M6PR (cation dependent) Recombinant Rabbit Monoclonal Antibody [PSH01-06]
cat.: HA721571
Product Type: Recombinant Rabbit monoclonal IgG, primary antibodies
Species reactivity: Human, Mouse, Rat
Applications: WB, IHC-P
Clonality: Monoclonal
Clone number: PSH01-06
Form: Liquid
Storage condition: Shipped at 4℃. Store at +4℃ short term (1-2 weeks). It is recommended to aliquot into single-use upon delivery. Store at -20℃ long term.
Storage buffer: PBS (pH7.4), 0.1% BSA, 40% Glycerol. Preservative: 0.05% Sodium Azide.
Concentration: 1ug/ul
Purification: Protein A affinity purified.
Molecular weight: Predicted band size: 31 kDa
Isotype: IgG
Immunogen: Recombinant protein within human M6PR aa 1-200 / 277.
Positive control: A549 cell lysate, PC-12 cell lysate, mouse kidney tissue lysate, rat kidney tissue lysate, human kidney tissue, human liver tissue, rat kidney tissue.
Subcellular location: Lysosome membrane.
Recommended Dilutions:
  WB
  IHC-P

1:1,000
1:200-1:1,000
Uniprot #: SwissProt: P20645 Human | P24668 Mouse | Q6AY20 Rat
Alternative names: 46 kDa mannose 6 phosphate receptor 46 kDa mannose 6-phosphate receptor Cation dependent mannose 6 phosphate receptor Cation dependent mannose 6 phosphate receptor precursor Cation-dependent mannose-6-phosphate receptor CD Man 6 P receptor CD Man-6-P receptor CD MPR CD-M6PR CD-MPR FLJ32994 M6pr M6PR protein Man6PR Mannose 6 phosphate receptor (cation dependent) Mannose 6 phosphate receptor MPR 46 MPR46 MPRD MPRD_HUMAN Mr 46,000 Man6PR Small mannose 6 phosphate receptor SMPR
Images
HA721571_1.jpg Fig1: Western blot analysis of M6PR (cation dependent) on different lysates with Rabbit anti-M6PR (cation dependent) antibody (HA721571) at 1/1,000 dilution.

Lane 1: A549 cell lysate (20 µg/Lane)
Lane 2: PC-12 cell lysate (20 µg/Lane)
Lane 3: Mouse kidney tissue lysate (40 µg/Lane)
Lane 4: Rat kidney tissue lysate (40 µg/Lane)

Predicted band size: 31 kDa
Observed band size: 37/46 kDa

Exposure time: 3 minutes;

4-20% SDS-PAGE gel.

Proteins were transferred to a PVDF membrane and blocked with 5% NFDM/TBST for 1 hour at room temperature. The primary antibody (HA721571) at 1/1,000 dilution was used in 5% NFDM/TBST at room temperature for 2 hours. Goat Anti-Rabbit IgG - HRP Secondary Antibody (HA1001) at 1:100,000 dilution was used for 1 hour at room temperature.
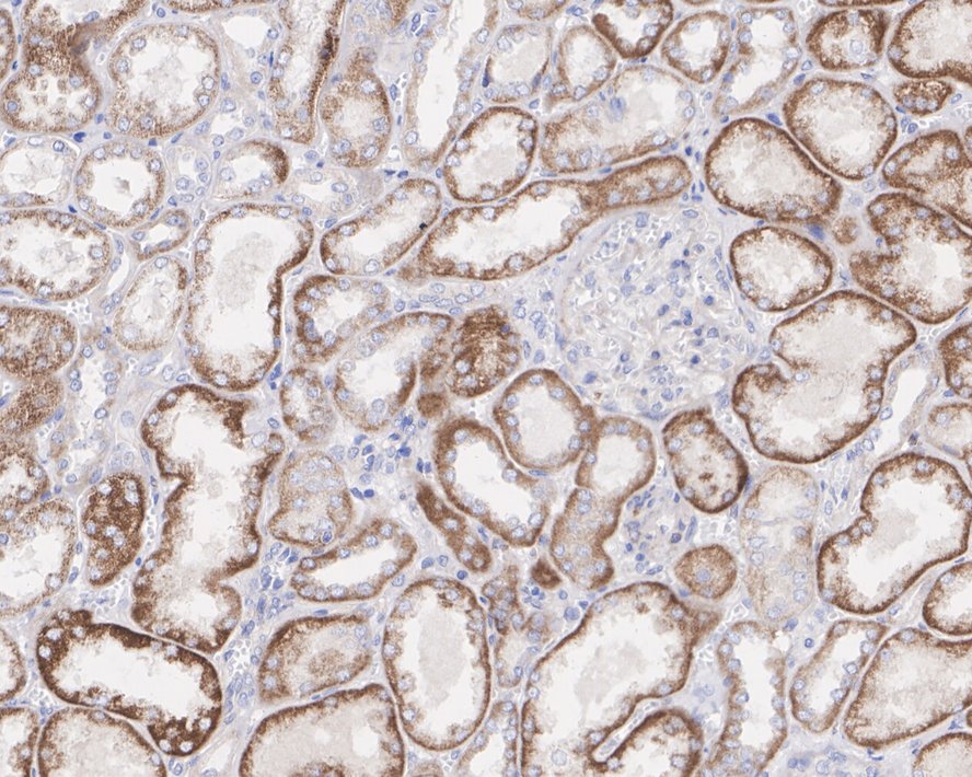
HA721571_2.jpg Fig2: Immunohistochemical analysis of paraffin-embedded human kidney tissue with Rabbit anti-M6PR (cation dependent) antibody (HA721571) at 1/1,000 dilution.

The section was pre-treated using heat mediated antigen retrieval with Tris-EDTA buffer (pH 9.0) for 20 minutes. The tissues were blocked in 1% BSA for 20 minutes at room temperature, washed with ddH2O and PBS, and then probed with the primary antibody (HA721571) at 1/1,000 dilution for 1 hour at room temperature. The detection was performed using an HRP conjugated compact polymer system. DAB was used as the chromogen. Tissues were counterstained with hematoxylin and mounted with DPX.
HA721571_3.jpg Fig3: Immunohistochemical analysis of paraffin-embedded human liver tissue with Rabbit anti-M6PR (cation dependent) antibody (HA721571) at 1/200 dilution.

The section was pre-treated using heat mediated antigen retrieval with Tris-EDTA buffer (pH 9.0) for 20 minutes. The tissues were blocked in 1% BSA for 20 minutes at room temperature, washed with ddH2O and PBS, and then probed with the primary antibody (HA721571) at 1/200 dilution for 1 hour at room temperature. The detection was performed using an HRP conjugated compact polymer system. DAB was used as the chromogen. Tissues were counterstained with hematoxylin and mounted with DPX.
HA721571_4.jpg Fig4: Immunohistochemical analysis of paraffin-embedded rat kidney tissue with Rabbit anti-M6PR (cation dependent) antibody (HA721571) at 1/200 dilution.

The section was pre-treated using heat mediated antigen retrieval with Tris-EDTA buffer (pH 9.0) for 20 minutes. The tissues were blocked in 1% BSA for 20 minutes at room temperature, washed with ddH2O and PBS, and then probed with the primary antibody (HA721571) at 1/200 dilution for 1 hour at room temperature. The detection was performed using an HRP conjugated compact polymer system. DAB was used as the chromogen. Tissues were counterstained with hematoxylin and mounted with DPX.
Note: All products are “FOR RESEARCH USE ONLY AND ARE NOT INTENDED FOR DIAGNOSTIC OR THERAPEUTIC USE”.