TMEM16A Recombinant Rabbit Monoclonal Antibody [PO00-27]
cat.: HA721165
Product Type: Recombinant Rabbit monoclonal IgG, primary antibodies
Species reactivity: Human
Applications: IHC-P
Clonality: Monoclonal
Clone number: PO00-27
Form: Liquid
Storage condition: Shipped at 4℃. Store at +4℃ short term (1-2 weeks). It is recommended to aliquot into single-use upon delivery. Store at -20℃ long term.
Storage buffer: PBS (pH7.4), 0.1% BSA, 40% Glycerol. Preservative: 0.05% Sodium Azide.
Concentration: 1ug/ul
Purification: Protein A affinity purified.
Molecular weight: Predicted band size: 114 kDa
Isotype: IgG
Immunogen: Synthetic peptide within Human TMEM16A aa 400-500.
Positive control: Human gastrointestinal stromal tumor tissue, human gallbladder tissue, human breast tissue.
Subcellular location: Cytoplasm, Cell membrane.
Recommended Dilutions:
  IHC-P

1:1,000-1:1,500
Uniprot #: SwissProt: Q5XXA6 Human
Alternative names: ANO 1 ANO1 ANO1_HUMAN Anoctamin 1 Anoctamin 1 calcium activated chloride channel Anoctamin-1 Anoctamin1 Ca2+ activated Cl- channel Calcium Activated Chloride Channel Discovered on gastrointestinal stromal tumors protein 1 DOG 1 DOG1 FLJ10261 Membrane protein Oral cancer overexpressed 2 Oral cancer overexpressed protein 2 ORAOV 2 ORAOV2 TAOS 2 TAOS2 TMEM 16A TMEM16A Transmembrane protein 16A (eight membrane spanning domains) Transmembrane protein 16A Tumor amplified and overexpressed sequence 2 Tumor-amplified and overexpressed sequence 2
Images
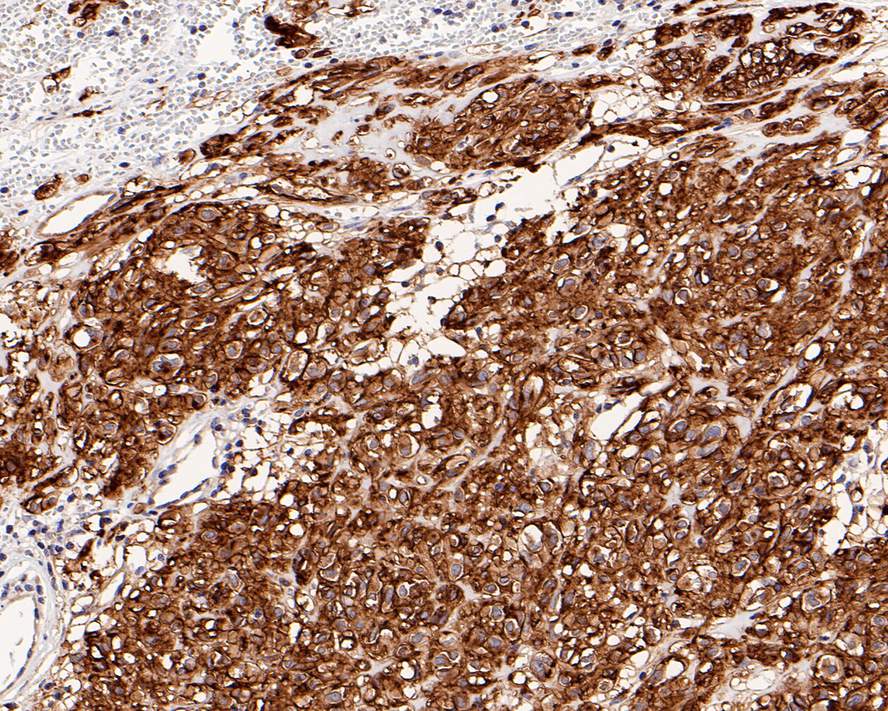
HA721165_1.jpg Fig1: Immunohistochemical analysis of paraffin-embedded human gastrointestinal stromal tumor tissue with Rabbit anti-TMEM16A antibody (HA721165) at 1/1,500 dilution.

The section was pre-treated using heat mediated antigen retrieval with Tris-EDTA buffer (pH 9.0) for 20 minutes. The tissues were blocked in 1% BSA for 20 minutes at room temperature, washed with ddH2O and PBS, and then probed with the primary antibody (HA721165) at 1/1,500 dilution for 1 hour at room temperature. The detection was performed using an HRP conjugated compact polymer system. DAB was used as the chromogen. Tissues were counterstained with hematoxylin and mounted with DPX.
HA721165_2.jpg Fig2: Immunohistochemical analysis of paraffin-embedded human gallbladder tissue with Rabbit anti-TMEM16A antibody (HA721165) at 1/1,000 dilution.

The section was pre-treated using heat mediated antigen retrieval with Tris-EDTA buffer (pH 9.0) for 20 minutes. The tissues were blocked in 1% BSA for 20 minutes at room temperature, washed with ddH2O and PBS, and then probed with the primary antibody (HA721165) at 1/1,000 dilution for 1 hour at room temperature. The detection was performed using an HRP conjugated compact polymer system. DAB was used as the chromogen. Tissues were counterstained with hematoxylin and mounted with DPX.
HA721165_3.jpg Fig3: Immunohistochemical analysis of paraffin-embedded human breast tissue with Rabbit anti-TMEM16A antibody (HA721165) at 1/1,000 dilution.

The section was pre-treated using heat mediated antigen retrieval with Tris-EDTA buffer (pH 9.0) for 20 minutes. The tissues were blocked in 1% BSA for 20 minutes at room temperature, washed with ddH2O and PBS, and then probed with the primary antibody (HA721165) at 1/1,000 dilution for 1 hour at room temperature. The detection was performed using an HRP conjugated compact polymer system. DAB was used as the chromogen. Tissues were counterstained with hematoxylin and mounted with DPX.
Note: All products are “FOR RESEARCH USE ONLY AND ARE NOT INTENDED FOR DIAGNOSTIC OR THERAPEUTIC USE”.