GAPDH Recombinant Rabbit Monoclonal Antibody [PD00-07]
cat.: HA721136
Product Type: Recombinant Rabbit monoclonal IgG, primary antibodies
Species reactivity: Human, Mouse, Rat, Escherichia coli, Zebrafish, Drosophila melanogaster
Applications: WB, IHC-P, IF-Cell, FC
Clonality: Monoclonal
Clone number: PD00-07
Form: Liquid
Storage condition: Shipped at 4℃. Store at +4℃ short term (1-2 weeks). It is recommended to aliquot into single-use upon delivery. Store at -20℃ long term.
Storage buffer: PBS (pH7.4), 0.1% BSA, 40% Glycerol. Preservative: 0.05% Sodium Azide.
Concentration: 1ug/ul
Purification: Protein A affinity purified.
Molecular weight: Predicted band size: 36 kDa
Isotype: IgG
Immunogen: Recombinant protein within mouse GAPDH aa 94-333 / 333.
Positive control: HEK-293 cell lysate, HeLa cell lysate, A431 cell lysate, K-562 cell lysate, RAW264.7 cell lysate, PC-12 cell lysate, mouse heart tissue lysate, rat heart tissue lysate, human liver tissue lysate, mouse liver tissue lysate, rat liver tissue lysate, human kidney tissue lysate, mouse kidney tissue lysate, rat kidney tissue lysate, E.coli cell lysate, HepG2 cell lysates, NIH/3T3 cell lysates, PC-12 cell lysates, zebrafish tissue lysates, human pancreas tissue, human kidney tissue, mouse kidney tissue, rat kidney tissue, HeLa, NIH/3T3.
Subcellular location: Cytoskeleton, nucleus, cytosol, perinuclear region.
Recommended Dilutions:
  WB
  IHC-P
  IF-Cell
  FC

1:2,500-1:20,000
1:1,000-1:5,000
1:1,000
1:1,000
Uniprot #: SwissProt: P04406 Human | P16858 Mouse | P04797 Rat
Alternative names: 38 kDa BFA-dependent ADP-ribosylation substrate aging associated gene 9 protein Aging-associated gene 9 protein BARS-38 cb609 EC 1.2.1.12 Epididymis secretory sperm binding protein Li 162eP G3P_HUMAN G3PD G3PDH GAPD GAPDH Glyceraldehyde 3 phosphate dehydrogenase Glyceraldehyde-3-phosphate dehydrogenase HEL-S-162eP KNC-NDS6 MGC102544 MGC102546 MGC103190 MGC103191 MGC105239 MGC127711 MGC88685 OCAS, p38 component OCT1 coactivator in S phase, 38-KD component peptidyl cysteine S nitrosylase GAPDH Peptidyl-cysteine S-nitrosylase GAPDH wu:fb33a10
Images
HA721136_1.jpg Fig1: Western blot analysis of GAPDH on different lysates with Rabbit anti-GAPDH antibody (HA721136) at 1/20,000 dilution.

Lane 1: HEK-293 cell lysate (20 µg/Lane)
Lane 2: HeLa cell lysate (20 µg/Lane)
Lane 3: A431 cell lysate (20 µg/Lane)
Lane 4: K-562 cell lysate (20 µg/Lane)
Lane 5: RAW264.7 cell lysate (20 µg/Lane)
Lane 6: PC-12 cell lysate (20 µg/Lane)
Lane 7: Mouse heart tissue lysate (40 µg/Lane)
Lane 8: Rat heart tissue lysate (40 µg/Lane)
Lane 9: Human liver tissue lysate (40 µg/Lane)
Lane 10: Mouse liver tissue lysate (40 µg/Lane)
Lane 11: Rat liver tissue lysate (40 µg/Lane)
Lane 12: Human kidney tissue lysate (40 µg/Lane)
Lane 13: Mouse kidney tissue lysate (40 µg/Lane)
Lane 14: Rat kidney tissue lysate (40 µg/Lane)

Predicted band size: 36 kDa
Observed band size: 36 kDa

Exposure time: 1 minute 2 seconds;
4-20% SDS-PAGE gel.

Proteins were transferred to a PVDF membrane and blocked with 5% NFDM/TBST for 1 hour at room temperature. The primary antibody (HA721136) at 1/20,000 dilution was used in 5% NFDM/TBST at room temperature for 2 hours. Goat Anti-Rabbit IgG - HRP Secondary Antibody (HA1001) at 1/50,000 dilution was used for 1 hour at room temperature.
HA721136_2.jpg Fig2: Western blot analysis of GAPDH on different lysates with Rabbit anti-GAPDH antibody (HA721136) at 1/20,000 dilution.

Lane 1: E.coli cell lysate (10 µg/Lane)
Lane 2: E.coli cell lysate (no heat) (10 µg/Lane)

Notice: no heat means the lysate is not boiled.

Predicted band size: 36 kDa
Observed band size: 36 kDa

Exposure time: 30 seconds;
4-20% SDS-PAGE gel.

Proteins were transferred to a PVDF membrane and blocked with 5% NFDM/TBST for 1 hour at room temperature. The primary antibody (HA721136) at 1/20,000 dilution was used in 5% NFDM/TBST at 4℃ overnight. Goat Anti-Rabbit IgG - HRP Secondary Antibody (HA1001) at 1/50,000 dilution was used for 1 hour at room temperature.
HA721136_3.jpg Fig3: Western blot analysis of GAPDH on HepG2 cell lysates with Rabbit anti-GAPDH antibody (HA721136) at different dilutions.

Lysates/proteins at 10 µg/Lane.

Predicted band size: 36 kDa
Observed band size: 36 kDa

Exposure time: 30 seconds;

12% SDS-PAGE gel.

Proteins were transferred to a PVDF membrane and blocked with 5% NFDM/TBST for 1 hour at room temperature. The primary antibody (HA721136) at different dilutions were used in 5% NFDM/TBST at room temperature for 2 hours. Goat Anti-Rabbit IgG - HRP Secondary Antibody (HA1001) at 1:300,000 dilution was used for 1 hour at room temperature.
HA721136_4.jpg Fig4: Western blot analysis of GAPDH on NIH/3T3 cell lysates with Rabbit anti-GAPDH antibody (HA721136) at different dilutions.

Lysates/proteins at 10 µg/Lane.

Predicted band size: 36 kDa
Observed band size: 36 kDa

Exposure time: 30 seconds;

12% SDS-PAGE gel.

Proteins were transferred to a PVDF membrane and blocked with 5% NFDM/TBST for 1 hour at room temperature. The primary antibody (HA721136) at different dilutions were used in 5% NFDM/TBST at room temperature for 2 hours. Goat Anti-Rabbit IgG - HRP Secondary Antibody (HA1001) at 1:300,000 dilution was used for 1 hour at room temperature.
HA721136_5.jpg Fig5: Western blot analysis of GAPDH on PC-12 cell lysates with Rabbit anti-GAPDH antibody (HA721136) at different dilutions.

Lysates/proteins at 10 µg/Lane.

Predicted band size: 36 kDa
Observed band size: 36 kDa

Exposure time: 30 seconds;

12% SDS-PAGE gel.

Proteins were transferred to a PVDF membrane and blocked with 5% NFDM/TBST for 1 hour at room temperature. The primary antibody (HA721136) at different dilutions were used in 5% NFDM/TBST at room temperature for 2 hours. Goat Anti-Rabbit IgG - HRP Secondary Antibody (HA1001) at 1:300,000 dilution was used for 1 hour at room temperature.
HA721136_6.jpg Fig6: Western blot analysis of GAPDH on zebrafish tissue lysates with Rabbit anti-GAPDH antibody (HA721136) at 1/20,000 dilution.

Lysates/proteins at 20 µg/Lane.

Predicted band size: 36 kDa
Observed band size: 36 kDa

Exposure time: 1 minute;

4-20% SDS-PAGE gel.

Proteins were transferred to a PVDF membrane and blocked with 5% NFDM/TBST for 1 hour at room temperature. The primary antibody (HA721136) at 1/20,000 dilution was used in 5% NFDM/TBST at room temperature for 2 hours. Goat Anti-Rabbit IgG - HRP Secondary Antibody (HA1001) at 1/50,000 dilution was used for 1 hour at room temperature.
HA721136_7.jpg Fig7: Western blot analysis of GAPDH on fruit flies tissue lysates with Rabbit anti-GAPDH antibody (HA721136) at 1/10,000 dilution.

Lysates/proteins at 8 µg/Lane.

Predicted band size: 36 kDa
Observed band size: 36 kDa

Exposure time: 20 seconds; ECL: K1801;

4-20% SDS-PAGE gel.

Proteins were transferred to a PVDF membrane and blocked with 5% NFDM/TBST for 1 hour at room temperature. The primary antibody (HA721136) at 1/10,000 dilution was used in 5% NFDM/TBST at 4℃ overnight. Goat Anti-Rabbit IgG - HRP Secondary Antibody (HA1001) at 1/50,000 dilution was used for 1 hour at room temperature.
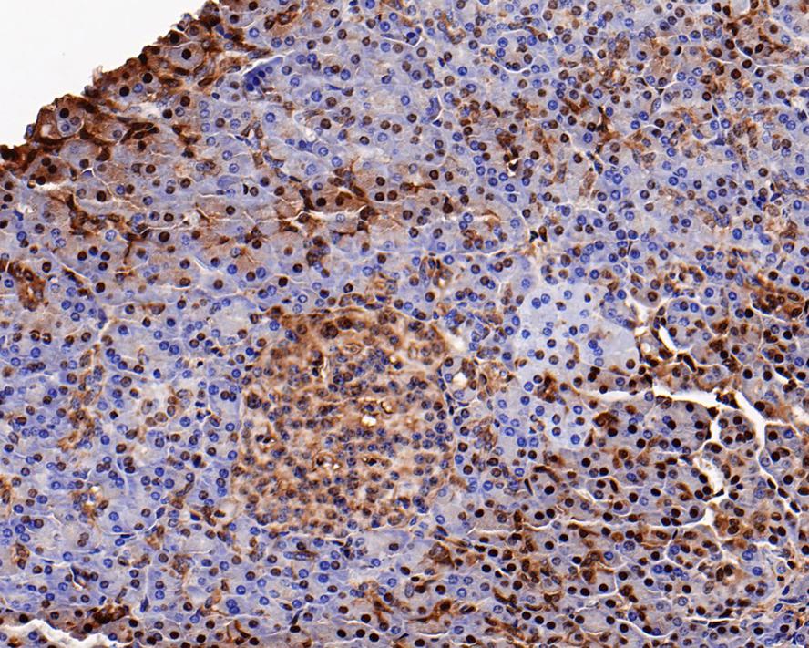
HA721136_8.jpg Fig8: Immunohistochemical analysis of paraffin-embedded human pancreas tissue with Rabbit anti-GAPDH antibody (HA721136) at 1/1,000 dilution.

The section was pre-treated using heat mediated antigen retrieval with sodium citrate buffer (pH 6.0) (high pressure) for 2 minutes. The tissues were blocked in 1% BSA for 20 minutes at room temperature, washed with ddH2O and PBS, and then probed with the primary antibody (HA721136) at 1/1,000 dilution for 1 hour at room temperature. The detection was performed using an HRP conjugated compact polymer system. DAB was used as the chromogen. Tissues were counterstained with hematoxylin and mounted with DPX.
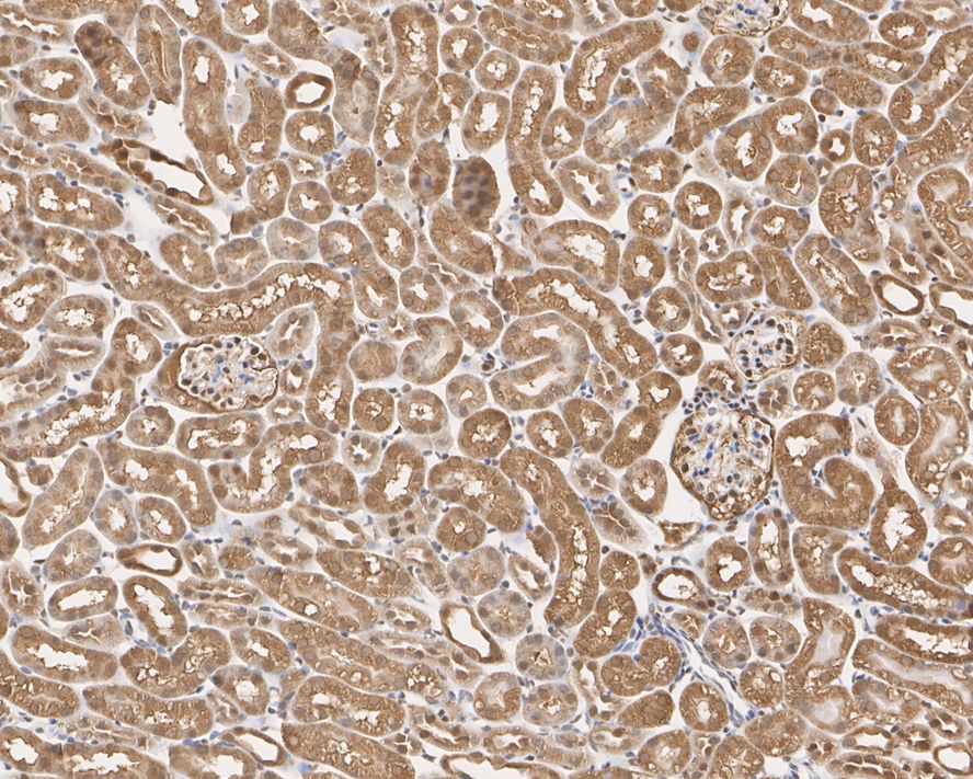
HA721136_9.jpg Fig9: Immunohistochemical analysis of paraffin-embedded human kidney tissue with Rabbit anti-GAPDH antibody (HA721136) at 1/5,000 dilution.

The section was pre-treated using heat mediated antigen retrieval with sodium citrate buffer (pH 6.0) (high pressure) for 2 minutes. The tissues were blocked in 1% BSA for 20 minutes at room temperature, washed with ddH2O and PBS, and then probed with the primary antibody (HA721136) at 1/5,000 dilution for 1 hour at room temperature. The detection was performed using an HRP conjugated compact polymer system. DAB was used as the chromogen. Tissues were counterstained with hematoxylin and mounted with DPX.
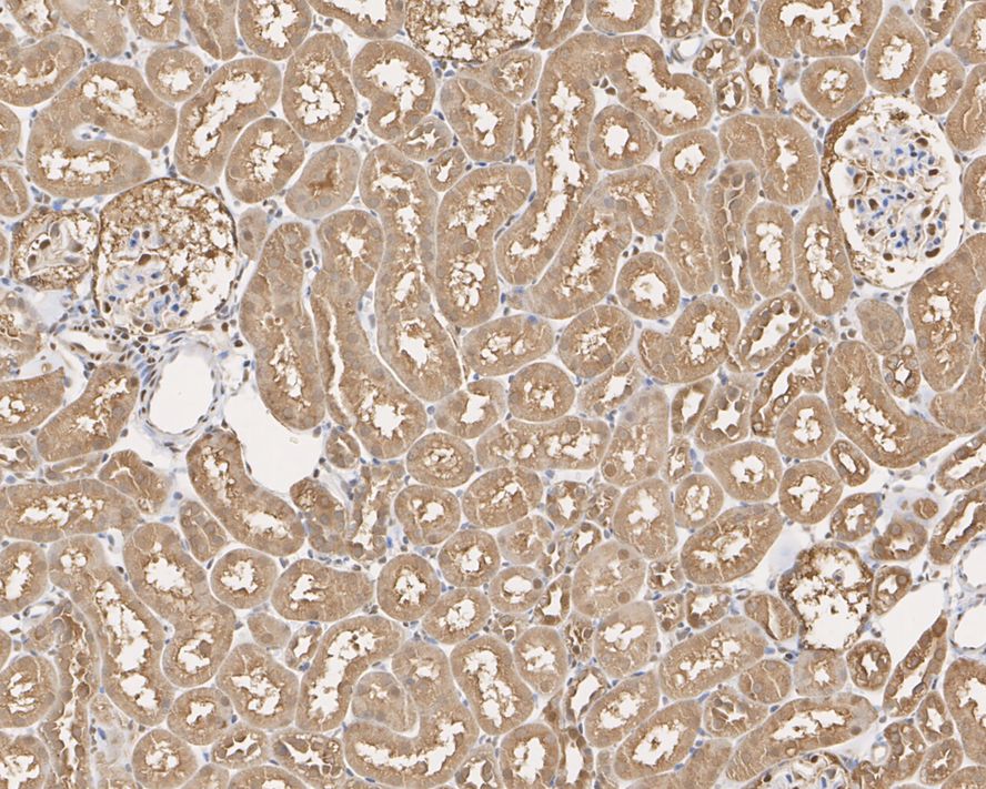
HA721136_10.jpg Fig10: Immunohistochemical analysis of paraffin-embedded mouse kidney tissue with Rabbit anti-GAPDH antibody (HA721136) at 1/5,000 dilution.

The section was pre-treated using heat mediated antigen retrieval with sodium citrate buffer (pH 6.0) (high pressure) for 2 minutes. The tissues were blocked in 1% BSA for 20 minutes at room temperature, washed with ddH2O and PBS, and then probed with the primary antibody (HA721136) at 1/5,000 dilution for 1 hour at room temperature. The detection was performed using an HRP conjugated compact polymer system. DAB was used as the chromogen. Tissues were counterstained with hematoxylin and mounted with DPX.
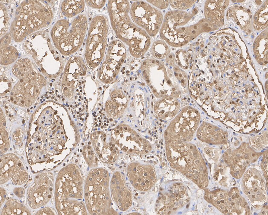
HA721136_11.jpg Fig11: Immunohistochemical analysis of paraffin-embedded rat kidney tissue with Rabbit anti-GAPDH antibody (HA721136) at 1/5,000 dilution.

The section was pre-treated using heat mediated antigen retrieval with sodium citrate buffer (pH 6.0) (high pressure) for 2 minutes. The tissues were blocked in 1% BSA for 20 minutes at room temperature, washed with ddH2O and PBS, and then probed with the primary antibody (HA721136) at 1/5,000 dilution for 1 hour at room temperature. The detection was performed using an HRP conjugated compact polymer system. DAB was used as the chromogen. Tissues were counterstained with hematoxylin and mounted with DPX.
HA721136_12.jpg Fig12: Immunocytochemistry analysis of HeLa cells labeling GAPDH with Rabbit anti-GAPDH antibody (HA721136) at 1/1,000 dilution.

Cells were fixed in 4% paraformaldehyde for 20 minutes at room temperature, permeabilized with 0.1% Triton X-100 in PBS for 5 minutes at room temperature, then blocked with 1% BSA in 10% negative goat serum for 1 hour at room temperature. Cells were then incubated with Rabbit anti-GAPDH antibody (HA721136) at 1/1,000 dilution in 1% BSA in PBST overnight at 4 ℃. Goat Anti-Rabbit IgG H&L (iFluor™ 488, HA1121) was used as the secondary antibody at 1/1,000 dilution. PBS instead of the primary antibody was used as the secondary antibody only control. Nuclear DNA was labelled in blue with DAPI.

Beta tubulin (M1305-2, red) was stained at 1/100 dilution overnight at +4℃. Goat Anti-Mouse IgG H&L (iFluor™ 594, HA1126) was used as the secondary antibody at 1/1,000 dilution.
HA721136_13.jpg Fig13: Immunocytochemistry analysis of NIH/3T3 cells labeling GAPDH with Rabbit anti-GAPDH antibody (HA721136) at 1/1,000 dilution.

Cells were fixed in 4% paraformaldehyde for 20 minutes at room temperature, permeabilized with 0.1% Triton X-100 in PBS for 5 minutes at room temperature, then blocked with 1% BSA in 10% negative goat serum for 1 hour at room temperature. Cells were then incubated with Rabbit anti-GAPDH antibody (HA721136) at 1/1,000 dilution in 1% BSA in PBST overnight at 4 ℃. Goat Anti-Rabbit IgG H&L (iFluor™ 488, HA1121) was used as the secondary antibody at 1/1,000 dilution. PBS instead of the primary antibody was used as the secondary antibody only control. Nuclear DNA was labelled in blue with DAPI.

Beta tubulin (M1305-2, red) was stained at 1/100 dilution overnight at +4℃. Goat Anti-Mouse IgG H&L (iFluor™ 594, HA1126) was used as the secondary antibody at 1/1,000 dilution.
HA721136_14.jpg Fig14: Flow cytometric analysis of HeLa cells labeling GAPDH.

Cells were fixed and permeabilized. Then stained with the primary antibody (HA721136, 1μg/mL) (red) compared with Rabbit IgG Isotype Control (green). After incubation of the primary antibody at +4℃ for an hour, the cells were stained with a iFluor™ 488 conjugate-Goat anti-Rabbit IgG Secondary antibody (HA1121) at 1/1,000 dilution for 30 minutes at +4℃. Unlabelled sample was used as a control (cells without incubation with primary antibody; black).
Note: All products are “FOR RESEARCH USE ONLY AND ARE NOT INTENDED FOR DIAGNOSTIC OR THERAPEUTIC USE”.