TXNRD2 Recombinant Rabbit Monoclonal Antibody [PSH02-27]
cat.: HA721807
Product Type: Recombinant Rabbit monoclonal IgG, primary antibodies
Species reactivity: Human, Mouse, Rat
Applications: WB, IHC-P
Clonality: Monoclonal
Clone number: PSH02-27
Form: Liquid
Storage condition: Shipped at 4℃. Store at +4℃ short term (1-2 weeks). It is recommended to aliquot into single-use upon delivery. Store at -20℃ long term.
Storage buffer: PBS (pH7.4), 0.1% BSA, 40% Glycerol. Preservative: 0.05% Sodium Azide.
Concentration: 1ug/ul
Purification: Protein A affinity purified.
Molecular weight: Predicted band size: 57 kDa
Isotype: IgG
Immunogen: Recombinant protein within human TXNRD2 aa 1-524 / 524.
Positive control: HEK-293 cell lysate, HeLa cell lysate, A431 cell lysate, K-562 cell lysate, Mouse heart tissue lysate, Rat heart tissue lysate, Mouse liver tissue lysate, Rat liver tissue lysate, Human kidney tissue lysate, Mouse kidney tissue lysate, Rat kidney tissue lysate, human prostate tissue.
Subcellular location: Mitochondrion.
Recommended Dilutions:
  WB
  IHC-P

1:1,000
1:200
Uniprot #: SwissProt: Q9NNW7 Human | Q9JLT4 Mouse | Q9Z0J5 Rat
Alternative names: mitochondrial Selenoprotein Z SelZ Thioredoxin reductase 2 Thioredoxin reductase 2 mitochondrial Thioredoxin reductase 3 Thioredoxin reductase beta Thioredoxin reductase TR3 TR 3 TR TR beta TR-beta TR3 TRXR 2 TRXR2 TRXR2_HUMAN TXNRD 2 Txnrd2
Images
HA721807_1.jpg Fig1: Western blot analysis of TXNRD2 on different lysates with Rabbit anti-TXNRD2 antibody (HA721807) at 1/1,000 dilution.

Lane 1: HEK-293 cell lysate (20 µg/Lane)
Lane 2: HeLa cell lysate (20 µg/Lane)
Lane 3: A431 cell lysate (20 µg/Lane)
Lane 4: K-562 cell lysate (20 µg/Lane)
Lane 5: Mouse heart tissue lysate (40 µg/Lane)
Lane 6: Rat heart tissue lysate (40 µg/Lane)
Lane 7: Mouse liver tissue lysate (40 µg/Lane)
Lane 8: Rat liver tissue lysate (40 µg/Lane)
Lane 9: Human kidney tissue lysate (40 µg/Lane)
Lane 10: Mouse kidney tissue lysate (40 µg/Lane)
Lane 11: Rat kidney tissue lysate (40 µg/Lane)

Predicted band size: 57 kDa
Observed band size: 57 kDa

Exposure time: 30 seconds; ECL: K1802;

4-20% SDS-PAGE gel.

Proteins were transferred to a PVDF membrane and blocked with 5% NFDM/TBST for 1 hour at room temperature. The primary antibody (HA721807) at 1/1,000 dilution was used in 5% NFDM/TBST at 4℃ overnight. Goat Anti-Rabbit IgG - HRP Secondary Antibody (HA1001) at 1/50,000 dilution was used for 1 hour at room temperature.
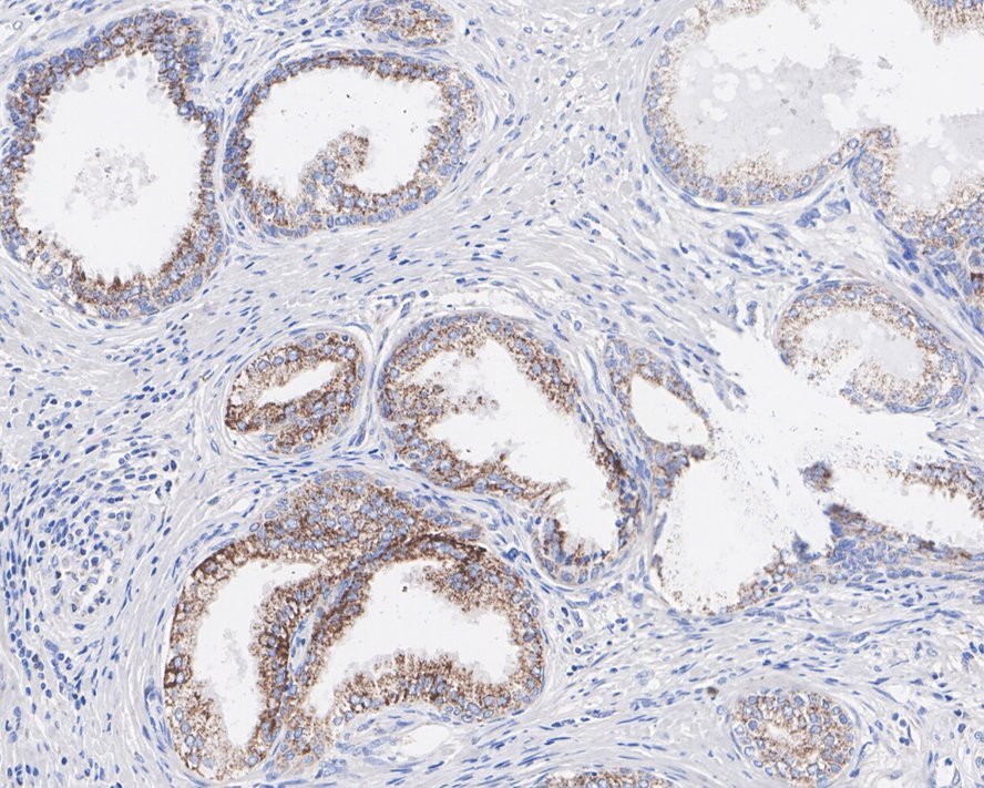
HA721807_2.jpg Fig2: Immunohistochemical analysis of paraffin-embedded human prostate tissue with Rabbit anti-TXNRD2 antibody (HA721807) at 1/200 dilution.

The section was pre-treated using heat mediated antigen retrieval with Tris-EDTA buffer (pH 9.0) for 20 minutes. The tissues were blocked in 1% BSA for 20 minutes at room temperature, washed with ddH2O and PBS, and then probed with the primary antibody (HA721807) at 1/200 dilution for 1 hour at room temperature. The detection was performed using an HRP conjugated compact polymer system. DAB was used as the chromogen. Tissues were counterstained with hematoxylin and mounted with DPX.
Note: All products are “FOR RESEARCH USE ONLY AND ARE NOT INTENDED FOR DIAGNOSTIC OR THERAPEUTIC USE”.