 
	            	| Product Type: | Recombinant Rabbit monoclonal IgG, primary antibodies | 
|---|---|
| Species reactivity: | Human, Mouse, Rat | 
| Applications: | WB, IHC-P | 
| Clonality: | Monoclonal | 
| Clone number: | JE31-35 | 
| Form: | Liquid | 
| Storage condition: | Shipped at 4℃. Store at +4℃ short term (1-2 weeks). It is recommended to aliquot into single-use upon delivery. Store at -20℃ long term. | 
| Storage buffer: | 1*TBS (pH7.4), 0.05% BSA, 40% Glycerol. Preservative: 0.05% Sodium Azide. | 
| Concentration: | 1ug/ul | 
| Purification: | Protein A affinity purified. | 
| Molecular weight: | Predicted band size: 36.5 kDa | 
| Isotype: | IgG | 
| Immunogen: | Recombinant protein within Human Adenosine A1 Receptor aa 103-201 / 326. | 
| Subcellular location: | Cell membrane. | 
| Recommended Dilutions: WB IHC-P | 1:1,000 1:1,000 | 
| Uniprot #: | SwissProt: P30542 Human | Q60612 Mouse | P25099 Rat | 
| Alternative names: | A1AR A1R AA1R AA1R_HUMAN Adenosine receptor A1 ADORA 1 ADORA 1 ADORA1 RDC 7 RDC7 Ri | 
|   | Fig1:
	        				Western blot analysis of Adenosine A1 Receptor on different lysates with Rabbit anti-Adenosine A1 Receptor antibody (HA721393) at 1/1,000 dilution. Lane 1: A549 cell lysate (15 µg/Lane) Lane 2: HEK-293 cell lysate (15 µg/Lane) Lane 3: U-87 MG cell lysate (15 µg/Lane) Lane 4: SH-SY5Y cell lysate (15 µg/Lane) Lane 5: HeLa cell lysate (15 µg/Lane) Lane 6: Raji cell lysate (15 µg/Lane) Lane 7: NIH/3T3 cell lysate (15 µg/Lane) Lane 8: Human brain tissue lysate (30 µg/Lane) Lane 9: Mouse brain tissue lysate (30 µg/Lane) Lane 10: Rat brain tissue lysate (30 µg/Lane) Lane 11: Human cerebellum tissue lysate (30 µg/Lane) Lane 12: Rat cerebellum tissue lysate (30 µg/Lane) Predicted band size: 36.5 kDa Observed band size: 36.5/40 kDa Exposure time: 5 minutes; 4-20% SDS-PAGE gel. Proteins were transferred to a PVDF membrane and blocked with 5% NFDM/TBST for 1 hour at room temperature. The primary antibody (HA721393) at 1/1,000 dilution was used in 5% NFDM/TBST at room temperature for 2 hours. Goat Anti-Rabbit IgG - HRP Secondary Antibody (HA1001) at 1:100,000 dilution was used for 1 hour at room temperature. | 
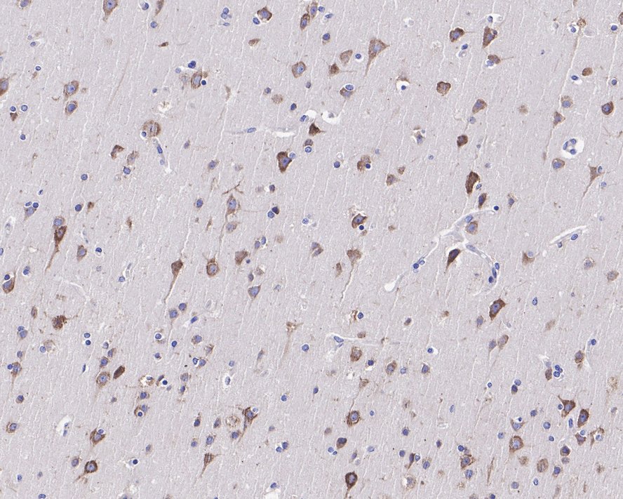
|   | Fig2:
	        				Immunohistochemical analysis of paraffin-embedded human brain tissue with Rabbit anti-Adenosine A1 Receptor antibody (HA721393) at 1/1,000 dilution. The section was pre-treated using heat mediated antigen retrieval with Tris-EDTA buffer (pH 9.0) for 20 minutes. The tissues were blocked in 1% BSA for 20 minutes at room temperature, washed with ddH2O and PBS, and then probed with the primary antibody (HA721393) at 1/1,000 dilution for 1 hour at room temperature. The detection was performed using an HRP conjugated compact polymer system. DAB was used as the chromogen. Tissues were counterstained with hematoxylin and mounted with DPX. | 
|   | Fig3:
	        				Immunohistochemical analysis of paraffin-embedded human cerebellum tissue with Rabbit anti-Adenosine A1 Receptor antibody (HA721393) at 1/1,000 dilution. The section was pre-treated using heat mediated antigen retrieval with Tris-EDTA buffer (pH 9.0) for 20 minutes. The tissues were blocked in 1% BSA for 20 minutes at room temperature, washed with ddH2O and PBS, and then probed with the primary antibody (HA721393) at 1/1,000 dilution for 1 hour at room temperature. The detection was performed using an HRP conjugated compact polymer system. DAB was used as the chromogen. Tissues were counterstained with hematoxylin and mounted with DPX. | 
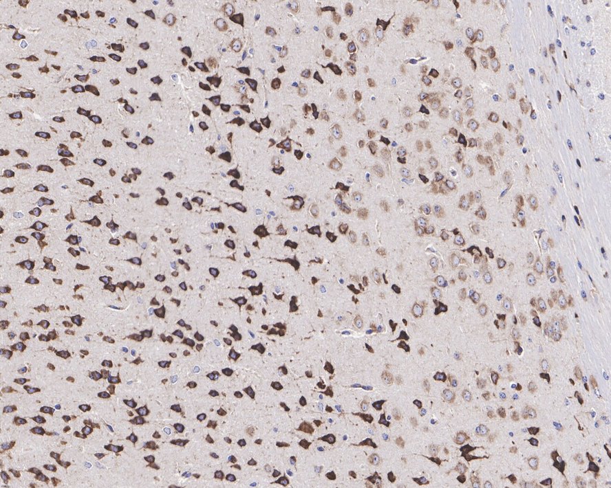
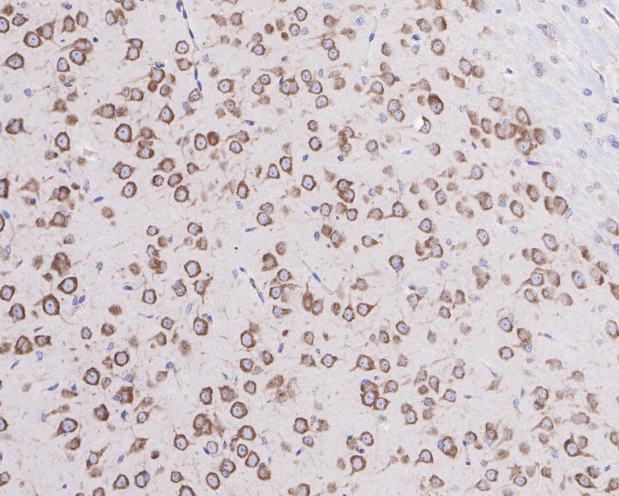
|   | Fig4:
		        				Immunohistochemical analysis of paraffin-embedded mouse brain tissue with Rabbit anti-Adenosine A1 Receptor antibody (HA721393) at 1/1,000 dilution. The section was pre-treated using heat mediated antigen retrieval with Tris-EDTA buffer (pH 9.0) for 20 minutes. The tissues were blocked in 1% BSA for 20 minutes at room temperature, washed with ddH2O and PBS, and then probed with the primary antibody (HA721393) at 1/1,000 dilution for 1 hour at room temperature. The detection was performed using an HRP conjugated compact polymer system. DAB was used as the chromogen. Tissues were counterstained with hematoxylin and mounted with DPX. | 
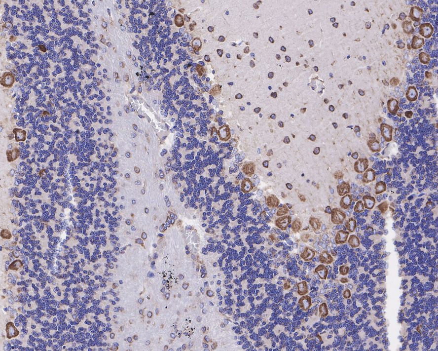
|   | Fig5:
		        				Immunohistochemical analysis of paraffin-embedded mouse cerebellum tissue with Rabbit anti-Adenosine A1 Receptor antibody (HA721393) at 1/1,000 dilution. The section was pre-treated using heat mediated antigen retrieval with Tris-EDTA buffer (pH 9.0) for 20 minutes. The tissues were blocked in 1% BSA for 20 minutes at room temperature, washed with ddH2O and PBS, and then probed with the primary antibody (HA721393) at 1/1,000 dilution for 1 hour at room temperature. The detection was performed using an HRP conjugated compact polymer system. DAB was used as the chromogen. Tissues were counterstained with hematoxylin and mounted with DPX. | 
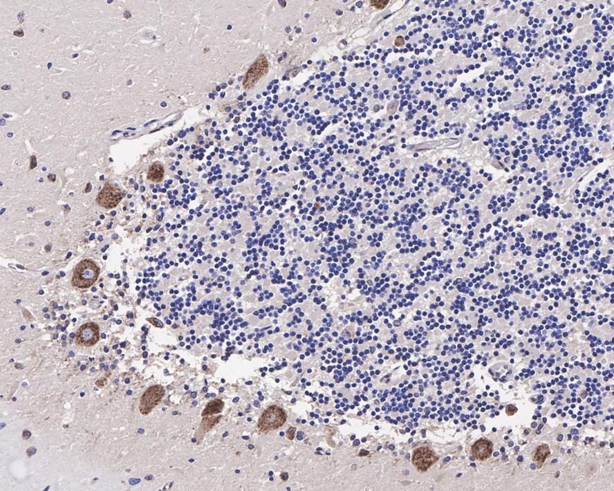
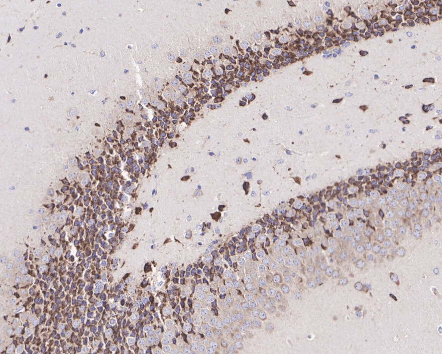
|   | Fig6:
		        				Immunohistochemical analysis of paraffin-embedded mouse hippocampus tissue with Rabbit anti-Adenosine A1 Receptor antibody (HA721393) at 1/1,000 dilution. The section was pre-treated using heat mediated antigen retrieval with Tris-EDTA buffer (pH 9.0) for 20 minutes. The tissues were blocked in 1% BSA for 20 minutes at room temperature, washed with ddH2O and PBS, and then probed with the primary antibody (HA721393) at 1/1,000 dilution for 1 hour at room temperature. The detection was performed using an HRP conjugated compact polymer system. DAB was used as the chromogen. Tissues were counterstained with hematoxylin and mounted with DPX. | 
|   | Fig7:
		        				Immunohistochemical analysis of paraffin-embedded rat brain tissue with Rabbit anti-Adenosine A1 Receptor antibody (HA721393) at 1/1,000 dilution. The section was pre-treated using heat mediated antigen retrieval with Tris-EDTA buffer (pH 9.0) for 20 minutes. The tissues were blocked in 1% BSA for 20 minutes at room temperature, washed with ddH2O and PBS, and then probed with the primary antibody (HA721393) at 1/1,000 dilution for 1 hour at room temperature. The detection was performed using an HRP conjugated compact polymer system. DAB was used as the chromogen. Tissues were counterstained with hematoxylin and mounted with DPX. | 
|   | Fig8:
		        				Immunohistochemical analysis of paraffin-embedded rat cerebellum tissue with Rabbit anti-Adenosine A1 Receptor antibody (HA721393) at 1/1,000 dilution. The section was pre-treated using heat mediated antigen retrieval with Tris-EDTA buffer (pH 9.0) for 20 minutes. The tissues were blocked in 1% BSA for 20 minutes at room temperature, washed with ddH2O and PBS, and then probed with the primary antibody (HA721393) at 1/1,000 dilution for 1 hour at room temperature. The detection was performed using an HRP conjugated compact polymer system. DAB was used as the chromogen. Tissues were counterstained with hematoxylin and mounted with DPX. |