Nucleophosmin Recombinant Rabbit Monoclonal Antibody [PD00-91]
cat.: HA721206
Product Type: Recombinant Rabbit monoclonal IgG, primary antibodies
Species reactivity: Human, Mouse, Rat
Applications: WB, IF-Cell, IHC-P, FC
Clonality: Monoclonal
Clone number: PD00-91
Form: Liquid
Storage condition: Shipped at 4℃. Store at +4℃ short term (1-2 weeks). It is recommended to aliquot into single-use upon delivery. Store at -20℃ long term.
Storage buffer: PBS (pH7.4), 0.1% BSA, 40% Glycerol. Preservative: 0.05% Sodium Azide.
Concentration: 1ug/ul
Purification: Protein A affinity purified.
Molecular weight: Predicted band size: 33 kDa
Isotype: IgG
Immunogen: Synthetic peptide within Human Nucleophosmin aa 1-100 (N terminal).
Positive control: HeLa cell lysate, HepG2 cell lysate, A431 cell lysate, C2C12 cell lysate, RAW264.7 cell lysate, PC-12 cell lysates, HeLa, C2C12, PC-12, human colon carcinoma tissue, human skin tissue, mouse small intestine tissue, mouse colon tissue, rat spleen tissue, rat kidney tissue, Daudi, HL-60.
Subcellular location: Nucleus, nucleolus, nucleoplasm, cytoplasm, cytoskeleton, microtubule organizing center, centrosome.
Recommended Dilutions:
  WB
  IF-Cell
  IHC-P
  FC

1:1,000-1:5,000
1:5,000-1:10,000
1:200-1:500
1:500-1:1,000
Uniprot #: SwissProt: P06748 Human | Q61937 Mouse | P13084 Rat
Alternative names: B23 MGC104254 NO38 NPM NPM_HUMAN NPM1 Nucleolar phosphoprotein B23 Nucleolar protein NO38 Nucleophosmin (nucleolar phosphoprotein B23 numatrin) Nucleophosmin nucleophosmin nucleoplasmin family member 1 Nucleophosmin/nucleoplasmin family member 1 Numatrin OTTHUMP00000161024 OTTHUMP00000161025 OTTHUMP00000223397 OTTHUMP00000223398
Images
HA721206_1.jpg Fig1: Western blot analysis of Nucleophosmin on different lysates with Rabbit anti-Nucleophosmin antibody (HA721206) at 1/1,000 dilution.

Lane 1: HeLa cell lysate
Lane 2: HepG2 cell lysate
Lane 3: A431 cell lysate
Lane 4: C2C12 cell lysate
Lane 5: RAW264.7 cell lysate

Lysates/proteins at 30 µg/Lane.

Predicted band size: 33 kDa
Observed band size: 38 kDa

Exposure time: 2 minutes;

4-20% SDS-PAGE gel.

Proteins were transferred to a PVDF membrane and blocked with 5% NFDM/TBST for 1 hour at room temperature. The primary antibody (HA721206) at 1/1,000 dilution was used in 5% NFDM/TBST at room temperature for 2 hours. Goat Anti-Rabbit IgG - HRP Secondary Antibody (HA1001) at 1/50,000 dilution was used for 1 hour at room temperature.
HA721206_2.jpg Fig2: Western blot analysis of Nucleophosmin on PC-12 cell lysates with Rabbit anti-Nucleophosmin antibody (HA721206) at 1/5,000 dilution.

Lysates/proteins at 10 µg/Lane.

Predicted band size: 33 kDa
Observed band size: 38 kDa

Exposure time: 10 seconds; ECL: K1801;

4-20% SDS-PAGE gel.

Proteins were transferred to a PVDF membrane and blocked with 5% NFDM/TBST for 1 hour at room temperature. The primary antibody (HA721206) at 1/5,000 dilution was used in primary antibody dilution (K1803) at 4℃ overnight. Goat Anti-Rabbit IgG - HRP Secondary Antibody (HA1001) at 1/50,000 dilution was used for 1 hour at room temperature.
HA721206_3.jpg Fig3: Western blot analysis of Nucleophosmin on different lysates with Rabbit anti-Nucleophosmin antibody (HA721206) at 1/2,000 dilution.

Lane 1: HAP1-parental cell lysate
Lane 2: HAP1-Nucleophosmin KD cell lysate

Lysates/proteins at 10 µg/Lane.

Predicted band size: 33 kDa
Observed band size: 38 kDa

Exposure time: 4 seconds; ECL: K1801;

4-20% SDS-PAGE gel.

Proteins were transferred to a PVDF membrane and blocked with 5% NFDM/TBST for 1 hour at room temperature. The primary antibody (HA721206) at 1/2,000 dilution was used in K1803 at 4℃ overnight. Goat Anti-Rabbit IgG - HRP Secondary Antibody (HA1001) at 1/50,000 dilution was used for 1 hour at room temperature.
HA721206_4.jpg Fig4: Immunocytochemistry analysis of HeLa cells labeling Nucleophosmin with Rabbit anti-Nucleophosmin antibody (HA721206) at 1/10,000 dilution.

Cells were fixed in 4% paraformaldehyde for 15 minutes at room temperature, permeabilized with 0.1% Triton X-100 in PBS for 15 minutes at room temperature, then blocked with 1% BSA in 10% negative goat serum for 1 hour at room temperature. Cells were then incubated with Rabbit anti-Nucleophosmin antibody (HA721206) at 1/10,000 dilution in 1% BSA in PBST overnight at 4 ℃. Goat Anti-Rabbit IgG H&L (iFluor™ 488, HA1121) was used as the secondary antibody at 1/1,000 dilution. PBS instead of the primary antibody was used as the secondary antibody only control. Nuclear DNA was labelled in blue with DAPI.

Beta tubulin (HA601187, red) was stained at 1/100 dilution overnight at +4℃. Goat Anti-Mouse IgG H&L (iFluor™ 594, HA1126) was used as the secondary antibody at 1/1,000 dilution.
HA721206_5.jpg Fig5: Immunocytochemistry analysis of C2C12 cells labeling Nucleophosmin with Rabbit anti-Nucleophosmin antibody (HA721206) at 1/5,000 dilution.

Cells were fixed in 4% paraformaldehyde for 15 minutes at room temperature, permeabilized with 0.1% Triton X-100 in PBS for 15 minutes at room temperature, then blocked with 1% BSA in 10% negative goat serum for 1 hour at room temperature. Cells were then incubated with Rabbit anti-Nucleophosmin antibody (HA721206) at 1/5,000 dilution in 1% BSA in PBST overnight at 4 ℃. Goat Anti-Rabbit IgG H&L (iFluor™ 488, HA1121) was used as the secondary antibody at 1/1,000 dilution. PBS instead of the primary antibody was used as the secondary antibody only control. Nuclear DNA was labelled in blue with DAPI.

Beta tubulin (HA601187, red) was stained at 1/100 dilution overnight at +4℃. Goat Anti-Mouse IgG H&L (iFluor™ 594, HA1126) was used as the secondary antibody at 1/1,000 dilution.
HA721206_6.jpg Fig6: Immunocytochemistry analysis of PC-12 cells labeling Nucleophosmin with Rabbit anti-Nucleophosmin antibody (HA721206) at 1/5,000 dilution.

Cells were fixed in 4% paraformaldehyde for 15 minutes at room temperature, permeabilized with 0.1% Triton X-100 in PBS for 15 minutes at room temperature, then blocked with 1% BSA in 10% negative goat serum for 1 hour at room temperature. Cells were then incubated with Rabbit anti-Nucleophosmin antibody (HA721206) at 1/5,000 dilution in 1% BSA in PBST overnight at 4 ℃. Goat Anti-Rabbit IgG H&L (iFluor™ 488, HA1121) was used as the secondary antibody at 1/1,000 dilution. PBS instead of the primary antibody was used as the secondary antibody only control. Nuclear DNA was labelled in blue with DAPI.

Beta tubulin (HA601187, red) was stained at 1/100 dilution overnight at +4℃. Goat Anti-Mouse IgG H&L (iFluor™ 594, HA1126) was used as the secondary antibody at 1/1,000 dilution.
HA721206_7.jpg Fig7: Immunohistochemical analysis of paraffin-embedded human colon carcinoma tissue with Rabbit anti-Nucleophosmin antibody (HA721206) at 1/200 dilution.

The section was pre-treated using heat mediated antigen retrieval with sodium citrate buffer (pH 6.0) (high pressure) for 2 minutes. The tissues were blocked in 1% BSA for 20 minutes at room temperature, washed with ddH2O and PBS, and then probed with the primary antibody (HA721206) at 1/200 dilution for 1 hour at room temperature. The detection was performed using an HRP conjugated compact polymer system. DAB was used as the chromogen. Tissues were counterstained with hematoxylin and mounted with DPX.
HA721206_8.jpg Fig8: Immunohistochemical analysis of paraffin-embedded human skin tissue with Rabbit anti-Nucleophosmin antibody (HA721206) at 1/200 dilution.

The section was pre-treated using heat mediated antigen retrieval with sodium citrate buffer (pH 6.0) (high pressure) for 2 minutes. The tissues were blocked in 1% BSA for 20 minutes at room temperature, washed with ddH2O and PBS, and then probed with the primary antibody (HA721206) at 1/200 dilution for 1 hour at room temperature. The detection was performed using an HRP conjugated compact polymer system. DAB was used as the chromogen. Tissues were counterstained with hematoxylin and mounted with DPX.
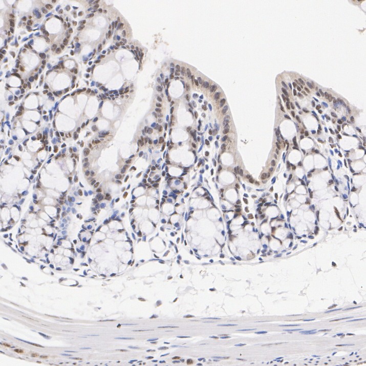
HA721206_9.jpg Fig9: Immunohistochemical analysis of paraffin-embedded mouse small intestine tissue with Rabbit anti-Nucleophosmin antibody (HA721206) at 1/200 dilution.

The section was pre-treated using heat mediated antigen retrieval with sodium citrate buffer (pH 6.0) (high pressure) for 2 minutes. The tissues were blocked in 1% BSA for 20 minutes at room temperature, washed with ddH2O and PBS, and then probed with the primary antibody (HA721206) at 1/200 dilution for 1 hour at room temperature. The detection was performed using an HRP conjugated compact polymer system. DAB was used as the chromogen. Tissues were counterstained with hematoxylin and mounted with DPX.
HA721206_10.jpg Fig10: Immunohistochemical analysis of paraffin-embedded mouse colon tissue with Rabbit anti-Nucleophosmin antibody (HA721206) at 1/200 dilution.

The section was pre-treated using heat mediated antigen retrieval with Tris-EDTA buffer (pH 9.0) for 20 minutes. The tissues were blocked in 1% BSA for 20 minutes at room temperature, washed with ddH2O and PBS, and then probed with the primary antibody (HA721206) at 1/200 dilution for 1 hour at room temperature. The detection was performed using an HRP conjugated compact polymer system. DAB was used as the chromogen. Tissues were counterstained with hematoxylin and mounted with DPX.
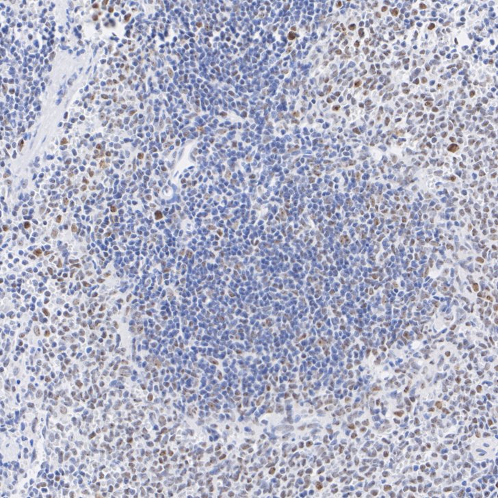
HA721206_11.jpg Fig11: Immunohistochemical analysis of paraffin-embedded rat spleen tissue with Rabbit anti-Nucleophosmin antibody (HA721206) at 1/200 dilution.

The section was pre-treated using heat mediated antigen retrieval with Tris-EDTA buffer (pH 9.0) for 20 minutes. The tissues were blocked in 1% BSA for 20 minutes at room temperature, washed with ddH2O and PBS, and then probed with the primary antibody (HA721206) at 1/200 dilution for 1 hour at room temperature. The detection was performed using an HRP conjugated compact polymer system. DAB was used as the chromogen. Tissues were counterstained with hematoxylin and mounted with DPX.
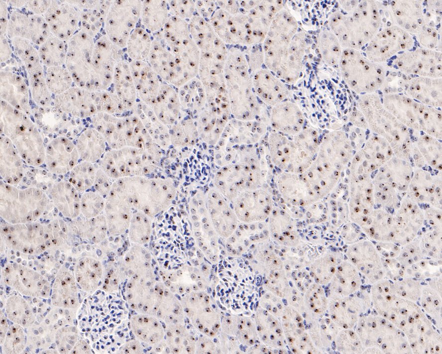
HA721206_12.jpg Fig12: Immunohistochemical analysis of paraffin-embedded rat kidney tissue with Rabbit anti-Nucleophosmin antibody (HA721206) at 1/500 dilution.

The section was pre-treated using heat mediated antigen retrieval with sodium citrate buffer (pH 6.0) (high pressure) for 2 minutes. The tissues were blocked in 1% BSA for 20 minutes at room temperature, washed with ddH2O and PBS, and then probed with the primary antibody (HA721206) at 1/500 dilution for 1 hour at room temperature. The detection was performed using an HRP conjugated compact polymer system. DAB was used as the chromogen. Tissues were counterstained with hematoxylin and mounted with DPX.
HA721206_13.jpg Fig13: Flow cytometric analysis of Daudi cells labeling Nucleophosmin.

Cells were fixed and permeabilized. Then stained with the primary antibody (HA721206, 1ug/ml) (red) compared with Rabbit IgG Isotype Control (green). After incubation of the primary antibody at +4℃ for an hour, the cells were stained with a iFluor™ 488 conjugate-Goat anti-Rabbit IgG Secondary antibody (HA1121) at 1/1,000 dilution for 30 minutes at +4℃. Unlabelled sample was used as a control (cells without incubation with primary antibody; black).
HA721206_14.jpg Fig14: Flow cytometric analysis of HL-60 cells labeling Nucleophosmin.

Cells were fixed and permeabilized. Then stained with the primary antibody (HA721206, 1ug/ml) (red) compared with Rabbit IgG Isotype Control (green). After incubation of the primary antibody at +4℃ for an hour, the cells were stained with a iFluor™ 488 conjugate-Goat anti-Rabbit IgG Secondary antibody (HA1121) at 1/1,000 dilution for 30 minutes at +4℃. Unlabelled sample was used as a control (cells without incubation with primary antibody; black).
Note: All products are “FOR RESEARCH USE ONLY AND ARE NOT INTENDED FOR DIAGNOSTIC OR THERAPEUTIC USE”.