TFIIE alpha Recombinant Rabbit Monoclonal Antibody [JE66-41]
cat.: HA721376
Product Type: Recombinant Rabbit monoclonal IgG, primary antibodies
Species reactivity: Human, Mouse, Rat
Applications: WB, IHC-P
Clonality: Monoclonal
Clone number: JE66-41
Form: Liquid
Storage condition: Shipped at 4℃. Store at +4℃ short term (1-2 weeks). It is recommended to aliquot into single-use upon delivery. Store at -20℃ long term.
Storage buffer: 1*TBS (pH7.4), 0.05% BSA, 40% Glycerol. Preservative: 0.05% Sodium Azide.
Concentration: 1ug/ul
Purification: Protein A affinity purified.
Molecular weight: Predicted band size: 49.5 kDa
Isotype: IgG
Immunogen: Synthetic peptide within Human TFIIE alpha aa 390-439 / 439.
Positive control: K-562 cell lysate, Jurkat cell lysate, Daudi cell lysate, HeLa cell lysate, A431 cell lysate, A549 cell lysate, HepG2 cell lysate, HEK-293 cell lysate, NIH/3T3 cell lysate, MCF7 cell lysate, Mouse testis tissue lysate, Rat testis tissue lysate, human colon cancer tissue, human testis tissue, mouse testis tissue, rat testis tissue.
Subcellular location: Nucleus.
Recommended Dilutions:
  WB
  IHC-P

1:1,000
1:200-1:1,000
Uniprot #: SwissProt: P29083 Human | Q9D0D5 Mouse
Entrez Gene: 303918 Rat
Alternative names: FE General transcription factor IIE 56 kDa subunit General transcription factor IIE subunit 1 General transcription factor IIE, polypeptide 1, alpha 56kDa Gtf2e1 MAL7P1.86 T2EA_HUMAN TF2E1 TFIIE A TFIIE alpha TFIIE-alpha Transcription initiation factor IIE alpha subunit Transcription initiation factor iie alpha subunit putative Transcription initiation factor IIE subunit alpha
Images
HA721376_1.jpg Fig1: Western blot analysis of TFIIE alpha on different lysates with Rabbit anti-TFIIE alpha antibody (HA721376) at 1/1,000 dilution.

Lane 1: K-562 cell lysate (15 µg/Lane)
Lane 2: Jurkat cell lysate (15 µg/Lane)
Lane 3: Daudi cell lysate (15 µg/Lane)
Lane 4: HeLa cell lysate (15 µg/Lane)
Lane 5: A431 cell lysate (15 µg/Lane)
Lane 6: A549 cell lysate (15 µg/Lane)
Lane 7: HepG2 cell lysate (15 µg/Lane)
Lane 8: HEK-293 cell lysate (15 µg/Lane)
Lane 9: NIH/3T3 cell lysate (15 µg/Lane)
Lane 10: MCF7 cell lysate (15 µg/Lane)
Lane 11: Mouse testis tissue lysate (30 µg/Lane)
Lane 12: Rat testis tissue lysate (30 µg/Lane)

Predicted band size: 49.5 kDa
Observed band size: 60 kDa

Exposure time: 3 minutes;

4-20% SDS-PAGE gel.

Proteins were transferred to a PVDF membrane and blocked with 5% NFDM/TBST for 1 hour at room temperature. The primary antibody (HA721376) at 1/1,000 dilution was used in 5% NFDM/TBST at room temperature for 2 hours. Goat Anti-Rabbit IgG - HRP Secondary Antibody (HA1001) at 1/100,000 dilution was used for 1 hour at room temperature.
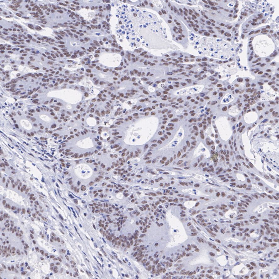
HA721376_2.jpg Fig2: Immunohistochemical analysis of paraffin-embedded human colon cancer tissue with Rabbit anti-TFIIE alpha antibody (HA721376) at 1/200 dilution.

The section was pre-treated using heat mediated antigen retrieval with sodium citrate buffer (pH 6.0) for 2 minutes. The tissues were blocked in 1% BSA for 20 minutes at room temperature, washed with ddH2O and PBS, and then probed with the primary antibody (HA721376) at 1/200 dilution for 1 hour at room temperature. The detection was performed using an HRP conjugated compact polymer system. DAB was used as the chromogen. Tissues were counterstained with hematoxylin and mounted with DPX.
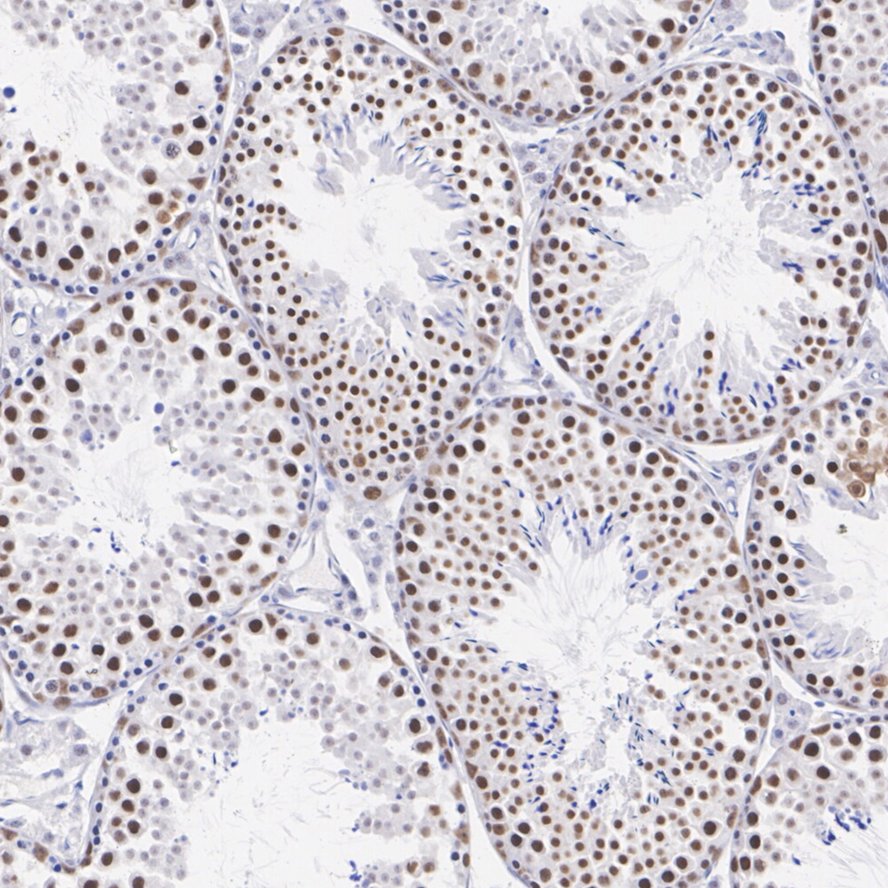
HA721376_3.jpg Fig3: Immunohistochemical analysis of paraffin-embedded human testis tissue with Rabbit anti-TFIIE alpha antibody (HA721376) at 1/200 dilution.

The section was pre-treated using heat mediated antigen retrieval with sodium citrate buffer (pH 6.0) for 2 minutes. The tissues were blocked in 1% BSA for 20 minutes at room temperature, washed with ddH2O and PBS, and then probed with the primary antibody (HA721376) at 1/200 dilution for 1 hour at room temperature. The detection was performed using an HRP conjugated compact polymer system. DAB was used as the chromogen. Tissues were counterstained with hematoxylin and mounted with DPX.
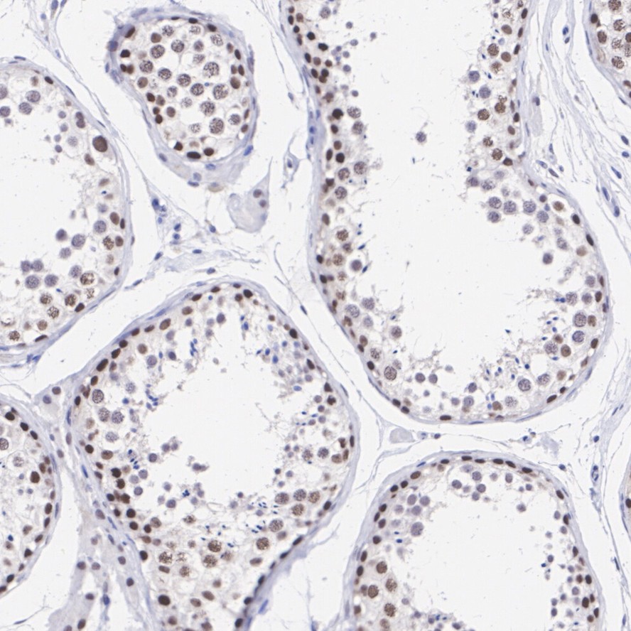
HA721376_4.jpg Fig4: Immunohistochemical analysis of paraffin-embedded mouse testis tissue with Rabbit anti-TFIIE alpha antibody (HA721376) at 1/1,000 dilution.

The section was pre-treated using heat mediated antigen retrieval with sodium citrate buffer (pH 6.0) for 2 minutes. The tissues were blocked in 1% BSA for 20 minutes at room temperature, washed with ddH2O and PBS, and then probed with the primary antibody (HA721376) at 1/1,000 dilution for 1 hour at room temperature. The detection was performed using an HRP conjugated compact polymer system. DAB was used as the chromogen. Tissues were counterstained with hematoxylin and mounted with DPX.
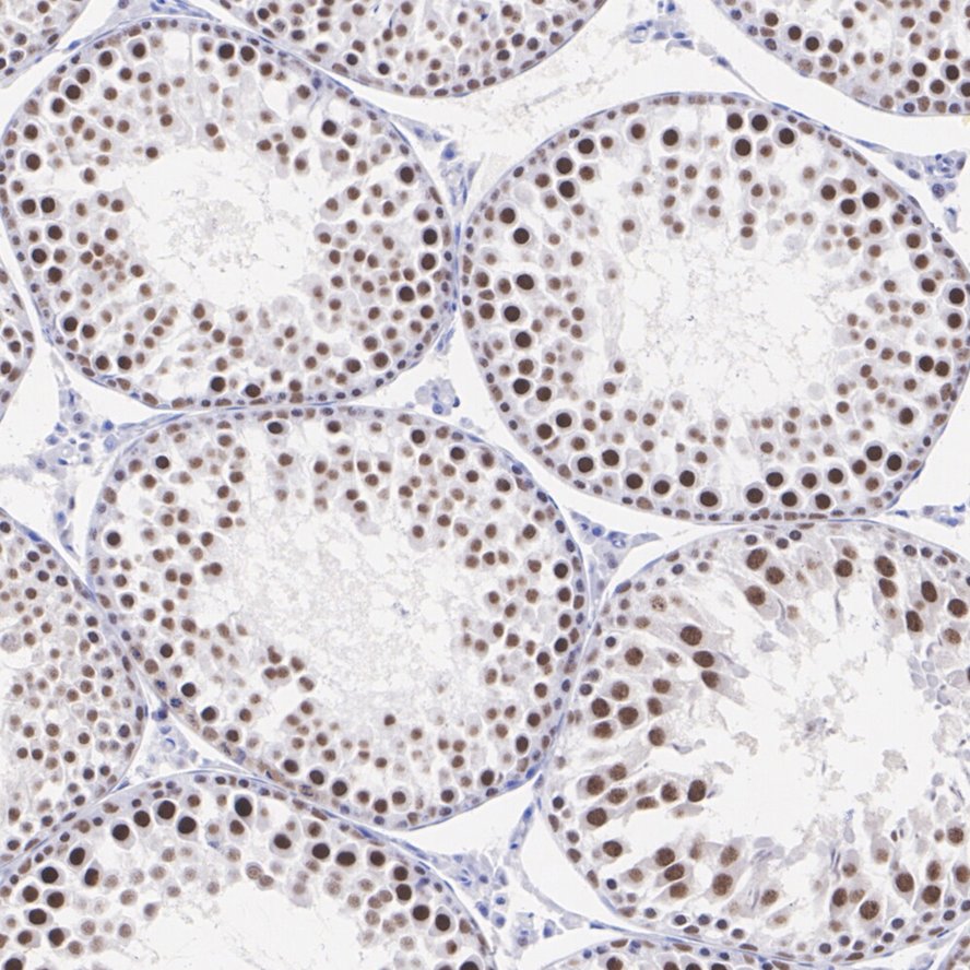
HA721376_5.jpg Fig5: Immunohistochemical analysis of paraffin-embedded rat testis tissue with Rabbit anti-TFIIE alpha antibody (HA721376) at 1/1,000 dilution.

The section was pre-treated using heat mediated antigen retrieval with sodium citrate buffer (pH 6.0) for 2 minutes. The tissues were blocked in 1% BSA for 20 minutes at room temperature, washed with ddH2O and PBS, and then probed with the primary antibody (HA721376) at 1/1,000 dilution for 1 hour at room temperature. The detection was performed using an HRP conjugated compact polymer system. DAB was used as the chromogen. Tissues were counterstained with hematoxylin and mounted with DPX.
Note: All products are “FOR RESEARCH USE ONLY AND ARE NOT INTENDED FOR DIAGNOSTIC OR THERAPEUTIC USE”.