TRPM8 Recombinant Rabbit Monoclonal Antibody [JE32-58]
cat.: HA721959
Product Type: Recombinant Rabbit monoclonal IgG, primary antibodies
Species reactivity: Human
Applications: WB, IHC-P
Clonality: Monoclonal
Clone number: JE32-58
Form: Liquid
Storage condition: Shipped at 4℃. Store at +4℃ short term (1-2 weeks). It is recommended to aliquot into single-use upon delivery. Store at -20℃ long term.
Storage buffer: 1*TBS (pH7.4), 0.05% BSA, 40% Glycerol. Preservative: 0.05% Sodium Azide.
Concentration: 1ug/ul
Purification: Protein A affinity purified.
Molecular weight: Predicted band size: 128 kDa
Isotype: IgG
Immunogen: Recombinant protein within Human TRPM8 aa 851-1,050 / 1,104.
Positive control: LNCaP cell lysate, MCF7 cell lysate, HCT 116 cell lysate, human liver cancer tissue, human prostate cancer tissue.
Subcellular location: Cell membrane, Membrane raft, Endoplasmic reticulum membrane.
Recommended Dilutions:
  WB
  IHC-P

1:1,000
1:500
Uniprot #: SwissProt: Q7Z2W7 Human
Alternative names: Long transient receptor potential channel 6 LTrpC-6 LTrpC6 MGC2849 Short form of the TRPM8 cationic channel Transient receptor potential cation channel subfamily M member 8 Transient receptor potential p8 transient receptor potential-p8 Trp p8 Trp-p8 Trpm8 TRPM8_HUMAN TRPP8
Images
HA721959_1.jpg Fig1: Western blot analysis of TRPM8 on different lysates with Rabbit anti-TRPM8 antibody (HA721959) at 1/1,000 dilution.

Lane 1: LNCaP cell lysate
Lane 2: MCF7 cell lysate
Lane 3: HCT 116 cell lysate

Lysates/proteins at 20 µg/Lane.

Predicted band size: 128 kDa
Observed band size: 110 kDa

Exposure time: 3 minutes;

4-20% SDS-PAGE gel.

Proteins were transferred to a PVDF membrane and blocked with 5% NFDM/TBST for 1 hour at room temperature. The primary antibody (HA721959) at 1/1,000 dilution was used in 5% NFDM/TBST at 4℃ overnight. Goat Anti-Rabbit IgG - HRP Secondary Antibody (HA1001) at 1/50,000 dilution was used for 1 hour at room temperature.
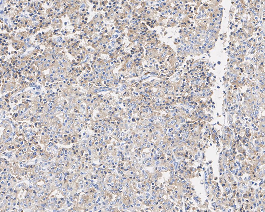
HA721959_2.jpg Fig2: Immunohistochemical analysis of paraffin-embedded human liver cancer tissue with Rabbit anti-TRPM8 antibody (HA721959) at 1/500 dilution.

The section was pre-treated using heat mediated antigen retrieval with Tris-EDTA buffer (pH 9.0) for 20 minutes. The tissues were blocked in 1% BSA for 20 minutes at room temperature, washed with ddH2O and PBS, and then probed with the primary antibody (HA721959) at 1/500 dilution for 1 hour at room temperature. The detection was performed using an HRP conjugated compact polymer system. DAB was used as the chromogen. Tissues were counterstained with hematoxylin and mounted with DPX.
HA721959_3.jpg Fig3: Immunohistochemical analysis of paraffin-embedded human prostate cancer tissue with Rabbit anti-TRPM8 antibody (HA721959) at 1/500 dilution.

The section was pre-treated using heat mediated antigen retrieval with Tris-EDTA buffer (pH 9.0) for 20 minutes. The tissues were blocked in 1% BSA for 20 minutes at room temperature, washed with ddH2O and PBS, and then probed with the primary antibody (HA721959) at 1/500 dilution for 1 hour at room temperature. The detection was performed using an HRP conjugated compact polymer system. DAB was used as the chromogen. Tissues were counterstained with hematoxylin and mounted with DPX.
Note: All products are “FOR RESEARCH USE ONLY AND ARE NOT INTENDED FOR DIAGNOSTIC OR THERAPEUTIC USE”.