RNF146 Recombinant Rabbit Monoclonal Antibody [PSH0-29]
cat.: HA721309
Product Type: Recombinant Rabbit monoclonal IgG, primary antibodies
Species reactivity: Human, Mouse
Applications: WB, IHC-P, IF-Cell, FC
Clonality: Monoclonal
Clone number: PSH0-29
Form: Liquid
Storage condition: Shipped at 4℃. Store at +4℃ short term (1-2 weeks). It is recommended to aliquot into single-use upon delivery. Store at -20℃ long term.
Storage buffer: PBS (pH7.4), 0.1% BSA, 40% Glycerol. Preservative: 0.05% Sodium Azide.
Concentration: 1ug/ul
Purification: Protein A affinity purified.
Molecular weight: Predicted band size: 39 kDa
Isotype: IgG
Immunogen: Recombinant protein within full length human RNF146.
Positive control: SH-SY5Y cell lysate, NIH/3T3 cell lysate, human testis tissue, human thyroid cancer tissue, NIH/3T3 cell, SH-SY5Y cell.
Subcellular location: Cytoplasm, Nucleus
Recommended Dilutions:
  WB
  IHC-P
  IF-Cell
  FC

1:1,000
1:200-1:1,000
1:100
1:1,000
Uniprot #: SwissProt: Q9NTX7 Human | Q9CZW6 Mouse
Alternative names: Dactylidin dJ351K20.1 DKFZP434O1427 E3 ubiquitin-protein ligase rnf146 RING finger protein 146 RN146_HUMAN RNF 146 Rnf146 RP3 351K20.1
Images
HA721309_1.png Fig1: Western blot analysis of RNF146 on different lysates with Rabbit anti-RNF146 antibody (HA721309) at 1/1,000 dilution.

Lane 1: SH-SY5Y cell lysate
Lane 2: NIH/3T3 cell lysate

Lysates/proteins at 10 µg/Lane.

Predicted band size: 39 kDa
Observed band size: 39 kDa

Exposure time: 2 minutes;

10% SDS-PAGE gel.

Proteins were transferred to a PVDF membrane and blocked with 5% NFDM/TBST for 1 hour at room temperature. The primary antibody (HA721309) at 1/1,000 dilution was used in 5% NFDM/TBST at room temperature for 2 hours. Goat Anti-Rabbit IgG - HRP Secondary Antibody (HA1001) at 1:300,000 dilution was used for 1 hour at room temperature.
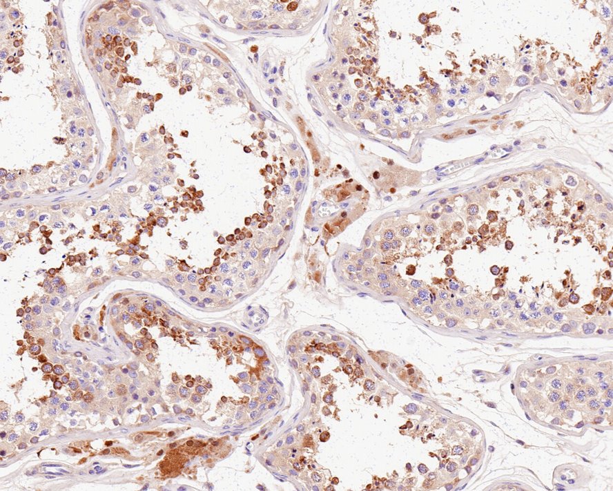
HA721309_2.jpg Fig2: Immunohistochemical analysis of paraffin-embedded human testis tissue with Rabbit anti-RNF146 antibody (HA721309) at 1/1,000 dilution.

The section was pre-treated using heat mediated antigen retrieval with Tris-EDTA buffer (pH 9.0) for 20 minutes. The tissues were blocked in 1% BSA for 20 minutes at room temperature, washed with ddH2O and PBS, and then probed with the primary antibody (HA721309) at 1/1,000 dilution for 1 hour at room temperature. The detection was performed using an HRP conjugated compact polymer system. DAB was used as the chromogen. Tissues were counterstained with hematoxylin and mounted with DPX.
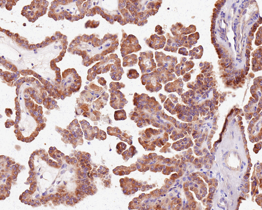
HA721309_3.png Fig3: Immunohistochemical analysis of paraffin-embedded human thyroid cancer tissue with Rabbit anti-RNF146 antibody (HA721309) at 1/1,000 dilution.

The section was pre-treated using heat mediated antigen retrieval with Tris-EDTA buffer (pH 9.0) for 20 minutes. The tissues were blocked in 1% BSA for 20 minutes at room temperature, washed with ddH2O and PBS, and then probed with the primary antibody (HA721309) at 1/1,000 dilution for 1 hour at room temperature. The detection was performed using an HRP conjugated compact polymer system. DAB was used as the chromogen. Tissues were counterstained with hematoxylin and mounted with DPX.
HA721309_4.png Fig4: Immunocytochemistry analysis of NIH/3T3 cells labeling RNF146 with Rabbit anti-RNF146 antibody (HA721309) at 1/100 dilution.

Cells were fixed in 4% paraformaldehyde for 10 minutes at 37 ℃, permeabilized with 0.05% Triton X-100 in PBS for 20 minutes, and then blocked with 2% negative goat serum for 30 minutes at room temperature. Cells were then incubated with Rabbit anti-RNF146 antibody (HA721309) at 1/100 dilution in 2% negative goat serum overnight at 4 ℃. Goat Anti-Rabbit IgG H&L (iFluor™ 488, HA1121) was used as the secondary antibody at 1/1,000 dilution. PBS instead of the primary antibody was used as the secondary antibody only control. Nuclear DNA was labelled in blue with DAPI.
HA721309_5.png Fig5: Flow cytometric analysis of SH-SY5Y cells labeling RNF146.

Cells were fixed and permeabilized. Then stained with the primary antibody (HA721309, 1ug/ml) (red) compared with Rabbit IgG Isotype Control (green). After incubation of the primary antibody at +4℃ for an hour, the cells were stained with a iFluor™ 488 conjugate-Goat anti-Rabbit IgG Secondary antibody (HA1121) at 1/1,000 dilution for 30 minutes at +4℃. Unlabelled sample was used as a control (cells without incubation with primary antibody; black)
Note: All products are “FOR RESEARCH USE ONLY AND ARE NOT INTENDED FOR DIAGNOSTIC OR THERAPEUTIC USE”.