Estrogen Receptor alpha Recombinant Rabbit Monoclonal Antibody [PD00-04]
cat.: HA721140
Product Type: Recombinant Rabbit monoclonal IgG, primary antibodies
Species reactivity: Human
Applications: IHC-P, IF-Tissue, mIHC
Clonality: Monoclonal
Clone number: PD00-04
Form: Liquid
Storage condition: Shipped at 4℃. Store at +4℃ short term (1-2 weeks). It is recommended to aliquot into single-use upon delivery. Store at -20℃ long term.
Storage buffer: PBS (pH7.4), 0.1% BSA, 40% Glycerol. Preservative: 0.05% Sodium Azide.
Concentration: 1ug/ul
Purification: Protein A affinity purified.
Molecular weight: Predicted band size: 66 kDa
Isotype: IgG
Immunogen: Synthetic peptide within Human Estrogen Receptor alpha aa 300-595 / 595.
Positive control: Human breast tissue, human cervix tissue, human breast carcinoma tissue, human endometrium tissue.
Subcellular location: Cell membrane, Nucleus, Cytoplasm.
Recommended Dilutions:
  IHC-P
  IF-Tissue
  mIHC

1:1,000-1:5,000
1:500
1:1,000
Uniprot #: SwissProt: P03372 Human
Alternative names: 7*/654 isoform 7*/819 2 isoform 7*/822 isoform 8*/901 isoform 8*/941 isoform DKFZp686N23123 ER alpha ER ER-alpha Era ESR ESR1 ESR1_HUMAN ESRA Estradiol receptor Estrogen nuclear receptor alpha Estrogen receptor 1 Estrogen receptor alpha 3*,4,5,6,7*/822 isoform Estrogen receptor alpha Estrogen receptor alpha delta 3*,4,5,6,7*,8*/941 isoform Estrogen receptor alpha delta 3*,4,5,6,7*/819 2 isoform Estrogen receptor alpha delta 4 +49 isoform Estrogen receptor alpha delta 4*,5,6,7*/654 isoform Estrogen receptor alpha delta 4*,5,6,7,8*/901 isoform Estrogen receptor alpha E1 E2 1 2 Estrogen receptor alpha E1 N2 E2 1 2 Estrogen receptor ESTRR NR3A1 Nuclear receptor subfamily 3 group A member 1
Images
HA721140_1.jpg Fig1: Application: IF-Tissue

Species: Human

Site: endometrium

Sample: Paraffin-embedded section

Antibody concentration: 1/500
HA721140_2.jpg Fig2: Immunohistochemical analysis of paraffin-embedded human breast cancer tissue with Rabbit anti-Estrogen Receptor alpha antibody (HA721140) at 1/1,000 dilution.

Heat mediated antigen retrieval with Tris-EDTA buffer (pH 9.0, epitope retrieval solution 2) for 20 mins. The section was incubated with HA721140 for 30 mins at room temperature. The immunostaining was performed on a Leica Biosystems BOND® RX instrument. DAB was used as the chromogen. Tissues were counterstained with hematoxylin and mounted with DPX.
HA721140_3.jpg Fig3: Immunohistochemical analysis of paraffin-embedded human breast tissue with Rabbit anti-Estrogen Receptor alpha antibody (HA721140) at 1/5,000 dilution.

The section was pre-treated using heat mediated antigen retrieval with Tris-EDTA buffer (pH 9.0) for 20 minutes. The tissues were blocked in 1% BSA for 20 minutes at room temperature, washed with ddH2O and PBS, and then probed with the primary antibody (HA721140) at 1/5,000 dilution for 1 hour at room temperature. The detection was performed using an HRP conjugated compact polymer system. DAB was used as the chromogen. Tissues were counterstained with hematoxylin and mounted with DPX.
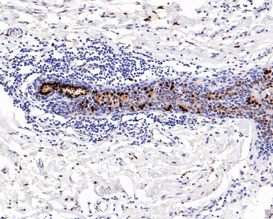
HA721140_4.jpg Fig4: Immunohistochemical analysis of paraffin-embedded human cervix tissue with Rabbit anti-Estrogen Receptor alpha antibody (HA721140) at 1/1,000 dilution.

The section was pre-treated using heat mediated antigen retrieval with Tris-EDTA buffer (pH 9.0) for 20 minutes. The tissues were blocked in 1% BSA for 20 minutes at room temperature, washed with ddH2O and PBS, and then probed with the primary antibody (HA721140) at 1/1,000 dilution for 1 hour at room temperature. The detection was performed using an HRP conjugated compact polymer system. DAB was used as the chromogen. Tissues were counterstained with hematoxylin and mounted with DPX.
HA721140_5.jpg Fig5: Immunohistochemical analysis of paraffin-embedded human breast carcinoma tissue with Rabbit anti-Estrogen Receptor alpha antibody (HA721140) at 1/2,000 dilution.

The section was pre-treated using heat mediated antigen retrieval with Tris-EDTA buffer (pH 9.0) for 20 minutes. The tissues were blocked in 1% BSA for 20 minutes at room temperature, washed with ddH2O and PBS, and then probed with the primary antibody (HA721140) at 1/2,000 dilution for 1 hour at room temperature. The detection was performed using an HRP conjugated compact polymer system. DAB was used as the chromogen. Tissues were counterstained with hematoxylin and mounted with DPX.
HA721140_6.jpg Fig6: Immunohistochemical analysis of paraffin-embedded human endometrium tissue with Rabbit anti-Estrogen Receptor alpha antibody (HA721140) at 1/1,000 dilution.

The section was pre-treated using heat mediated antigen retrieval with Tris-EDTA buffer (pH 9.0) for 20 minutes. The tissues were blocked in 1% BSA for 20 minutes at room temperature, washed with ddH2O and PBS, and then probed with the primary antibody (HA721140) at 1/1,000 dilution for 1 hour at room temperature. The detection was performed using an HRP conjugated compact polymer system. DAB was used as the chromogen. Tissues were counterstained with hematoxylin and mounted with DPX.
Note: All products are “FOR RESEARCH USE ONLY AND ARE NOT INTENDED FOR DIAGNOSTIC OR THERAPEUTIC USE”.