ULK3 Recombinant Rabbit Monoclonal Antibody [PSH01-09]
cat.: HA721621
Product Type: Recombinant Rabbit monoclonal IgG, primary antibodies
Species reactivity: Human, Mouse, Rat
Applications: WB, IHC-P, IF-Cell, FC, IF-Tissue
Clonality: Monoclonal
Clone number: PSH01-09
Form: Liquid
Storage condition: Shipped at 4℃. Store at +4℃ short term (1-2 weeks). It is recommended to aliquot into single-use upon delivery. Store at -20℃ long term.
Storage buffer: PBS (pH7.4), 0.1% BSA, 40% Glycerol. Preservative: 0.05% Sodium Azide.
Concentration: 1ug/ul
Purification: Protein A affinity purified.
Molecular weight: Predicted band size: 53 kDa
Isotype: IgG
Immunogen: Recombinant protein within human ULK3 aa 1-472 / 472.
Positive control: 293T cell lysate, HeLa cell lysate, Jurkat cell lysate, human brain tissue lysate, mouse brain tissue lysate, rat brain tissue lysate, human testis tissue, human brain tissue, mouse brain tissue, rat brain tissue, HeLa.
Subcellular location: Cytoplasm.
Recommended Dilutions:
  WB
  IHC-P
  IF-Cell
  FC
  IF-Tissue

1:1,000
1:200-1:1,000
1:100
1:500-1:1,000
1:200
Uniprot #: SwissProt: Q6PHR2 Human | Q3U3Q1 Mouse | D3ZHP7 Rat
Alternative names: DKFZP434C131 FLJ90566 Serine/threonine-protein kinase ULK3 Ulk3 ULK3_HUMAN unc 51 like kinase 3 (C. elegans) Unc-51-like kinase 3
Images
HA721621_1.jpg Fig1: Western blot analysis of ULK3 on different lysates with Rabbit anti-ULK3 antibody (HA721621) at 1/1,000 dilution.

Lane 1: 293T cell lysate (20 µg/Lane)
Lane 2: HeLa cell lysate (20 µg/Lane)
Lane 3: Jurkat cell lysate (20 µg/Lane)
Lane 4: Human brain tissue lysate (40 µg/Lane)
Lane 5: Mouse brain tissue lysate (40 µg/Lane)
Lane 6: Rat brain tissue lysate (40 µg/Lane)

Predicted band size: 53 kDa
Observed band size: 53 kDa

Exposure time: 3 minutes;

4-20% SDS-PAGE gel.

Proteins were transferred to a PVDF membrane and blocked with 5% NFDM/TBST for 1 hour at room temperature. The primary antibody (HA721621) at 1/1,000 dilution was used in 5% NFDM/TBST at room temperature for 2 hours. Goat Anti-Rabbit IgG - HRP Secondary Antibody (HA1001) at 1:100,000 dilution was used for 1 hour at room temperature.
HA721621_2.jpg Fig2: Western blot analysis of ULK3 on different lysates with Rabbit anti-ULK3 antibody (HA721621) at 1/2,000 dilution.

Lane 1: HAP1-parental cell lysate
Lane 2: HAP1-ULK3 KD cell lysate

Lysates/proteins at 10 µg/Lane.

Predicted band size: 53 kDa
Observed band size: 53 kDa

Exposure time: 10 seconds; ECL: K1801;

4-20% SDS-PAGE gel.

Proteins were transferred to a PVDF membrane and blocked with 5% NFDM/TBST for 1 hour at room temperature. The primary antibody (HA721621) at 1/2,000 dilution was used in primary antibody dilution (K1803) at 4℃ overnight. Goat Anti-Rabbit IgG - HRP Secondary Antibody (HA1001) at 1/50,000 dilution was used for 1 hour at room temperature.
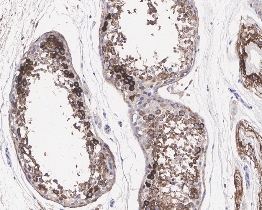
HA721621_3.jpg Fig3: Immunohistochemical analysis of paraffin-embedded human testis tissue with Rabbit anti-ULK3 antibody (HA721621) at 1/1,000 dilution.

The section was pre-treated using heat mediated antigen retrieval with Tris-EDTA buffer (pH 9.0) for 20 minutes. The tissues were blocked in 1% BSA for 20 minutes at room temperature, washed with ddH2O and PBS, and then probed with the primary antibody (HA721621) at 1/1,000 dilution for 1 hour at room temperature. The detection was performed using an HRP conjugated compact polymer system. DAB was used as the chromogen. Tissues were counterstained with hematoxylin and mounted with DPX.
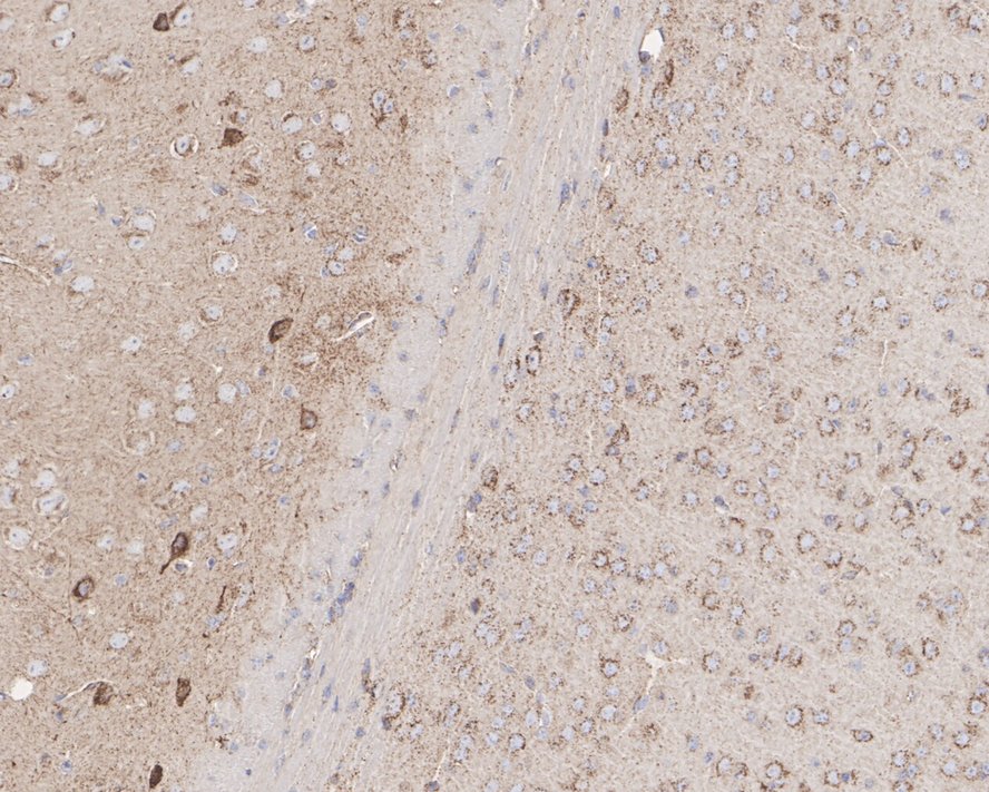
HA721621_4.jpg Fig4: Immunohistochemical analysis of paraffin-embedded human brain tissue with Rabbit anti-ULK3 antibody (HA721621) at 1/1,000 dilution.

The section was pre-treated using heat mediated antigen retrieval with Tris-EDTA buffer (pH 9.0) for 20 minutes. The tissues were blocked in 1% BSA for 20 minutes at room temperature, washed with ddH2O and PBS, and then probed with the primary antibody (HA721621) at 1/1,000 dilution for 1 hour at room temperature. The detection was performed using an HRP conjugated compact polymer system. DAB was used as the chromogen. Tissues were counterstained with hematoxylin and mounted with DPX.
HA721621_5.jpg Fig5: Immunohistochemical analysis of paraffin-embedded mouse brain tissue with Rabbit anti-ULK3 antibody (HA721621) at 1/200 dilution.

The section was pre-treated using heat mediated antigen retrieval with Tris-EDTA buffer (pH 9.0) for 20 minutes. The tissues were blocked in 1% BSA for 20 minutes at room temperature, washed with ddH2O and PBS, and then probed with the primary antibody (HA721621) at 1/200 dilution for 1 hour at room temperature. The detection was performed using an HRP conjugated compact polymer system. DAB was used as the chromogen. Tissues were counterstained with hematoxylin and mounted with DPX.
HA721621_6.jpg Fig6: Immunohistochemical analysis of paraffin-embedded rat brain tissue with Rabbit anti-ULK3 antibody (HA721621) at 1/200 dilution.

The section was pre-treated using heat mediated antigen retrieval with Tris-EDTA buffer (pH 9.0) for 20 minutes. The tissues were blocked in 1% BSA for 20 minutes at room temperature, washed with ddH2O and PBS, and then probed with the primary antibody (HA721621) at 1/200 dilution for 1 hour at room temperature. The detection was performed using an HRP conjugated compact polymer system. DAB was used as the chromogen. Tissues were counterstained with hematoxylin and mounted with DPX.
HA721621_7.jpg Fig7: Immunocytochemistry analysis of HeLa cells labeling ULK3 with Rabbit anti-ULK3 antibody (HA721621) at 1/100 dilution.

Cells were fixed in 4% paraformaldehyde for 20 minutes at room temperature, permeabilized with 0.1% Triton X-100 in PBS for 5 minutes at room temperature, then blocked with 1% BSA in 10% negative goat serum for 1 hour at room temperature. Cells were then incubated with Rabbit anti-ULK3 antibody (HA721621) at 1/100 dilution in 1% BSA in PBST overnight at 4 ℃. Goat Anti-Rabbit IgG H&L (iFluor™ 488, HA1121) was used as the secondary antibody at 1/1,000 dilution. PBS instead of the primary antibody was used as the secondary antibody only control. Nuclear DNA was labelled in blue with DAPI.

Beta tubulin (M1305-2, red) was stained at 1/100 dilution overnight at +4℃. Goat Anti-Mouse IgG H&L (iFluor™ 594, HA1126) was used as the secondary antibody at 1/1,000 dilution.
HA721621_8.jpg Fig8: Flow cytometric analysis of HeLa cells labeling ULK3.

Cells were fixed and permeabilized. Then stained with the primary antibody (HA721621, 1ug/ml) (red) compared with Rabbit IgG Isotype Control (green). After incubation of the primary antibody at +4℃ for an hour, the cells were stained with a iFluor™ 488 conjugate-Goat anti-Rabbit IgG Secondary antibody (HA1121) at 1/1,000 dilution for 30 minutes at +4℃. Unlabelled sample was used as a control (cells without incubation with primary antibody; black).
HA721621_9.jpg Fig9: Immunofluorescence analysis of paraffin-embedded human testis tissue labeling ULK3 with Rabbit anti-ULK3 antibody (HA721621) at 1/200 dilution.

The section was pre-treated using heat mediated antigen retrieval with Tris-EDTA buffer (pH 9.0) for 20 minutes. The tissues were blocked in 10% negative goat serum for 1 hour at room temperature, washed with PBS, and then probed with the primary antibody (HA721621, green) at 1/200 dilution overnight at 4 ℃, washed with PBS. Goat Anti-Rabbit IgG H&L (iFluor™ 488, HA1121) was used as the secondary antibody at 1/1,000 dilution. Nuclei were counterstained with DAPI (blue).
Note: All products are “FOR RESEARCH USE ONLY AND ARE NOT INTENDED FOR DIAGNOSTIC OR THERAPEUTIC USE”.