Hsp70 Recombinant Rabbit Monoclonal Antibody [PD01-65]
cat.: HA721497
Product Type: Recombinant Rabbit monoclonal IgG, primary antibodies
Species reactivity: Human
Applications: WB, IHC-P, IF-Tissue
Clonality: Monoclonal
Clone number: PD01-65
Form: Liquid
Storage condition: Shipped at 4℃. Store at +4℃ short term (1-2 weeks). It is recommended to aliquot into single-use upon delivery. Store at -20℃ long term.
Storage buffer: PBS (pH7.4), 0.1% BSA, 40% Glycerol. Preservative: 0.05% Sodium Azide.
Concentration: 1ug/ul
Purification: Protein A affinity purified.
Molecular weight: Predicted band size: 70 kDa
Isotype: IgG
Immunogen: Recombinant fragment within Human Hsp70 aa 50-300.
Positive control: HCT 116 cell lysate, HEK-293 cell lysate, HepG2 cell lysate, A431 cell lysate, A549 cell lysate, human breast carcinoma tissue, human liver carcinoma tissue.
Subcellular location: Cytoplasm.
Recommended Dilutions:
  WB
  IHC-P
  IF-Tissue

1:1,000
1:200
1:200
Uniprot #: SwissProt: P0DMV9 Human | P0DMV8 Human | P17879 Mouse | Q61696 Mouse | Q07439 Rat
Alternative names: DnaK type molecular chaperone HSP70 1 Epididymis secretory protein Li 103 FLJ54303 FLJ54370 FLJ54392 FLJ54408 FLJ75127 Heat shock 70 kDa protein 1 Heat shock 70 kDa protein 1/2 Heat shock 70 kDa protein 1A/1B Heat shock 70kDa protein 1A Heat shock 70kDa protein 1B Heat shock induced protein HEL S 103 HSP70 1 HSP70 1B HSP70 2 HSP70-1/HSP70-2 HSP70-1A HSP70.1 HSP70.1/HSP70.2 HSP70I HSP71_HUMAN HSP72 HSPA1 HSPA1A HSPA1B
Images
HA721497_1.jpg Fig1: Western blot analysis of Hsp70 on different lysates with Rabbit anti-Hsp70 antibody (HA721497) at 1/1,000 dilution.

Lane 1: HCT 116 cell lysate
Lane 2: HEK-293 cell lysate
Lane 3: HepG2 cell lysate
Lane 4: A431 cell lysate
Lane 5: A549 cell lysate

Lysates/proteins at 20 µg/Lane.

Predicted band size: 70 kDa
Observed band size: 70 kDa

Exposure time: 24 seconds;

4-20% SDS-PAGE gel.

Proteins were transferred to a PVDF membrane and blocked with 5% NFDM/TBST for 1 hour at room temperature. The primary antibody (HA721497) at 1/1,000 dilution was used in 5% NFDM/TBST at room temperature for 2 hours. Goat Anti-Rabbit IgG - HRP Secondary Antibody (HA1001) at 1:100,000 dilution was used for 1 hour at room temperature.
HA721497_2.jpg Fig2: Application: IF-Tissue

Species: Human

Site: breast carcinoma

Sample: Paraffin-embedded section

Antibody concentration: 1/200
HA721497_3.jpg Fig3: Immunohistochemical analysis of paraffin-embedded human breast carcinoma tissue with Rabbit anti-Hsp70 antibody (HA721497) at 1/200 dilution.

The section was pre-treated using heat mediated antigen retrieval with sodium citrate buffer (pH 6.0) for 2 minutes. The tissues were blocked in 1% BSA for 20 minutes at room temperature, washed with ddH2O and PBS, and then probed with the primary antibody (HA721497) at 1/200 dilution for 1 hour at room temperature. The detection was performed using an HRP conjugated compact polymer system. DAB was used as the chromogen. Tissues were counterstained with hematoxylin and mounted with DPX.
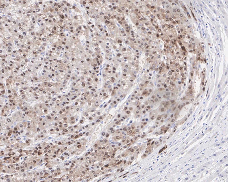
HA721497_4.jpg Fig4: Immunohistochemical analysis of paraffin-embedded human liver carcinoma tissue with Rabbit anti-Hsp70 antibody (HA721497) at 1/200 dilution.

The section was pre-treated using heat mediated antigen retrieval with sodium citrate buffer (pH 6.0) for 2 minutes. The tissues were blocked in 1% BSA for 20 minutes at room temperature, washed with ddH2O and PBS, and then probed with the primary antibody (HA721497) at 1/200 dilution for 1 hour at room temperature. The detection was performed using an HRP conjugated compact polymer system. DAB was used as the chromogen. Tissues were counterstained with hematoxylin and mounted with DPX.
Note: All products are “FOR RESEARCH USE ONLY AND ARE NOT INTENDED FOR DIAGNOSTIC OR THERAPEUTIC USE”.