Cre recombinase Recombinant Rabbit Monoclonal Antibody [PSH01-93]
cat.: HA721751
Product Type: Recombinant Rabbit monoclonal IgG, primary antibodies
Species reactivity: Species independent
Applications: WB, IHC-P, IF-Tissue, IF-Cell, FC
Clonality: Monoclonal
Clone number: PSH01-93
Form: Liquid
Storage condition: Shipped at 4℃. Store at +4℃ short term (1-2 weeks). It is recommended to aliquot into single-use upon delivery. Store at -20℃ long term.
Storage buffer: PBS (pH7.4), 0.1% BSA, 40% Glycerol. Preservative: 0.05% Sodium Azide.
Concentration: 1ug/ul
Purification: Protein A affinity purified.
Molecular weight: Predicted band size: 39 kDa
Isotype: IgG
Immunogen: Recombinant protein within Cre recombinase aa 1-343 / 343.
Positive control: 293T transfected with Cre recombinase cell lysate, 293T transfected with Cre recombinase cell.
Recommended Dilutions:
  WB
  IHC-P
  IF-Tissue
  IF-Cell
  FC

1:1,000
1:10,000
1:20,000
1:20,000
1:1,000
Uniprot #: SwissProt: P06956 Bacteriophage P1
Alternative names: Cre Cyclization recombinase Recombinase cre
Images
HA721751_1.jpg Fig1: Western blot analysis of Cre recombinase on different lysates with Rabbit anti-Cre recombinase antibody (HA721751) at 1/1,000 dilution.

Lane 1: 293T cell lysate
Lane 2: 293T transfected with Cre recombinase cell lysate

Lysates/proteins at 50 ng/Lane.

Predicted band size: 39 kDa
Observed band size: 39 kDa

Exposure time: 1 minute;

4-20% SDS-PAGE gel.

Proteins were transferred to a PVDF membrane and blocked with 5% NFDM/TBST for 1 hour at room temperature. The primary antibody (HA721751) at 1/1,000 dilution was used in 5% NFDM/TBST at room temperature for 2 hours. Goat Anti-Rabbit IgG - HRP Secondary Antibody (HA1001) at 1/50,000 dilution was used for 1 hour at room temperature.
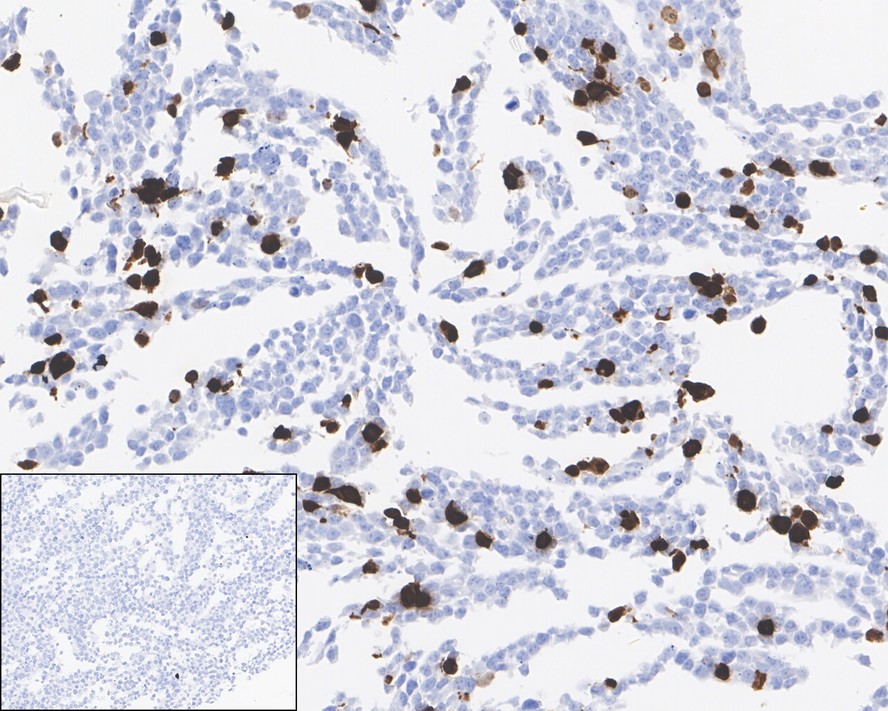
HA721751_2.jpg Fig2: Immunohistochemical analysis of paraffin-embedded 293T transfected with or without Cre recombinase cells with Rabbit anti-Cre recombinase antibody (HA721751) at 1/10,000 dilution.

The section was pre-treated using heat mediated antigen retrieval with sodium citrate buffer (pH 6.0) for 2 minutes. The tissues were blocked in 1% BSA for 20 minutes at room temperature, washed with ddH2O and PBS, and then probed with the primary antibody (HA721751) at 1/10,000 dilution for 1 hour at room temperature. The detection was performed using an HRP conjugated compact polymer system. DAB was used as the chromogen. Tissues were counterstained with hematoxylin and mounted with DPX.
HA721751_3.jpg Fig3: Immunofluorescence analysis of paraffin-embedded 293T transfected with or without Cre recombinase cells labeling Cre recombinase with Rabbit anti-Cre recombinase antibody (HA721751) at 1/20,000 dilution.

The section was pre-treated using heat mediated antigen retrieval with sodium citrate buffer (pH 6.0) for 2 minutes. The tissues were blocked in 10% negative goat serum for 1 hour at room temperature, washed with PBS, and then probed with the primary antibody (HA721751, green) at 1/20,000 dilution overnight at 4 ℃, washed with PBS. Goat Anti-Rabbit IgG H&L (iFluor™ 488, HA1121) was used as the secondary antibody at 1/1,000 dilution. Nuclei were counterstained with DAPI (blue).
HA721751_4.jpg Fig4: Immunocytochemistry analysis of 293T transfected with or without Cre recombinase cells labeling Cre recombinase with Rabbit anti-Cre recombinase antibody (HA721751) at 1/20,000 dilution.

Cells were fixed in 4% paraformaldehyde for 20 minutes at room temperature, permeabilized with 0.1% Triton X-100 in PBS for 5 minutes at room temperature, then blocked with 1% BSA in 10% negative goat serum for 1 hour at room temperature. Cells were then incubated with Rabbit anti-Cre recombinase antibody (HA721751) at 1/20,000 dilution in 1% BSA in PBST overnight at 4 ℃. Goat Anti-Rabbit IgG H&L (iFluor™ 488, HA1121) was used as the secondary antibody at 1/1,000 dilution. PBS instead of the primary antibody was used as the secondary antibody only control. Nuclear DNA was labelled in blue with DAPI.

Beta tubulin (M1305-2, red) was stained at 1/100 dilution overnight at +4℃. Goat Anti-Mouse IgG H&L (iFluor™ 594, HA1126) was used as the secondary antibody at 1/1,000 dilution.
HA721751_5.jpg Fig5: Flow cytometric analysis of 293T transfected with or without Cre recombinase cells labeling Cre recombinase.

Cells were fixed and permeabilized. Then stained with the primary antibody (HA721751, 1μg/mL) (red) compared with Rabbit IgG Isotype Control (green). After incubation of the primary antibody at +4℃ for an hour, the cells were stained with a iFluor™ 488 conjugate-Goat anti-Rabbit IgG Secondary antibody (HA1121) at 1/1,000 dilution for 30 minutes at +4℃. Unlabelled sample was used as a control (cells without incubation with primary antibody; black).
Note: All products are “FOR RESEARCH USE ONLY AND ARE NOT INTENDED FOR DIAGNOSTIC OR THERAPEUTIC USE”.