PD-L1 Recombinant Rabbit Monoclonal Antibody [PD01-02]
cat.: HA721176
Product Type: Recombinant Rabbit monoclonal IgG, primary antibodies
Species reactivity: Human
Applications: IHC-P, mIHC, WB
Clonality: Monoclonal
Clone number: PD01-02
Form: Liquid
Storage condition: Shipped at 4℃. Store at +4℃ short term (1-2 weeks). It is recommended to aliquot into single-use upon delivery. Store at -20℃ long term.
Storage buffer: PBS (pH7.4), 0.1% BSA, 40% Glycerol. Preservative: 0.05% Sodium Azide.
Concentration: 0.977ug/ul
Purification: Protein A affinity purified.
Molecular weight: Predicted band size: 33 kDa
Isotype: IgG
Immunogen: Synthetic peptide within human PD-L1 aa 260-290 (Cytoplasmic).
Positive control: Human Small Cell Lung Cancer, human non-small cell lung cancer, MDA-MB-231 cell lysate, U-87 MG cell lysate, HeLa cell lysate, A549 treated with 100ng/mL IFN gamma for 48 hours cell lysate, human lung carcinoma tissue, human placenta tissue.
Subcellular location: Cell membrane, Early endosome membrane, Recycling endosome membrane, Nucleus.
Recommended Dilutions:
  IHC-P
  mIHC
  WB

1:200-1:800
1:1,000
1:2,000
Uniprot #: SwissProt: Q9NZQ7 Human
Alternative names: B7 H B7 H1 B7 homolog 1 B7-H1 B7H B7H1 CD 274 CD-274 CD274 CD274 antigen CD274 molecule MGC142294 MGC142296 OTTHUMP00000021029 PD L1 PD-L1 PD1L1_HUMAN PDCD1 ligand 1 PDCD1L1 PDCD1LG1 PDL 1 PDL1 Programmed cell death 1 ligand 1 Programmed death ligand 1 RGD1566211
Images
HA721176_1.jpg Fig1: Fluorescence multiplex immunohistochemical analysis of the human non-small cell lung cancer (Formalin/PFA-fixed paraffin-embedded sections). Panel A: the merged image of anti-CD20 (HA721138, green), anti-CD68 (HA601115, gray), anti-PD-L1 (HA721176, cyan), anti-panCK (HA601138, magenta) and anti-CD3 (HA720082, yellow) on human non-small cell lung cancer. Panel B: anti- CD20 stained on B cells. Panel C: anti-CD68 stained on macrophage M1 and macrophage M2. Panel D: anti-PD-L1 stained on dendritic cells and macrophages cells. Panel E: anti-panCK stained on cancer cells. Panel F: anti-CD3 stained on T cells. HRP Conjugated UltraPolymer Goat Polyclonal Antibody HA1119/HA1120 was used as a secondary antibody. The immunostaining was performed with the Sequential Immuno-staining Kit (IRISKit™MH010101, www.luminiris.cn). The section was incubated in five rounds of staining: in the order of HA721138 (1/1,500 dilution), HA601115 (1/2,000 dilution), HA721176 (1/1,000 dilution), HA601138 (1/3,000 dilution), and HA720082 (1/500 dilution) for 20 mins at room temperature. Each round was followed by a separate fluorescent tyramide signal amplification system. Heat mediated antigen retrieval with Tris-EDTA buffer (pH 9.0) for 30 mins at 95℃. DAPI (blue) was used as a nuclear counter stain. Image acquisition was performed with Olympus VS200 Slide Scanner.
HA721176_2.jpg Fig2: Fluorescence multiplex immunohistochemical analysis of Tertiary Lymphoid Structures in Human Small Cell Lung Cancer (Formalin/PFA-fixed paraffin-embedded sections). Panel A: the merged image of anti-CD20 (HA721138, green), anti-PD-L1 (HA721176, cyan), anti-CD56 (ET1702-43, magenta) and anti-CD3 (HA720082, yellow) on tertiary lymphoid structures. Panel B: anti- CD20 stained on B cells. Panel C: anti-PD-L1 stained on dendritic cells and macrophages cells. Panel D: anti-CD56 stained on NKT cells. Panel E: anti-CD3 stained on T cells. HRP Conjugated UltraPolymer Goat Polyclonal Antibody HA1119/HA1120 was used as a secondary antibody. The immunostaining was performed with the Sequential Immuno-staining Kit (IRISKit™MH010101, www.luminiris.cn). The section was incubated in four rounds of staining: in the order of HA721138 (1/1,500 dilution), HA721176 (1/1,000 dilution), ET1702-43 (1/1,000 dilution), and HA720082 (1/500 dilution) for 20 mins at room temperature. Each round was followed by a separate fluorescent tyramide signal amplification system. Heat mediated antigen retrieval with Tris-EDTA buffer (pH 9.0) for 30 mins at 95℃. DAPI (blue) was used as a nuclear counter stain. Image acquisition was performed with Olympus VS200 Slide Scanner.
HA721176_3.jpg Fig3: Fluorescence multiplex immunohistochemical analysis of Human non-small cell lung cancer (Formalin/PFA-fixed paraffin-embedded sections). Panel A: the merged image of anti-PD-L1 (HA721176, red), anti-CD34 (ET1606-11, green), anti-Pan-CK (HA601138, cyan), anti-CD20 (HA721138, magenta), anti-αSMA (ET1607-53, yellow) and anti-CD57 (HA601114, white) on NSCLC. Panel B: anti-PD-L1 stained on dendritic cells and macrophages cells. Panel C: anti- CD34 stained on endothelial cells. Panel D: anti-Pan-CK stained on cancer cells. Panel E: CD20 stained on B cells. Panel F: anti-αSMA stained on cancer-associated fibroblasts and smooth muscle cells. Panel G: anti-CD57 stained on NK cells and T cells. HRP Conjugated UltraPolymer Goat Polyclonal Antibody HA1119/HA1120 was used as a secondary antibody. The immunostaining was performed with the Sequential Immuno-staining Kit (IRISKit™MH010101, www.luminiris.cn). The section was incubated in six rounds of staining: in the order of HA721176 (1/1,000 dilution), ET1606-11 (1/1,000 dilution), HA601138 (1/3,000 dilution), HA721138 (1/2,000 dilution), ET1607-53 (1/3,000 dilution) and HA601114 (1/1,000 dilution) for 20 mins at room temperature. Each round was followed by a separate fluorescent tyramide signal amplification system. Heat mediated antigen retrieval with Tris-EDTA buffer (pH 9.0) for 30 mins at 95℃. DAPI (blue) was used as a nuclear counter stain. Image acquisition was performed with Olympus VS200 Slide Scanner.
HA721176_4.jpg Fig4: Fluorescence multiplex immunohistochemical analysis of human non-small cell lung cancer (Formalin/PFA-fixed paraffin-embedded sections). Panel A: the merged image of anti-CD34 (ET1606-11, White), anti-PD-L1 (HA721176, Violet) and anti-pan Cytokeratin (HA601138, Yellow) on NSCLC. HRP Conjugated UltraPolymer Goat Polyclonal Antibody HA1119/HA1120 was used as a secondary antibody. The immunostaining was performed with the Sequential Immuno-staining Kit (IRISKit™MH010101, www.luminiris.cn). The section was incubated in three rounds of staining: in the order of ET1606-11 (1/2,000 dilution), HA721176 (1/1,000 dilution) and HA601138 (1/3,000 dilution) for 20 mins at room temperature. Each round was followed by a separate fluorescent tyramide signal amplification system. Heat mediated antigen retrieval with Tris-EDTA buffer (pH 9.0) for 30 mins at 95℃. DAPI (blue) was used as a nuclear counter stain. Image acquisition was performed with Zeiss Observer 7 Inverted Fluorescence Microscope.
HA721176_5.jpg Fig5: Western blot analysis of PD-L1 on different lysates with Rabbit anti-PD-L1 antibody (HA721176) at 1/2,000 dilution and competitor's antibody at 1/1,000 dilution.

Lane 1: MDA-MB-231 cell lysate
Lane 2: MCF7 cell lysate (negative)
Lane 3: U-87 MG cell lysate
Lane 4: HepG2 cell lysate (low expression)
Lane 5: HeLa cell lysate
Lane 6: A549 cell lysate
Lane 7: A549 treated with 100ng/mL IFN gamma for 48 hours cell lysate

Lysates/proteins at 20 µg/Lane.

Predicted band size: 33 kDa
Observed band size: 45-50 kDa

Exposure time: 25 seconds; ECL: K1802;
4-20% SDS-PAGE gel.

Proteins were transferred to a PVDF membrane and blocked with 5% NFDM/TBST for 1 hour at room temperature. The primary antibody (HA721176) at 1/2,000 dilution and competitor's antibody at 1/1,000 dilution were used in 5% NFDM/TBST at 4℃ overnight. Goat Anti-Rabbit IgG - HRP Secondary Antibody (HA1001) at 1/50,000 dilution was used for 1 hour at room temperature.
HA721176_6.jpg Fig6: Immunohistochemical analysis of paraffin-embedded human lung carcinoma tissue with Rabbit anti-PD-L1 antibody (HA721176) at 1/800 dilution.

The section was pre-treated using heat mediated antigen retrieval with Tris-EDTA buffer (pH 9.0) for 20 minutes. The tissues were blocked in 1% BSA for 20 minutes at room temperature, washed with ddH2O and PBS, and then probed with the primary antibody (HA721176) at 1/800 dilution for 1 hour at room temperature. The detection was performed using an HRP conjugated compact polymer system. DAB was used as the chromogen. Tissues were counterstained with hematoxylin and mounted with DPX.
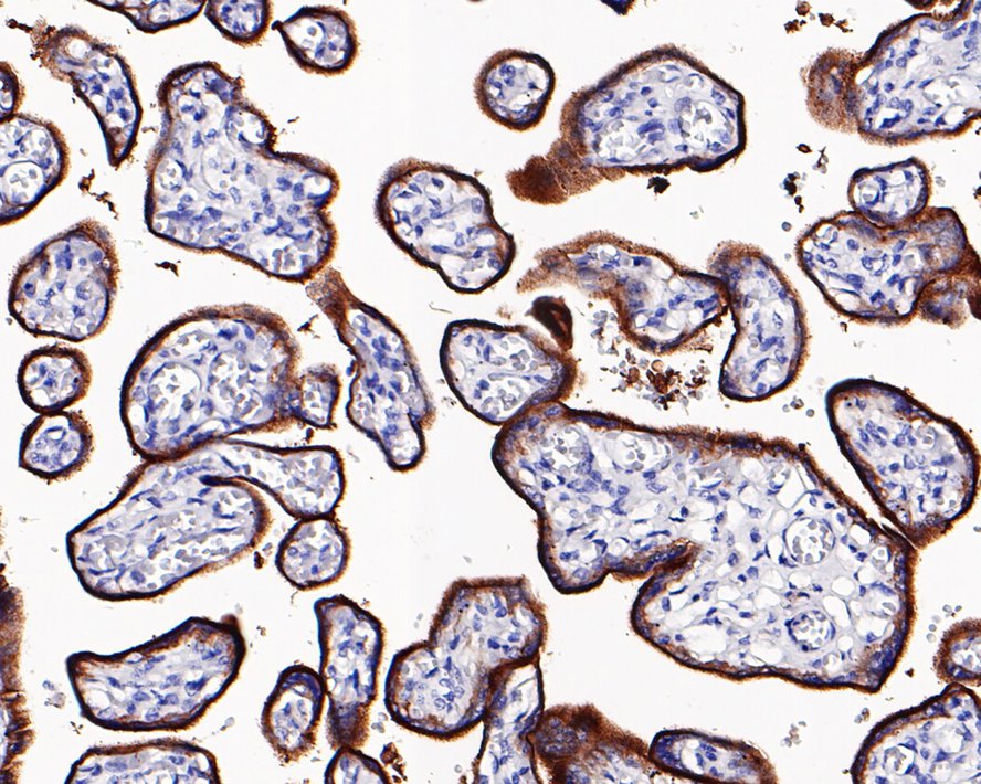
HA721176_7.jpg Fig7: Immunohistochemical analysis of paraffin-embedded human placenta tissue with Rabbit anti-PD-L1 antibody (HA721176) at 1/200 dilution.

The section was pre-treated using heat mediated antigen retrieval with Tris-EDTA buffer (pH 9.0) for 20 minutes. The tissues were blocked in 1% BSA for 20 minutes at room temperature, washed with ddH2O and PBS, and then probed with the primary antibody (HA721176) at 1/200 dilution for 1 hour at room temperature. The detection was performed using an HRP conjugated compact polymer system. DAB was used as the chromogen. Tissues were counterstained with hematoxylin and mounted with DPX.
HA721176_8.jpg Fig8: Western blot analysis of PD-L1 on different lysates with Rabbit anti-PD-L1 antibody (HA721176) at 1/5,000 dilution.

Lane 1: MDA-MB-231-si NT cell lysate
Lane 2: MDA-MB-231-si PD-L1 cell lysate

Lysates/proteins at 10 µg/Lane.

Predicted band size: 33 kDa
Observed band size: 45-50 kDa

Exposure time: 1 minute 14 seconds; ECL: K1802;

4-20% SDS-PAGE gel.

Proteins were transferred to a PVDF membrane and blocked with 5% NFDM/TBST for 1 hour at room temperature. The primary antibody (HA721176) at 1/5,000 dilution was used in 5% NFDM/TBST at room temperature for 2 hours. Goat Anti-Rabbit IgG - HRP Secondary Antibody (HA1001) at 1/50,000 dilution was used for 1 hour at room temperature.
Note: All products are “FOR RESEARCH USE ONLY AND ARE NOT INTENDED FOR DIAGNOSTIC OR THERAPEUTIC USE”.