Ki67 Recombinant Rabbit Monoclonal Antibody [PSH0-02]
cat.: HA721254
Product Type: Recombinant Rabbit monoclonal IgG, primary antibodies
Species reactivity: Human
Applications: IHC-P, FC
Clonality: Monoclonal
Clone number: PSH0-02
Form: Liquid
Storage condition: Shipped at 4℃. Store at +4℃ short term (1-2 weeks). It is recommended to aliquot into single-use upon delivery. Store at -20℃ long term.
Storage buffer: PBS (pH7.4), 0.1% BSA, 40% Glycerol. Preservative: 0.05% Sodium Azide.
Concentration: 1ug/ul
Purification: Protein A affinity purified.
Molecular weight: Predicted band size: 359 kDa
Isotype: IgG
Immunogen: Synthetic peptide within human Ki67 aa 1000-1200.
Positive control: Human cervix carcinoma tissue, human colon carcinoma tissue, human lymph nodes tissue, A431, Hela.
Subcellular location: Chromosome, Nucleus, nucleolus.
Recommended Dilutions:
  IHC-P
  FC

1:2,000
1:500-1:1,000
Uniprot #: SwissProt: P46013 Human
Alternative names: Antigen identified by monoclonal Ki 67 Antigen identified by monoclonal Ki-67 Antigen KI-67 Antigen KI67 Antigen Ki67 KI67_HUMAN KIA Marker of proliferation Ki-67 MIB 1 MIB MKI67 PPP1R105 Proliferation marker protein Ki-67 Proliferation related Ki 67 antigen Protein phosphatase 1 regulatory subunit 105 RP11-380J17.2
Images
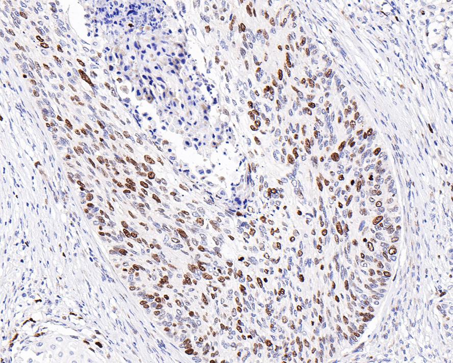
HA721254_1.jpg Fig1: Immunohistochemical analysis of paraffin-embedded human cervix carcinoma tissue with Rabbit anti-Ki67 antibody (HA721254) at 1/2,000 dilution.

The section was pre-treated using heat mediated antigen retrieval with sodium citrate buffer (pH 6.0) (high pressure) for 2 minutes. The tissues were blocked in 1% BSA for 20 minutes at room temperature, washed with ddH2O and PBS, and then probed with the primary antibody (HA721254) at 1/2,000 dilution for 1 hour at room temperature. The detection was performed using an HRP conjugated compact polymer system. DAB was used as the chromogen. Tissues were counterstained with hematoxylin and mounted with DPX.
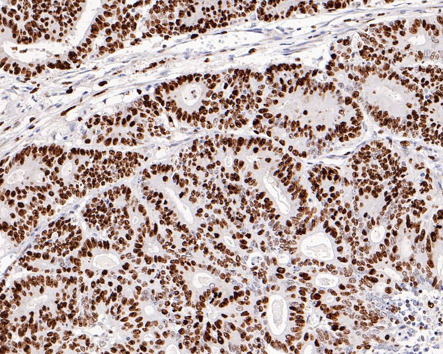
HA721254_2.jpg Fig2: Immunohistochemical analysis of paraffin-embedded human colon carcinoma tissue with Rabbit anti-Ki67 antibody (HA721254) at 1/2,000 dilution.

The section was pre-treated using heat mediated antigen retrieval with sodium citrate buffer (pH 6.0) (high pressure) for 2 minutes. The tissues were blocked in 1% BSA for 20 minutes at room temperature, washed with ddH2O and PBS, and then probed with the primary antibody (HA721254) at 1/2,000 dilution for 1 hour at room temperature. The detection was performed using an HRP conjugated compact polymer system. DAB was used as the chromogen. Tissues were counterstained with hematoxylin and mounted with DPX.
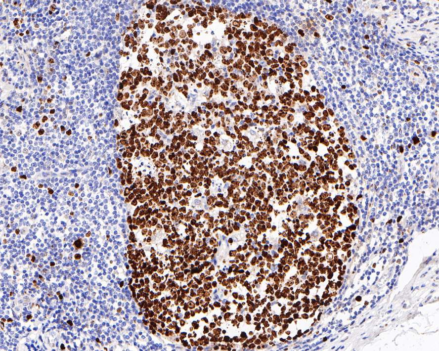
HA721254_3.jpg Fig3: Immunohistochemical analysis of paraffin-embedded human lymph nodes tissue with Rabbit anti-Ki67 antibody (HA721254) at 1/2,000 dilution.

The section was pre-treated using heat mediated antigen retrieval with sodium citrate buffer (pH 6.0) (high pressure) for 2 minutes. The tissues were blocked in 1% BSA for 20 minutes at room temperature, washed with ddH2O and PBS, and then probed with the primary antibody (HA721254) at 1/2,000 dilution for 1 hour at room temperature. The detection was performed using an HRP conjugated compact polymer system. DAB was used as the chromogen. Tissues were counterstained with hematoxylin and mounted with DPX.
HA721254_4.jpg Fig4: Flow cytometric analysis of A431 cells labeling Ki67.

Cells were fixed and permeabilized. Then stained with the primary antibody (HA721254, 1ug/ml) (red) compared with Rabbit IgG Isotype Control (green). After incubation of the primary antibody at +4℃ for an hour, the cells were stained with a iFluor™ 488 conjugate-Goat anti-Rabbit IgG Secondary antibody (HA1121) at 1/1,000 dilution for 30 minutes at +4℃. Unlabelled sample was used as a control (cells without incubation with primary antibody; black).
HA721254_5.jpg Fig5: Flow cytometric analysis of Hela cells labeling Ki67.

Cells were fixed and permeabilized. Then stained with the primary antibody (HA721254, 1ug/ml) (red) compared with Rabbit IgG Isotype Control (green). After incubation of the primary antibody at +4℃ for an hour, the cells were stained with a iFluor™ 488 conjugate-Goat anti-Rabbit IgG Secondary antibody (HA1121) at 1/1,000 dilution for 30 minutes at +4℃. Unlabelled sample was used as a control (cells without incubation with primary antibody; black).
Note: All products are “FOR RESEARCH USE ONLY AND ARE NOT INTENDED FOR DIAGNOSTIC OR THERAPEUTIC USE”.