MCM2 Recombinant Rabbit Monoclonal Antibody [JE42-39]
cat.: HA721553
Product Type: Recombinant Rabbit monoclonal IgG, primary antibodies
Species reactivity: Human, Mouse, Rat
Applications: WB, IHC-P, IF-Cell
Clonality: Monoclonal
Clone number: JE42-39
Form: Liquid
Storage condition: Shipped at 4℃. Store at +4℃ short term (1-2 weeks). It is recommended to aliquot into single-use upon delivery. Store at -20℃ long term.
Storage buffer: 1*TBS (pH7.4), 0.05% BSA, 40% Glycerol. Preservative: 0.05% Sodium Azide.
Concentration: 1ug/ul
Purification: Protein A affinity purified.
Molecular weight: Predicted band size: 102 kDa
Isotype: IgG
Immunogen: Synthetic peptide within Human MCM2 aa 31-80 / 904.
Positive control: SW480 cell lysate, SH-SY5Y cell lysate, Raji cell lysate, HeLa cell lysate, HL-60 cell lysate, Mouse thymus tissue lysate, Jurkat cell lysate, C2C12 cell lysate, U-87 MG cell lysate, rat thymus tissue lysates, HeLa, human lymph nodes tissue, human small intestine tissue, human testis tissue.
Subcellular location: Nucleus.
Recommended Dilutions:
  WB
  IHC-P
  IF-Cell

1:1,000
1:1,000
1:250
Uniprot #: SwissProt: P49736 Human | P97310 Mouse
Entrez Gene: 312538 Rat
Alternative names: BM28 CCNL 1 CCNL1 CDC like 1 cdc19 CDCL 1 CDCL1 Cell devision cycle like 1 Cyclin like 1 D3S3194 DNA replication licensing factor MCM2 KIAA0030 MCM 2 MCM2 MCM2 minichromosome maintenance deficient 2 mitotin MCM2 minichromosome maintenance deficient 2 mitotin (S. cerevisiae) MCM2 minichromosome maintenance deficient 2, mitotin MCM2_HUMAN MGC10606 Minichromosome maintenance complex component 2 Minichromosome maintenance deficient 2 (mitotin) Minichromosome maintenance deficient 2 mitotin Minichromosome maintenance protein 2 Minichromosome maintenance protein 2 homolog Mitotin Nuclear protein BM28 OTTHUMP00000216047 OTTHUMP00000216050
Images
HA721553_1.jpg Fig1: Western blot analysis of MCM2 on different lysates with Rabbit anti-MCM2 antibody (HA721553) at 1/1,000 dilution.

Lane 1: SW480 cell lysate (20 µg/Lane)
Lane 2: SH-SY5Y cell lysate (20 µg/Lane)
Lane 3: Raji cell lysate (20 µg/Lane)
Lane 4: HeLa cell lysate (20 µg/Lane)
Lane 5: HL-60 cell lysate (20 µg/Lane)
Lane 6: Mouse thymus tissue lysate (40 µg/Lane)
Lane 7: Jurkat cell lysate (20 µg/Lane)
Lane 8: C2C12 cell lysate (20 µg/Lane)
Lane 9: U-87 MG cell lysate (20 µg/Lane)

Predicted band size: 102 kDa
Observed band size: 130 kDa

Exposure time: 40 seconds;

4-20% SDS-PAGE gel.

Proteins were transferred to a PVDF membrane and blocked with 5% NFDM/TBST for 1 hour at room temperature. The primary antibody (HA721553) at 1/1,000 dilution was used in 5% NFDM/TBST at room temperature for 2 hours. Goat Anti-Rabbit IgG - HRP Secondary Antibody (HA1001) at 1:100,000 dilution was used for 1 hour at room temperature.
HA721553_2.jpg Fig2: Western blot analysis of MCM2 on rat thymus tissue lysates with Rabbit anti-MCM2 antibody (HA721553) at 1/1,000 dilution.

Lysates/proteins at 40 µg/Lane.

Predicted band size: 102 kDa
Observed band size: 130 kDa

Exposure time: 17 seconds; ECL: K1801;

4-20% SDS-PAGE gel.

Proteins were transferred to a PVDF membrane and blocked with 5% NFDM/TBST for 1 hour at room temperature. The primary antibody (HA721553) at 1/1,000 dilution was used in 5% NFDM/TBST at 4℃ overnight. Goat Anti-Rabbit IgG - HRP Secondary Antibody (HA1001) at 1/50,000 dilution was used for 1 hour at room temperature.
HA721553_3.jpg Fig3: Immunocytochemistry analysis of HeLa cells labeling MCM2 with Rabbit anti-MCM2 antibody (HA721553) at 1/250 dilution.

Cells were fixed in 100% precooled methanol for 5 minutes at room temperature, then blocked with 1% BSA in 10% negative goat serum for 1 hour at room temperature. Cells were then incubated with Rabbit anti-MCM2 antibody (HA721553) at 1/250 dilution in 1% BSA in PBST overnight at 4 ℃. Goat Anti-Rabbit IgG H&L (iFluor™ 488, HA1121) was used as the secondary antibody at 1/1,000 dilution. PBS instead of the primary antibody was used as the secondary antibody only control. Nuclear DNA was labelled in blue with DAPI.

Beta tubulin (M1305-2, red) was stained at 1/100 dilution overnight at +4℃. Goat Anti-Mouse IgG H&L (iFluor™ 594, HA1126) was used as the secondary antibody at 1/1,000 dilution.
HA721553_4.jpg Fig4: Immunohistochemical analysis of paraffin-embedded human lymph nodes tissue with Rabbit anti-MCM2 antibody (HA721553) at 1/1,000 dilution.

The section was pre-treated using heat mediated antigen retrieval with sodium citrate buffer (pH 6.0) for 2 minutes. The tissues were blocked in 1% BSA for 20 minutes at room temperature, washed with ddH2O and PBS, and then probed with the primary antibody (HA721553) at 1/1,000 dilution for 1 hour at room temperature. The detection was performed using an HRP conjugated compact polymer system. DAB was used as the chromogen. Tissues were counterstained with hematoxylin and mounted with DPX.
HA721553_5.jpg Fig5: Immunohistochemical analysis of paraffin-embedded human small intestine tissue with Rabbit anti-MCM2 antibody (HA721553) at 1/1,000 dilution.

The section was pre-treated using heat mediated antigen retrieval with sodium citrate buffer (pH 6.0) for 2 minutes. The tissues were blocked in 1% BSA for 20 minutes at room temperature, washed with ddH2O and PBS, and then probed with the primary antibody (HA721553) at 1/1,000 dilution for 1 hour at room temperature. The detection was performed using an HRP conjugated compact polymer system. DAB was used as the chromogen. Tissues were counterstained with hematoxylin and mounted with DPX.
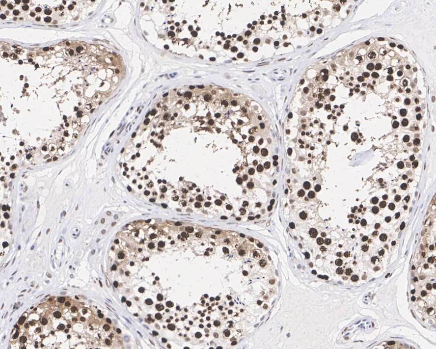
HA721553_6.jpg Fig6: Immunohistochemical analysis of paraffin-embedded human testis tissue with Rabbit anti-MCM2 antibody (HA721553) at 1/1,000 dilution.

The section was pre-treated using heat mediated antigen retrieval with sodium citrate buffer (pH 6.0) for 2 minutes. The tissues were blocked in 1% BSA for 20 minutes at room temperature, washed with ddH2O and PBS, and then probed with the primary antibody (HA721553) at 1/1,000 dilution for 1 hour at room temperature. The detection was performed using an HRP conjugated compact polymer system. DAB was used as the chromogen. Tissues were counterstained with hematoxylin and mounted with DPX.
Note: All products are “FOR RESEARCH USE ONLY AND ARE NOT INTENDED FOR DIAGNOSTIC OR THERAPEUTIC USE”.