TAX1BP1 Recombinant Rabbit Monoclonal Antibody [JE34-80]
cat.: HA721648
Product Type: Recombinant Rabbit monoclonal IgG, primary antibodies
Species reactivity: Human, Mouse, Rat
Applications: WB, IHC-P
Clonality: Monoclonal
Clone number: JE34-80
Form: Liquid
Storage condition: Shipped at 4℃. Store at +4℃ short term (1-2 weeks). It is recommended to aliquot into single-use upon delivery. Store at -20℃ long term.
Storage buffer: 1*TBS (pH7.4), 0.05% BSA, 40% Glycerol. Preservative: 0.05% Sodium Azide.
Concentration: 1ug/ul
Purification: Protein A affinity purified.
Molecular weight: Predicted band size: 91 kDa
Isotype: IgG
Immunogen: Synthetic peptide within Human TAX1BP1 aa 740-789 / 789.
Positive control: K-562 cell lysate, A549 cell lysate, 293T cell lysate, Jurkat cell lysate, mouse testis tissue lysate, rat testis tissue lysate, mouse testis tissue, rat testis tissue.
Subcellular location: Cytoplasm, Mitochondrion, Preautophagosomal structure, Cytoplasmic vesicle, autophagosome.
Recommended Dilutions:
  WB
  IHC-P

1:1,000-1:2,000
1:1,000
Uniprot #: SwissProt: Q86VP1 Human | Q3UKC1 Mouse | Q66HA4 Rat
Alternative names: 1200003J11Rik 1700069J21Rik Aa1076 AA930106 CALCOCO 3 CALCOCO3 D6Ertd404e D6Ertd772e Human T cell leukemia virus type 1-binding protein Liver regeneration-related protein LRRG004 MGC94031 PRO0105 T6BP Tax1 (human T cell leukemia virus type I) binding protein Tax1 (human T cell leukemia virus type I) binding protein 1 Tax1 binding protein 1 Tax1 binding protein Tax1-binding protein 1 Tax1-binding protein 1 homolog TAX1BP1 TAX1BP1 protein tax1bp1b TAXB1_HUMAN TRAF 6 binding protein TRAF6 binding protein TRAF6 binding protein T6BP TRAF6-binding protein TRAF6-interacting protein TXBP 151 TXBP151 wu:fc20c12 wu:fc56e11 zgc:73219 zgc:77129
Images
HA721648_1.jpg Fig1: Western blot analysis of TAX1BP1 on different lysates with Rabbit anti-TAX1BP1 antibody (HA721648) at 1/1,000 dilution.

Lane 1: K-562 cell lysate (20 µg/Lane)
Lane 2: A549 cell lysate (20 µg/Lane)
Lane 3: 293T cell lysate (20 µg/Lane)
Lane 4: Jurkat cell lysate (20 µg/Lane)
Lane 5: Mouse testis tissue lysate (40 µg/Lane)
Lane 6: Rat testis tissue lysate (40 µg/Lane)

Predicted band size: 91 kDa
Observed band size: 91 kDa

Exposure time: 1 minute;

4-20% SDS-PAGE gel.

Proteins were transferred to a PVDF membrane and blocked with 5% NFDM/TBST for 1 hour at room temperature. The primary antibody (HA721648) at 1/1,000 dilution was used in 5% NFDM/TBST at room temperature for 2 hours. Goat Anti-Rabbit IgG - HRP Secondary Antibody (HA1001) at 1:50,000 dilution was used for 1 hour at room temperature.
HA721648_2.jpg Fig2: Western blot analysis of TAX1BP1 on different lysates with Rabbit anti-TAX1BP1 antibody (HA721648) at 1/2,000 dilution.

Lane 1: HAP1-parental cell lysate
Lane 2: HAP1-TAX1BP1 KD cell lysate

Lysates/proteins at 10 µg/Lane.

Predicted band size: 91 kDa
Observed band size: 91 kDa

Exposure time: 180 seconds; ECL: K1801;

4-20% SDS-PAGE gel.

Proteins were transferred to a PVDF membrane and blocked with 5% NFDM/TBST for 1 hour at room temperature. The primary antibody (HA721648) at 1/2,000 dilution was used in K1803 at 4℃ overnight. Goat Anti-Rabbit IgG - HRP Secondary Antibody (HA1001) at 1/50,000 dilution was used for 1 hour at room temperature.
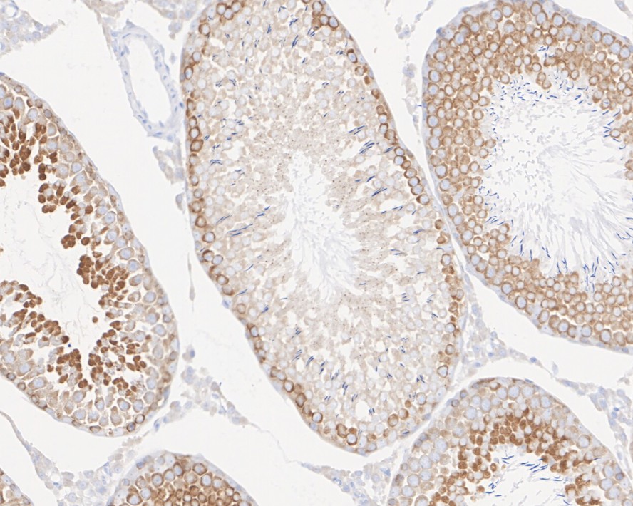
HA721648_3.jpg Fig3: Immunohistochemical analysis of paraffin-embedded mouse testis tissue with Rabbit anti-TAX1BP1 antibody (HA721648) at 1/1,000 dilution.

The section was pre-treated using heat mediated antigen retrieval with sodium citrate buffer (pH 6.0) for 2 minutes. The tissues were blocked in 1% BSA for 20 minutes at room temperature, washed with ddH2O and PBS, and then probed with the primary antibody (HA721648) at 1/1,000 dilution for 1 hour at room temperature. The detection was performed using an HRP conjugated compact polymer system. DAB was used as the chromogen. Tissues were counterstained with hematoxylin and mounted with DPX.
HA721648_4.jpg Fig4: Immunohistochemical analysis of paraffin-embedded rat testis tissue with Rabbit anti-TAX1BP1 antibody (HA721648) at 1/1,000 dilution.

The section was pre-treated using heat mediated antigen retrieval with sodium citrate buffer (pH 6.0) for 2 minutes. The tissues were blocked in 1% BSA for 20 minutes at room temperature, washed with ddH2O and PBS, and then probed with the primary antibody (HA721648) at 1/1,000 dilution for 1 hour at room temperature. The detection was performed using an HRP conjugated compact polymer system. DAB was used as the chromogen. Tissues were counterstained with hematoxylin and mounted with DPX.
Note: All products are “FOR RESEARCH USE ONLY AND ARE NOT INTENDED FOR DIAGNOSTIC OR THERAPEUTIC USE”.