Mesothelin Recombinant Rabbit Monoclonal Antibody [PSH0-57]
cat.: HA721404
Product Type: Recombinant Rabbit monoclonal IgG, primary antibodies
Species reactivity: Human
Applications: WB, IHC-P, IF-Tissue
Clonality: Monoclonal
Clone number: PSH0-57
Form: Liquid
Storage condition: Shipped at 4℃. Store at +4℃ short term (1-2 weeks). It is recommended to aliquot into single-use upon delivery. Store at -20℃ long term.
Storage buffer: PBS (pH7.4), 0.1% BSA, 40% Glycerol. Preservative: 0.05% Sodium Azide.
Concentration: 1ug/ul
Purification: Protein A affinity purified.
Molecular weight: Predicted band size: 69 kDa
Isotype: IgG
Immunogen: Synthetic peptide within human Mesothelin aa 531-580 / 622 (Q13421-3).
Positive control: HeLa cell lysate, SK-OV-3 cell lysate, OVCAR-3 cell lysate, SiHa cell lysate, NCI-H226 cell lysate, PC-3M cell lysate, human mesothelioma tissue, human ovarian cancer tissue, human tonsil tissue.
Subcellular location: Cell membrane, Golgi apparatus, Secreted.
Recommended Dilutions:
  WB
  IHC-P
  IF-Tissue

1:1,000
1:500-1:2,000
1:100
Uniprot #: SwissProt: Q13421 Human
Alternative names: CAK 1 CAK1 CAK1 antigen cleaved form Megakaryocyte potentiating factor Mesothelin Mesothelin isoform 1 precursor MPF Msln MSLN_HUMAN Pre pro megakaryocyte potentiating factor Pre-pro-megakaryocyte-potentiating factor SMR SMRP Soluble MPF mesothelin related protein
Images
HA721404_1.jpg Fig1: Western blot analysis of Mesothelin on different lysates with Rabbit anti-Mesothelin antibody (HA721404) at 1/1,000 dilution.

Lane 1: HeLa cell lysate
Lane 2: SK-OV-3 cell lysate
Lane 3: OVCAR-3 cell lysate
Lane 4: SiHa cell lysate
Lane 5: NCI-H226 cell lysate
Lane 6: PC-3M cell lysate (negative)

Lysates/proteins at 20 µg/Lane.

Predicted band size: 69 kDa
Observed band size: 45 kDa

Exposure time: 7 seconds;

4-20% SDS-PAGE gel.

Proteins were transferred to a PVDF membrane and blocked with 5% NFDM/TBST for 1 hour at room temperature. The primary antibody (HA721404) at 1/1,000 dilution was used in 5% NFDM/TBST at room temperature for 2 hours. Goat Anti-Rabbit IgG - HRP Secondary Antibody (HA1001) at 1:100,000 dilution was used for 1 hour at room temperature.
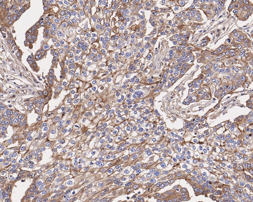
HA721404_2.jpg Fig2: Immunohistochemical analysis of paraffin-embedded human mesothelioma tissue with Rabbit anti-Mesothelin antibody (HA721404) at 1/500 dilution.

The section was pre-treated using heat mediated antigen retrieval with Tris-EDTA buffer (pH 9.0) for 20 minutes. The tissues were blocked in 1% BSA for 20 minutes at room temperature, washed with ddH2O and PBS, and then probed with the primary antibody (HA721404) at 1/500 dilution for 1 hour at room temperature. The detection was performed using an HRP conjugated compact polymer system. DAB was used as the chromogen. Tissues were counterstained with hematoxylin and mounted with DPX.
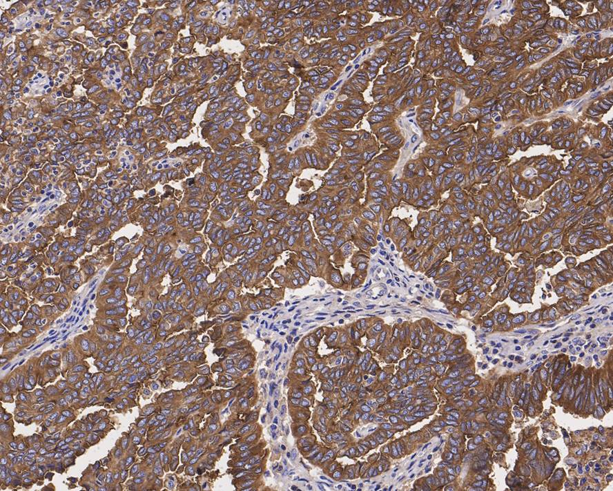
HA721404_3.jpg Fig3: Immunohistochemical analysis of paraffin-embedded human ovarian cancer tissue with Rabbit anti-Mesothelin antibody (HA721404) at 1/2,000 dilution.

The section was pre-treated using heat mediated antigen retrieval with Tris-EDTA buffer (pH 9.0) for 20 minutes. The tissues were blocked in 1% BSA for 20 minutes at room temperature, washed with ddH2O and PBS, and then probed with the primary antibody (HA721404) at 1/2,000 dilution for 1 hour at room temperature. The detection was performed using an HRP conjugated compact polymer system. DAB was used as the chromogen. Tissues were counterstained with hematoxylin and mounted with DPX.
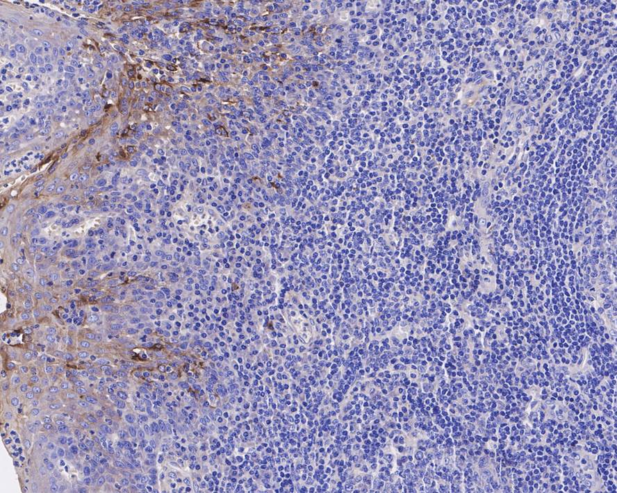
HA721404_4.jpg Fig4: Immunohistochemical analysis of paraffin-embedded human tonsil tissue with Rabbit anti-Mesothelin antibody (HA721404) at 1/500 dilution.

The section was pre-treated using heat mediated antigen retrieval with Tris-EDTA buffer (pH 9.0) for 20 minutes. The tissues were blocked in 1% BSA for 20 minutes at room temperature, washed with ddH2O and PBS, and then probed with the primary antibody (HA721404) at 1/500 dilution for 1 hour at room temperature. The detection was performed using an HRP conjugated compact polymer system. DAB was used as the chromogen. Tissues were counterstained with hematoxylin and mounted with DPX.
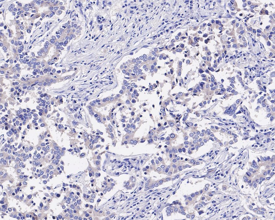
HA721404_5.jpg Fig5: Immunohistochemical analysis of paraffin-embedded human breast cancer tissue (negative) with Rabbit anti-Mesothelin antibody (HA721404) at 1/2,000 dilution.

The section was pre-treated using heat mediated antigen retrieval with Tris-EDTA buffer (pH 9.0) for 20 minutes. The tissues were blocked in 1% BSA for 20 minutes at room temperature, washed with ddH2O and PBS, and then probed with the primary antibody (HA721404) at 1/2,000 dilution for 1 hour at room temperature. The detection was performed using an HRP conjugated compact polymer system. DAB was used as the chromogen. Tissues were counterstained with hematoxylin and mounted with DPX.
HA721404_6.jpg Fig6: Immunofluorescence analysis of paraffin-embedded human tonsil tissue labeling Mesothelin with Rabbit anti-Mesothelin antibody (HA721404) at 1/100 dilution.

The section was pre-treated using heat mediated antigen retrieval with Tris-EDTA buffer (pH 9.0) for 20 minutes. The tissues were blocked in 10% negative goat serum for 1 hour at room temperature, washed with PBS, and then probed with the primary antibody (HA721404, green) at 1/100 dilution overnight at 4 ℃, washed with PBS.

Goat Anti-Rabbit IgG H&L (iFluor™ 488, HA1121) was used as the secondary antibody at 1/1,000 dilution. Nuclei were counterstained with DAPI (blue).
HA721404_7.jpg Fig7: Immunofluorescence analysis of paraffin-embedded human ovarian cancer tissue labeling Mesothelin with Rabbit anti-Mesothelin antibody (HA721404) at 1/100 dilution.

The section was pre-treated using heat mediated antigen retrieval with Tris-EDTA buffer (pH 9.0) for 20 minutes. The tissues were blocked in 10% negative goat serum for 1 hour at room temperature, washed with PBS, and then probed with the primary antibody (HA721404, green) at 1/100 dilution overnight at 4 ℃, washed with PBS.

Goat Anti-Rabbit IgG H&L (iFluor™ 488, HA1121) was used as the secondary antibody at 1/1,000 dilution. Nuclei were counterstained with DAPI (blue).
Note: All products are “FOR RESEARCH USE ONLY AND ARE NOT INTENDED FOR DIAGNOSTIC OR THERAPEUTIC USE”.