Jarid2 Recombinant Rabbit Monoclonal Antibody [PSH01-32]
cat.: HA721656
Product Type: Recombinant Rabbit monoclonal IgG, primary antibodies
Species reactivity: Human, Mouse
Applications: IHC-P, IF-Cell
Clonality: Monoclonal
Clone number: PSH01-32
Form: Liquid
Storage condition: Shipped at 4℃. Store at +4℃ short term (1-2 weeks). It is recommended to aliquot into single-use upon delivery. Store at -20℃ long term.
Storage buffer: PBS (pH7.4), 0.1% BSA, 40% Glycerol. Preservative: 0.05% Sodium Azide.
Concentration: 0.95ug/ul
Purification: Protein A affinity purified.
Molecular weight: Predicted band size: 139 kDa
Isotype: IgG
Immunogen: Recombinant protein within human Jarid2 aa 501-1,050 / 1,246.
Positive control: NCCIT, human cervix tissue, human placenta tissue, human thyroid tissue, mouse esophagus tissue.
Subcellular location: Nucleus.
Recommended Dilutions:
  IHC-P
  IF-Cell

1:200-1:1,000
1:100
Uniprot #: SwissProt: Q92833 Human | Q62315 Mouse
Alternative names: JARD2 JARD2_HUMAN JARID2 JMJ Jumonji AT rich interactive domain 2 Jumonji homolog Jumonji like protein Jumonji protein Jumonji/ARID domain containing protein 2 Jumonji/ARID domain-containing protein 2 Protein Jumonji
Images
HA721656_1.jpg Fig1: Immunocytochemistry analysis of NCCIT cells labeling Jarid2 with Rabbit anti-Jarid2 antibody (HA721656) at 1/100 dilution.

Cells were fixed in 4% paraformaldehyde for 20 minutes at room temperature, permeabilized with 0.1% Triton X-100 in PBS for 5 minutes at room temperature, then blocked with 1% BSA in 10% negative goat serum for 1 hour at room temperature. Cells were then incubated with Rabbit anti-Jarid2 antibody (HA721656) at 1/100 dilution in 1% BSA in PBST overnight at 4 ℃. Goat Anti-Rabbit IgG H&L (iFluor™ 488, HA1121) was used as the secondary antibody at 1/1,000 dilution. PBS instead of the primary antibody was used as the secondary antibody only control. Nuclear DNA was labelled in blue with DAPI.

Beta tubulin (M1305-2, red) was stained at 1/100 dilution overnight at +4℃. Goat Anti-Mouse IgG H&L (iFluor™ 594, HA1126) was used as the secondary antibody at 1/1,000 dilution.
HA721656_2.jpg Fig2: Immunohistochemical analysis of paraffin-embedded human cervix tissue with Rabbit anti-Jarid2 antibody (HA721656) at 1/200 dilution.

The section was pre-treated using heat mediated antigen retrieval with sodium citrate buffer (pH 6.0) for 2 minutes. The tissues were blocked in 1% BSA for 20 minutes at room temperature, washed with ddH2O and PBS, and then probed with the primary antibody (HA721656) at 1/200 dilution for 1 hour at room temperature. The detection was performed using an HRP conjugated compact polymer system. DAB was used as the chromogen. Tissues were counterstained with hematoxylin and mounted with DPX.
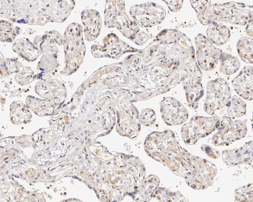
HA721656_3.jpg Fig3: Immunohistochemical analysis of paraffin-embedded human placenta tissue with Rabbit anti-Jarid2 antibody (HA721656) at 1/1,000 dilution.

The section was pre-treated using heat mediated antigen retrieval with sodium citrate buffer (pH 6.0) for 2 minutes. The tissues were blocked in 1% BSA for 20 minutes at room temperature, washed with ddH2O and PBS, and then probed with the primary antibody (HA721656) at 1/1,000 dilution for 1 hour at room temperature. The detection was performed using an HRP conjugated compact polymer system. DAB was used as the chromogen. Tissues were counterstained with hematoxylin and mounted with DPX.
HA721656_4.jpg Fig4: Immunohistochemical analysis of paraffin-embedded human thyroid tissue with Rabbit anti-Jarid2 antibody (HA721656) at 1/1,000 dilution.

The section was pre-treated using heat mediated antigen retrieval with sodium citrate buffer (pH 6.0) for 2 minutes. The tissues were blocked in 1% BSA for 20 minutes at room temperature, washed with ddH2O and PBS, and then probed with the primary antibody (HA721656) at 1/1,000 dilution for 1 hour at room temperature. The detection was performed using an HRP conjugated compact polymer system. DAB was used as the chromogen. Tissues were counterstained with hematoxylin and mounted with DPX.
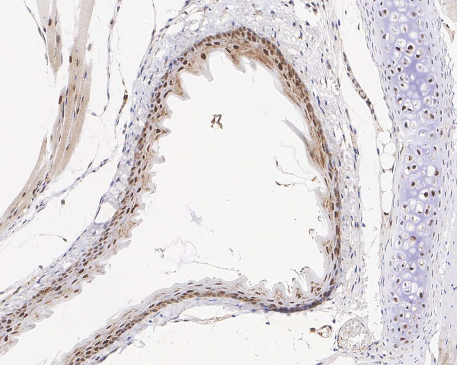
HA721656_5.jpg Fig5: Immunohistochemical analysis of paraffin-embedded mouse esophagus tissue with Rabbit anti-Jarid2 antibody (HA721656) at 1/1,000 dilution.

The section was pre-treated using heat mediated antigen retrieval with sodium citrate buffer (pH 6.0) for 2 minutes. The tissues were blocked in 1% BSA for 20 minutes at room temperature, washed with ddH2O and PBS, and then probed with the primary antibody (HA721656) at 1/1,000 dilution for 1 hour at room temperature. The detection was performed using an HRP conjugated compact polymer system. DAB was used as the chromogen. Tissues were counterstained with hematoxylin and mounted with DPX.
Note: All products are “FOR RESEARCH USE ONLY AND ARE NOT INTENDED FOR DIAGNOSTIC OR THERAPEUTIC USE”.