Activin A Receptor Type IB Recombinant Rabbit Monoclonal Antibody [JE38-48]
cat.: HA721550
Product Type: Recombinant Rabbit monoclonal IgG, primary antibodies
Species reactivity: Human, Mouse, Rat
Applications: WB, IHC-P, IF-Cell, FC
Clonality: Monoclonal
Clone number: JE38-48
Form: Liquid
Storage condition: Shipped at 4℃. Store at +4℃ short term (1-2 weeks). It is recommended to aliquot into single-use upon delivery. Store at -20℃ long term.
Storage buffer: 1*TBS (pH7.4), 0.05% BSA, 40% Glycerol. Preservative: 0.05% Sodium Azide.
Concentration: 1ug/ul
Purification: Protein A affinity purified.
Molecular weight: Predicted band size: 57 kDa
Isotype: IgG
Immunogen: Recombinant protein within human Activin receptor type-1B aa 24-126.
Positive control: 293T cell lysate, U-87 MG cell lysate, mouse brain tissue lysate, rat brain tissue lysate, rat brain tissue, mouse brain tissue, U-87 MG.
Subcellular location: Cell membrane.
Recommended Dilutions:
  WB
  IHC-P
  IF-Cell
  FC

1:1,000
1:5,000
1:250
1:500-1:1,000
Uniprot #: SwissProt: P36896 Human | Q61271 Mouse | P80202 Rat
Alternative names: Activin A receptor type 1B Activin A receptor type II like kinase 4 Activin A type 1B receptor Activin A type IB receptor Activin receptor like kinase 4 Activin receptor type 1B Activin receptor type IB Activin receptor type-1B Activin receptor-like kinase 4 ACTR IB ACTR-IB ACTRIB ACV1B_HUMAN ACVR 1B Acvr1b ACVRLK 4 ACVRLK4 ALK 4 ALK-4 ALK4 Serine(threonine) protein kinase receptor R2 Serine/threonine-protein kinase receptor R2 SKR 2 SKR2
Images
HA721550_1.jpg Fig1: Western blot analysis of Activin A Receptor Type IB on different lysates with Rabbit anti-Activin A Receptor Type IB antibody (HA721550) at 1/1,000 dilution.

Lane 1: 293T cell lysate (15 µg/Lane)
Lane 2: U-87 MG cell lysate (20 µg/Lane)
Lane 3: Mouse brain tissue lysate (20 µg/Lane)
Lane 4: Rat brain tissue lysate (20 µg/Lane)

Predicted band size: 57 kDa
Observed band size: 52 kDa

Exposure time: 3 minutes;
4-20% SDS-PAGE gel.

Proteins were transferred to a PVDF membrane and blocked with 5% NFDM/TBST for 1 hour at room temperature. The primary antibody (HA721550) at 1/1,000 dilution was used in 5% NFDM/TBST at room temperature for 2 hours. Goat Anti-Rabbit IgG - HRP Secondary Antibody (HA1001) at 1:100,000 dilution was used for 1 hour at room temperature.
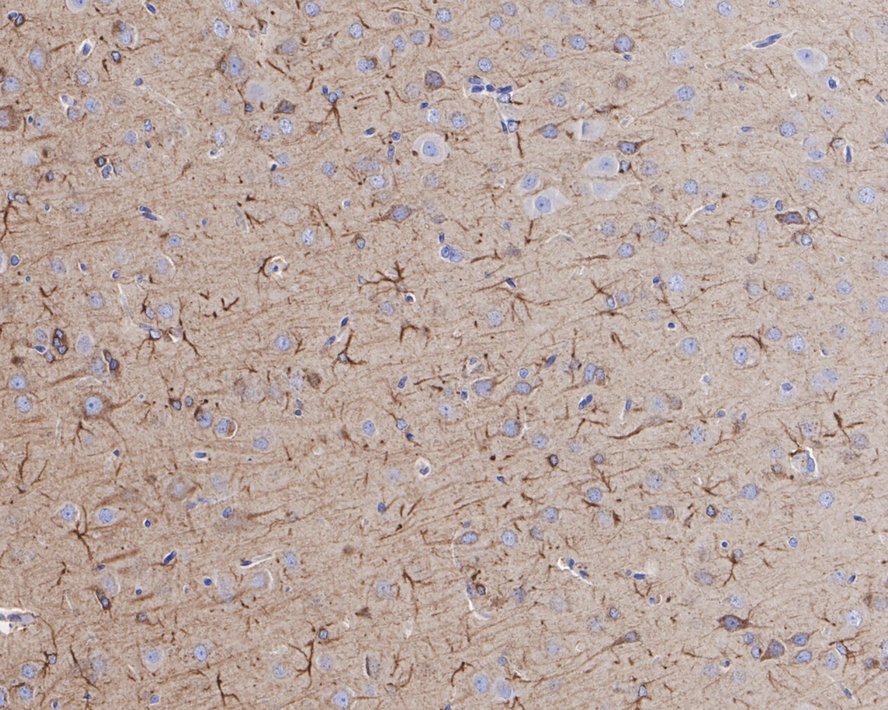
HA721550_2.jpg Fig2: Immunohistochemical analysis of paraffin-embedded rat brain tissue with Rabbit anti-Activin A Receptor Type IB antibody (HA721550) at 1/5,000 dilution.

The section was pre-treated using heat mediated antigen retrieval with Tris-EDTA buffer (pH 9.0) for 20 minutes. The tissues were blocked in 1% BSA for 20 minutes at room temperature, washed with ddH2O and PBS, and then probed with the primary antibody (HA721550) at 1/5,000 dilution for 1 hour at room temperature. The detection was performed using an HRP conjugated compact polymer system. DAB was used as the chromogen. Tissues were counterstained with hematoxylin and mounted with DPX.
HA721550_3.jpg Fig3: Immunohistochemical analysis of paraffin-embedded mouse brain tissue with Rabbit anti-Activin A Receptor Type IB antibody (HA721550) at 1/5,000 dilution.

The section was pre-treated using heat mediated antigen retrieval with Tris-EDTA buffer (pH 9.0) for 20 minutes. The tissues were blocked in 1% BSA for 20 minutes at room temperature, washed with ddH2O and PBS, and then probed with the primary antibody (HA721550) at 1/5,000 dilution for 1 hour at room temperature. The detection was performed using an HRP conjugated compact polymer system. DAB was used as the chromogen. Tissues were counterstained with hematoxylin and mounted with DPX.
HA721550_4.jpg Fig4: Immunocytochemistry analysis of U-87 MG cells labeling Activin A Receptor Type IB with Rabbit anti-Activin A Receptor Type IB antibody (HA721550) at 1/250 dilution.

Cells were fixed in 4% paraformaldehyde for 10 minutes at 37 ℃, permeabilized with 0.05% Triton X-100 in PBS for 20 minutes, and then blocked with 2% negative goat serum for 30 minutes at room temperature. Cells were then incubated with Rabbit anti-Activin A Receptor Type IB antibody (HA721550) at 1/250 dilution in 2% negative goat serum overnight at 4 ℃. Goat Anti-Rabbit IgG H&L (iFluor™ 488, HA1121) was used as the secondary antibody at 1/1,000 dilution. Nuclear DNA was labelled in blue with DAPI.

Beta tubulin (M1305-2, red) was stained at 1/200 dilution overnight at +4℃. Goat Anti-Mouse IgG H&L (iFluor™ 594, HA1126) was used as the secondary antibody at 1/1,000 dilution.
HA721550_5.jpg Fig5: Flow cytometric analysis of U-87 MG cells labeling Activin A Receptor Type IB.

Cells were fixed and permeabilized. Then stained with the primary antibody (HA721550, 1ug/ml) (red) compared with Rabbit IgG Isotype Control (green). After incubation of the primary antibody at +4℃ for an hour, the cells were stained with a iFluor™ 488 conjugate-Goat anti-Rabbit IgG Secondary antibody (HA1121) at 1/1,000 dilution for 30 minutes at +4℃. Unlabelled sample was used as a control (cells without incubation with primary antibody; black).
Note: All products are “FOR RESEARCH USE ONLY AND ARE NOT INTENDED FOR DIAGNOSTIC OR THERAPEUTIC USE”.