RNA Helicase A Recombinant Rabbit Monoclonal Antibody [JE34-97]
cat.: HA721424
Product Type: Recombinant Rabbit monoclonal IgG, primary antibodies
Species reactivity: Human, Mouse, Rat
Applications: WB, IHC-P, IF-Cell
Clonality: Monoclonal
Clone number: JE34-97
Form: Liquid
Storage condition: Shipped at 4℃. Store at +4℃ short term (1-2 weeks). It is recommended to aliquot into single-use upon delivery. Store at -20℃ long term.
Storage buffer: 1*TBS (pH7.4), 0.05% BSA, 40% Glycerol. Preservative: 0.05% Sodium Azide.
Concentration: 1ug/ul
Purification: Protein A affinity purified.
Molecular weight: Predicted band size: 141 kDa
Isotype: IgG
Immunogen: Recombinant protein within Human RNA Helicase A aa 1,126-1,225 / 1,270.
Positive control: U-2 OS cell lysate, A431 cell lysate, HeLa cell lysate, HEK-293 cell lysate, K-562 cell lysate, A549 cell lysate, PANC-1 cell lysate, MCF7 cell lysate, human brain tissue lysate, human brain tissue, mouse brain tissue, rat brain tissue, human kidney tissue, human placenta tissue, human liver tissue, mouse liver tissue, rat liver tissue, HeLa.
Subcellular location: Nucleus, nucleoplasm, nucleolus, Cytoplasm, cytoskeleton, microtubule organizing center, centrosom.
Recommended Dilutions:
  WB
  IHC-P
  IF-Cell

1:1,000-1:2,000
1:200-1:1,000
1:100
Uniprot #: SwissProt: Q08211 Human | O70133 Mouse
Entrez Gene: 304859 Rat
Alternative names: ATP dependent RNA helicase A ATP-dependent RNA helicase A DDX 9 DDX9 DEAD/H (Asp Glu Ala Asp/His) box polypeptide 9 DEAD/H box 9 DEAD/H box polypeptide 9 DEAH (Asp Glu Ala His) box polypeptide 9 DEAH box polypeptide 9 DEAH box protein 9 DHX 9 dhx9 DHX9_HUMAN Leukophysin LKP NDH 2 NDH II NDH2 NDHII Nuclear DNA helicase II RHA
Images
HA721424_1.jpg Fig1: Western blot analysis of RNA Helicase A on different lysates with Rabbit anti-RNA Helicase A antibody (HA721424) at 1/1,000 dilution.

Lane 1: U-2 OS cell lysate (15 µg/Lane)
Lane 2: A431 cell lysate (15 µg/Lane)
Lane 3: HeLa cell lysate (15 µg/Lane)
Lane 4: HEK-293 cell lysate (15 µg/Lane)
Lane 5: K-562 cell lysate (15 µg/Lane)
Lane 6: A549 cell lysate (15 µg/Lane)
Lane 7: PANC-1 cell lysate (15 µg/Lane)
Lane 8: MCF7 cell lysate (15 µg/Lane)
Lane 9: Human brain tissue lysate (30 µg/Lane)

Predicted band size: 141 kDa
Observed band size: 141 kDa

Exposure time: 43 seconds;

4-20% SDS-PAGE gel.

Proteins were transferred to a PVDF membrane and blocked with 5% NFDM/TBST for 1 hour at room temperature. The primary antibody (HA721424) at 1/1,000 dilution was used in 5% NFDM/TBST at room temperature for 2 hours. Goat Anti-Rabbit IgG - HRP Secondary Antibody (HA1001) at 1:100,000 dilution was used for 1 hour at room temperature.
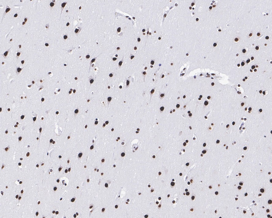
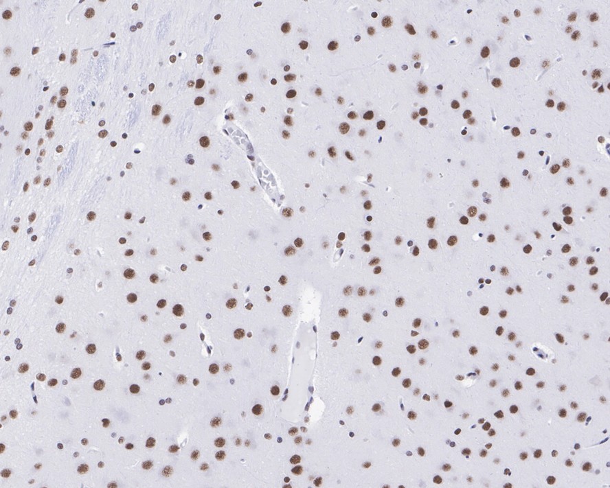
HA721424_2.jpg Fig2: Immunohistochemical analysis of paraffin-embedded human brain tissue with Rabbit anti-RNA Helicase A antibody (HA721424) at 1/1,000 dilution.

The section was pre-treated using heat mediated antigen retrieval with sodium citrate buffer (pH 6.0) for 2 minutes. The tissues were blocked in 1% BSA for 20 minutes at room temperature, washed with ddH2O and PBS, and then probed with the primary antibody (HA721424) at 1/1,000 dilution for 1 hour at room temperature. The detection was performed using an HRP conjugated compact polymer system. DAB was used as the chromogen. Tissues were counterstained with hematoxylin and mounted with DPX.
HA721424_3.jpg Fig3: Immunohistochemical analysis of paraffin-embedded mouse brain tissue with Rabbit anti-RNA Helicase A antibody (HA721424) at 1/1,000 dilution.

The section was pre-treated using heat mediated antigen retrieval with sodium citrate buffer (pH 6.0) for 2 minutes. The tissues were blocked in 1% BSA for 20 minutes at room temperature, washed with ddH2O and PBS, and then probed with the primary antibody (HA721424) at 1/1,000 dilution for 1 hour at room temperature. The detection was performed using an HRP conjugated compact polymer system. DAB was used as the chromogen. Tissues were counterstained with hematoxylin and mounted with DPX.
HA721424_4.jpg Fig4: Immunohistochemical analysis of paraffin-embedded rat brain tissue with Rabbit anti-RNA Helicase A antibody (HA721424) at 1/1,000 dilution.

The section was pre-treated using heat mediated antigen retrieval with sodium citrate buffer (pH 6.0) for 2 minutes. The tissues were blocked in 1% BSA for 20 minutes at room temperature, washed with ddH2O and PBS, and then probed with the primary antibody (HA721424) at 1/1,000 dilution for 1 hour at room temperature. The detection was performed using an HRP conjugated compact polymer system. DAB was used as the chromogen. Tissues were counterstained with hematoxylin and mounted with DPX.
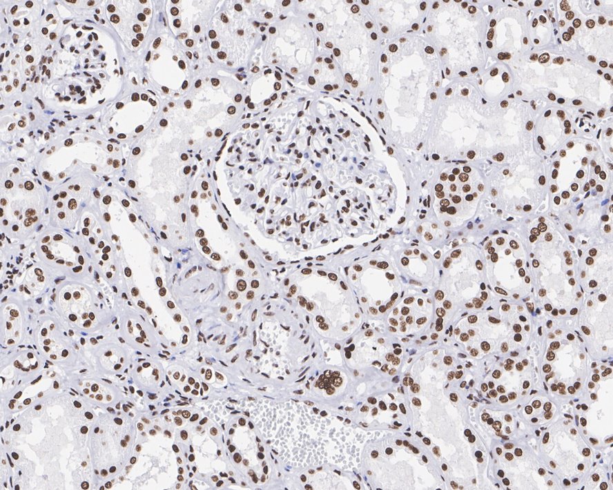
HA721424_5.jpg Fig5: Immunohistochemical analysis of paraffin-embedded human kidney tissue with Rabbit anti-RNA Helicase A antibody (HA721424) at 1/1,000 dilution.

The section was pre-treated using heat mediated antigen retrieval with sodium citrate buffer (pH 6.0) for 2 minutes. The tissues were blocked in 1% BSA for 20 minutes at room temperature, washed with ddH2O and PBS, and then probed with the primary antibody (HA721424) at 1/1,000 dilution for 1 hour at room temperature. The detection was performed using an HRP conjugated compact polymer system. DAB was used as the chromogen. Tissues were counterstained with hematoxylin and mounted with DPX.
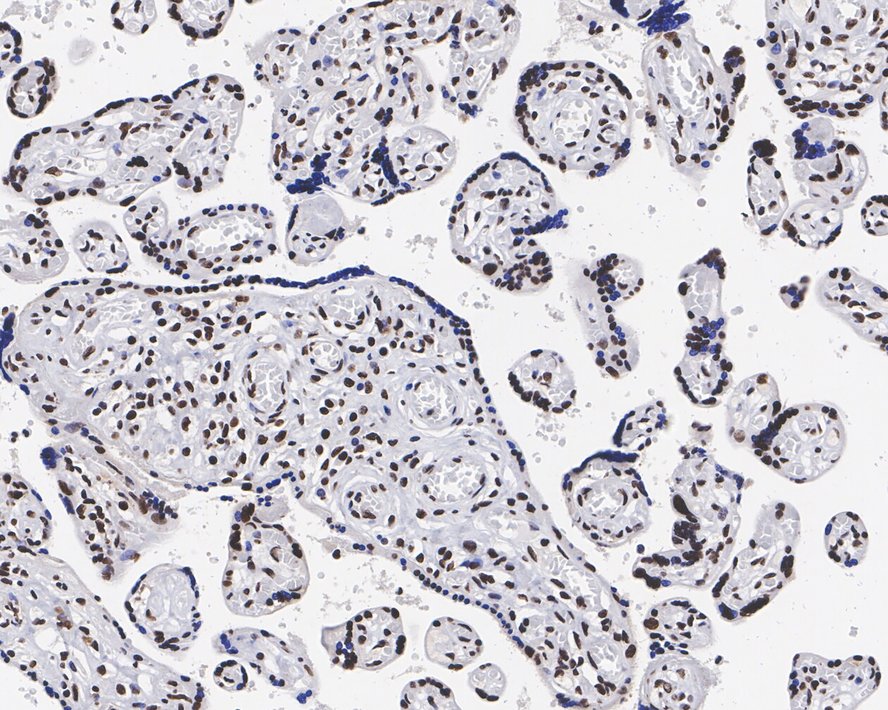
HA721424_6.jpg Fig6: Immunohistochemical analysis of paraffin-embedded human placenta tissue with Rabbit anti-RNA Helicase A antibody (HA721424) at 1/200 dilution.

The section was pre-treated using heat mediated antigen retrieval with sodium citrate buffer (pH 6.0) for 2 minutes. The tissues were blocked in 1% BSA for 20 minutes at room temperature, washed with ddH2O and PBS, and then probed with the primary antibody (HA721424) at 1/200 dilution for 1 hour at room temperature. The detection was performed using an HRP conjugated compact polymer system. DAB was used as the chromogen. Tissues were counterstained with hematoxylin and mounted with DPX.
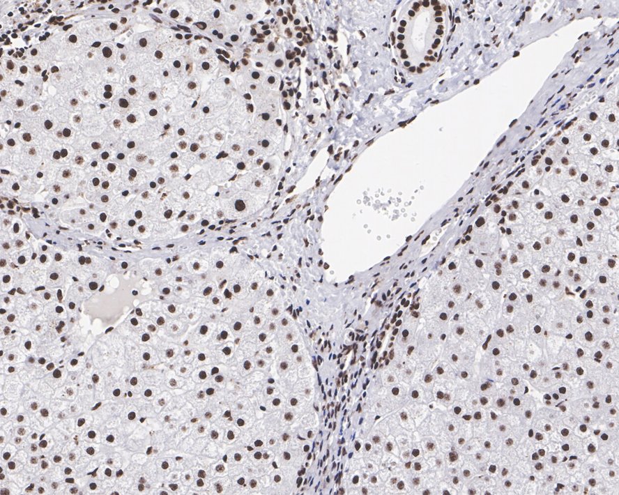
HA721424_7.jpg Fig7: Immunohistochemical analysis of paraffin-embedded human liver tissue with Rabbit anti-RNA Helicase A antibody (HA721424) at 1/1,000 dilution.

The section was pre-treated using heat mediated antigen retrieval with sodium citrate buffer (pH 6.0) for 2 minutes. The tissues were blocked in 1% BSA for 20 minutes at room temperature, washed with ddH2O and PBS, and then probed with the primary antibody (HA721424) at 1/1,000 dilution for 1 hour at room temperature. The detection was performed using an HRP conjugated compact polymer system. DAB was used as the chromogen. Tissues were counterstained with hematoxylin and mounted with DPX.
HA721424_8.jpg Fig8: Immunohistochemical analysis of paraffin-embedded mouse liver tissue with Rabbit anti-RNA Helicase A antibody (HA721424) at 1/1,000 dilution.

The section was pre-treated using heat mediated antigen retrieval with sodium citrate buffer (pH 6.0) for 2 minutes. The tissues were blocked in 1% BSA for 20 minutes at room temperature, washed with ddH2O and PBS, and then probed with the primary antibody (HA721424) at 1/1,000 dilution for 1 hour at room temperature. The detection was performed using an HRP conjugated compact polymer system. DAB was used as the chromogen. Tissues were counterstained with hematoxylin and mounted with DPX.
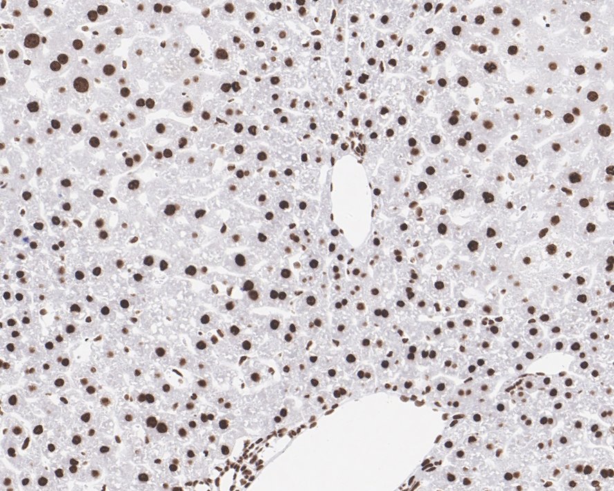
HA721424_9.jpg Fig9: Immunohistochemical analysis of paraffin-embedded rat liver tissue with Rabbit anti-RNA Helicase A antibody (HA721424) at 1/1,000 dilution.

The section was pre-treated using heat mediated antigen retrieval with sodium citrate buffer (pH 6.0) for 2 minutes. The tissues were blocked in 1% BSA for 20 minutes at room temperature, washed with ddH2O and PBS, and then probed with the primary antibody (HA721424) at 1/1,000 dilution for 1 hour at room temperature. The detection was performed using an HRP conjugated compact polymer system. DAB was used as the chromogen. Tissues were counterstained with hematoxylin and mounted with DPX.
HA721424_10.jpg Fig10: Immunocytochemistry analysis of HeLa cells labeling RNA Helicase A with Rabbit anti-RNA Helicase A antibody (HA721424) at 1/100 dilution.

Cells were fixed in 100% methanol for 10 minutes, permeabilized with 0.1% Triton X-100 in PBS for 15 minutes, and then blocked with 1% BSA for 30 minutes at room temperature. Cells were then incubated with Rabbit anti-RNA Helicase A antibody (HA721424) at 1/100 dilution in 2% negative goat serum overnight at 4 ℃. Goat Anti-Rabbit IgG H&L (iFluor™ 488, HA1121) was used as the secondary antibody at 1/1,000 dilution. Nuclear DNA was labelled in blue with DAPI.

Beta tubulin (M1305-2, red) was stained at 1/100 dilution overnight at +4℃. Goat Anti-Mouse IgG H&L (iFluor™ 594, HA1126) was used as the secondary antibody at 1/1,000 dilution.
Note: All products are “FOR RESEARCH USE ONLY AND ARE NOT INTENDED FOR DIAGNOSTIC OR THERAPEUTIC USE”.