SLC12A1 / NKCC2 Recombinant Rabbit Monoclonal Antibody [JE64-26]
cat.: HA721906
Product Type: Recombinant Rabbit monoclonal IgG, primary antibodies
Species reactivity: Human, Mouse, Rat
Applications: WB, IHC-P, IF-Cell, mIHC
Clonality: Monoclonal
Clone number: JE64-26
Form: Liquid
Storage condition: Shipped at 4℃. Store at +4℃ short term (1-2 weeks). It is recommended to aliquot into single-use upon delivery. Store at -20℃ long term.
Storage buffer: 1*TBS (pH7.4), 0.05% BSA, 40% Glycerol. Preservative: 0.05% Sodium Azide.
Concentration: 1ug/ul
Purification: Protein A affinity purified.
Molecular weight: Predicted band size: 121 kDa
Isotype: IgG
Immunogen: Recombinant protein within Human SLC12A1 / NKCC2 aa 593-813 / 1,099.
Positive control: Mouse kidney tissue lysate, rat kidney tissue lysate, K-562 cell lysate, mouse kidney tissue, K-562.
Subcellular location: Cell membrane
Recommended Dilutions:
  WB
  IHC-P
  IF-Cell
  mIHC

1:2,000
1:20,000
1:100
1:3,000
Uniprot #: SwissProt: Q13621 Human | P55014 Mouse | P55016 Rat
Alternative names: BSC1 Bumetanide sensitive sodium 3 Bumetanide-sensitive sodium-(potassium)-chloride cotransporter 2 Kidney specific Na K Cl symporter Kidney-specific Na-K-Cl symporter MGC48843 Na K 2Cl cotransporter NKCC2 potassiumchloride cotransporter 2 S12A1_HUMAN Slc12a1 sodium potassium chloride cotransporter 2 solute carrier family 12 (sodium/potassium/chloride transporters) Solute carrier family 12 member 1
Images
HA721906_1.jpg Fig1: Western blot analysis of SLC12A1 / NKCC2 on different lysates with Rabbit anti-SLC12A1 / NKCC2 antibody (HA721906) at 1/1,000 dilution.

Lane 1: mouse kidney tissue lysate (no heat)
Lane 2: mouse kidney tissue lysate
Lane 3: rat kidney tissue lysate
Lane 4: K-562 cell lysate (no heat)

Notice: no heat means the lysate is not boiled.

Tissue lysates at 30 µg/Lane.
Cell lysates at 20 µg/Lane.

Predicted band size: 121 kDa
Observed band size: 150 kDa

Exposure time: 1 minutes 40 seconds;

4-20% SDS-PAGE gel.

Proteins were transferred to a PVDF membrane and blocked with 5% NFDM/TBST for 1 hour at room temperature. The primary antibody (HA721906) at 1/1,000 dilution was used in 5% NFDM/TBST at room temperature for 2 hours. Goat Anti-Rabbit IgG - HRP Secondary Antibody (HA1001) at 1/50,000 dilution was used for 1 hour at room temperature.
HA721906_2.jpg Fig2: Fluorescence multiplex immunohistochemical analysis of mouse kidney (Formalin/PFA-fixed paraffin-embedded sections). Panel A: the merged image of anti-NPHS2 (ET7107-34, Red), anti-Laminin beta 1 (ET1703-14, Green), anti-Histone H3 (EM30605, Blue), anti-SLC12A1 / NKCC2 (HA721906, Cyan) and anti-CK18 (ET1603-8, Magenta) on kidney. HRP Conjugated UltraPolymer Goat Polyclonal Antibody HA1119/HA1120 was used as a secondary antibody. The immunostaining was performed with the Sequential Immuno-staining Kit (IRISKit™MH010101, www.luminiris.cn). The section was incubated in five rounds of staining: in the order of ET7107-34 (1/1,000 dilution), ET1703-14 (1/1,000 dilution), EM30605 (1/500 dilution), HA721906 (1/3,000 dilution) and ET1603-8 (1/3,000 dilution) for 20 mins at room temperature. Each round was followed by a separate fluorescent tyramide signal amplification system. Heat mediated antigen retrieval with Tris-EDTA buffer (pH 9.0) for 30 mins at 95℃. Image acquisition was performed with Olympus VS200 Slide Scanner.
HA721906_3.jpg Fig3: Fluorescence multiplex immunohistochemical analysis of mouse kidney (Formalin/PFA-fixed paraffin-embedded sections). Panel A: the merged image of anti-Laminin beta 1 (ET1703-14, Yellow), anti-NPHS2 (ET7107-34, Red) and anti-SLC12A1/NKCC2 (HA721906, Violet) on kidney. HRP Conjugated UltraPolymer Goat Polyclonal Antibody HA1119/HA1120 was used as a secondary antibody. The immunostaining was performed with the Sequential Immuno-staining Kit (IRISKit™MH010101, www.luminiris.cn). The section was incubated in three rounds of staining: in the order of ET1703-14 (1/1,000 dilution), ET7107-34 (1/1,000 dilution) and HA721906 (1/3,000 dilution) for 20 mins at room temperature. Each round was followed by a separate fluorescent tyramide signal amplification system. Heat mediated antigen retrieval with Tris-EDTA buffer (pH 9.0) for 30 mins at 95℃. DAPI (blue) was used as a nuclear counter stain. Image acquisition was performed with Zeiss Observer 7 Inverted Fluorescence Microscope.
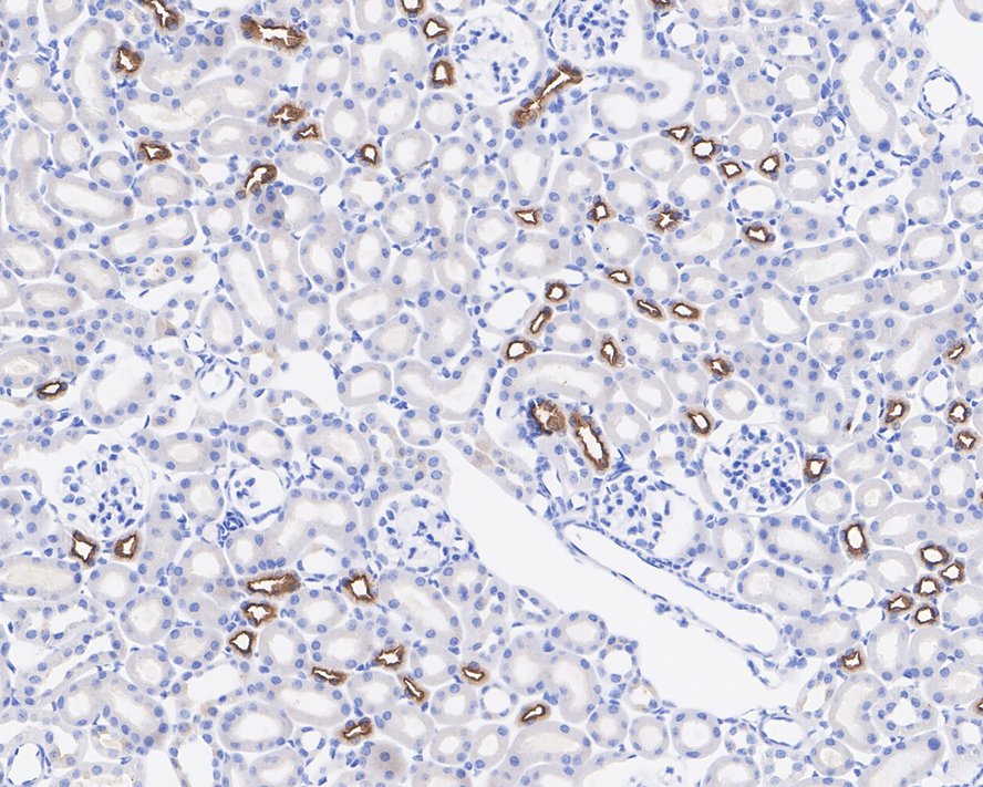
HA721906_4.jpg Fig4: Immunohistochemical analysis of paraffin-embedded mouse kidney tissue with Rabbit anti-SLC12A1 / NKCC2 antibody (HA721906) at 1/20,000 dilution.

The section was pre-treated using heat mediated antigen retrieval with Tris-EDTA buffer (pH 9.0) for 20 minutes. The tissues were blocked in 1% BSA for 20 minutes at room temperature, washed with ddH2O and PBS, and then probed with the primary antibody (HA721906) at 1/20,000 dilution for 1 hour at room temperature. The detection was performed using an HRP conjugated compact polymer system. DAB was used as the chromogen. Tissues were counterstained with hematoxylin and mounted with DPX.
HA721906_5.jpg Fig5: Immunocytochemistry analysis of K-562 cells labeling SLC12A1 / NKCC2 with Rabbit anti-SLC12A1 / NKCC2 antibody (HA721906) at 1/100 dilution.

Cells were fixed in 4% paraformaldehyde and 80% methanol for 20 minutes at room temperature, permeabilized with 0.1% Triton X-100 in PBS for 5 minutes at room temperature, then blocked with 1% BSA in 10% negative goat serum for 1 hour at room temperature. Cells were then incubated with Rabbit anti-SLC12A1 / NKCC2 antibody (HA721906) at 1/100 dilution in 1% BSA in PBST overnight at 4 ℃. Goat Anti-Rabbit IgG H&L (iFluor™ 488, HA1121) was used as the secondary antibody at 1/1,000 dilution. PBS instead of the primary antibody was used as the secondary antibody only control. Nuclear DNA was labelled in blue with DAPI. Beta tubulin (M1305-2, red) was stained at 1/100 dilution overnight at +4℃. Goat Anti-Mouse IgG H&L (iFluor™ 594, HA1126) was used as the secondary antibody at 1/1,000 dilution.
Note: All products are “FOR RESEARCH USE ONLY AND ARE NOT INTENDED FOR DIAGNOSTIC OR THERAPEUTIC USE”.