KIF4A Recombinant Rabbit Monoclonal Antibody [JE38-91]
cat.: HA721591
Product Type: Recombinant Rabbit monoclonal IgG, primary antibodies
Species reactivity: Human, Mouse
Applications: WB, IHC-P
Clonality: Monoclonal
Clone number: JE38-91
Form: Liquid
Storage condition: Shipped at 4℃. Store at +4℃ short term (1-2 weeks). It is recommended to aliquot into single-use upon delivery. Store at -20℃ long term.
Storage buffer: 1*TBS (pH7.4), 0.05% BSA, 40% Glycerol. Preservative: 0.05% Sodium Azide.
Concentration: 1ug/ul
Purification: Protein A affinity purified.
Molecular weight: Predicted band size: 140 kDa
Isotype: IgG
Immunogen: Synthetic peptide within Human KIF4A aa 31-80 / 1,232.
Positive control: HeLa cell lysate, U-87 MG cell lysate, 293T cell lysate, SW480 cell lysate, mouse thymus tissue lysate, NIH/3T3 cell lysate, human lung carcinoma tissue.
Subcellular location: Nucleus matrix, Cytoplasm, cytoskeleton, spindle, Midbody, Chromosome.
Recommended Dilutions:
  WB
  IHC-P

1:1,000-1:2,000
1:1,000
Uniprot #: SwissProt: O95239 Human | P33174 Mouse
Alternative names: Chromokinesin Chromokinesin-A Chromosome associated kinesin KIF4A Chromosome-associated kinesin KIF4A FLJ12530 FLJ12655 FLJ14204 FLJ20631 HSA271784 KIF4 KIF4 G1 KIF4A KIF4A_HUMAN KIF4G1 Kinesin family member 4A
Images
HA721591_1.jpg Fig1: Western blot analysis of KIF4A on different lysates with Rabbit anti-KIF4A antibody (HA721591) at 1/1,000 dilution.

Lane 1: HeLa cell lysate (20 µg/Lane)
Lane 2: U-87 MG cell lysate (20 µg/Lane)
Lane 3: 293T cell lysate (20 µg/Lane)
Lane 4: SW480 cell lysate (20 µg/Lane)
Lane 5: Mouse thymus tissue lysate (40 µg/Lane)
Lane 6: NIH/3T3 cell lysate (20 µg/Lane)

Predicted band size: 140 kDa
Observed band size: 160 kDa

Exposure time: 6 minutes;

4-20% SDS-PAGE gel.

Proteins were transferred to a PVDF membrane and blocked with 5% NFDM/TBST for 1 hour at room temperature. The primary antibody (HA721591) at 1/1,000 dilution was used in 5% NFDM/TBST at 4℃ overnight. Goat Anti-Rabbit IgG - HRP Secondary Antibody (HA1001) at 1:100,000 dilution was used for 1 hour at room temperature.
HA721591_2.jpg Fig2: Western blot analysis of KIF4A on different lysates with Rabbit anti-KIF4A antibody (HA721591) at 1/2,000 dilution.

Lane 1: HAP1-parental cell lysate
Lane 2: HAP1-KIF4A KD cell lysate

Lysates/proteins at 10 µg/Lane.

Predicted band size: 140 kDa
Observed band size: 160 kDa

Exposure time: 60 seconds; ECL: K1802;

4-20% SDS-PAGE gel.

Proteins were transferred to a PVDF membrane and blocked with 5% NFDM/TBST for 1 hour at room temperature. The primary antibody (HA721591) at 1/2,000 dilution was used in K1803 at 4℃ overnight. Goat Anti-Rabbit IgG - HRP Secondary Antibody (HA1001) at 1/50,000 dilution was used for 1 hour at room temperature.
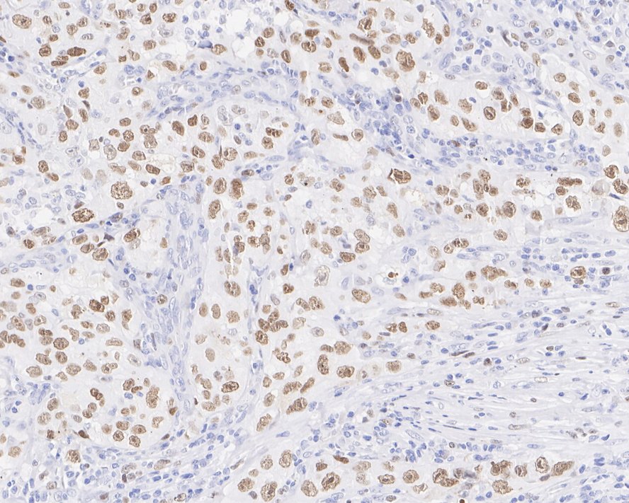
HA721591_3.jpg Fig3: Immunohistochemical analysis of paraffin-embedded human lung carcinoma tissue with Rabbit anti-KIF4A antibody (HA721591) at 1/1,000 dilution.

The section was pre-treated using heat mediated antigen retrieval with Tris-EDTA buffer (pH 9.0) for 20 minutes. The tissues were blocked in 1% BSA for 20 minutes at room temperature, washed with ddH2O and PBS, and then probed with the primary antibody (HA721591) at 1/1,000 dilution for 1 hour at room temperature. The detection was performed using an HRP conjugated compact polymer system. DAB was used as the chromogen. Tissues were counterstained with hematoxylin and mounted with DPX.
Note: All products are “FOR RESEARCH USE ONLY AND ARE NOT INTENDED FOR DIAGNOSTIC OR THERAPEUTIC USE”.