RSK4 Recombinant Rabbit Monoclonal Antibody [PSH02-04]
cat.: HA721763
Product Type: Recombinant Rabbit monoclonal IgG, primary antibodies
Species reactivity: Human, Mouse, Rat
Applications: WB, IHC-P, IF-Cell, FC
Clonality: Monoclonal
Clone number: PSH02-04
Form: Liquid
Storage condition: Shipped at 4℃. Store at +4℃ short term (1-2 weeks). It is recommended to aliquot into single-use upon delivery. Store at -20℃ long term.
Storage buffer: PBS (pH7.4), 0.1% BSA, 40% Glycerol. Preservative: 0.05% Sodium Azide.
Concentration: 1ug/ul
Purification: Protein A affinity purified.
Molecular weight: Predicted band size: 84 kDa
Isotype: IgG
Immunogen: Recombinant protein within human RSK4 aa 31-420 / 745.
Positive control: HEK-293 cell lysate, Caco-2 cell lysate, MDA-MB-231 cell lysate, MDA-MB-468 cell lysate, Raji cell lysate, Ramos cell lysate, NIH/3T3 cell lysate, PC-12 cell lysate, human kidney tissue, mouse kidney tissue, rat kidney tissue, PC-12, Caco-2.
Subcellular location: Cytoplasm, cytosol, Nucleus.
Recommended Dilutions:
  WB
  IHC-P
  IF-Cell
  FC

1:1,000
1:200-1:1,000
1:100
1:1,000
Uniprot #: SwissProt: Q9UK32 Human | Q7TPS0 Mouse
Entrez Gene: 317203 Rat
Alternative names: 90 kDa ribosomal protein S6 kinase 6 KS6A6_HUMAN p90 RSK 6 p90-RSK 6 p90RSK6 pp90RSK4 Ribosomal protein S6 kinase 90kDa polypeptide 6 Ribosomal protein S6 kinase alpha 6 Ribosomal protein S6 kinase alpha-6 Ribosomal S6 kinase 4 rps6ka6 RSK 4 RSK-4 S6K-alpha-6
Images
HA721763_1.jpg Fig1: Western blot analysis of RSK4 on different lysates with Rabbit anti-RSK4 antibody (HA721763) at 1/1,000 dilution.

Lane 1: HEK-293 cell lysate
Lane 2: Caco-2 cell lysate
Lane 3: MDA-MB-231 cell lysate
Lane 4: MDA-MB-468 cell lysate
Lane 5: Raji cell lysate
Lane 6: Ramos cell lysate
Lane 7: NIH/3T3 cell lysate
Lane 8: PC-12 cell lysate

Lysates/proteins at 20 µg/Lane.

Predicted band size: 84 kDa
Observed band size: 84 kDa

Exposure time: 1 minute 14 seconds;

4-20% SDS-PAGE gel.

Proteins were transferred to a PVDF membrane and blocked with 5% NFDM/TBST for 1 hour at room temperature. The primary antibody (HA721763) at 1/1,000 dilution was used in 5% NFDM/TBST at room temperature for 2 hours. Goat Anti-Rabbit IgG - HRP Secondary Antibody (HA1001) at 1/50,000 dilution was used for 1 hour at room temperature.
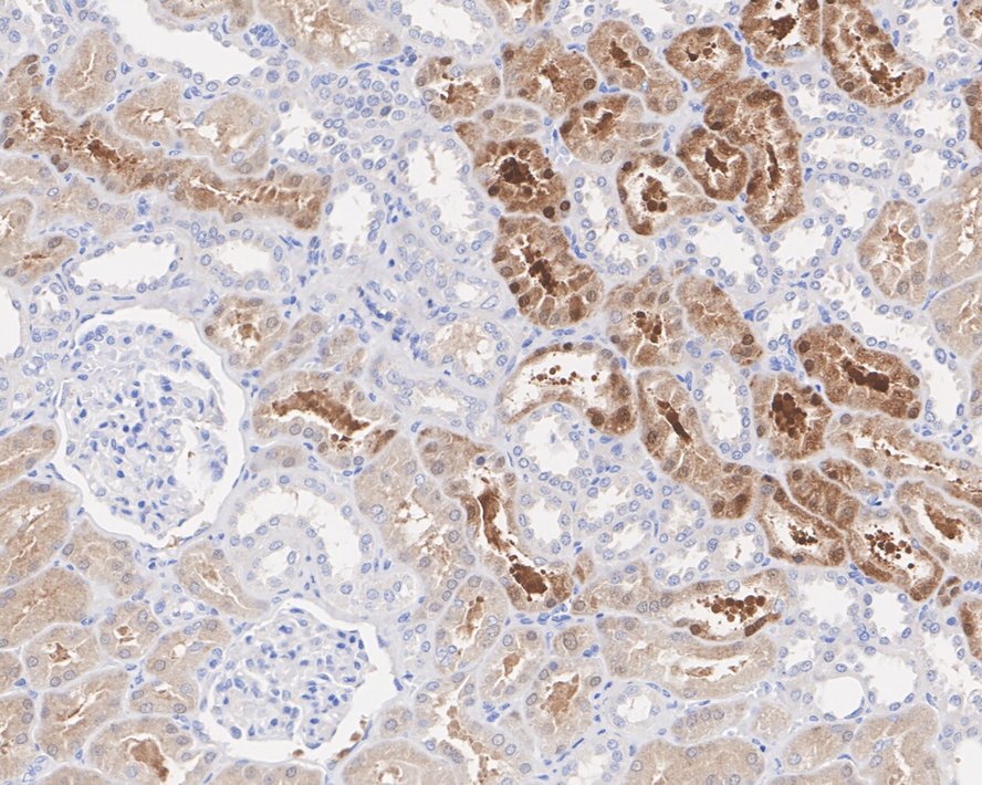
HA721763_2.jpg Fig2: Immunohistochemical analysis of paraffin-embedded human kidney tissue with Rabbit anti-RSK4 antibody (HA721763) at 1/200 dilution.

The section was pre-treated using heat mediated antigen retrieval with sodium citrate buffer (pH 6.0) for 2 minutes. The tissues were blocked in 1% BSA for 20 minutes at room temperature, washed with ddH2O and PBS, and then probed with the primary antibody (HA721763) at 1/200 dilution for 1 hour at room temperature. The detection was performed using an HRP conjugated compact polymer system. DAB was used as the chromogen. Tissues were counterstained with hematoxylin and mounted with DPX.
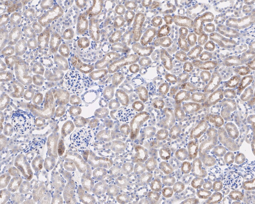
HA721763_3.jpg Fig3: Immunohistochemical analysis of paraffin-embedded mouse kidney tissue with Rabbit anti-RSK4 antibody (HA721763) at 1/1,000 dilution.

The section was pre-treated using heat mediated antigen retrieval with sodium citrate buffer (pH 6.0) for 2 minutes. The tissues were blocked in 1% BSA for 20 minutes at room temperature, washed with ddH2O and PBS, and then probed with the primary antibody (HA721763) at 1/1,000 dilution for 1 hour at room temperature. The detection was performed using an HRP conjugated compact polymer system. DAB was used as the chromogen. Tissues were counterstained with hematoxylin and mounted with DPX.
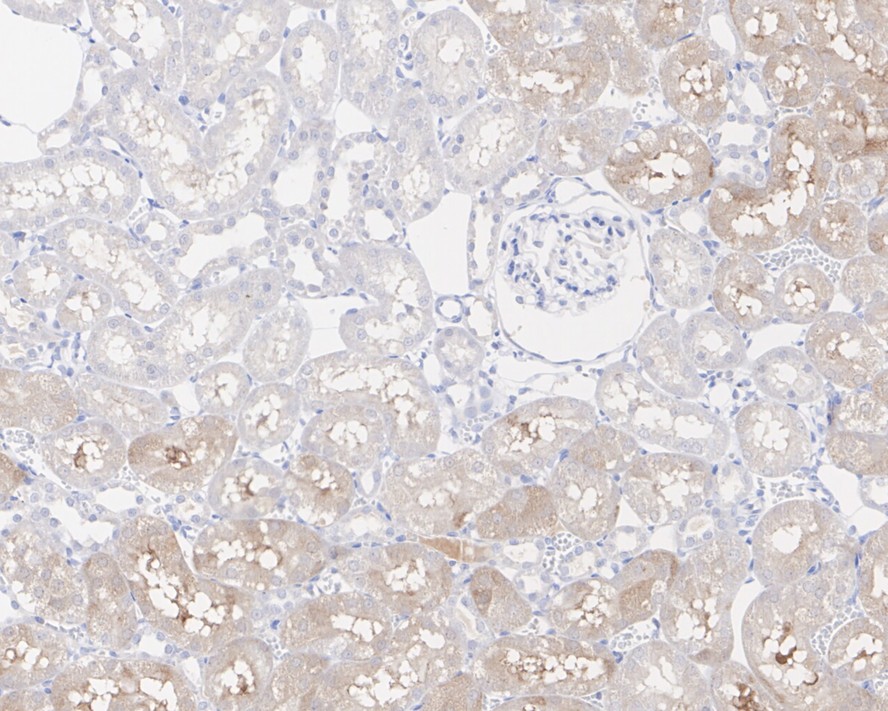
HA721763_4.jpg Fig4: Immunohistochemical analysis of paraffin-embedded rat kidney tissue with Rabbit anti-RSK4 antibody (HA721763) at 1/1,000 dilution.

The section was pre-treated using heat mediated antigen retrieval with sodium citrate buffer (pH 6.0) for 2 minutes. The tissues were blocked in 1% BSA for 20 minutes at room temperature, washed with ddH2O and PBS, and then probed with the primary antibody (HA721763) at 1/1,000 dilution for 1 hour at room temperature. The detection was performed using an HRP conjugated compact polymer system. DAB was used as the chromogen. Tissues were counterstained with hematoxylin and mounted with DPX.
HA721763_5.jpg Fig5: Immunocytochemistry analysis of PC-12 cells labeling RSK4 with Rabbit anti-RSK4 antibody (HA721763) at 1/100 dilution.

Cells were fixed in 4% paraformaldehyde for 20 minutes at room temperature, permeabilized with 0.1% Triton X-100 in PBS for 5 minutes at room temperature, then blocked with 1% BSA in 10% negative goat serum for 1 hour at room temperature. Cells were then incubated with Rabbit anti-RSK4 antibody (HA721763) at 1/100 dilution in 1% BSA in PBST overnight at 4 ℃. Goat Anti-Rabbit IgG H&L (iFluor™ 488, HA1121) was used as the secondary antibody at 1/1,000 dilution. PBS instead of the primary antibody was used as the secondary antibody only control. Nuclear DNA was labelled in blue with DAPI.

Beta tubulin (M1305-2, red) was stained at 1/100 dilution overnight at +4℃. Goat Anti-Mouse IgG H&L (iFluor™ 594, HA1126) was used as the secondary antibody at 1/1,000 dilution.
HA721763_6.jpg Fig6: Flow cytometric analysis of Caco-2 cells labeling RSK4.

Cells were fixed and permeabilized. Then stained with the primary antibody (HA721763, 1μg/mL) (red) compared with Rabbit IgG Isotype Control (green). After incubation of the primary antibody at +4℃ for an hour, the cells were stained with a iFluor™ 488 conjugate-Goat anti-Rabbit IgG Secondary antibody (HA1121) at 1/1,000 dilution for 30 minutes at +4℃. Unlabelled sample was used as a control (cells without incubation with primary antibody; black).
Note: All products are “FOR RESEARCH USE ONLY AND ARE NOT INTENDED FOR DIAGNOSTIC OR THERAPEUTIC USE”.