HLA-DP Recombinant Rabbit Monoclonal Antibody [PD00-70]
cat.: HA721247
Product Type: Recombinant Rabbit monoclonal IgG, primary antibodies
Species reactivity: Human
Applications: WB, IF-Cell, FC, IHC-P
Clonality: Monoclonal
Clone number: PD00-70
Form: Liquid
Storage condition: Shipped at 4℃. Store at +4℃ short term (1-2 weeks). It is recommended to aliquot into single-use upon delivery. Store at -20℃ long term.
Storage buffer: PBS (pH7.4), 0.1% BSA, 40% Glycerol. Preservative: 0.05% Sodium Azide.
Concentration: 1ug/ul
Purification: Protein A affinity purified.
Molecular weight: Predicted band size: 29 kDa
Isotype: IgG
Immunogen: Synthetic peptide within C terminal Human HLA-DP.
Positive control: Raji cell lysate, Daudi cell lysate, Ramos cell lysate, Daudi.
Subcellular location: Cell membrane, Endoplasmic reticulum membrane, Golgi apparatus, Endosome membrane, Lysosome membrane.
Recommended Dilutions:
  WB
  IHC-P
  IF-Cell
  FC

1:5,000
1: 200
1:100
1:500-1:1,000
Uniprot #: SwissProt: P20036 Human
Alternative names: DP(W3) DP(W4) HLA class II histocompatibility antigen DP alpha 1 chain HLA class II histocompatibility antigen DP alpha chain HLA DP1A HLA DPA 1 HLA SB alpha chain HLADP HLADPA1 HLASB HLASB histocompatibility type Human MHC class II HLA SB alpha gene Major histocompatibility complex class II DP alpha 1 MHC class II antigen MHC class II DP3 alpha MHC class II DPA1 MHC class II HLA DPA1 antigen PLT1 Primed lymphocyte test 1
Images
HA721247_1.jpg Fig1: Western blot analysis of HLA-DP on different lysates with Rabbit anti-HLA-DP antibody (HA721247) at 1/5,000 dilution.

Lane 1: Raji cell lysate (20 µg/Lane)
Lane 2: Daudi cell lysate (20 µg/Lane)
Lane 3: HeLa cell lysate (negative) (20 µg/Lane)
Lane 4: Ramos cell lysate (20 µg/Lane)

Predicted band size: 29 kDa
Observed band size: 35 kDa

Exposure time: 4 seconds; ECL: K1801;

4-20% SDS-PAGE gel.

Proteins were transferred to a PVDF membrane and blocked with 5% NFDM/TBST for 1 hour at room temperature. The primary antibody (HA721247) at 1/5,000 dilution was used in primary antibody dilution (K1803) at 4℃ overnight. Goat Anti-Rabbit IgG - HRP Secondary Antibody (HA1001) at 1/50,000 dilution was used for 1 hour at room temperature.
HA721247_2.jpg Fig2: Immunohistochemical analysis of paraffin-embedded human tonsil tissue with Rabbit anti-HLA-DP antibody (HA721247) at 1/200 dilution.

The section was pre-treated using heat mediated antigen retrieval with Tris-EDTA buffer (pH 9.0) for 20 minutes. The tissues were blocked in 1% BSA for 20 minutes at room temperature, washed with ddH2O and PBS, and then probed with the primary antibody (HA721247) at 1/200 dilution for 1 hour at room temperature. The detection was performed using an HRP conjugated compact polymer system. DAB was used as the chromogen. Tissues were counterstained with hematoxylin and mounted with DPX.
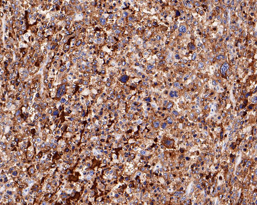
HA721247_3.jpg Fig3: Immunohistochemical analysis of paraffin-embedded human diffuse large B-cell lymphoma tissue with Rabbit anti-HLA-DP antibody (HA721247) at 1/500 dilution.

The section was pre-treated using heat mediated antigen retrieval with Tris-EDTA buffer (pH 9.0) for 20 minutes. The tissues were blocked in 1% BSA for 20 minutes at room temperature, washed with ddH2O and PBS, and then probed with the primary antibody (HA721247) at 1/500 dilution for 1 hour at room temperature. The detection was performed using an HRP conjugated compact polymer system. DAB was used as the chromogen. Tissues were counterstained with hematoxylin and mounted with DPX.
HA721247_4.jpg Fig4: Immunocytochemistry analysis of Daudi cells labeling HLA-DP with Rabbit anti-HLA-DP antibody (HA721247) at 1/100 dilution.

Cells were fixed in 4% paraformaldehyde for 15 minutes at room temperature, permeabilized with 0.1% Triton X-100 in PBS for 15 minutes at room temperature, then blocked with 1% BSA in 10% negative goat serum for 1 hour at room temperature. Cells were then incubated with Rabbit anti-HLA-DP antibody (HA721247) at 1/100 dilution in 1% BSA in PBST overnight at 4 ℃. Goat Anti-Rabbit IgG H&L (iFluor™ 488, HA1121) was used as the secondary antibody at 1/1,000 dilution. PBS instead of the primary antibody was used as the secondary antibody only control. Nuclear DNA was labelled in blue with DAPI.

Beta tubulin (HA601187, red) was stained at 1/100 dilution overnight at +4℃. Goat Anti-Mouse IgG H&L (iFluor™ 594, HA1126) was used as the secondary antibody at 1/1,000 dilution.
HA721247_5.jpg Fig5: Flow cytometric analysis of Daudi cells labeling HLA-DP.

Cells were fixed and permeabilized. Then stained with the primary antibody (HA721247, 1ug/ml) (red) compared with Rabbit IgG Isotype Control (green). After incubation of the primary antibody at +4℃ for an hour, the cells were stained with a iFluor™ 488 conjugate-Goat anti-Rabbit IgG Secondary antibody (HA1121) at 1/1,000 dilution for 30 minutes at +4℃. Unlabelled sample was used as a control (cells without incubation with primary antibody; black).
Note: All products are “FOR RESEARCH USE ONLY AND ARE NOT INTENDED FOR DIAGNOSTIC OR THERAPEUTIC USE”.