ADX Recombinant Rabbit Monoclonal Antibody [JE63-56]
cat.: HA721329
Product Type: Recombinant Rabbit monoclonal IgG, primary antibodies
Species reactivity: Human, Mouse, Rat
Applications: WB, IHC-P, IF-Cell
Clonality: Monoclonal
Clone number: JE63-56
Form: Liquid
Storage condition: Shipped at 4℃. Store at +4℃ short term (1-2 weeks). It is recommended to aliquot into single-use upon delivery. Store at -20℃ long term.
Storage buffer: 1*TBS (pH7.4), 0.05% BSA, 40% Glycerol. Preservative: 0.05% Sodium Azide.
Concentration: 1ug/ul
Purification: Protein A affinity purified.
Molecular weight: Predicted band size: 19 kDa
Isotype: IgG
Immunogen: Synthetic peptide within Human ADX aa 51-100 / 184.
Positive control: SK-Br-3 cell lysate, K-562 cell lysate, HepG2 cell lysate, 293T cell lysate, Rat liver tissue lysate, Rat testis tissue lysate, Rat kidney tissue lysate, Mouse liver tissue lysate, PC-12, human placenta tissue, rat adrenal gland tissue.
Subcellular location: Mitochondrion matrix.
Recommended Dilutions:
  WB
  IHC-P
  IF-Cell

1:500-1:1,000
1:200-1:1,000
1:50
Uniprot #: SwissProt: P10109 Human | P46656 Mouse | P24483 Rat
Alternative names: Adrenal ferredoxin Adrenodoxin Adrenodoxin, mitochondrial ADX ADX_HUMAN FDX fdx1 Ferredoxin 1 Ferredoxin-1 Hepatoredoxin LOH11CR1D Mitochondrial adrenodoxin mitochondrial
Images
HA721329_1.jpg Fig1: Western blot analysis of ADX on different lysates with Rabbit anti-ADX antibody (HA721329) at 1/500 dilution.

Lane 1: SK-Br-3 cell lysate (15 µg/Lane)
Lane 2: K-562 cell lysate (15 µg/Lane)
Lane 3: HepG2 cell lysate (15 µg/Lane)
Lane 4: 293T cell lysate (15 µg/Lane)

Predicted band size: 19 kDa
Observed band size: 13 kDa

Exposure time: 5 minutes;

4-20% SDS-PAGE gel.

Proteins were transferred to a PVDF membrane and blocked with 5% NFDM/TBST for 1 hour at room temperature. The primary antibody (HA721329) at 1/500 dilution was used in 5% NFDM/TBST at room temperature for 2 hours. Goat Anti-Rabbit IgG - HRP Secondary Antibody (HA1001) at 1:200,000 dilution was used for 1 hour at room temperature.
HA721329_2.jpg Fig2: Western blot analysis of ADX on different lysates with Rabbit anti-ADX antibody (HA721329) at 1/500 dilution.

Lane 1: Rat liver tissue lysate (40 µg/Lane)
Lane 2: Rat testis tissue lysate (40 µg/Lane)
Lane 3: Rat kidney tissue lysate (40 µg/Lane)
Lane 4: SK-Br-3 cell lysate (40 µg/Lane)

Predicted band size: 19 kDa
Observed band size: 13 kDa

Exposure time: 2 minutes; ECL: K1801;

4-20% SDS-PAGE gel.

Proteins were transferred to a PVDF membrane and blocked with 5% NFDM/TBST for 1 hour at room temperature. The primary antibody (HA721329) at 1/500 dilution was used in 5% NFDM/TBST at room temperature for 2 hours. Goat Anti-Rabbit IgG - HRP Secondary Antibody (HA1001) at 1/50,000 dilution was used for 1 hour at room temperature.
HA721329_3.jpg Fig3: Western blot analysis of ADX on different lysates with Rabbit anti-ADX antibody (HA721329) at 1/1,000 dilution.

Lane 1: Mouse liver tissue lysate
Lane 2: Rat liver tissue lysate

Lysates/proteins at 40 µg/Lane.

Predicted band size: 19 kDa
Observed band size: 13 kDa

Exposure time: 10 seconds; ECL: K1801;

4-20% SDS-PAGE gel.

Proteins were transferred to a PVDF membrane and blocked with 5% NFDM/TBST for 1 hour at room temperature. The primary antibody (HA721329) at 1/1,000 dilution was used in primary antibody dilution (K1803) at 4℃ overnight. Goat Anti-Rabbit IgG - HRP Secondary Antibody (HA1001) at 1/50,000 dilution was used for 1 hour at room temperature.
HA721329_4.jpg Fig4: Immunocytochemistry analysis of PC-12 cells labeling ADX with Rabbit anti-ADX antibody (HA721329) at 1/50 dilution.

Cells were fixed in 4% paraformaldehyde for 10 minutes at 37 ℃, permeabilized with 0.05% Triton X-100 in PBS for 20 minutes, and then blocked with 2% negative goat serum for 30 minutes at room temperature. Cells were then incubated with Rabbit anti-ADX antibody (HA721329) at 1/50 dilution in 2% negative goat serum overnight at 4 ℃. Goat Anti-Rabbit IgG H&L (iFluor™ 488, HA1121) was used as the secondary antibody at 1/1,000 dilution. PBS instead of the primary antibody was used as the secondary antibody only control. Nuclear DNA was labelled in blue with DAPI.
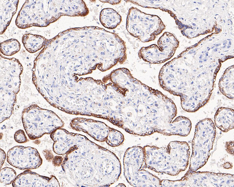
HA721329_5.jpg Fig5: Immunohistochemical analysis of paraffin-embedded human placenta tissue with Rabbit anti-ADX antibody (HA721329) at 1/200 dilution.

The section was pre-treated using heat mediated antigen retrieval with Tris-EDTA buffer (pH 9.0) for 20 minutes. The tissues were blocked in 1% BSA for 20 minutes at room temperature, washed with ddH2O and PBS, and then probed with the primary antibody (HA721329) at 1/200 dilution for 1 hour at room temperature. The detection was performed using an HRP conjugated compact polymer system. DAB was used as the chromogen. Tissues were counterstained with hematoxylin and mounted with DPX.
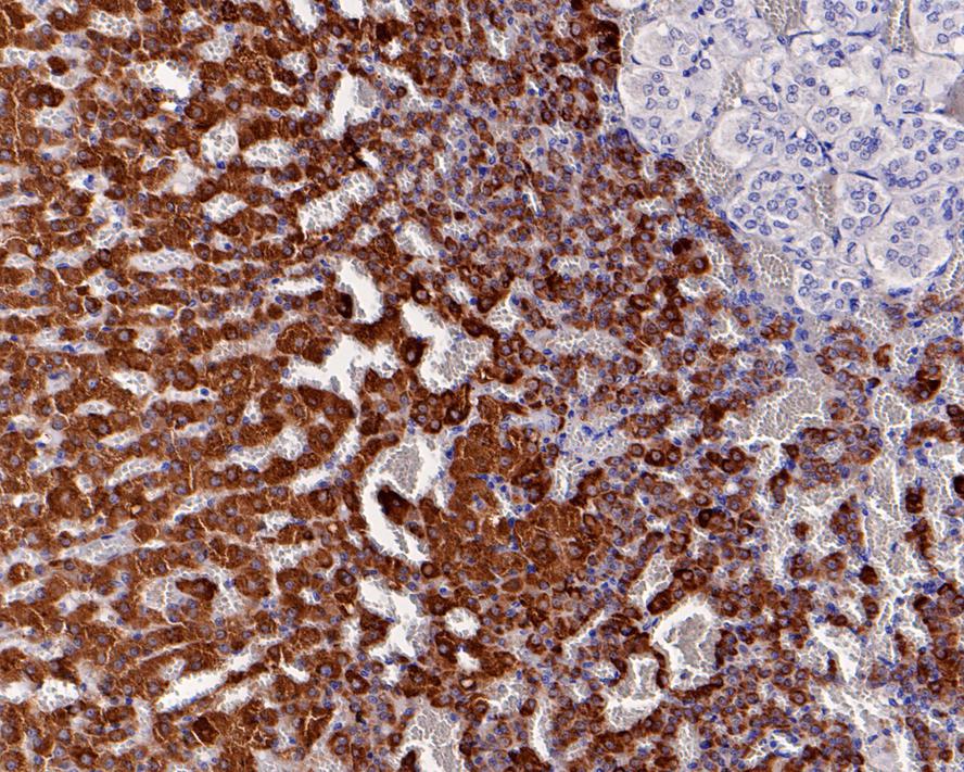
HA721329_6.jpg Fig6: Immunohistochemical analysis of paraffin-embedded rat adrenal gland tissue with Rabbit anti-ADX antibody (HA721329) at 1/1,000 dilution.

The section was pre-treated using heat mediated antigen retrieval with Tris-EDTA buffer (pH 9.0) for 20 minutes. The tissues were blocked in 1% BSA for 20 minutes at room temperature, washed with ddH2O and PBS, and then probed with the primary antibody (HA721329) at 1/1,000 dilution for 1 hour at room temperature. The detection was performed using an HRP conjugated compact polymer system. DAB was used as the chromogen. Tissues were counterstained with hematoxylin and mounted with DPX.
Note: All products are “FOR RESEARCH USE ONLY AND ARE NOT INTENDED FOR DIAGNOSTIC OR THERAPEUTIC USE”.