PML Protein Recombinant Rabbit Monoclonal Antibody [PSH02-89]
cat.: HA721877
Product Type: Recombinant Rabbit monoclonal IgG, primary antibodies
Species reactivity: Human
Applications: WB, IHC-P, IF-Cell, FC
Clonality: Monoclonal
Clone number: PSH02-89
Form: Liquid
Storage condition: Shipped at 4℃. Store at +4℃ short term (1-2 weeks). It is recommended to aliquot into single-use upon delivery. Store at -20℃ long term.
Storage buffer: PBS (pH7.4), 0.1% BSA, 40% Glycerol. Preservative: 0.05% Sodium Azide.
Concentration: 1ug/ul
Purification: Protein A affinity purified.
Molecular weight: Predicted band size: 98 kDa
Isotype: IgG
Immunogen: Recombinant protein within human PML Protein aa 1-600 / 882.
Positive control: HeLa cell lysate, HEK-293 cell lysate, K-562 cell lysate, A549 cell lysate, MDA-MB-231 cell lysate, A431 cell lysate, human brain tissue, human breast carcinoma tissue, human breast tissue, human placenta tissue, human testis tissue, MDA-MB-231, A431.
Subcellular location: Nucleus, Cytoplasm, PML body, nucleolus, Endoplasmic reticulum membrane, Early endosome membrane.
Recommended Dilutions:
  WB
  IHC-P
  IF-Cell
  FC

1:2,000
1:1,000
1:100
1:1,000
Uniprot #: SwissProt: P29590 Human
Alternative names: Acure promyelocytic leukemia, inducer of MYL Pml PML_HUMAN PP8675 Probable transcription factor PML Promyelocytic leukemia Promyelocytic leukemia inducer of Promyelocytic leukemia protein Protein PML RING finger protein 71 RNF 71 RNF71 TRIM 19 Tripartite motif protein TRIM19 Tripartite motif-containing protein 19
Images
HA721877_1.jpg Fig1: Western blot analysis of PML Protein on different lysates with Rabbit anti-PML Protein antibody (HA721877) at 1/2,000 dilution and competitor's antibody at 1/1,000 dilution.

Lane 1: HeLa cell lysate (15 µg/Lane)
Lane 2: HEK-293 cell lysate (15 µg/Lane)
Lane 3: K-562 cell lysate (15 µg/Lane)
Lane 4: A549 cell lysate (15 µg/Lane)
Lane 5: MDA-MB-231 cell lysate (15 µg/Lane)
Lane 6: A431 cell lysate (15 µg/Lane)

Predicted band size: 98 kDa
Observed band size: 50-130 kDa

Exposure time: 1 minute 59 seconds; ECL: K1801;

4-20% SDS-PAGE gel.

Proteins were transferred to a PVDF membrane and blocked with 5% NFDM/TBST for 1 hour at room temperature. The primary antibody (HA721877) at 1/2,000 dilution and competitor's antibody at 1/1,000 dilution were used in 5% NFDM/TBST at 4℃ overnight. Goat Anti-Rabbit IgG - HRP Secondary Antibody (HA1001) at 1/50,000 dilution was used for 1 hour at room temperature.
HA721877_2.jpg Fig2: Western blot analysis of PML Protein on different lysates with Rabbit anti-PML Protein antibody (HA721877) at 1/5,000 dilution.

Lane 1: HAP1-parental cell lysate
Lane 2: HAP1-PML Protein KD cell lysate

Lysates/proteins at 10 µg/Lane.

Predicted band size: 98 kDa
Observed band size: 50-130 kDa

Exposure time: 40 seconds; ECL: K1801;

4-20% SDS-PAGE gel.

Proteins were transferred to a PVDF membrane and blocked with 5% NFDM/TBST for 1 hour at room temperature. The primary antibody (HA721877) at 1/5,000 dilution was used in primary antibody dilution (K1803) at 4℃ overnight. Goat Anti-Rabbit IgG - HRP Secondary Antibody (HA1001) at 1/50,000 dilution was used for 1 hour at room temperature.
HA721877_3.jpg Fig3: Immunohistochemical analysis of paraffin-embedded human brain tissue with Rabbit anti-PML Protein antibody (HA721877) at 1/1,000 dilution.

The section was pre-treated using heat mediated antigen retrieval with sodium citrate buffer (pH 6.0) for 2 minutes. The tissues were blocked in 1% BSA for 20 minutes at room temperature, washed with ddH2O and PBS, and then probed with the primary antibody (HA721877) at 1/1,000 dilution for 1 hour at room temperature. The detection was performed using an HRP conjugated compact polymer system. DAB was used as the chromogen. Tissues were counterstained with hematoxylin and mounted with DPX.
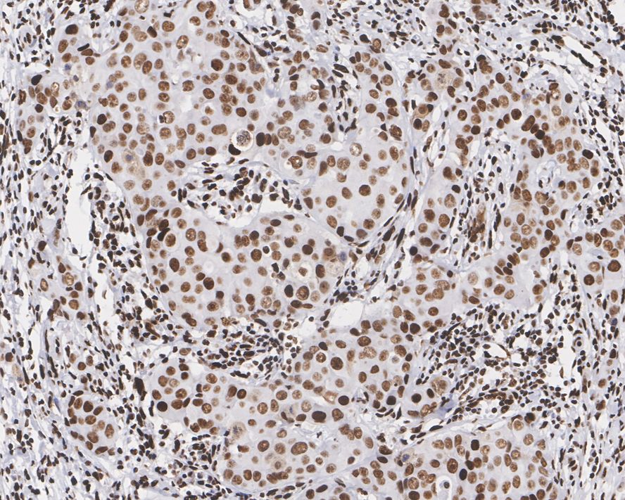
HA721877_4.jpg Fig4: Immunohistochemical analysis of paraffin-embedded human breast carcinoma tissue with Rabbit anti-PML Protein antibody (HA721877) at 1/1,000 dilution.

The section was pre-treated using heat mediated antigen retrieval with sodium citrate buffer (pH 6.0) for 2 minutes. The tissues were blocked in 1% BSA for 20 minutes at room temperature, washed with ddH2O and PBS, and then probed with the primary antibody (HA721877) at 1/1,000 dilution for 1 hour at room temperature. The detection was performed using an HRP conjugated compact polymer system. DAB was used as the chromogen. Tissues were counterstained with hematoxylin and mounted with DPX.
HA721877_5.jpg Fig5: Immunohistochemical analysis of paraffin-embedded human breast tissue with Rabbit anti-PML Protein antibody (HA721877) at 1/1,000 dilution.

The section was pre-treated using heat mediated antigen retrieval with sodium citrate buffer (pH 6.0) for 2 minutes. The tissues were blocked in 1% BSA for 20 minutes at room temperature, washed with ddH2O and PBS, and then probed with the primary antibody (HA721877) at 1/1,000 dilution for 1 hour at room temperature. The detection was performed using an HRP conjugated compact polymer system. DAB was used as the chromogen. Tissues were counterstained with hematoxylin and mounted with DPX.
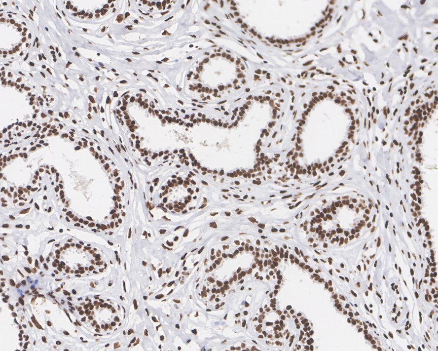
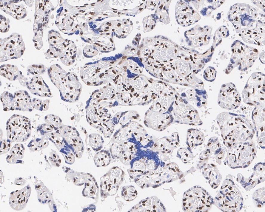
HA721877_6.jpg Fig6: Immunohistochemical analysis of paraffin-embedded human placenta tissue with Rabbit anti-PML Protein antibody (HA721877) at 1/1,000 dilution.

The section was pre-treated using heat mediated antigen retrieval with sodium citrate buffer (pH 6.0) for 2 minutes. The tissues were blocked in 1% BSA for 20 minutes at room temperature, washed with ddH2O and PBS, and then probed with the primary antibody (HA721877) at 1/1,000 dilution for 1 hour at room temperature. The detection was performed using an HRP conjugated compact polymer system. DAB was used as the chromogen. Tissues were counterstained with hematoxylin and mounted with DPX.
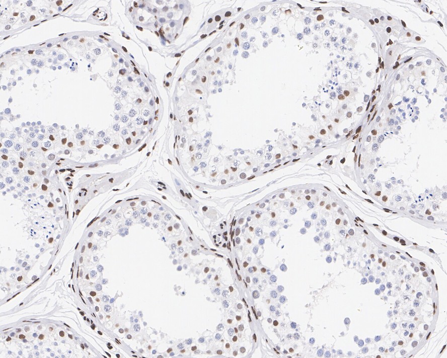
HA721877_7.jpg Fig7: Immunohistochemical analysis of paraffin-embedded human testis tissue with Rabbit anti-PML Protein antibody (HA721877) at 1/1,000 dilution.

The section was pre-treated using heat mediated antigen retrieval with sodium citrate buffer (pH 6.0) for 2 minutes. The tissues were blocked in 1% BSA for 20 minutes at room temperature, washed with ddH2O and PBS, and then probed with the primary antibody (HA721877) at 1/1,000 dilution for 1 hour at room temperature. The detection was performed using an HRP conjugated compact polymer system. DAB was used as the chromogen. Tissues were counterstained with hematoxylin and mounted with DPX.
HA721877_8.jpg Fig8: Immunocytochemistry analysis of MDA-MB-231 cells labeling PML Protein with Rabbit anti-PML Protein antibody (HA721877) at 1/100 dilution.

Cells were fixed in 4% paraformaldehyde for 20 minutes at room temperature, permeabilized with 0.1% Triton X-100 in PBS for 5 minutes at room temperature, then blocked with 1% BSA in 10% negative goat serum for 1 hour at room temperature. Cells were then incubated with Rabbit anti-PML Protein antibody (HA721877) at 1/100 dilution in 1% BSA in PBST overnight at 4 ℃. Goat Anti-Rabbit IgG H&L (iFluor™ 488, HA1121) was used as the secondary antibody at 1/1,000 dilution. PBS instead of the primary antibody was used as the secondary antibody only control. Nuclear DNA was labelled in blue with DAPI.

Beta tubulin (M1305-2, red) was stained at 1/100 dilution overnight at +4℃. Goat Anti-Mouse IgG H&L (iFluor™ 594, HA1126) was used as the secondary antibody at 1/1,000 dilution.
HA721877_9.jpg Fig9: Flow cytometric analysis of A431 cells labeling PML Protein.

Cells were fixed and permeabilized. Then stained with the primary antibody (HA721877, 1μg/mL) (red) compared with Rabbit IgG Isotype Control (green). After incubation of the primary antibody at +4℃ for an hour, the cells were stained with a iFluor™ 488 conjugate-Goat anti-Rabbit IgG Secondary antibody (HA1121) at 1/1,000 dilution for 30 minutes at +4℃. Unlabelled sample was used as a control (cells without incubation with primary antibody; black).
Note: All products are “FOR RESEARCH USE ONLY AND ARE NOT INTENDED FOR DIAGNOSTIC OR THERAPEUTIC USE”.