Transcription factor AP-2-alpha Recombinant Rabbit Monoclonal Antibody [PSH02-06]
cat.: HA721765
Product Type: Recombinant Rabbit monoclonal IgG, primary antibodies
Species reactivity: Human
Applications: WB, IHC-P, IF-Cell
Clonality: Monoclonal
Clone number: PSH02-06
Form: Liquid
Storage condition: Shipped at 4℃. Store at +4℃ short term (1-2 weeks). It is recommended to aliquot into single-use upon delivery. Store at -20℃ long term.
Storage buffer: PBS (pH7.4), 0.1% BSA, 40% Glycerol. Preservative: 0.05% Sodium Azide.
Concentration: 1ug/ul
Purification: Protein A affinity purified.
Molecular weight: Predicted band size: 48 kDa
Isotype: IgG
Immunogen: Recombinant protein within human TFAP2A aa 1-437 / 437.
Positive control: HepG2 cell lysate, SiHa cell lysate, HepG2, human breast tissue.
Subcellular location: Nucleus.
Recommended Dilutions:
  WB
  IHC-P
  IF-Cell

1:1,000
1:1,000
1:100
Uniprot #: SwissProt: P05549 Human
Alternative names: Activating enhancer binding protein 2 alpha Activating enhancer-binding protein 2-alpha Activator protein 2 AP 2 transcription factor AP 2alpha AP-2 AP-2 transcription factor AP2 AP2 Transcription Factor AP2-alpha AP2A_HUMAN AP2TF BOFS FLJ51761 TFAP 2 TFAP 2A TFAP2 TFAP2A Transcription factor AP 2 alpha (activating enhancer binding protein 2 alpha) Transcription factor AP-2-alpha Transcription factor AP2 alpha
Images
HA721765_1.jpg Fig1: Western blot analysis of Transcription factor AP-2-alpha on different lysates with Rabbit anti-Transcription factor AP-2-alpha antibody (HA721765) at 1/1,000 dilution.

Lane 1: HepG2 cell lysate
Lane 2: SiHa cell lysate

Lysates/proteins at 20 µg/Lane.

Predicted band size: 48 kDa
Observed band size: 48 kDa

Exposure time: 5 minutes;

4-20% SDS-PAGE gel.

Proteins were transferred to a PVDF membrane and blocked with 5% NFDM/TBST for 1 hour at room temperature. The primary antibody (HA721765) at 1/1,000 dilution was used in 5% NFDM/TBST at room temperature for 2 hours. Goat Anti-Rabbit IgG - HRP Secondary Antibody (HA1001) at 1/50,000 dilution was used for 1 hour at room temperature.
HA721765_2.jpg Fig2: Immunocytochemistry analysis of HepG2 cells labeling Transcription factor AP-2-alpha with Rabbit anti-Transcription factor AP-2-alpha antibody (HA721765) at 1/100 dilution.

Cells were fixed in 4% paraformaldehyde for 20 minutes at room temperature, permeabilized with 0.1% Triton X-100 in PBS for 5 minutes at room temperature, then blocked with 1% BSA in 10% negative goat serum for 1 hour at room temperature. Cells were then incubated with Rabbit anti-Transcription factor AP-2-alpha antibody (HA721765) at 1/100 dilution in 1% BSA in PBST overnight at 4 ℃. Goat Anti-Rabbit IgG H&L (iFluor™ 488, HA1121) was used as the secondary antibody at 1/1,000 dilution. PBS instead of the primary antibody was used as the secondary antibody only control. Nuclear DNA was labelled in blue with DAPI.

Beta tubulin (M1305-2, red) was stained at 1/100 dilution overnight at +4℃. Goat Anti-Mouse IgG H&L (iFluor™ 594, HA1126) was used as the secondary antibody at 1/1,000 dilution.
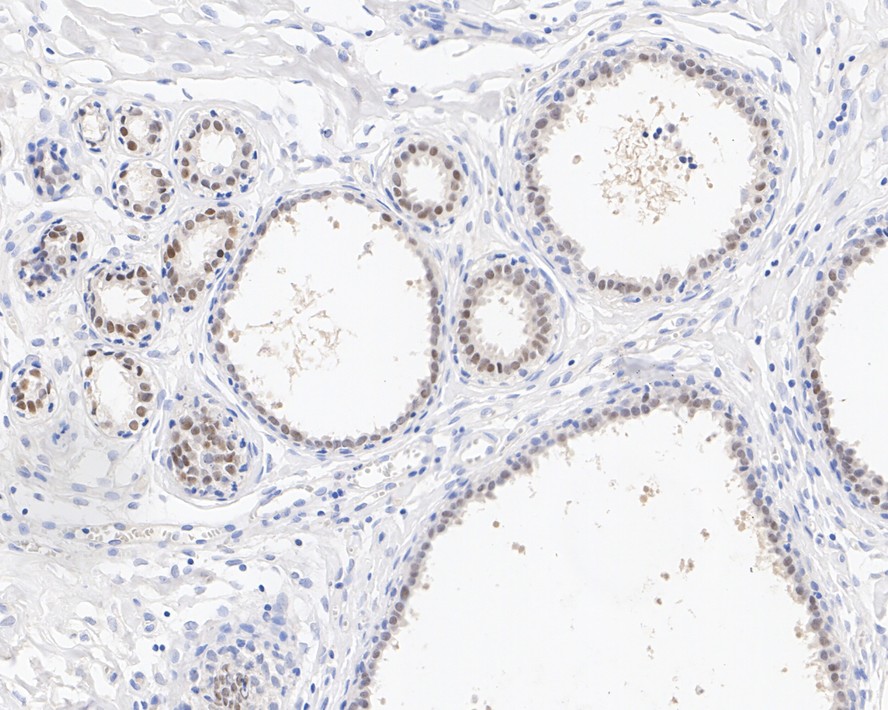
HA721765_3.jpg Fig3: Immunohistochemical analysis of paraffin-embedded human breast tissue with Rabbit anti-Transcription factor AP-2-alpha antibody (HA721765) at 1/1,000 dilution.

The section was pre-treated using heat mediated antigen retrieval with Tris-EDTA buffer (pH 9.0) for 20 minutes. The tissues were blocked in 1% BSA for 20 minutes at room temperature, washed with ddH2O and PBS, and then probed with the primary antibody (HA721765) at 1/1,000 dilution for 1 hour at room temperature. The detection was performed using an HRP conjugated compact polymer system. DAB was used as the chromogen. Tissues were counterstained with hematoxylin and mounted with DPX.
Note: All products are “FOR RESEARCH USE ONLY AND ARE NOT INTENDED FOR DIAGNOSTIC OR THERAPEUTIC USE”.