PSMA Recombinant Rabbit Monoclonal Antibody [JE42-45]
cat.: HA721593
Product Type: Recombinant Rabbit monoclonal IgG, primary antibodies
Species reactivity: Human
Applications: WB, IHC-P
Clonality: Monoclonal
Clone number: JE42-45
Form: Liquid
Storage condition: Shipped at 4℃. Store at +4℃ short term (1-2 weeks). It is recommended to aliquot into single-use upon delivery. Store at -20℃ long term.
Storage buffer: 1*TBS (pH7.4), 0.05% BSA, 40% Glycerol. Preservative: 0.05% Sodium Azide.
Concentration: 1ug/ul
Purification: Protein A affinity purified.
Molecular weight: Predicted band size: 84 kDa
Isotype: IgG
Immunogen: Recombinant protein within Human PSMA aa 1-150 / 750.
Positive control: LNCaP cell lysate, 22RV1 cell lysate, human prostate carcinoma tissue.
Subcellular location: Cell membrane; Cytoplasm.
Recommended Dilutions:
  WB
  IHC-P

1:1,000
1:1,000
Uniprot #: SwissProt: Q04609 Human
Alternative names: Cell growth inhibiting protein 27 Cell growth-inhibiting gene 27 protein FGCP Folate hydrolase (prostate-specific membrane antigen) 1 Folate hydrolase 1 Folate hydrolase Folate hydrolase prostate specific membrane antigen 1 FOLH 1 FOLH Folh1 FOLH1_HUMAN Folylpoly gamma glutamate carboxypeptidase Folylpoly-gamma-glutamate carboxypeptidase GCP 2 GCP II GCP2 GCPII GIG27 Glutamate carboxylase II Glutamate carboxypeptidase 2 Glutamate carboxypeptidase II Membrane glutamate carboxypeptidase mGCP N acetylated alpha linked acidic dipeptidase 1 N-acetylated-alpha-linked acidic dipeptidase I NAALAD 1 NAALAD1 NAALAdase NAALADase I Prostate specific membrane antigen Prostate specific membrane antigen variant F Prostate-specific membrane antigen PSM PSMA Pteroylpoly gamma glutamate carboxypeptidase Pteroylpoly-gamma-glutamate carboxypeptidase
Images
HA721593_1.jpg Fig1: Western blot analysis of PSMA on different lysates with Rabbit anti-PSMA antibody (HA721593) at 1/1,000 dilution.

Lane 1: LNCaP cell lysate
Lane 2: 22RV1 cell lysate
Lane 3: PC-3M cell lysate (negative)

Lysates/proteins at 20 µg/Lane.

Predicted band size: 84 kDa
Observed band size: 100/200 kDa

Exposure time: 1 minute 20 seconds;

4-20% SDS-PAGE gel.

Proteins were transferred to a PVDF membrane and blocked with 5% NFDM/TBST for 1 hour at room temperature. The primary antibody (HA721593) at 1/1,000 dilution was used in 5% NFDM/TBST at room temperature for 2 hours. Goat Anti-Rabbit IgG - HRP Secondary Antibody (HA1001) at 1:100,000 dilution was used for 1 hour at room temperature.
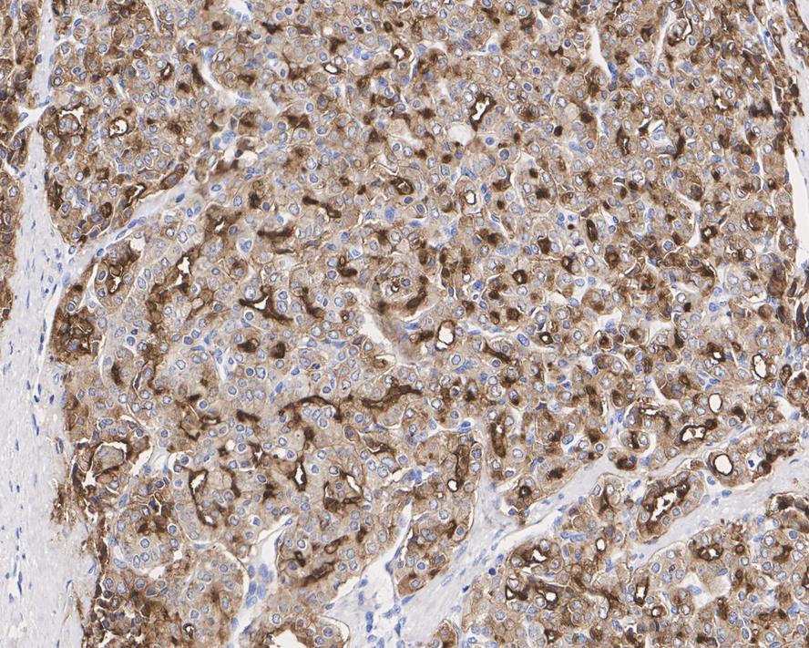
HA721593_2.jpg Fig2: Immunohistochemical analysis of paraffin-embedded human prostate carcinoma tissue with Rabbit anti-PSMA antibody (HA721593) at 1/1,000 dilution.

The section was pre-treated using heat mediated antigen retrieval with Tris-EDTA buffer (pH 9.0) for 20 minutes. The tissues were blocked in 1% BSA for 20 minutes at room temperature, washed with ddH2O and PBS, and then probed with the primary antibody (HA721593) at 1/1,000 dilution for 1 hour at room temperature. The detection was performed using an HRP conjugated compact polymer system. DAB was used as the chromogen. Tissues were counterstained with hematoxylin and mounted with DPX.
Note: All products are “FOR RESEARCH USE ONLY AND ARE NOT INTENDED FOR DIAGNOSTIC OR THERAPEUTIC USE”.