CD21 Recombinant Rabbit Monoclonal Antibody [PD00-23]
cat.: HA721163
Product Type: Recombinant Rabbit monoclonal IgG, primary antibodies
Species reactivity: Human
Applications: WB, IHC-P, IF-Cell, FC, mIHC, IF-Tissue
Clonality: Monoclonal
Clone number: PD00-23
Form: Liquid
Storage condition: Shipped at 4℃. Store at +4℃ short term (1-2 weeks). It is recommended to aliquot into single-use upon delivery. Store at -20℃ long term.
Storage buffer: PBS (pH7.4), 0.1% BSA, 40% Glycerol. Preservative: 0.05% Sodium Azide.
Concentration: 1ug/ul
Purification: Protein A affinity purified.
Molecular weight: Predicted band size: 113 kDa
Isotype: IgG
Immunogen: Synthetic peptide within Human CD21 aa 1000 to the C-terminus.
Positive control: Raji cell lysates, human tonsil tissue, human spleen tissue, Raji, human prostate cancer.
Subcellular location: Cell membrane.
Recommended Dilutions:
  WB
  IHC-P
  IF-Cell
  FC
  mIHC
  IF-Tissue

1:1,000
1:4,000
1:100
1:500-1:1,000
1:1,000-1:4,000
1:1,000
Uniprot #: SwissProt: P20023 Human
Alternative names: C3DR CD 21 CD21 Complement C3d receptor 2 Complement C3d receptor Complement component (3d/Epstein Barr virus) receptor 2 Complement receptor type 2 CR Cr2 CR2_HUMAN CVID7 EBV receptor EBV-R Epstein Barr virus receptor Epstein-Barr virus receptor EVBR SLEB9
Images
HA721163_1.jpg Fig1: Western blot analysis of CD21 on Raji cell lysates with Rabbit anti-CD21 antibody (HA721163) at 1/1,000 dilution.

Lysates/proteins at 10 µg/Lane.

Predicted band size: 113 kDa
Observed band size: 130 kDa

Exposure time: 2 minutes;

6% SDS-PAGE gel.

Proteins were transferred to a PVDF membrane and blocked with 5% NFDM/TBST for 1 hour at room temperature. The primary antibody (HA721163) at 1/1,000 dilution was used in 5% NFDM/TBST at room temperature for 2 hours. Goat Anti-Rabbit IgG - HRP Secondary Antibody (HA1001) at 1:300,000 dilution was used for 1 hour at room temperature.
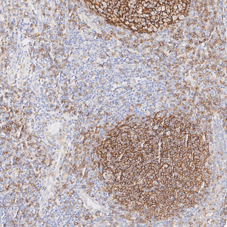
HA721163_2.jpg Fig2: Immunohistochemical analysis of paraffin-embedded human tonsil tissue with Rabbit anti-CD21 antibody (HA721163) at 1/4,000 dilution.

The section was pre-treated using heat mediated antigen retrieval with Tris-EDTA buffer (pH 9.0) for 20 minutes. The tissues were blocked in 1% BSA for 20 minutes at room temperature, washed with ddH2O and PBS, and then probed with the primary antibody (HA721163) at 1/4,000 dilution for 1 hour at room temperature. The detection was performed using an HRP conjugated compact polymer system. DAB was used as the chromogen. Tissues were counterstained with hematoxylin and mounted with DPX.
HA721163_3.jpg Fig3: Immunohistochemical analysis of paraffin-embedded human spleen tissue with Rabbit anti-CD21 antibody (HA721163) at 1/4,000 dilution.

The section was pre-treated using heat mediated antigen retrieval with Tris-EDTA buffer (pH 9.0) for 20 minutes. The tissues were blocked in 1% BSA for 20 minutes at room temperature, washed with ddH2O and PBS, and then probed with the primary antibody (HA721163) at 1/4,000 dilution for 1 hour at room temperature. The detection was performed using an HRP conjugated compact polymer system. DAB was used as the chromogen. Tissues were counterstained with hematoxylin and mounted with DPX.
HA721163_4.jpg Fig4: Immunocytochemistry analysis of Raji cells labeling CD21 with Rabbit anti-CD21 antibody (HA721163) at 1/100 dilution.

Cells were fixed in 4% paraformaldehyde for 10 minutes at 37 ℃, permeabilized with 0.05% Triton X-100 in PBS for 20 minutes, and then blocked with 2% negative goat serum for 30 minutes at room temperature. Cells were then incubated with Rabbit anti-CD21 antibody (HA721163) at 1/100 dilution in 2% negative goat serum overnight at 4 ℃. Goat Anti-Rabbit IgG H&L (iFluor™ 488, HA1121) was used as the secondary antibody at 1/1,000 dilution. Nuclear DNA was labelled in blue with DAPI.

Beta tubulin (M1305-2, red) was stained at 1/200 dilution overnight at +4℃. Goat Anti-Mouse IgG H&L (iFluor™ 594, HA1126) was used as the secondary antibody at 1/1,000 dilution.
HA721163_5.jpg Fig5: Flow cytometric analysis of Raji cells labeling CD21.

Cells were fixed and permeabilized. Then stained with the primary antibody (HA721163, 1ug/ml) (red) compared with Rabbit IgG Isotype Control (green). After incubation of the primary antibody at +4℃ for an hour, the cells were stained with a iFluor™ 488 conjugate-Goat anti-Rabbit IgG Secondary antibody (HA1121) at 1/1,000 dilution for 30 minutes at +4℃. Unlabelled sample was used as a control (cells without incubation with primary antibody; black).
HA721163_6.jpg Fig6: Fluorescence multiplex immunohistochemical analysis of tertiary lymphoid structures in human prostate cancer (Formalin/PFA-fixed paraffin-embedded sections). Panel A: the merged image of anti-CD20 (HA721138, green), anti-CD21 (HA721163, cyan) and anti-CD4 (ET1609-52, yellow) on tertiary lymphoid structures. Panel B: anti- CD21 stained on B cells. Panel C: anti-CD4 stained on naive B-cell, memory B-cell and plasma cells. Panel D: anti-CD20 stained on helper T cells and Treg cells. HRP Conjugated UltraPolymer Goat Polyclonal Antibody HA1119/HA1120 was used as a secondary antibody. The immunostaining was performed with the Sequential Immuno-staining Kit (IRISKit™MH010101, www.luminiris.cn). The section was incubated in three rounds of staining: in the order of HA721138 (1/1,500 dilution), HA721163 (1/1,000 dilution), and ET1609-52 (1/1,000 dilution) for 20 mins at room temperature. Each round was followed by a separate fluorescent tyramide signal amplification system. Heat mediated antigen retrieval with Tris-EDTA buffer (pH 9.0) for 30 mins at 95℃. DAPI (blue) was used as a nuclear counter stain. Image acquisition was performed with Olympus VS200 Slide Scanner.
HA721163_7.jpg Fig7: Fluorescence multiplex immunohistochemical analysis of human tonsil (Formalin/PFA-fixed paraffin-embedded sections). Panel A: the merged image of anti-CD14 (ET1610-85, Green), anti-CD21 (HA721163, Red) and anti-Granzyme B (HA500252, Yellow) on tonsil. HRP Conjugated UltraPolymer Goat Polyclonal Antibody HA1119/HA1120 was used as a secondary antibody. The immunostaining was performed with the Sequential Immuno-staining Kit (IRISKit™MH010101, www.luminiris.cn). The section was incubated in three rounds of staining: in the order of ET1610-85 (1/800 dilution), HA721163 (1/1,000 dilution) and HA500252 (1/200 dilution) for 20 mins at room temperature. Each round was followed by a separate fluorescent tyramide signal amplification system. Heat mediated antigen retrieval with Tris-EDTA buffer (pH 9.0) for 30 mins at 95℃. DAPI (blue) was used as a nuclear counter stain. Image acquisition was performed with Zeiss Observer 7 Inverted Fluorescence Microscope.
HA721163_8.jpg Fig8: Immunohistochemical analysis of paraffin-embedded human tonsil tissue with Rabbit anti-CD21 antibody (HA721163) at 1/1,000 dilution.

The section was pre-treated using heat mediated antigen retrieval with Tris-EDTA buffer (pH 9.0) for 20 minutes. The tissues were blocked in 1% BSA for 20 minutes at room temperature, washed with ddH2O and PBS, and then probed with the primary antibody (HA721163) at 1/1,000 dilution for 1 hour at room temperature. The detection was performed using an HRP conjugated compact polymer system. DAB was used as the chromogen. Tissues were counterstained with hematoxylin and mounted with DPX.
HA721163_9.jpg Fig9: Immunohistochemical analysis of paraffin-embedded human tonsil tissue with Rabbit anti-CD21 antibody (HA721163) at 1/1,000 dilution.

Heat mediated antigen retrieval with Tris-EDTA buffer (pH 9.0, epitope retrieval solution 2) for 20 mins. The section was incubated with HA721163 for 30 mins at room temperature. The immunostaining was performed on a Leica Biosystems BOND® RX instrument. DAB was used as the chromogen. Tissues were counterstained with hematoxylin and mounted with DPX.
Note: All products are “FOR RESEARCH USE ONLY AND ARE NOT INTENDED FOR DIAGNOSTIC OR THERAPEUTIC USE”.