CD47 Recombinant Rabbit Monoclonal Antibody [PD00-33]
cat.: HA721158
Product Type: Recombinant Rabbit monoclonal IgG, primary antibodies
Species reactivity: Human
Applications: IHC-P, FC
Clonality: Monoclonal
Clone number: PD00-33
Form: Liquid
Storage condition: Shipped at 4℃. Store at +4℃ short term (1-2 weeks). It is recommended to aliquot into single-use upon delivery. Store at -20℃ long term.
Storage buffer: PBS (pH7.4), 0.1% BSA, 40% Glycerol. Preservative: 0.05% Sodium Azide.
Concentration: 1ug/ul
Purification: Protein A affinity purified.
Molecular weight: Predicted band size: 35 kDa
Isotype: IgG
Immunogen: Synthetic peptide within Human CD47 aa 50-150 (internal sequence).
Positive control: Human ovarian tumor tissue, human prostate tissue, Jurkat.
Subcellular location: Cell membrane.
Recommended Dilutions:
  IHC-P
  FC

1:1,000
1:500-1:1,000
Uniprot #: SwissProt: Q08722 Human
Alternative names: Antigen identified by monoclonal 1D8 Antigenic surface determinant protein OA3 CD 47 CD47 CD47 antigen (Rh-related antigen, integrin-associated signal transducer) CD47 antigen CD47 glycoprotein CD47 molecule CD47_HUMAN IAP Integrin Associated Protein Integrin associated signal transducer Integrin-associated protein Leukocyte surface antigen CD47 MER 6 MER6 OA 3 OA3 OTTHUMP00000041152 OTTHUMP00000041153 Protein MER6 Rh related antigen Surface antigen identified by monoclonal 1D8
Images
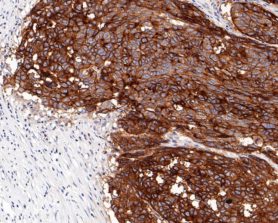
HA721158_1.jpg Fig1: Immunohistochemical analysis of paraffin-embedded human ovarian tumor tissue with Rabbit anti-CD47 antibody (HA721158) at 1/1,000 dilution.

The section was pre-treated using heat mediated antigen retrieval with Tris-EDTA buffer (pH 9.0) for 20 minutes. The tissues were blocked in 1% BSA for 20 minutes at room temperature, washed with ddH2O and PBS, and then probed with the primary antibody (HA721158) at 1/1,000 dilution for 1 hour at room temperature. The detection was performed using an HRP conjugated compact polymer system. DAB was used as the chromogen. Tissues were counterstained with hematoxylin and mounted with DPX.
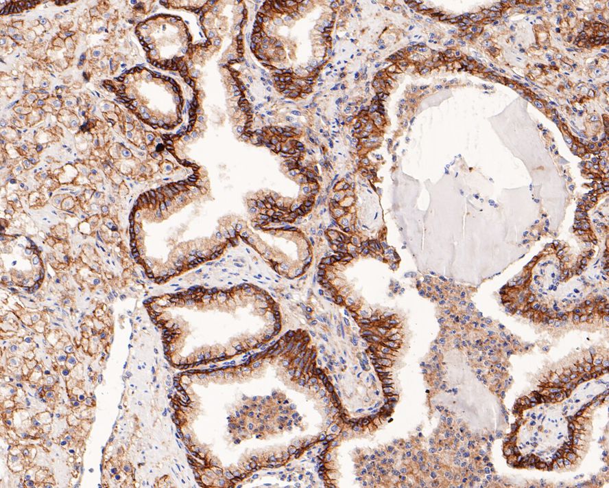
HA721158_2.jpg Fig2: Immunohistochemical analysis of paraffin-embedded human prostate tissue with Rabbit anti-CD47 antibody (HA721158) at 1/1,000 dilution.

The section was pre-treated using heat mediated antigen retrieval with Tris-EDTA buffer (pH 9.0) for 20 minutes. The tissues were blocked in 1% BSA for 20 minutes at room temperature, washed with ddH2O and PBS, and then probed with the primary antibody (HA721158) at 1/1,000 dilution for 1 hour at room temperature. The detection was performed using an HRP conjugated compact polymer system. DAB was used as the chromogen. Tissues were counterstained with hematoxylin and mounted with DPX.
HA721158_3.jpg Fig3: Flow cytometric analysis of Jurkat cells labeling CD47.

Cells were fixed and permeabilized. Then stained with the primary antibody (HA721158, 1ug/ml) (red) compared with Rabbit IgG Isotype Control (green). After incubation of the primary antibody at +4℃ for an hour, the cells were stained with a iFluor™ 488 conjugate-Goat anti-Rabbit IgG Secondary antibody (HA1121) at 1/1,000 dilution for 30 minutes at +4℃. Unlabelled sample was used as a control (cells without incubation with primary antibody; black).
Note: All products are “FOR RESEARCH USE ONLY AND ARE NOT INTENDED FOR DIAGNOSTIC OR THERAPEUTIC USE”.