ketohexokinase Recombinant Rabbit Monoclonal Antibody [PSH03-18]
cat.: HA721949
Product Type: Recombinant Rabbit monoclonal IgG, primary antibodies
Species reactivity: Human, Mouse
Applications: WB, IF-Cell, IHC-P, FC
Clonality: Monoclonal
Clone number: PSH03-18
Form: Liquid
Storage condition: Shipped at 4℃. Store at +4℃ short term (1-2 weeks). It is recommended to aliquot into single-use upon delivery. Store at -20℃ long term.
Storage buffer: PBS (pH7.4), 0.1% BSA, 40% Glycerol. Preservative: 0.05% Sodium Azide.
Concentration: 1ug/ul
Purification: Protein A affinity purified.
Molecular weight: Predicted band size: 33 kDa
Isotype: IgG
Immunogen: Recombinant protein within human ketohexokinase aa 1-298 / 298.
Positive control: Human liver tissue lysate, human kidney tissue lysate, mouse liver tissue lysate, mouse kidney tissue lysate, HepG2, human kidney tissue, human liver cancer tissue, human liver tissue, mouse liver tissue.
Subcellular location: Cytoplasm, cytosol, extracellular exosome.
Recommended Dilutions:
  WB
  IF-Cell
  IHC-P
  FC

1:2,000
1:100
1:500-1:2,000
1:1,000
Uniprot #: SwissProt: P50053 Human | P97328 Mouse
Alternative names: EC 2.7.1.3 Fructokinase Hepatic fructokinase Ketohexokinase Ketohexokinase isoform a KHK KHK_HUMAN
Images
HA721949_1.jpg Fig1: Western blot analysis of ketohexokinase on different lysates with Rabbit anti-ketohexokinase antibody (HA721949) at 1/2,000 dilution and competitor's antibody at 1/1,000 dilution.

Lane 1: Human liver tissue lysate
Lane 2: Human kidney tissue lysate
Lane 3: Mouse liver tissue lysate
Lane 4: Mouse kidney tissue lysate

Lysates/proteins at 20 µg/Lane.

Predicted band size: 33 kDa
Observed band size: 33 kDa

Exposure time: 5 seconds; ECL: K1801;

4-20% SDS-PAGE gel.

Proteins were transferred to a PVDF membrane and blocked with 5% NFDM/TBST for 1 hour at room temperature. The primary antibody (HA721949) at 1/2,000 dilution and competitor's antibody at 1/1,000 dilution were used in 5% NFDM/TBST at 4℃ overnight. Goat Anti-Rabbit IgG - HRP Secondary Antibody (HA1001) at 1/50,000 dilution was used for 1 hour at room temperature.
HA721949_2.jpg Fig2: Western blot analysis of ketohexokinase on different lysates with Rabbit anti-ketohexokinase antibody (HA721949) at 1/2,000 dilution.

Lane 1: A549-si NT cell lysate
Lane 2: A549-si ketohexokinase cell lysate

Lysates/proteins at 10 µg/Lane.

Predicted band size: 33 kDa
Observed band size: 33 kDa

Exposure time: 3 minutes; ECL: K1801;

4-20% SDS-PAGE gel.

Proteins were transferred to a PVDF membrane and blocked with 5% NFDM/TBST for 1 hour at room temperature. The primary antibody (HA721949) at 1/2,000 dilution was used in 5% NFDM/TBST at 4℃ overnight. Goat Anti-Rabbit IgG - HRP Secondary Antibody (HA1001) at 1/50,000 dilution was used for 1 hour at room temperature.
HA721949_3.jpg Fig3: Immunocytochemistry analysis of HepG2 cells labeling ketohexokinase with Rabbit anti-ketohexokinase antibody (HA721949) at 1/100 dilution.

Cells were fixed in 4% paraformaldehyde for 20 minutes at room temperature, permeabilized with 0.1% Triton X-100 in PBS for 5 minutes at room temperature, then blocked with 1% BSA in 10% negative goat serum for 1 hour at room temperature. Cells were then incubated with Rabbit anti-ketohexokinase antibody (HA721949) at 1/100 dilution in 1% BSA in PBST overnight at 4 ℃. Goat Anti-Rabbit IgG H&L (iFluor™ 488, HA1121) was used as the secondary antibody at 1/1,000 dilution. PBS instead of the primary antibody was used as the secondary antibody only control. Nuclear DNA was labelled in blue with DAPI.
HA721949_4.jpg Fig4: Immunohistochemical analysis of paraffin-embedded human kidney tissue with Rabbit anti-ketohexokinase antibody (HA721949) at 1/2,000 dilution.

The section was pre-treated using heat mediated antigen retrieval with sodium citrate buffer (pH 6.0) for 2 minutes. The tissues were blocked in 1% BSA for 20 minutes at room temperature, washed with ddH2O and PBS, and then probed with the primary antibody (HA721949) at 1/2,000 dilution for 1 hour at room temperature. The detection was performed using an HRP conjugated compact polymer system. DAB was used as the chromogen. Tissues were counterstained with hematoxylin and mounted with DPX.
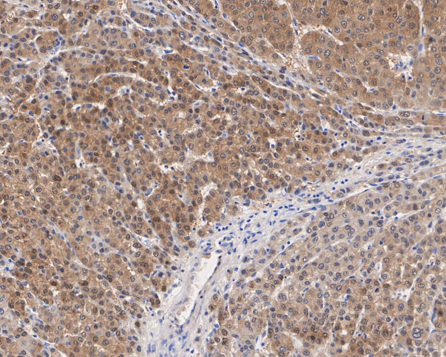
HA721949_5.jpg Fig5: Immunohistochemical analysis of paraffin-embedded human liver cancer tissue with Rabbit anti-ketohexokinase antibody (HA721949) at 1/500 dilution.

The section was pre-treated using heat mediated antigen retrieval with sodium citrate buffer (pH 6.0) for 2 minutes. The tissues were blocked in 1% BSA for 20 minutes at room temperature, washed with ddH2O and PBS, and then probed with the primary antibody (HA721949) at 1/500 dilution for 1 hour at room temperature. The detection was performed using an HRP conjugated compact polymer system. DAB was used as the chromogen. Tissues were counterstained with hematoxylin and mounted with DPX.
HA721949_6.jpg Fig6: Immunohistochemical analysis of paraffin-embedded human liver tissue with Rabbit anti-ketohexokinase antibody (HA721949) at 1/2,000 dilution.

The section was pre-treated using heat mediated antigen retrieval with sodium citrate buffer (pH 6.0) for 2 minutes. The tissues were blocked in 1% BSA for 20 minutes at room temperature, washed with ddH2O and PBS, and then probed with the primary antibody (HA721949) at 1/2,000 dilution for 1 hour at room temperature. The detection was performed using an HRP conjugated compact polymer system. DAB was used as the chromogen. Tissues were counterstained with hematoxylin and mounted with DPX.
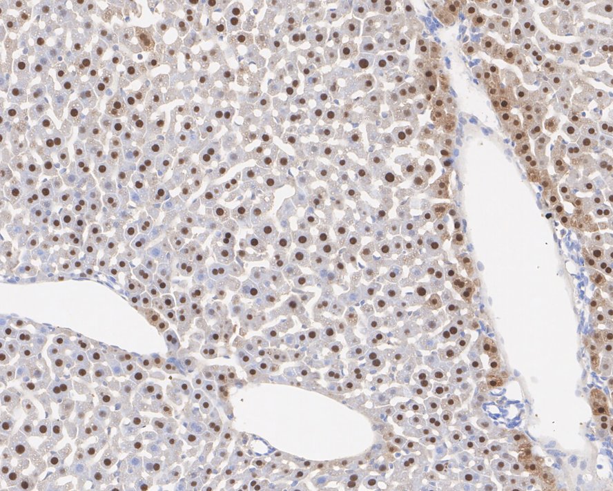
HA721949_7.jpg Fig7: Immunohistochemical analysis of paraffin-embedded mouse liver tissue with Rabbit anti-ketohexokinase antibody (HA721949) at 1/2,000 dilution.

The section was pre-treated using heat mediated antigen retrieval with sodium citrate buffer (pH 6.0) for 2 minutes. The tissues were blocked in 1% BSA for 20 minutes at room temperature, washed with ddH2O and PBS, and then probed with the primary antibody (HA721949) at 1/2,000 dilution for 1 hour at room temperature. The detection was performed using an HRP conjugated compact polymer system. DAB was used as the chromogen. Tissues were counterstained with hematoxylin and mounted with DPX.
HA721949_8.jpg Fig8: Flow cytometric analysis of HepG2 cells labeling ketohexokinase.

Cells were fixed and permeabilized. Then stained with the primary antibody (HA721949, 1μg/mL) (red) compared with Rabbit IgG Isotype Control (green). After incubation of the primary antibody at +4℃ for an hour, the cells were stained with a iFluor™ 488 conjugate-Goat anti-Rabbit IgG Secondary antibody (HA1121) at 1/1,000 dilution for 30 minutes at +4℃. Unlabelled sample was used as a control (cells without incubation with primary antibody; black).
Note: All products are “FOR RESEARCH USE ONLY AND ARE NOT INTENDED FOR DIAGNOSTIC OR THERAPEUTIC USE”.