SATB2 Recombinant Rabbit Monoclonal Antibody [PD01-42]
cat.: HA721223
Product Type: Recombinant Rabbit monoclonal IgG, primary antibodies
Species reactivity: Human, Mouse, Rat
Applications: IHC-P, IHC-Fr, IF-Tissue
Clonality: Monoclonal
Clone number: PD01-42
Form: Liquid
Storage condition: Shipped at 4℃. Store at +4℃ short term (1-2 weeks). It is recommended to aliquot into single-use upon delivery. Store at -20℃ long term.
Storage buffer: PBS (pH7.4), 0.1% BSA, 40% Glycerol. Preservative: 0.05% Sodium Azide.
Concentration: 1ug/ul
Purification: Protein A affinity purified.
Molecular weight: Predicted band size: 82.5 kDa
Isotype: IgG
Immunogen: Synthetic peptide within C terminal human SATB2.
Positive control: Human colon tissue, human colon carcinoma tissue, human appendix tissue.
Subcellular location: Nucleus.
Recommended Dilutions:
  IHC-P
  IHC-Fr
  IF-Tissue

1:1,000
1:500
1:200
Uniprot #: SwissProt: Q9UPW6 Human
Alternative names: DNA binding protein SATB2 DNA-binding protein SATB2 FLJ21474 FLJ32076 GLSS KIAA1034 MGC119474 MGC119477 SATB family member 2 SATB homeobox 2 SATB2 SATB2_HUMAN Special AT rich sequence binding protein 2 Special AT-rich sequence-binding protein 2
Images
HA721223_1.jpg Fig1: Immunohistochemical analysis of paraffin-embedded human colon tissue with Rabbit anti-SATB2 antibody (HA721223) at 1/1,000 dilution.

The section was pre-treated using heat mediated antigen retrieval with sodium citrate buffer (pH 6.0) (high pressure) for 2 minutes. The tissues were blocked in 1% BSA for 20 minutes at room temperature, washed with ddH2O and PBS, and then probed with the primary antibody (HA721223) at 1/1,000 dilution for 1 hour at room temperature. The detection was performed using an HRP conjugated compact polymer system. DAB was used as the chromogen. Tissues were counterstained with hematoxylin and mounted with DPX.
HA721223_2.jpg Fig2: Immunohistochemical analysis of paraffin-embedded human colon carcinoma tissue with Rabbit anti-SATB2 antibody (HA721223) at 1/1,000 dilution.

The section was pre-treated using heat mediated antigen retrieval with sodium citrate buffer (pH 6.0) (high pressure) for 2 minutes. The tissues were blocked in 1% BSA for 20 minutes at room temperature, washed with ddH2O and PBS, and then probed with the primary antibody (HA721223) at 1/1,000 dilution for 1 hour at room temperature. The detection was performed using an HRP conjugated compact polymer system. DAB was used as the chromogen. Tissues were counterstained with hematoxylin and mounted with DPX.
HA721223_3.jpg Fig3: Immunohistochemical analysis of paraffin-embedded human appendix tissue with Rabbit anti-SATB2 antibody (HA721223) at 1/1,000 dilution.

The section was pre-treated using heat mediated antigen retrieval with sodium citrate buffer (pH 6.0) (high pressure) for 2 minutes. The tissues were blocked in 1% BSA for 20 minutes at room temperature, washed with ddH2O and PBS, and then probed with the primary antibody (HA721223) at 1/1,000 dilution for 1 hour at room temperature. The detection was performed using an HRP conjugated compact polymer system. DAB was used as the chromogen. Tissues were counterstained with hematoxylin and mounted with DPX.
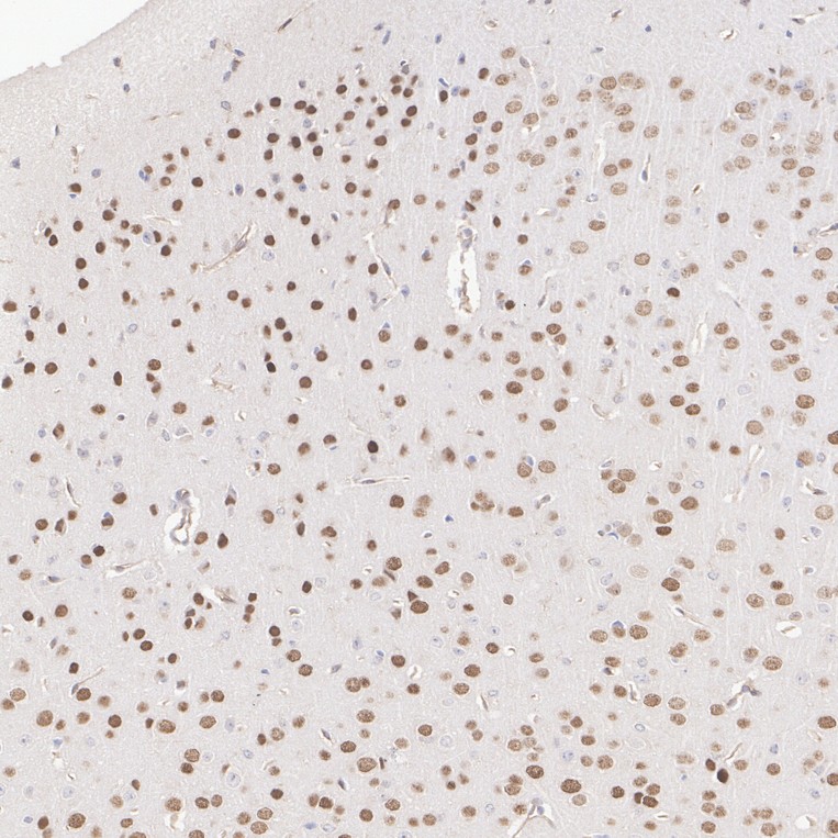
HA721223_4.jpg Fig4: Immunohistochemical analysis of paraffin-embedded mouse cerebral cortex tissue with Rabbit anti-SATB2 antibody (HA721223) at 1/1,000 dilution.

The section was pre-treated using heat mediated antigen retrieval with Tris-EDTA buffer (pH 9.0) for 20 minutes. The tissues were blocked in 1% BSA for 20 minutes at room temperature, washed with ddH2O and PBS, and then probed with the primary antibody (HA721223) at 1/1,000 dilution for 1 hour at room temperature. The detection was performed using an HRP conjugated compact polymer system. DAB was used as the chromogen. Tissues were counterstained with hematoxylin and mounted with DPX.
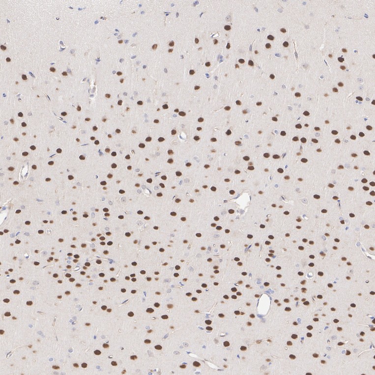
HA721223_5.jpg Fig5: Immunohistochemical analysis of paraffin-embedded rat cerebral cortex tissue with Rabbit anti-SATB2 antibody (HA721223) at 1/1,000 dilution.

The section was pre-treated using heat mediated antigen retrieval with Tris-EDTA buffer (pH 9.0) for 20 minutes. The tissues were blocked in 1% BSA for 20 minutes at room temperature, washed with ddH2O and PBS, and then probed with the primary antibody (HA721223) at 1/1,000 dilution for 1 hour at room temperature. The detection was performed using an HRP conjugated compact polymer system. DAB was used as the chromogen. Tissues were counterstained with hematoxylin and mounted with DPX.
HA721223_6.jpg Fig6: Application: IHC-Fr

Species: Rat

Site: Cerebral cortex

Sample: Frozen section

Antibody concentration: 1/500

Antigen retrieval: Not required
Note: All products are “FOR RESEARCH USE ONLY AND ARE NOT INTENDED FOR DIAGNOSTIC OR THERAPEUTIC USE”.