delta 1 Catenin/CAS Recombinant Rabbit Monoclonal Antibody [PD00-43]
cat.: HA721193
Product Type: Recombinant Rabbit monoclonal IgG, primary antibodies
Species reactivity: Human
Applications: WB, IHC-P, IF-Tissue
Clonality: Monoclonal
Clone number: PD00-43
Form: Liquid
Storage condition: Shipped at 4℃. Store at +4℃ short term (1-2 weeks). It is recommended to aliquot into single-use upon delivery. Store at -20℃ long term.
Storage buffer: PBS (pH7.4), 0.1% BSA, 40% Glycerol. Preservative: 0.05% Sodium Azide.
Concentration: 1ug/ul
Purification: Protein A affinity purified.
Molecular weight: Predicted band size: 108 kDa
Isotype: IgG
Immunogen: Synthetic peptide within Human delta 1 Catenin/CAS aa 850-950 (C terminal).
Positive control: SK-Br-3 cell lysates, human breast cancer tissue, human liver cancer tissue, human prostate carcinoma tissue, human ovary carcinoma tissue, human esophagus tissue.
Subcellular location: Cytoplasm, Cell membrane, Nucleus.
Recommended Dilutions:
  WB
  IHC-P
  IF-Tissue

1:1,000
1:500-1:2,000
1:500
Uniprot #: SwissProt: O60716 Human
Alternative names: Cadherin associated Src substrate Cadherin-associated Src substrate CAS Catenin (cadherin associated protein) delta 1 Catenin delta 1 Catenin delta Catenin delta-1 CTND1_HUMAN CTNND 1 CTNND CTNND1 delta 1 Catenin KIAA0384 p120 P120 CAS p120 catenin P120 CTN p120(cas) p120(ctn) P120CAS P120CTN
Images
HA721193_1.jpg Fig1: Western blot analysis of delta 1 Catenin/CAS on SK-Br-3 cell lysates with Rabbit anti-delta 1 Catenin/CAS antibody (HA721193) at 1/1,000 dilution.

Lysates/proteins at 10 µg/Lane.

Predicted band size: 108 kDa
Observed band size: 95 kDa

Exposure time: 1 minute;

6% SDS-PAGE gel.

Proteins were transferred to a PVDF membrane and blocked with 5% NFDM/TBST for 1 hour at room temperature. The primary antibody (HA721193) at 1/1,000 dilution was used in 5% NFDM/TBST at room temperature for 2 hours. Goat Anti-Rabbit IgG - HRP Secondary Antibody (HA1001) at 1:300,000 dilution was used for 1 hour at room temperature.
HA721193_2.jpg Fig2: Immunohistochemical analysis of paraffin-embedded human breast cancer tissue with Rabbit anti-delta 1 Catenin/CAS antibody (HA721193) at 1/1,000 dilution.

The section was pre-treated using heat mediated antigen retrieval with Tris-EDTA buffer (pH 9.0) for 20 minutes. The tissues were blocked in 1% BSA for 20 minutes at room temperature, washed with ddH2O and PBS, and then probed with the primary antibody (HA721193) at 1/1,000 dilution for 1 hour at room temperature. The detection was performed using an HRP conjugated compact polymer system. DAB was used as the chromogen. Tissues were counterstained with hematoxylin and mounted with DPX.
HA721193_3.jpg Fig3: Immunohistochemical analysis of paraffin-embedded human liver cancer tissue with Rabbit anti-delta 1 Catenin/CAS antibody (HA721193) at 1/1,000 dilution.

The section was pre-treated using heat mediated antigen retrieval with Tris-EDTA buffer (pH 9.0) for 20 minutes. The tissues were blocked in 1% BSA for 20 minutes at room temperature, washed with ddH2O and PBS, and then probed with the primary antibody (HA721193) at 1/1,000 dilution for 1 hour at room temperature. The detection was performed using an HRP conjugated compact polymer system. DAB was used as the chromogen. Tissues were counterstained with hematoxylin and mounted with DPX.
HA721193_4.jpg Fig4: Immunohistochemical analysis of paraffin-embedded human prostate carcinoma tissue with Rabbit anti-delta 1 Catenin/CAS antibody (HA721193) at 1/2,000 dilution.

The section was pre-treated using heat mediated antigen retrieval with Tris-EDTA buffer (pH 9.0) for 20 minutes. The tissues were blocked in 1% BSA for 20 minutes at room temperature, washed with ddH2O and PBS, and then probed with the primary antibody (HA721193) at 1/2,000 dilution for 1 hour at room temperature. The detection was performed using an HRP conjugated compact polymer system. DAB was used as the chromogen. Tissues were counterstained with hematoxylin and mounted with DPX.
HA721193_5.jpg Fig5: Immunohistochemical analysis of paraffin-embedded human ovary carcinoma tissue with Rabbit anti-delta 1 Catenin/CAS antibody (HA721193) at 1/1,500 dilution.

The section was pre-treated using heat mediated antigen retrieval with Tris-EDTA buffer (pH 9.0) for 20 minutes. The tissues were blocked in 1% BSA for 20 minutes at room temperature, washed with ddH2O and PBS, and then probed with the primary antibody (HA721193) at 1/1,500 dilution for 1 hour at room temperature. The detection was performed using an HRP conjugated compact polymer system. DAB was used as the chromogen. Tissues were counterstained with hematoxylin and mounted with DPX.
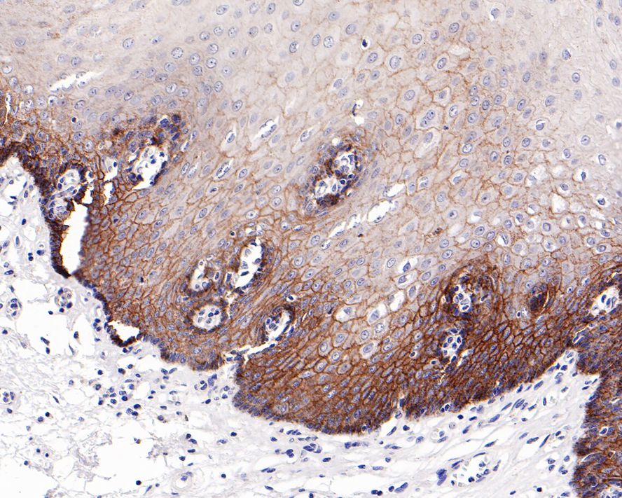
HA721193_6.jpg Fig6: Immunohistochemical analysis of paraffin-embedded human esophagus tissue with Rabbit anti-delta 1 Catenin/CAS antibody (HA721193) at 1/1,500 dilution.

The section was pre-treated using heat mediated antigen retrieval with Tris-EDTA buffer (pH 9.0) for 20 minutes. The tissues were blocked in 1% BSA for 20 minutes at room temperature, washed with ddH2O and PBS, and then probed with the primary antibody (HA721193) at 1/1,500 dilution for 1 hour at room temperature. The detection was performed using an HRP conjugated compact polymer system. DAB was used as the chromogen. Tissues were counterstained with hematoxylin and mounted with DPX.
HA721193_7.jpg Fig7: Application: IF-Tissue

Species: Human

Site: liver cancer

Sample: Paraffin-embedded section

Antibody concentration: 1/500
Note: All products are “FOR RESEARCH USE ONLY AND ARE NOT INTENDED FOR DIAGNOSTIC OR THERAPEUTIC USE”.