HSF1 Recombinant Rabbit Monoclonal Antibody [JE44-79]
cat.: HA721419
Product Type: Recombinant Rabbit monoclonal IgG, primary antibodies
Species reactivity: Human
Applications: WB, IHC-P, IF-Cell, FC
Clonality: Monoclonal
Clone number: JE44-79
Form: Liquid
Storage condition: Shipped at 4℃. Store at +4℃ short term (1-2 weeks). It is recommended to aliquot into single-use upon delivery. Store at -20℃ long term.
Storage buffer: 1*TBS (pH7.4), 0.05% BSA, 40% Glycerol. Preservative: 0.05% Sodium Azide.
Concentration: 1ug/ul
Purification: Protein A affinity purified.
Molecular weight: Predicted band size: 57 kDa
Isotype: IgG
Immunogen: Synthetic peptide within Human HSF1 aa 480-529 / 529.
Positive control: HeLa cell lysate, U-2 OS cell lysate, MCF7 cell lysate, HEK-293 cell lysate, K-562 cell lysate, Jurkat cell lysate, A549 cell lysate, HepG2 cell lysate, LoVo cell lysate, human colon carcinoma tissue, human placenta tissue, human testis tissue, HeLa.
Subcellular location: Nucleus, Cytoplasm.
Recommended Dilutions:
  WB
  IHC-P
  IF-Cell
  FC

1:1,000
1:1,000
1:100
1:500-1:1,000
Uniprot #: SwissProt: Q00613 Human
Alternative names: Heat shock factor 1 Heat shock factor protein 1 Heat shock transcription factor 1 HSF 1 hsf1 HSF1_HUMAN HSTF 1 HSTF1
Images
HA721419_1.jpg Fig1: Western blot analysis of HSF1 on different lysates with Rabbit anti-HSF1 antibody (HA721419) at 1/1,000 dilution.

Lane 1: HeLa cell lysate
Lane 2: U-2 OS cell lysate
Lane 3: MCF7 cell lysate
Lane 4: HEK-293 cell lysate
Lane 5: K-562 cell lysate
Lane 6: Jurkat cell lysate
Lane 7: A549 cell lysate
Lane 8: HepG2 cell lysate
Lane 9: LoVo cell lysate

Lysates/proteins at 15 µg/Lane.

Predicted band size: 57 kDa
Observed band size: 75 kDa

Exposure time: 1 minute;

4-20% SDS-PAGE gel.

Proteins were transferred to a PVDF membrane and blocked with 5% NFDM/TBST for 1 hour at room temperature. The primary antibody (HA721419) at 1/1,000 dilution was used in 5% NFDM/TBST at room temperature for 2 hours. Goat Anti-Rabbit IgG - HRP Secondary Antibody (HA1001) at 1:100,000 dilution was used for 1 hour at room temperature.
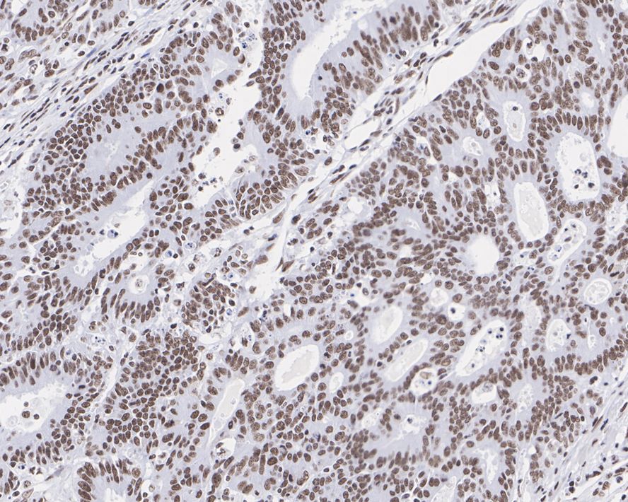
HA721419_2.jpg Fig2: Immunohistochemical analysis of paraffin-embedded human colon carcinoma tissue with Rabbit anti-HSF1 antibody (HA721419) at 1/1,000 dilution.

The section was pre-treated using heat mediated antigen retrieval with sodium citrate buffer (pH 6.0) for 2 minutes. The tissues were blocked in 1% BSA for 20 minutes at room temperature, washed with ddH2O and PBS, and then probed with the primary antibody (HA721419) at 1/1,000 dilution for 1 hour at room temperature. The detection was performed using an HRP conjugated compact polymer system. DAB was used as the chromogen. Tissues were counterstained with hematoxylin and mounted with DPX.
HA721419_3.jpg Fig3: Immunohistochemical analysis of paraffin-embedded human placenta tissue with Rabbit anti-HSF1 antibody (HA721419) at 1/1,000 dilution.

The section was pre-treated using heat mediated antigen retrieval with sodium citrate buffer (pH 6.0) for 2 minutes. The tissues were blocked in 1% BSA for 20 minutes at room temperature, washed with ddH2O and PBS, and then probed with the primary antibody (HA721419) at 1/1,000 dilution for 1 hour at room temperature. The detection was performed using an HRP conjugated compact polymer system. DAB was used as the chromogen. Tissues were counterstained with hematoxylin and mounted with DPX.
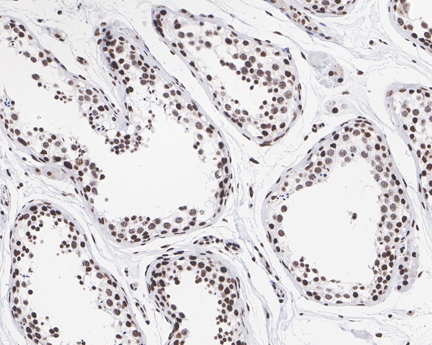
HA721419_4.jpg Fig4: Immunohistochemical analysis of paraffin-embedded human testis tissue with Rabbit anti-HSF1 antibody (HA721419) at 1/1,000 dilution.

The section was pre-treated using heat mediated antigen retrieval with sodium citrate buffer (pH 6.0) for 2 minutes. The tissues were blocked in 1% BSA for 20 minutes at room temperature, washed with ddH2O and PBS, and then probed with the primary antibody (HA721419) at 1/1,000 dilution for 1 hour at room temperature. The detection was performed using an HRP conjugated compact polymer system. DAB was used as the chromogen. Tissues were counterstained with hematoxylin and mounted with DPX.
HA721419_5.jpg Fig5: Immunocytochemistry analysis of HeLa cells labeling HSF1 with Rabbit anti-HSF1 antibody (HA721419) at 1/100 dilution.

Cells were fixed in 4% paraformaldehyde for 10 minutes at 37 ℃, permeabilized with 0.05% Triton X-100 in PBS for 20 minutes, and then blocked with 2% negative goat serum for 30 minutes at room temperature. Cells were then incubated with Rabbit anti-HSF1 antibody (HA721419) at 1/100 dilution in 2% negative goat serum overnight at 4 ℃. Goat Anti-Rabbit IgG H&L (iFluor™ 488, HA1121) was used as the secondary antibody at 1/1,000 dilution. Nuclear DNA was labelled in blue with DAPI.

Beta tubulin (M1305-2, red) was stained at 1/200 dilution overnight at +4℃. Goat Anti-Mouse IgG H&L (iFluor™ 594, HA1126) was used as the secondary antibody at 1/1,000 dilution.
HA721419_6.jpg Fig6: Flow cytometric analysis of HeLa cells labeling HSF1.

Cells were fixed and permeabilized. Then stained with the primary antibody (HA721419, 1ug/ml) (red) compared with Rabbit IgG Isotype Control (green). After incubation of the primary antibody at +4℃ for an hour, the cells were stained with a iFluor™ 488 conjugate-Goat anti-Rabbit IgG Secondary antibody (HA1121) at 1/1,000 dilution for 30 minutes at +4℃. Unlabelled sample was used as a control (cells without incubation with primary antibody; black).
Note: All products are “FOR RESEARCH USE ONLY AND ARE NOT INTENDED FOR DIAGNOSTIC OR THERAPEUTIC USE”.