. DAB was used as the chromogen. Tissues were counterstained with hematoxylin and mounted with DPX.
HA721121_11.jpg Fig11: Immunohistochemical analysis of paraffin-embedded human colon carcinoma tissue with Rabbit anti-PIN4 antibody (HA721121) at 1/2,000 dilution.

The section was pre-treated using heat mediated antigen retrieval with sodium citrate buffer (pH 6.0) for 2 minutes. The tissues were blocked in 1% BSA for 20 minutes at room temperature, washed with ddH2O and PBS, and then probed with the primary antibody (HA721121) at 1/2,000 dilution for 1 hour at room temperature. The detection was performed using an HRP conjugated compact polymer system. DAB was used as the chromogen. Tissues were counterstained with hematoxylin and mounted with DPX.
HA721121_12.jpg Fig12: Immunohistochemical analysis of paraffin-embedded mouse esophagus tissue with Rabbit anti-PIN4 antibody (HA721121) at 1/2,000 dilution.

The section was pre-treated using heat mediated antigen retrieval with sodium citrate buffer (pH 6.0) for 2 minutes. The tissues were blocked in 1% BSA for 20 minutes at room temperature, washed with ddH2O and PBS, and then probed with the primary antibody (HA721121) at 1/2,000 dilution for 1 hour at room temperature. The detection was performed using an HRP conjugated compact polymer system. DAB was used as the chromogen. Tissues were counterstained with hematoxylin and mounted with DPX.
HA721121_13.jpg Fig13: Immunohistochemical analysis of paraffin-embedded rat large intestine tissue with Rabbit anti-PIN4 antibody (HA721121) at 1/2,000 dilution.

The section was pre-treated using heat mediated antigen retrieval with sodium citrate buffer (pH 6.0) for 2 minutes. The tissues were blocked in 1% BSA for 20 minutes at room temperature, washed with ddH2O and PBS, and then probed with the primary antibody (HA721121) at 1/2,000 dilution for 1 hour at room temperature. The detection was performed using an HRP conjugated compact polymer system. DAB was used as the chromogen. Tissues were counterstained with hematoxylin and mounted with DPX.
HA721121_14.jpg Fig14: Flow cytometric analysis of HEK-293 cells labeling PIN4.

Cells were fixed and permeabilized. Then stained with the primary antibody (HA721121, 1/1,000) (red) compared with Rabbit IgG Isotype Control (green). After incubation of the primary antibody at +4℃ for an hour, the cells were stained with a iFluor™ 488 conjugate-Goat anti-Rabbit IgG Secondary antibody (HA1121) at 1/1,000 dilution for 30 minutes at +4℃. Unlabelled sample was used as a control (cells without incubation with primary antibody; black).
Note: All products are “FOR RESEARCH USE ONLY AND ARE NOT INTENDED FOR DIAGNOSTIC OR THERAPEUTIC USE”.