SOX2 Recombinant Rabbit Monoclonal Antibody [PO00-28]
cat.: HA721155
Product Type: Recombinant Rabbit monoclonal IgG, primary antibodies
Species reactivity: Human, Mouse, Rat, Cynomolgus monkey, Pig
Applications: IHC-P, WB, IF-Cell, ChIP, IHC-Fr, IF-Tissue, mIHC
Clonality: Monoclonal
Clone number: PO00-28
Form: Liquid
Storage condition: Shipped at 4℃. Store at +4℃ short term (1-2 weeks). It is recommended to aliquot into single-use upon delivery. Store at -20℃ long term.
Storage buffer: PBS (pH7.4), 0.1% BSA, 40% Glycerol. Preservative: 0.05% Sodium Azide.
Concentration: 1ug/ul
Purification: Protein A affinity purified.
Molecular weight: Predicted band size: 34 kDa
Isotype: IgG
Immunogen: Recombinant protein within human SOX2 aa 1-317.
Positive control: NCCIT cell lysate, F9 cell lysate, Mouse brain tissue lysate, Rat brain tissue lysate, NCCIT, F9, human trachea tissue, human cervical carcinoma tissue, human glioma tissue, human esophagus tissue, human tonsil tissue, human lung cancer tissue, mouse brain tissue, mouse lung tissue, rat brain tissue, rat hippocampus tissue, E14.5 mouse embryonic brain tissue.
Subcellular location: Nucleus.
Recommended Dilutions:
  IHC-P
  WB
  IF-Cell
  ChIP
  IHC-Fr
  IF-Tissue
  mIHC

1:1,000-1:4,000
1:1,000-1:2,000
1:100-1:500
Use 0.5~2 μg for 25 μg of chromatin.
1:1,000
1:500
1:5,000
Uniprot #: SwissProt: P48431 Human | P48432 Mouse
Entrez Gene: 499593 Rat
Alternative names: ANOP3 cb236 Delta EF2a lcc MCOPS3 MGC148683 MGC2413 RGD1565646 Sex determining region Y box 2 SOX 2 Sox2 SOX2_HUMAN SRY (sex determining region Y) box 2 SRY box containing gene 2 SRY related HMG box 2 SRY related HMG box gene 2 SRY-box 2 Transcription factor SOX 2 Transcription factor SOX-2 ysb
Images
HA721155_1.jpg Fig1: Application: IHC-Fr

Species: Mouse

Site: E14.5 embryonic brain

Sample: Frozen section

Antibody concentration: 1:1,000

Antigen retrieval: Not required
HA721155_2.jpg Fig2: Application: IHC-Fr

Species: Mouse

Site: E14.5 embryo

Sample: Frozen section

Antibody concentration: 1:1,000

Antigen retrieval: Not required
HA721155_3.jpg Fig3: Application: IHC-Fr

Species: Mouse

Site: E14.5 embryonic cartilage

Sample: Frozen section

Antibody concentration: 1:1,000

Antigen retrieval: Not required
HA721155_4.jpg Fig4: Application: IHC-Fr

Species: Mouse

Site: Cerebral cortex

Sample: Frozen section

Antibody concentration: 1:1,000

Antigen retrieval: Not required
HA721155_5.jpg Fig5: Application: IF-tissue

Species: Mouse

Site: E14.5 embryonic brain

Sample: Paraffin-embedded section

Antibody concentration: 1:500
HA721155_6.jpg Fig6: Western blot analysis of SOX2 on different lysates with Rabbit anti-SOX2 antibody (HA721155) at 1/2,000 dilution.

Lane 1: NCCIT cell lysate
Lane 2: F9 cell lysate
Lane 3: HeLa cell lysate (negative)

Predicted band size: 34 kDa
Observed band size: 36 kDa

Exposure time: 15 seconds; ECL: K1801;

4-20% SDS-PAGE gel.

Proteins were transferred to a PVDF membrane and blocked with 5% NFDM/TBST for 1 hour at room temperature. The primary antibody (HA721155) at 1/2,000 dilution was used in 5% NFDM/TBST at 4℃ overnight. Goat Anti-Rabbit IgG - HRP Secondary Antibody (HA1001) at 1/50,000 dilution was used for 1 hour at room temperature.
HA721155_7.jpg Fig7: Western blot analysis of SOX2 on different lysates with Rabbit anti-SOX2 antibody (HA721155) at 1/1,000 dilution.

Lane 1: Mouse brain tissue lysate
Lane 2: Rat brain tissue lysate

Lysates/proteins at 30 µg/Lane.

Predicted band size: 34 kDa
Observed band size: 36 kDa

Exposure time: 25 seconds; ECL: K1801;

4-20% SDS-PAGE gel.

Proteins were transferred to a PVDF membrane and blocked with 5% NFDM/TBST for 1 hour at room temperature. The primary antibody (HA721155) at 1/1,000 dilution was used in 5% NFDM/TBST at 4℃ overnight. Goat Anti-Rabbit IgG - HRP Secondary Antibody (HA1001) at 1/50,000 dilution was used for 1 hour at room temperature.
HA721155_8.jpg Fig8: Immunocytochemistry analysis of NCCIT cells labeling SOX2 with Rabbit anti-SOX2 antibody (HA721155) at 1/100 dilution.

Cells were fixed in 4% paraformaldehyde for 20 minutes at room temperature, permeabilized with 0.1% Triton X-100 in PBS for 5 minutes at room temperature, then blocked with 1% BSA in 10% negative goat serum for 1 hour at room temperature. Cells were then incubated with Rabbit anti-SOX2 antibody (HA721155) at 1/100 dilution in 1% BSA in PBST overnight at 4 ℃. Goat Anti-Rabbit IgG H&L (iFluor™ 488, HA1121) was used as the secondary antibody at 1/1,000 dilution. PBS instead of the primary antibody was used as the secondary antibody only control. Nuclear DNA was labelled in blue with DAPI.

Beta tubulin (M1305-2, red) was stained at 1/100 dilution overnight at +4℃. Goat Anti-Mouse IgG H&L (iFluor™ 594, HA1126) was used as the secondary antibody at 1/1,000 dilution.
HA721155_9.jpg Fig9: Immunocytochemistry analysis of F9 cells labeling SOX2 with Rabbit anti-SOX2 antibody (HA721155) at 1/500 dilution.

Cells were fixed in 4% paraformaldehyde for 20 minutes at room temperature, permeabilized with 0.1% Triton X-100 in PBS for 5 minutes at room temperature, then blocked with 1% BSA in 10% negative goat serum for 1 hour at room temperature. Cells were then incubated with Rabbit anti-SOX2 antibody (HA721155) at 1/500 dilution in 1% BSA in PBST overnight at 4 ℃. Goat Anti-Rabbit IgG H&L (iFluor™ 488, HA1121) was used as the secondary antibody at 1/1,000 dilution. PBS instead of the primary antibody was used as the secondary antibody only control. Nuclear DNA was labelled in blue with DAPI.

Beta tubulin (M1305-2, red) was stained at 1/100 dilution overnight at +4℃. Goat Anti-Mouse IgG H&L (iFluor™ 594, HA1126) was used as the secondary antibody at 1/1,000 dilution.
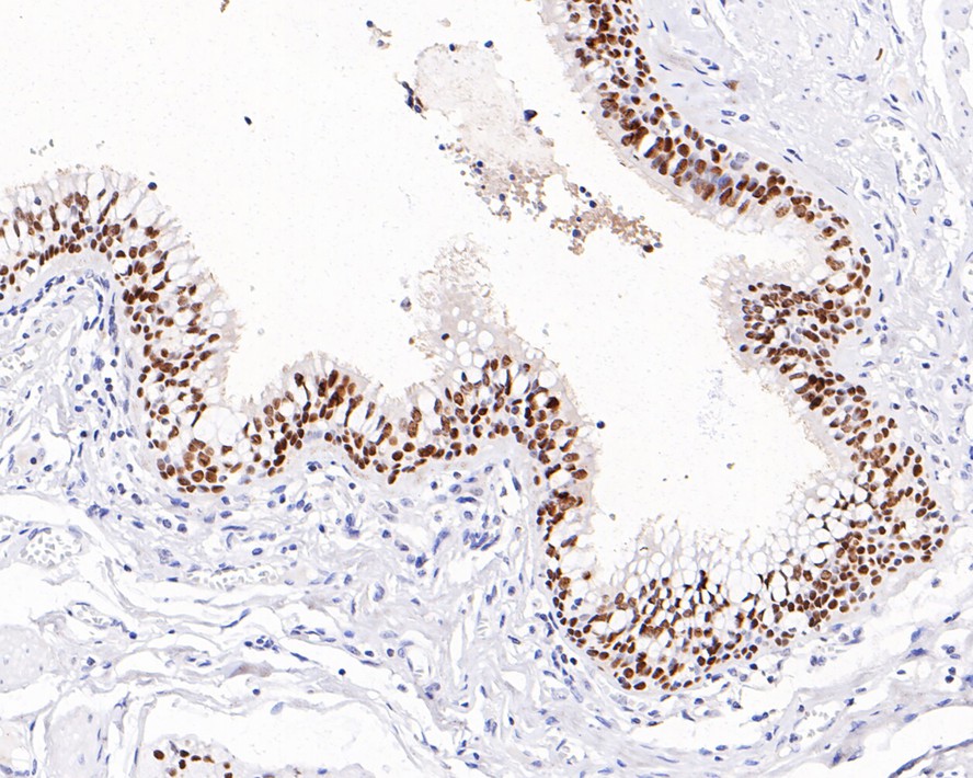
HA721155_10.jpg Fig10: Immunohistochemical analysis of paraffin-embedded human trachea tissue with Rabbit anti-SOX2 antibody (HA721155) at 1/1,000 dilution.

The section was pre-treated using heat mediated antigen retrieval with sodium citrate buffer (pH 6.0) (high pressure) for 2 minutes. The tissues were blocked in 1% BSA for 20 minutes at room temperature, washed with ddH2O and PBS, and then probed with the primary antibody (HA721155) at 1/1,000 dilution for 1 hour at room temperature. The detection was performed using an HRP conjugated compact polymer system. DAB was used as the chromogen. Tissues were counterstained with hematoxylin and mounted with DPX.
HA721155_11.jpg Fig11: Immunohistochemical analysis of paraffin-embedded human cervical carcinoma tissue with Rabbit anti-SOX2 antibody (HA721155) at 1/1,000 dilution.

The section was pre-treated using heat mediated antigen retrieval with sodium citrate buffer (pH 6.0) (high pressure) for 2 minutes. The tissues were blocked in 1% BSA for 20 minutes at room temperature, washed with ddH2O and PBS, and then probed with the primary antibody (HA721155) at 1/1,000 dilution for 1 hour at room temperature. The detection was performed using an HRP conjugated compact polymer system. DAB was used as the chromogen. Tissues were counterstained with hematoxylin and mounted with DPX.
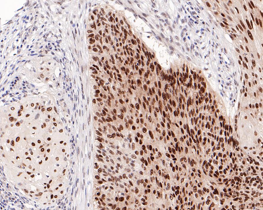
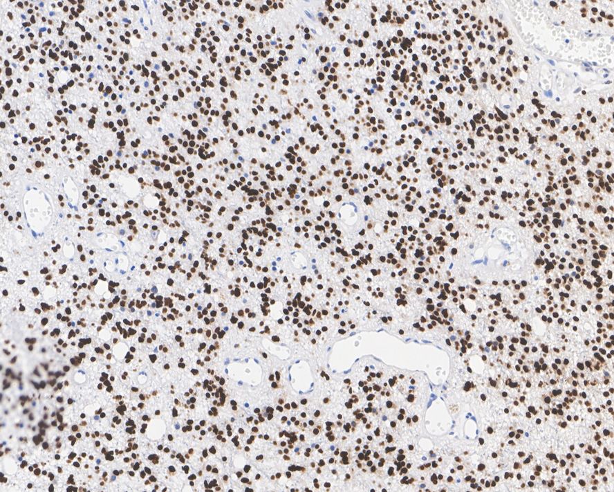
HA721155_12.jpg Fig12: Immunohistochemical analysis of paraffin-embedded human glioma tissue with Rabbit anti-SOX2 antibody (HA721155) at 1/4,000 dilution.

The section was pre-treated using heat mediated antigen retrieval with sodium citrate buffer (pH 6.0) (high pressure) for 2 minutes. The tissues were blocked in 1% BSA for 20 minutes at room temperature, washed with ddH2O and PBS, and then probed with the primary antibody (HA721155) at 1/4,000 dilution for 1 hour at room temperature. The detection was performed using an HRP conjugated compact polymer system. DAB was used as the chromogen. Tissues were counterstained with hematoxylin and mounted with DPX.
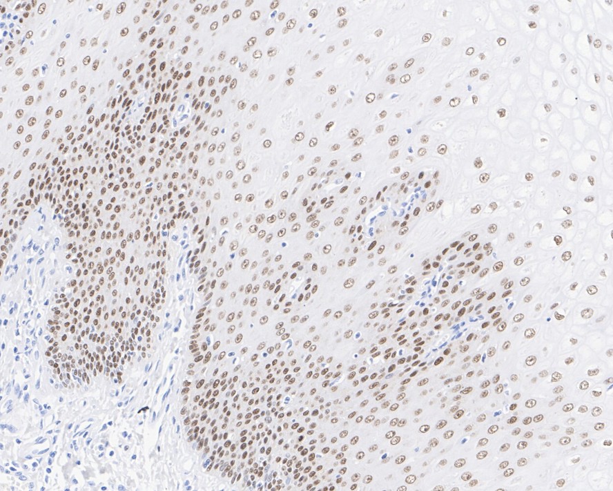
HA721155_13.jpg Fig13: Immunohistochemical analysis of paraffin-embedded human esophagus tissue with Rabbit anti-SOX2 antibody (HA721155) at 1/4,000 dilution.

The section was pre-treated using heat mediated antigen retrieval with sodium citrate buffer (pH 6.0) (high pressure) for 2 minutes. The tissues were blocked in 1% BSA for 20 minutes at room temperature, washed with ddH2O and PBS, and then probed with the primary antibody (HA721155) at 1/4,000 dilution for 1 hour at room temperature. The detection was performed using an HRP conjugated compact polymer system. DAB was used as the chromogen. Tissues were counterstained with hematoxylin and mounted with DPX.
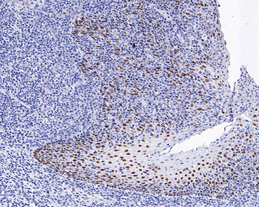
HA721155_14.jpg Fig14: Immunohistochemical analysis of paraffin-embedded human tonsil tissue with Rabbit anti-SOX2 antibody (HA721155) at 1/1,000 dilution.

The section was pre-treated using heat mediated antigen retrieval with sodium citrate buffer (pH 6.0) (high pressure) for 2 minutes. The tissues were blocked in 1% BSA for 20 minutes at room temperature, washed with ddH2O and PBS, and then probed with the primary antibody (HA721155) at 1/1,000 dilution for 1 hour at room temperature. The detection was performed using an HRP conjugated compact polymer system. DAB was used as the chromogen. Tissues were counterstained with hematoxylin and mounted with DPX.
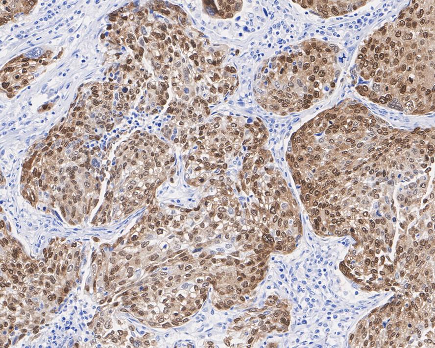
HA721155_15.jpg Fig15: Immunohistochemical analysis of paraffin-embedded human lung cancer tissue with Rabbit anti-SOX2 antibody (HA721155) at 1/4,000 dilution.

The section was pre-treated using heat mediated antigen retrieval with sodium citrate buffer (pH 6.0) (high pressure) for 2 minutes. The tissues were blocked in 1% BSA for 20 minutes at room temperature, washed with ddH2O and PBS, and then probed with the primary antibody (HA721155) at 1/4,000 dilution for 1 hour at room temperature. The detection was performed using an HRP conjugated compact polymer system. DAB was used as the chromogen. Tissues were counterstained with hematoxylin and mounted with DPX.
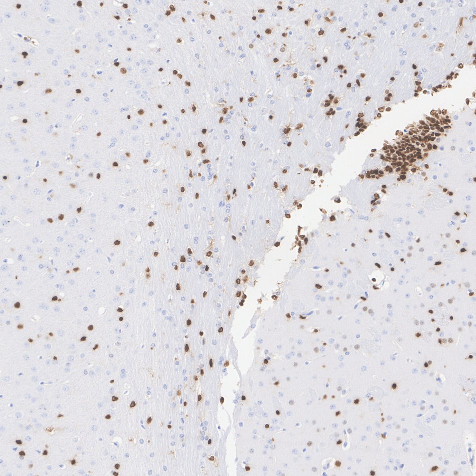
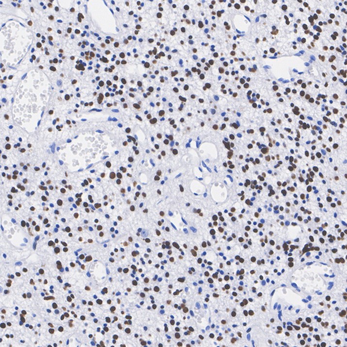
HA721155_16.jpg Fig16: Immunohistochemical analysis of paraffin-embedded mouse brain tissue with Rabbit anti-SOX2 antibody (HA721155) at 1/4,000 dilution.

The section was pre-treated using heat mediated antigen retrieval with sodium citrate buffer (pH 6.0) (high pressure) for 2 minutes. The tissues were blocked in 1% BSA for 20 minutes at room temperature, washed with ddH2O and PBS, and then probed with the primary antibody (HA721155) at 1/4,000 dilution for 1 hour at room temperature. The detection was performed using an HRP conjugated compact polymer system. DAB was used as the chromogen. Tissues were counterstained with hematoxylin and mounted with DPX.
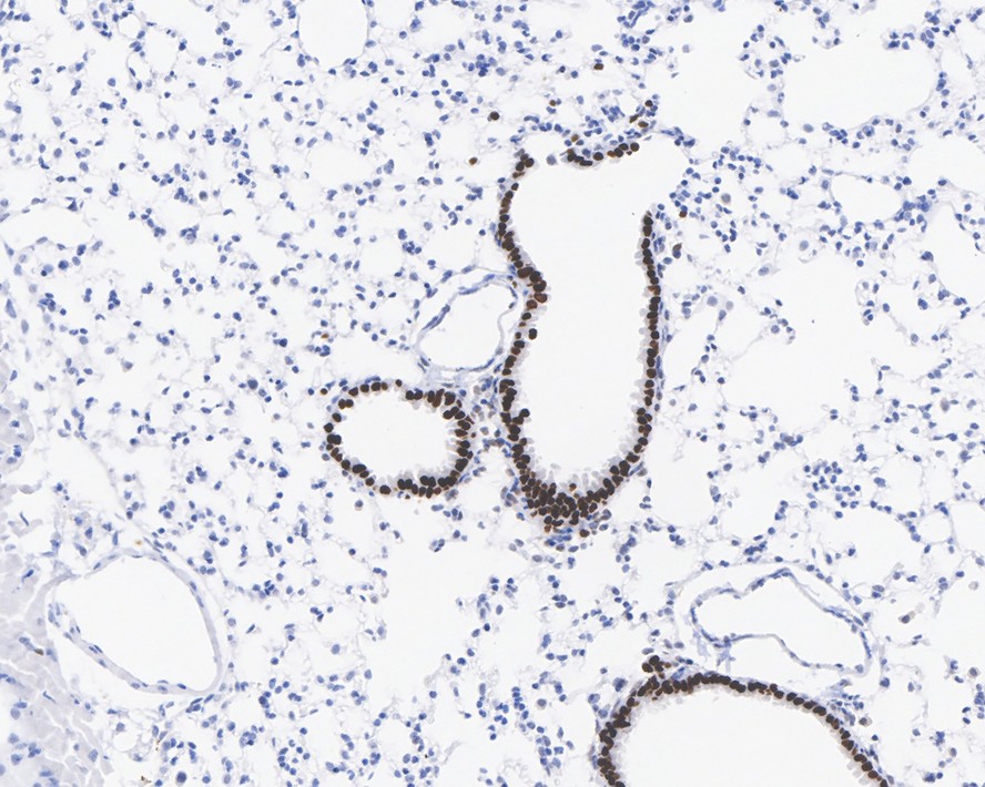
HA721155_17.jpg Fig17: Immunohistochemical analysis of paraffin-embedded mouse lung tissue with Rabbit anti-SOX2 antibody (HA721155) at 1/1,000 dilution.

The section was pre-treated using heat mediated antigen retrieval with sodium citrate buffer (pH 6.0) (high pressure) for 2 minutes. The tissues were blocked in 1% BSA for 20 minutes at room temperature, washed with ddH2O and PBS, and then probed with the primary antibody (HA721155) at 1/1,000 dilution for 1 hour at room temperature. The detection was performed using an HRP conjugated compact polymer system. DAB was used as the chromogen. Tissues were counterstained with hematoxylin and mounted with DPX.
HA721155_18.jpg Fig18: Immunohistochemical analysis of paraffin-embedded rat brain tissue with Rabbit anti-SOX2 antibody (HA721155) at 1/4,000 dilution.

The section was pre-treated using heat mediated antigen retrieval with sodium citrate buffer (pH 6.0) (high pressure) for 2 minutes. The tissues were blocked in 1% BSA for 20 minutes at room temperature, washed with ddH2O and PBS, and then probed with the primary antibody (HA721155) at 1/4,000 dilution for 1 hour at room temperature. The detection was performed using an HRP conjugated compact polymer system. DAB was used as the chromogen. Tissues were counterstained with hematoxylin and mounted with DPX.
HA721155_19.jpg Fig19: Immunohistochemical analysis of paraffin-embedded rat hippocampus tissue with Rabbit anti-SOX2 antibody (HA721155) at 1/1,000 dilution.

The section was pre-treated using heat mediated antigen retrieval with sodium citrate buffer (pH 6.0) (high pressure) for 2 minutes. The tissues were blocked in 1% BSA for 20 minutes at room temperature, washed with ddH2O and PBS, and then probed with the primary antibody (HA721155) at 1/1,000 dilution for 1 hour at room temperature. The detection was performed using an HRP conjugated compact polymer system. DAB was used as the chromogen. Tissues were counterstained with hematoxylin and mounted with DPX.
HA721155_20.jpg Fig20: Chromatin immunoprecipitations were performed with cross-linked chromatin from NCCIT cells with SOX2 (HA721155) or Normal Rabbit IgG according to the ChIP protocol. The enriched DNA was quantified by real-time PCR using indicated primers. The amount of immunoprecipitated DNA in each sample is represented as signal relative to the total amount of input chromatin, which is equivalent to one.
HA721155_21.jpg Fig21: Immunohistochemical analysis of paraffin-embedded human glioma tissue with Rabbit anti-SOX2 antibody (HA721155) at 1/4,000 dilution.

The section was pre-treated using heat mediated antigen retrieval with Tris-EDTA buffer (pH 9.0) for 20 minutes. The tissues were blocked in 1% BSA for 20 minutes at room temperature, washed with ddH2O and PBS, and then probed with the primary antibody (HA721155) at 1/4,000 dilution for 1 hour at room temperature. The detection was performed using an HRP conjugated compact polymer system. DAB was used as the chromogen. Tissues were counterstained with hematoxylin and mounted with DPX.
HA721155_22.jpg Fig22: Immunohistochemical analysis of paraffin-embedded mouse brain tissue with Rabbit anti-SOX2 antibody (HA721155) at 1/4,000 dilution.

The section was pre-treated using heat mediated antigen retrieval with Tris-EDTA buffer (pH 9.0) for 20 minutes. The tissues were blocked in 1% BSA for 20 minutes at room temperature, washed with ddH2O and PBS, and then probed with the primary antibody (HA721155) at 1/4,000 dilution for 1 hour at room temperature. The detection was performed using an HRP conjugated compact polymer system. DAB was used as the chromogen. Tissues were counterstained with hematoxylin and mounted with DPX.
HA721155_23.jpg Fig23: Immunohistochemical analysis of paraffin-embedded rat brain tissue with Rabbit anti-SOX2 antibody (HA721155) at 1/4,000 dilution.

The section was pre-treated using heat mediated antigen retrieval with Tris-EDTA buffer (pH 9.0) for 20 minutes. The tissues were blocked in 1% BSA for 20 minutes at room temperature, washed with ddH2O and PBS, and then probed with the primary antibody (HA721155) at 1/4,000 dilution for 1 hour at room temperature. The detection was performed using an HRP conjugated compact polymer system. DAB was used as the chromogen. Tissues were counterstained with hematoxylin and mounted with DPX.
Note: All products are “FOR RESEARCH USE ONLY AND ARE NOT INTENDED FOR DIAGNOSTIC OR THERAPEUTIC USE”.