MLH1 Recombinant Rabbit Monoclonal Antibody [PD01-61]
cat.: HA721325
Product Type: Recombinant Rabbit monoclonal IgG, primary antibodies
Species reactivity: Human, Mouse, Rat
Applications: WB, IHC-P
Clonality: Monoclonal
Clone number: PD01-61
Form: Liquid
Storage condition: Shipped at 4℃. Store at +4℃ short term (1-2 weeks). It is recommended to aliquot into single-use upon delivery. Store at -20℃ long term.
Storage buffer: PBS (pH7.4), 0.1% BSA, 40% Glycerol. Preservative: 0.05% Sodium Azide.
Concentration: 1ug/ul
Purification: Protein A affinity purified.
Molecular weight: Predicted band size: 85 kDa
Isotype: IgG
Immunogen: Synthetic peptide corresponding to Human MLH1 aa 700-756.
Positive control: HeLa cell lysate, HCT 116 cell lysate, A549 cell lysate, C2C12 cell lysate, NIH/3T3 cell lysate, human appendix tissue, human colon tissue, human B-cell lymphoblastic lymphoma tissue, human NKT cell lymphoma tissue, mouse testis tissue, mouse thymus tissue, human colon carcinoma tissue, rat small intestine tissue.
Subcellular location: Nucleus.
Recommended Dilutions:
  WB
  IHC-P

1:2,000
1:200-1:1,000
Uniprot #: SwissProt: P40692 Human | Q9JK91 Mouse | P97679 Rat
Alternative names: COCA 2 COCA2 DNA mismatch repair protein Mlh1 FCC 2 FCC2 hMLH 1 hMLH1 HNPCC 2 HNPCC HNPCC2 MGC5172 MLH 1 MLH1 MLH1_HUMAN MutL homolog 1 (E. coli) MutL homolog 1 MutL homolog 1 colon cancer nonpolyposis type 2 MutL homolog 1, colon cancer, nonpolyposis type 2 (E. coli) MutL protein homolog 1 MutL, E. coli, homolog of, 1
Images
HA721325_1.jpg Fig1: Western blot analysis of MLH1 on different lysates with Rabbit anti-MLH1 antibody (HA721325) at 1/2,000 dilution.

Lane 1: HeLa cell lysate
Lane 2: HCT 116 cell lysate (negative)
Lane 3: A549 cell lysate

Lysates/proteins at 15 µg/Lane.

Predicted band size: 85 kDa
Observed band size: 85 kDa

Exposure time: 2 minutes; ECL: K1801;

4-20% SDS-PAGE gel.

Proteins were transferred to a PVDF membrane and blocked with 5% NFDM/TBST for 1 hour at room temperature. The primary antibody (HA721325) at 1/2,000 dilution was used in 5% NFDM/TBST at 4℃ overnight. Goat Anti-Rabbit IgG - HRP Secondary Antibody (HA1001) at 1/50,000 dilution was used for 1 hour at room temperature.
HA721325_2.jpg Fig2: Western blot analysis of MLH1 on different lysates with Rabbit anti-MLH1 antibody (HA721325) at 1/2,000 dilution.

Lane 1: C2C12 cell lysate
Lane 2: NIH/3T3 cell lysate

Lysates/proteins at 30 µg/Lane.

Predicted band size: 85 kDa
Observed band size: 85 kDa

Exposure time: 1 minute; ECL: K1801;

4-20% SDS-PAGE gel.

Proteins were transferred to a PVDF membrane and blocked with 5% NFDM/TBST for 1 hour at room temperature. The primary antibody (HA721325) at 1/2,000 dilution was used in 5% NFDM/TBST at 4℃ overnight. Goat Anti-Rabbit IgG - HRP Secondary Antibody (HA1001) at 1/50,000 dilution was used for 1 hour at room temperature.
HA721325_3.jpg Fig3: Western blot analysis of MLH1 on different lysates with Rabbit anti-MLH1 antibody (HA721325) at 1/2,000 dilution.

Lane 1: Hela-si NT cell lysate (10 µg/Lane)
Lane 2: Hela-si MLH1 cell lysate (10 µg/Lane)

Predicted band size: 85 kDa
Observed band size: 85 kDa

Exposure time: 3 minutes;
4-20% SDS-PAGE gel.

HA721325 was shown to specifically react with MLH1 in Hela-si NT cells. Weakened band was observed when Hela-si MLH1 sample was tested. Hela-si NT and Hela-si MLH1 samples were subjected to SDS-PAGE. Proteins were transferred to a PVDF membrane and blocked with 5% NFDM in TBST for 1 hour at room temperature. The primary antibody (HA721325, 1/2,000) and Loading control antibody (Rabbit anti-GAPDH, ET1601-4, 1/10,000) were used in 5% NFDM/TBST at 4℃ overnight. Goat Anti-rabbit IgG-HRP Secondary Antibody (HA1001) at 1:50,000 dilution was used for 1 hour at room temperature.
HA721325_4.jpg Fig4: Immunohistochemical analysis of paraffin-embedded human appendix tissue with Rabbit anti-MLH1 antibody (HA721325) at 1/1,000 dilution.

The section was pre-treated using heat mediated antigen retrieval with sodium citrate buffer (pH 6.0) (high pressure) for 2 minutes. The tissues were blocked in 1% BSA for 20 minutes at room temperature, washed with ddH2O and PBS, and then probed with the primary antibody (HA721325) at 1/1,000 dilution for 1 hour at room temperature. The detection was performed using an HRP conjugated compact polymer system. DAB was used as the chromogen. Tissues were counterstained with hematoxylin and mounted with DPX.
HA721325_5.jpg Fig5: Immunohistochemical analysis of paraffin-embedded human colon tissue with Rabbit anti-MLH1 antibody (HA721325) at 1/1,000 dilution.

The section was pre-treated using heat mediated antigen retrieval with sodium citrate buffer (pH 6.0) (high pressure) for 2 minutes. The tissues were blocked in 1% BSA for 20 minutes at room temperature, washed with ddH2O and PBS, and then probed with the primary antibody (HA721325) at 1/1,000 dilution for 1 hour at room temperature. The detection was performed using an HRP conjugated compact polymer system. DAB was used as the chromogen. Tissues were counterstained with hematoxylin and mounted with DPX.
HA721325_6.jpg Fig6: Immunohistochemical analysis of paraffin-embedded human B-cell lymphoblastic lymphoma tissue with Rabbit anti-MLH1 antibody (HA721325) at 1/200 dilution.

The section was pre-treated using heat mediated antigen retrieval with sodium citrate buffer (pH 6.0) (high pressure) for 2 minutes. The tissues were blocked in 1% BSA for 20 minutes at room temperature, washed with ddH2O and PBS, and then probed with the primary antibody (HA721325) at 1/200 dilution for 1 hour at room temperature. The detection was performed using an HRP conjugated compact polymer system. DAB was used as the chromogen. Tissues were counterstained with hematoxylin and mounted with DPX.
HA721325_7.jpg Fig7: Immunohistochemical analysis of paraffin-embedded human NKT cell lymphoma tissue with Rabbit anti-MLH1 antibody (HA721325) at 1/1,000 dilution.

The section was pre-treated using heat mediated antigen retrieval with sodium citrate buffer (pH 6.0) (high pressure) for 2 minutes. The tissues were blocked in 1% BSA for 20 minutes at room temperature, washed with ddH2O and PBS, and then probed with the primary antibody (HA721325) at 1/1,000 dilution for 1 hour at room temperature. The detection was performed using an HRP conjugated compact polymer system. DAB was used as the chromogen. Tissues were counterstained with hematoxylin and mounted with DPX.
HA721325_8.jpg Fig8: Immunohistochemical analysis of paraffin-embedded mouse testis tissue with Rabbit anti-MLH1 antibody (HA721325) at 1/1,000 dilution.

The section was pre-treated using heat mediated antigen retrieval with sodium citrate buffer (pH 6.0) (high pressure) for 2 minutes. The tissues were blocked in 1% BSA for 20 minutes at room temperature, washed with ddH2O and PBS, and then probed with the primary antibody (HA721325) at 1/1,000 dilution for 1 hour at room temperature. The detection was performed using an HRP conjugated compact polymer system. DAB was used as the chromogen. Tissues were counterstained with hematoxylin and mounted with DPX.
HA721325_9.jpg Fig9: Immunohistochemical analysis of paraffin-embedded mouse thymus tissue with Rabbit anti-MLH1 antibody (HA721325) at 1/200 dilution.

The section was pre-treated using heat mediated antigen retrieval with sodium citrate buffer (pH 6.0) (high pressure) for 2 minutes. The tissues were blocked in 1% BSA for 20 minutes at room temperature, washed with ddH2O and PBS, and then probed with the primary antibody (HA721325) at 1/200 dilution for 1 hour at room temperature. The detection was performed using an HRP conjugated compact polymer system. DAB was used as the chromogen. Tissues were counterstained with hematoxylin and mounted with DPX.
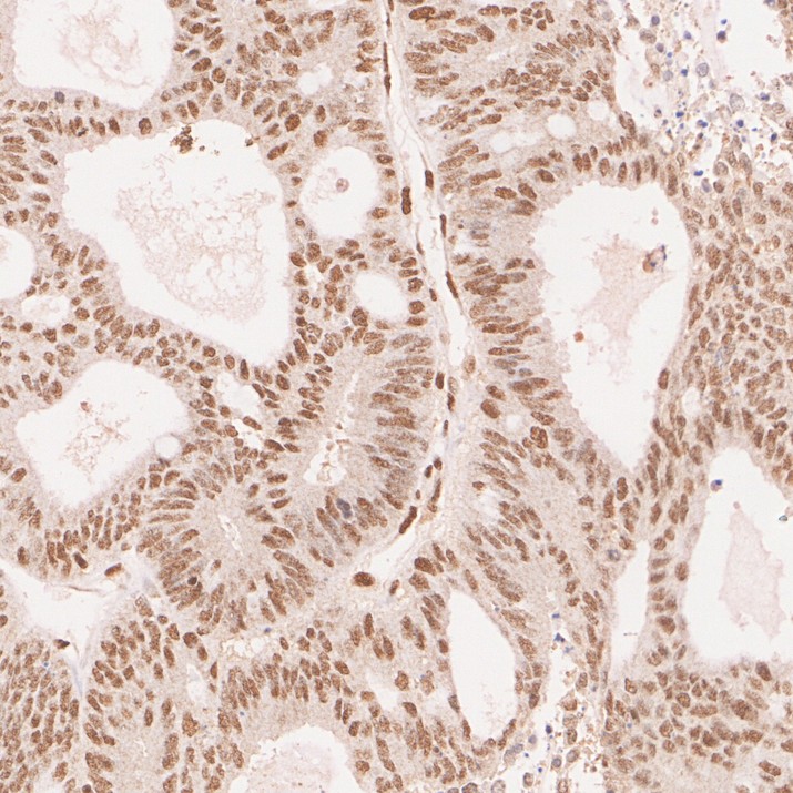
HA721325_10.jpg Fig10: Immunohistochemical analysis of paraffin-embedded human colon carcinoma tissue with Rabbit anti-MLH1 antibody (HA721325) at 1/1,000 dilution.

The section was pre-treated using heat mediated antigen retrieval with sodium citrate buffer (pH 6.0) (high pressure) for 2 minutes. The tissues were blocked in 1% BSA for 20 minutes at room temperature, washed with ddH2O and PBS, and then probed with the primary antibody (HA721325) at 1/1,000 dilution for 1 hour at room temperature. The detection was performed using an HRP conjugated compact polymer system. DAB was used as the chromogen. Tissues were counterstained with hematoxylin and mounted with DPX.
HA721325_11.jpg Fig11: Immunohistochemical analysis of paraffin-embedded rat small intestine tissue with Rabbit anti-MLH1 antibody (HA721325) at 1/1,000 dilution.

The section was pre-treated using heat mediated antigen retrieval with sodium citrate buffer (pH 6.0) (high pressure) for 2 minutes. The tissues were blocked in 1% BSA for 20 minutes at room temperature, washed with ddH2O and PBS, and then probed with the primary antibody (HA721325) at 1/1,000 dilution for 1 hour at room temperature. The detection was performed using an HRP conjugated compact polymer system. DAB was used as the chromogen. Tissues were counterstained with hematoxylin and mounted with DPX.
HA721325_12.jpg Fig12: Immunohistochemical analysis of paraffin embedded human colon cancer tissue using anti-MLH1 antibody (1/100) performed on the Dako Omnis.
Note: All products are “FOR RESEARCH USE ONLY AND ARE NOT INTENDED FOR DIAGNOSTIC OR THERAPEUTIC USE”.