HBEGF Recombinant Rabbit Monoclonal Antibody [JE34-79]
cat.: HA721470
Product Type: Recombinant Rabbit monoclonal IgG, primary antibodies
Species reactivity: Human, Rat
Applications: WB, IHC-P
Clonality: Monoclonal
Clone number: JE34-79
Form: Liquid
Storage condition: Shipped at 4℃. Store at +4℃ short term (1-2 weeks). It is recommended to aliquot into single-use upon delivery. Store at -20℃ long term.
Storage buffer: 1*TBS (pH7.4), 0.05% BSA, 40% Glycerol. Preservative: 0.05% Sodium Azide.
Concentration: 1ug/ul
Purification: Protein A affinity purified.
Molecular weight: Predicted band size: 23 kDa
Isotype: IgG
Immunogen: Synthetic peptide within Human HBEGF aa 81-130 / 208.
Positive control: Jurkat cell lysate, K-562 cell lysate, 293T cell lysate, PC-12 cell lysate, human heart tissue.
Subcellular location: Secreted, extracellular space; Cell membrane.
Recommended Dilutions:
  WB
  IHC-P

1:1,000
1:200
Uniprot #: SwissProt: Q99075 Human | Q06175 Rat
Alternative names: diphtheria toxin receptor (heparin-binding EGF-like growth factor) diphtheria toxin receptor (heparin-binding epidermal growth factor-like growth factor) Diphtheria toxin receptor DT R DT-R DTR DTS DTSF HB-EGF HBEGF HBEGF_HUMAN HEGFL Heparin binding EGF like growth factor Heparin binding epidermal growth factor Heparin binding epidermal growth factor like growth factor Heparin-binding EGF-like growth factor Proheparin binding EGF like growth factor
Images
HA721470_1.jpg Fig1: Western blot analysis of HBEGF on different lysates with Rabbit anti-HBEGF antibody (HA721470) at 1/1,000 dilution.

Lane 1: Jurkat cell lysate
Lane 2: K-562 cell lysate
Lane 3: 293T cell lysate
Lane 4: PC-12 cell lysate

Lysates/proteins at 15 µg/Lane.

Predicted band size: 23 kDa
Observed band size: 23 kDa

Exposure time: 1 minute;

4-20% SDS-PAGE gel.

Proteins were transferred to a PVDF membrane and blocked with 5% NFDM/TBST for 1 hour at room temperature. The primary antibody (HA721470) at 1/1,000 dilution was used in 5% NFDM/TBST at room temperature for 2 hours. Goat Anti-Rabbit IgG - HRP Secondary Antibody (HA1001) at 1:100,000 dilution was used for 1 hour at room temperature.
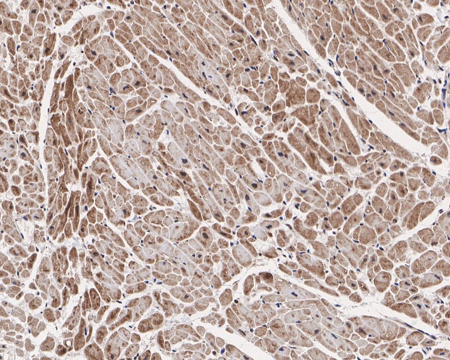
HA721470_2.jpg Fig2: Immunohistochemical analysis of paraffin-embedded human heart tissue with Rabbit anti-HBEGF antibody (HA721470) at 1/200 dilution.

The section was pre-treated using heat mediated antigen retrieval with Tris-EDTA buffer (pH 9.0) for 20 minutes. The tissues were blocked in 1% BSA for 20 minutes at room temperature, washed with ddH2O and PBS, and then probed with the primary antibody (HA721470) at 1/200 dilution for 1 hour at room temperature. The detection was performed using an HRP conjugated compact polymer system. DAB was used as the chromogen. Tissues were counterstained with hematoxylin and mounted with DPX.
Note: All products are “FOR RESEARCH USE ONLY AND ARE NOT INTENDED FOR DIAGNOSTIC OR THERAPEUTIC USE”.