AIP Recombinant Rabbit Monoclonal Antibody [PSH03-17]
cat.: HA721945
Product Type: Recombinant Rabbit monoclonal IgG, primary antibodies
Species reactivity: Human, Mouse, Rat
Applications: WB
Clonality: Monoclonal
Clone number: PSH03-17
Form: Liquid
Storage condition: Shipped at 4℃. Store at +4℃ short term (1-2 weeks). It is recommended to aliquot into single-use upon delivery. Store at -20℃ long term.
Storage buffer: PBS (pH7.4), 0.05% BSA, 40% Glycerol. Preservative: 0.05% Sodium Azide.
Concentration: 1ug/ul
Purification: Protein A affinity purified.
Molecular weight: Predicted band size: 38 kDa
Isotype: IgG
Immunogen: Synthetic peptide within human AIP aa 1-330 / 330.
Positive control: HeLa cell lysate, Jurkat cell lysate, HEK-293 cell lysate, THP-1 cell lysate, HCT 1 cell lysate, MCF7 cell lysate, RAW264.7 cell lysate, NIH/3T3 cell lysate, C6 cell lysate, mouse spleen tissue lysate, rat spleen tissue lysate.
Subcellular location: Cytoplasm.
Recommended Dilutions:
  WB

1:2,000
Uniprot #: SwissProt: O00170 Human | O08915 Mouse | Q5FWY5 Rat
Alternative names: AH receptor interacting protein AH receptor-interacting protein AIP AIP_HUMAN ARA 9 ARA9 Aryl hydrocarbon receptor interacting protein Aryl-hydrocarbon receptor-interacting protein fa03h10 FKBP 16 FKBP 37 FKBP16 FKBP37 HBV X associated protein 2 HBV X associated protein HBV X-associated protein 2 HBVX associated protein Immunophilin homolog ARA 9 Immunophilin homolog ARA9 SMTPHN XAP 2 XAP-2 XAP2
Images
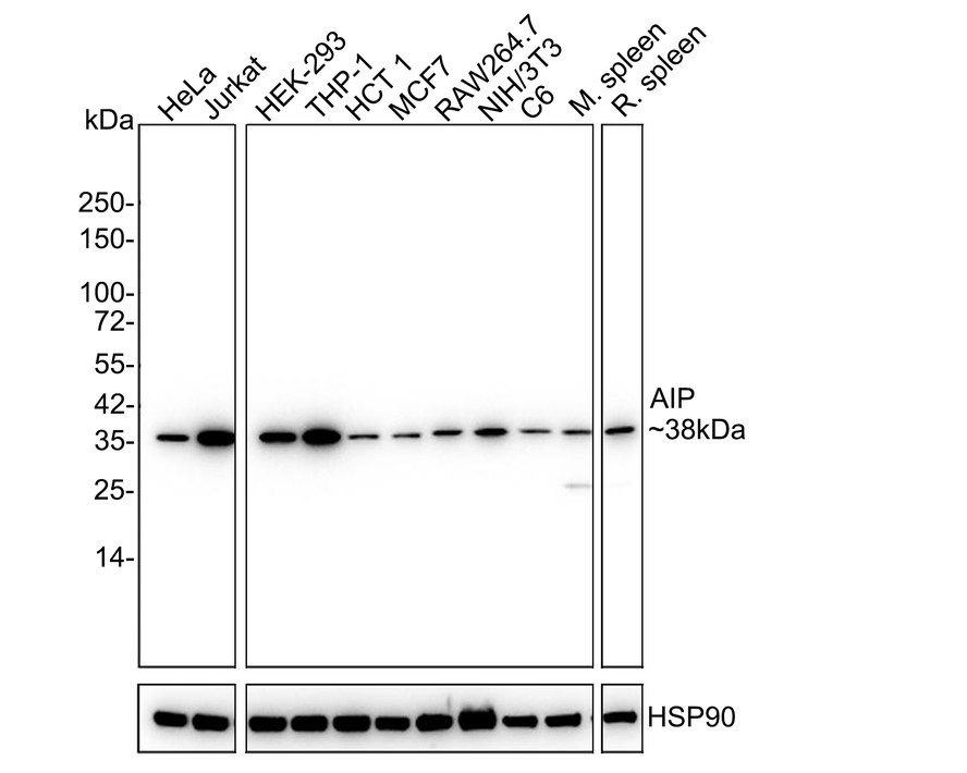
HA721945_1.jpg Fig1: Western blot analysis of AIP on different lysates with Rabbit anti-AIP antibody (HA721945) at 1/2,000 dilution.

Lane 1: HeLa cell lysate (20 µg/Lane)
Lane 2:Jurkat cell lysate (20 µg/Lane)
Lane 3: HEK-293 cell lysate (20 µg/Lane)
Lane 4: THP-1 cell lysate (20 µg/Lane)
Lane 5: HCT 116 cell lysate (20 µg/Lane)
Lane 6: MCF7 cell lysate (20 µg/Lane)
Lane 7: RAW264.7 cell lysate (20 µg/Lane)
Lane 8: NIH/3T3 cell lysate (20 µg/Lane)
Lane 9: C6 cell lysate (20 µg/Lane)
Lane 10: Mouse spleen tissue lysate (40 µg/Lane)
Lane 11: Rat spleen tissue lysate (40 µg/Lane)

Predicted band size: 38 kDa
Observed band size: 35 kDa

Exposure time: 1 minutes 2 seconds;
4-20% SDS-PAGE gel.

Proteins were transferred to a PVDF membrane and blocked with 5% NFDM/TBST for 1 hour at room temperature. The primary antibody (HA721945) at 1/2,000 dilution was used in 5% NFDM/TBST at 4℃ overnight. Goat Anti-Rabbit IgG - HRP Secondary Antibody (HA1001) at 1/50,000 dilution was used for 1 hour at room temperature.
HA721945_2.jpg Fig2: Western blot analysis of AIP on different lysates with Rabbit anti-AIP antibody (HA721945) at 1/5,000 dilution.

Lane 1: A549-WT cell lysate (10 µg/Lane)
Lane 2: A549-KD AIP cell lysate (10 µg/Lane)

Predicted band size: 38 kDa
Observed band size: 35 kDa

Exposure time: 2 minutes; ECL: K1801;
4-20% SDS-PAGE gel.

Proteins were transferred to a PVDF membrane and blocked with 5% NFDM/TBST for 1 hour at room temperature. The primary antibody (HA721945) at 1/5,000 dilution was used in 5% NFDM/TBST at 4℃ overnight. Goat Anti-Rabbit IgG - HRP Secondary Antibody (HA1001) at 1/50,000 dilution was used for 1 hour at room temperature.
Note: All products are “FOR RESEARCH USE ONLY AND ARE NOT INTENDED FOR DIAGNOSTIC OR THERAPEUTIC USE”.