Androgen receptor Recombinant Rabbit Monoclonal Antibody [PO00-29]
cat.: HA721156
Product Type: Recombinant Rabbit monoclonal IgG, primary antibodies
Species reactivity: Human, Mouse, Rat
Applications: IHC-P, IF-Tissue, IF-Cell, IP, mIHC, WB
Clonality: Monoclonal
Clone number: PO00-29
Form: Liquid
Storage condition: Shipped at 4℃. Store at +4℃ short term (1-2 weeks). It is recommended to aliquot into single-use upon delivery. Store at -20℃ long term.
Storage buffer: PBS (pH7.4), 0.1% BSA, 40% Glycerol. Preservative: 0.05% Sodium Azide.
Concentration: 1ug/ul
Purification: Protein A affinity purified.
Molecular weight: Predicted band size: 99 kDa
Isotype: IgG
Immunogen: Synthetic peptide within Human Androgen Receptor aa 300-400 (N terminal).
Positive control: A549 cell lysate, K-562 cell lysate, 22RV1 cell lysate, rat testis tissue lysates, 22RV1, human prostate carcinoma tissue, human fallopian tube tissue, mouse testis tissue, mouse epididymis tissue, rat epididymis tissue.
Subcellular location: Cytoplasm, Nucleus.
Recommended Dilutions:
  IHC-P
  WB
  IF-Tissue
  IF-Cell
  IP
  mIHC

1:200-1:1,000
1:1,000
1:50-1:200
1:100
1-2μg/sample
1:3,000
Uniprot #: SwissProt: P10275 Human | P19091 Mouse | P15207 Rat
Alternative names: AIS ANDR_HUMAN Androgen nuclear receptor variant 2 Androgen receptor (dihydrotestosterone receptor; testicular feminization; spinal and bulbar muscular atrophy; Kennedy disease) Androgen receptor androgen receptor splice variant 4b AR AR8 DHTR Dihydro testosterone receptor Dihydrotestosterone receptor (DHTR) Dihydrotestosterone receptor HUMARA HYSP1 KD Kennedy disease (KD) NR3C4 Nuclear receptor subfamily 3 group C member 4 (NR3C4) Nuclear receptor subfamily 3 group C member 4 SBMA SMAX1 Spinal and bulbar muscular atrophy (SBMA) Spinal and bulbar muscular atrophy Testicular Feminization (TFM) TFM
Images
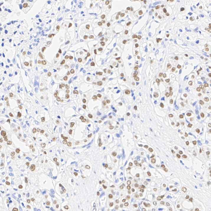
HA721156_1.jpg Fig1: Immunohistochemical analysis of paraffin-embedded human prostate carcinoma tissue with Rabbit anti-Androgen receptor antibody (HA721156) at 1/1,000 dilution.

The section was pre-treated using heat mediated antigen retrieval with sodium citrate buffer (pH 6.0) (high pressure) for 2 minutes. The tissues were blocked in 1% BSA for 20 minutes at room temperature, washed with ddH2O and PBS, and then probed with the primary antibody (HA721156) at 1/1,000 dilution for 1 hour at room temperature. The detection was performed using an HRP conjugated compact polymer system. DAB was used as the chromogen. Tissues were counterstained with hematoxylin and mounted with DPX.
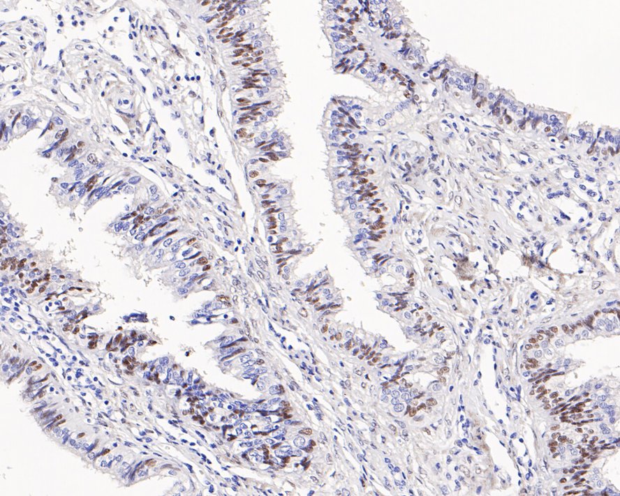
HA721156_2.jpg Fig2: Immunohistochemical analysis of paraffin-embedded human fallopian tube tissue with Rabbit anti-Androgen receptor antibody (HA721156) at 1/200 dilution.

The section was pre-treated using heat mediated antigen retrieval with sodium citrate buffer (pH 6.0) (high pressure) for 2 minutes. The tissues were blocked in 1% BSA for 20 minutes at room temperature, washed with ddH2O and PBS, and then probed with the primary antibody (HA721156) at 1/200 dilution for 1 hour at room temperature. The detection was performed using an HRP conjugated compact polymer system. DAB was used as the chromogen. Tissues were counterstained with hematoxylin and mounted with DPX.
HA721156_3.jpg Fig3: Immunohistochemical analysis of paraffin-embedded mouse testis tissue with Rabbit anti-Androgen receptor antibody (HA721156) at 1/1,000 dilution.

The section was pre-treated using heat mediated antigen retrieval with sodium citrate buffer (pH 6.0) (high pressure) for 2 minutes. The tissues were blocked in 1% BSA for 20 minutes at room temperature, washed with ddH2O and PBS, and then probed with the primary antibody (HA721156) at 1/1,000 dilution for 1 hour at room temperature. The detection was performed using an HRP conjugated compact polymer system. DAB was used as the chromogen. Tissues were counterstained with hematoxylin and mounted with DPX.
HA721156_4.jpg Fig4: Immunohistochemical analysis of paraffin-embedded mouse epididymis tissue with Rabbit anti-Androgen receptor antibody (HA721156) at 1/1,000 dilution.

The section was pre-treated using heat mediated antigen retrieval with sodium citrate buffer (pH 6.0) (high pressure) for 2 minutes. The tissues were blocked in 1% BSA for 20 minutes at room temperature, washed with ddH2O and PBS, and then probed with the primary antibody (HA721156) at 1/1,000 dilution for 1 hour at room temperature. The detection was performed using an HRP conjugated compact polymer system. DAB was used as the chromogen. Tissues were counterstained with hematoxylin and mounted with DPX.
HA721156_5.jpg Fig5: Immunohistochemical analysis of paraffin-embedded rat epididymis tissue with Rabbit anti-Androgen receptor antibody (HA721156) at 1/1,000 dilution.

The section was pre-treated using heat mediated antigen retrieval with sodium citrate buffer (pH 6.0) (high pressure) for 2 minutes. The tissues were blocked in 1% BSA for 20 minutes at room temperature, washed with ddH2O and PBS, and then probed with the primary antibody (HA721156) at 1/1,000 dilution for 1 hour at room temperature. The detection was performed using an HRP conjugated compact polymer system. DAB was used as the chromogen. Tissues were counterstained with hematoxylin and mounted with DPX.
HA721156_6.jpg Fig6: Immunohistochemical analysis of paraffin embedded human prostate cancer tissue using anti-Androgen receptor antibody (1/200) performed on the Leica® BOND™ RX.
HA721156_7.jpg Fig7: Immunofluorescence analysis of paraffin-embedded rat epididymis tissue labeling Androgen receptor with Rabbit anti-Androgen receptor antibody (HA721156) at 1/50 dilution.

The section was pre-treated using heat mediated antigen retrieval with sodium citrate buffer (pH 6.0) (high pressure) for 2 minutes. The tissues were blocked in 10% negative goat serum for 1 hour at room temperature, washed with PBS, and then probed with the primary antibody (HA721156, green) at 1/50 dilution overnight at 4 ℃, washed with PBS. Goat Anti-Rabbit IgG H&L (iFluor™ 488, HA1121) was used as the secondary antibody at 1/1,000 dilution. Nuclei were counterstained with DAPI (blue).
HA721156_8.png Fig8: Western blot analysis of Androgen receptor on rat testis tissue lysates with Rabbit anti-Androgen receptor antibody (HA721156) at 1/1,000 dilution.

Lysates/proteins at 20 µg/Lane.

Predicted band size: 99 kDa
Observed band size: 110 kDa

Exposure time: 3 minutes;

8% SDS-PAGE gel.

Proteins were transferred to a PVDF membrane and blocked with 5% NFDM/TBST for 1 hour at room temperature. The primary antibody (HA721156) at 1/1,000 dilution was used in 5% NFDM/TBST at room temperature for 2 hours. Goat Anti-Rabbit IgG - HRP Secondary Antibody (HA1001) at 1:100,000 dilution was used for 1 hour at room temperature.
HA721156_9.jpg Fig9: Western blot analysis of Androgen receptor on different lysates with Rabbit anti-Androgen receptor antibody (HA721156) at 1/1,000 dilution.

Lane 1: A549 cell lysate
Lane 2: K-562 cell lysate
Lane 3: 22RV1 cell lysate

Lysates/proteins at 10 µg/Lane.

Predicted band size: 99 kDa
Observed band size: 99/75 kDa

Exposure time: 10 seconds; ECL: K1802;

4-20% SDS-PAGE gel.

Proteins were transferred to a PVDF membrane and blocked with 5% NFDM/TBST for 1 hour at room temperature. The primary antibody (HA721156) at 1/1,000 dilution was used in 5% NFDM/TBST at 4℃ overnight. Goat Anti-Rabbit IgG - HRP Secondary Antibody (HA1001) at 1/50,000 dilution was used for 1 hour at room temperature.
HA721156_10.jpg Fig10: Immunocytochemistry analysis of 22RV1 cells labeling Androgen receptor with Rabbit anti-Androgen receptor antibody (HA721156) at 1/100 dilution.

Cells were fixed in 4% paraformaldehyde for 20 minutes at room temperature, permeabilized with 0.1% Triton X-100 in PBS for 5 minutes at room temperature, then blocked with 1% BSA in 10% negative goat serum for 1 hour at room temperature. Cells were then incubated with Rabbit anti-Androgen receptor antibody (HA721156) at 1/100 dilution in 1% BSA in PBST overnight at 4 ℃. Goat Anti-Rabbit IgG H&L (iFluor™ 488, HA1121) was used as the secondary antibody at 1/1,000 dilution. PBS instead of the primary antibody was used as the secondary antibody only control. Nuclear DNA was labelled in blue with DAPI.

Beta tubulin (M1305-2, red) was stained at 1/100 dilution overnight at +4℃. Goat Anti-Mouse IgG H&L (iFluor™ 594, HA1126) was used as the secondary antibody at 1/1,000 dilution.
HA721156_11.jpg Fig11: Androgen receptor was immunoprecipitated from 0.2 mg 22RV1 cell lysate with HA721156 at 2 µg/10 µl beads. Western blot was performed from the immunoprecipitate using HA721156 at 1/2,000 dilution. HRP Conjugated Anti-Rabbit IgG for IP Nano-secondary antibody at 1/5,000 dilution was used for 1 hour at room temperature.

Lane 1: 22RV1 cell lysate (input)
Lane 2: HA721156 IP in 22RV1 cell lysate
Lane 3: Rabbit IgG instead of HA721156 in 22RV1 cell lysate

Blocking/Dilution buffer: 5% NFDM/TBST
Exposure time: 25 seconds; ECL: K1801
Note: All products are “FOR RESEARCH USE ONLY AND ARE NOT INTENDED FOR DIAGNOSTIC OR THERAPEUTIC USE”.