 
	            	| Product Type: | Recombinant Rabbit monoclonal IgG, primary antibodies | 
|---|---|
| Species reactivity: | Human | 
| Applications: | WB, IF-Cell, IHC-P | 
| Clonality: | Monoclonal | 
| Clone number: | PSH03-40 | 
| Form: | Liquid | 
| Storage condition: | Shipped at 4℃. Store at +4℃ short term (1-2 weeks). It is recommended to aliquot into single-use upon delivery. Store at -20℃ long term. | 
| Storage buffer: | PBS (pH7.4), 0.1% BSA, 40% Glycerol. Preservative: 0.05% Sodium Azide. | 
| Concentration: | 1ug/ul | 
| Purification: | Protein A affinity purified. | 
| Molecular weight: | Predicted band size: 31 kDa | 
| Isotype: | IgG | 
| Immunogen: | Recombinant protein within human Peroxiredoxin 4 aa 1-271 / 271. | 
| Positive control: | HeLa cell lysate, HEK-293 cell lysate, HepG2 cell lysate, K-562 cell lysate, Jurkat cell lysate, MCF7 cell lysate, LNCaP cell lysate, HeLa, human breast tissue, human liver tissue, human testis tissue. | 
| Subcellular location: | Cytoplasm, Endoplasmic reticulum. | 
| Recommended Dilutions: WB IF-Cell IHC-P | 1:2,000 1:100 1:500 | 
| Uniprot #: | SwissProt: Q13162 Human | 
| Alternative names: | Antioxidant enzyme 372 Antioxidant enzyme AOE372 AOE37 2 AOE37-2 AOE372 EC 1.11.1.15 Peroxiredoxin IV Peroxiredoxin-4 Peroxiredoxin4 PRDX 4 Prdx4 PRDX4_HUMAN PRX 4 Prx IV Prx-IV PRX4 PrxIV Thioredoxin dependent peroxide reductase A0372 Thioredoxin Peroxidase (Antioxidant Enzyme) Thioredoxin peroxidase Thioredoxin peroxidase AO372 Thioredoxin-dependent peroxide reductase A0372 TRANK | 
|   | Fig1:
	        				Western blot analysis of Peroxiredoxin 4 on different lysates with Rabbit anti-Peroxiredoxin 4 antibody (HA721985) at 1/2,000 dilution. Lane 1: HeLa cell lysate Lane 2: HEK-293 cell lysate Lane 3: HepG2 cell lysate Lane 4: K-562 cell lysate Lane 5: Jurkat cell lysate Lane 6: MCF7 cell lysate Lane 7: LNCaP cell lysate Lysates/proteins at 20 µg/Lane. Predicted band size: 31 kDa Observed band size: 27 kDa Exposure time: 50 seconds; ECL: K1801; 4-20% SDS-PAGE gel. Proteins were transferred to a PVDF membrane and blocked with 5% NFDM/TBST for 1 hour at room temperature. The primary antibody (HA721985) at 1/2,000 dilution was used in 5% NFDM/TBST at 4℃ overnight. Goat Anti-Rabbit IgG - HRP Secondary Antibody (HA1001) at 1/50,000 dilution was used for 1 hour at room temperature. | 
|   | Fig2:
	        				Western blot analysis of Peroxiredoxin 4 on different lysates with Rabbit anti-Peroxiredoxin 4 antibody (HA721985) at 1/5,000 dilution. Lane 1: HAP1-parental cell lysate Lane 2: HAP1-Peroxiredoxin 4 KD cell lysate Lysates/proteins at 10 µg/Lane. Predicted band size: 31 kDa Observed band size: 27 kDa Exposure time: 30 seconds; ECL: K1801; 4-20% SDS-PAGE gel. Proteins were transferred to a PVDF membrane and blocked with 5% NFDM/TBST for 1 hour at room temperature. The primary antibody (HA721985) at 1/5,000 dilution was used in primary antibody dilution (K1803) at 4℃ overnight. Goat Anti-Rabbit IgG - HRP Secondary Antibody (HA1001) at 1/50,000 dilution was used for 1 hour at room temperature. | 
|   | Fig3:
		        				Immunocytochemistry analysis of HeLa cells labeling Peroxiredoxin 4 with Rabbit anti-Peroxiredoxin 4 antibody (HA721985) at 1/100 dilution. Cells were fixed in 4% paraformaldehyde for 20 minutes at room temperature, permeabilized with 0.1% Triton X-100 in PBS for 5 minutes at room temperature, then blocked with 1% BSA in 10% negative goat serum for 1 hour at room temperature. Cells were then incubated with Rabbit anti-Peroxiredoxin 4 antibody (HA721985) at 1/100 dilution in 1% BSA in PBST overnight at 4 ℃. Goat Anti-Rabbit IgG H&L (iFluor™ 488, HA1121) was used as the secondary antibody at 1/1,000 dilution. PBS instead of the primary antibody was used as the secondary antibody only control. Nuclear DNA was labelled in blue with DAPI. Beta tubulin (M1305-2, red) was stained at 1/100 dilution overnight at +4℃. Goat Anti-Mouse IgG H&L (iFluor™ 594, HA1126) was used as the secondary antibody at 1/1,000 dilution. | 
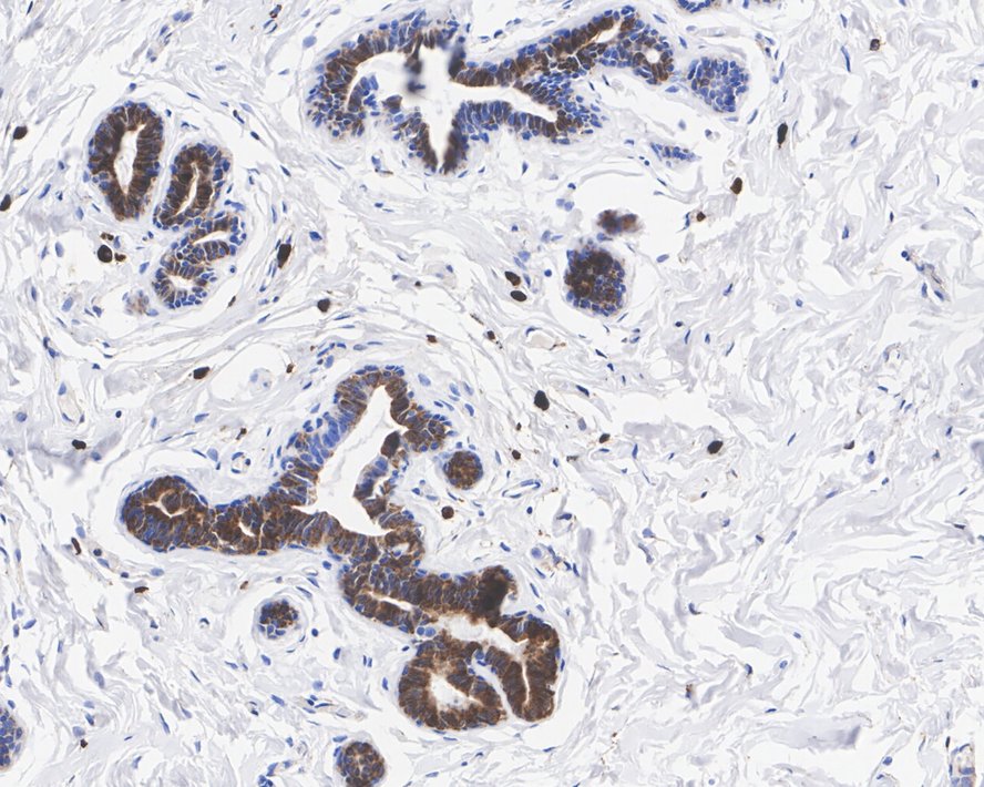
|   | Fig4:
		        				Immunohistochemical analysis of paraffin-embedded human breast tissue with Rabbit anti-Peroxiredoxin 4 antibody (HA721985) at 1/500 dilution. The section was pre-treated using heat mediated antigen retrieval with Tris-EDTA buffer (pH 9.0) for 20 minutes. The tissues were blocked in 1% BSA for 20 minutes at room temperature, washed with ddH2O and PBS, and then probed with the primary antibody (HA721985) at 1/500 dilution for 1 hour at room temperature. The detection was performed using an HRP conjugated compact polymer system. DAB was used as the chromogen. Tissues were counterstained with hematoxylin and mounted with DPX. | 
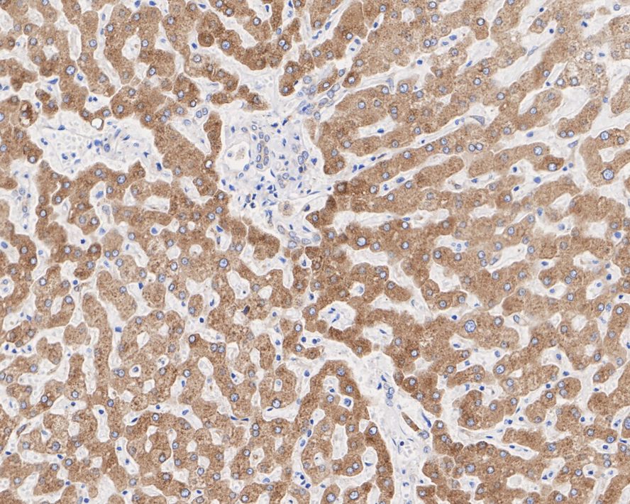
|   | Fig5:
		        				Immunohistochemical analysis of paraffin-embedded human liver tissue with Rabbit anti-Peroxiredoxin 4 antibody (HA721985) at 1/500 dilution. The section was pre-treated using heat mediated antigen retrieval with Tris-EDTA buffer (pH 9.0) for 20 minutes. The tissues were blocked in 1% BSA for 20 minutes at room temperature, washed with ddH2O and PBS, and then probed with the primary antibody (HA721985) at 1/500 dilution for 1 hour at room temperature. The detection was performed using an HRP conjugated compact polymer system. DAB was used as the chromogen. Tissues were counterstained with hematoxylin and mounted with DPX. | 
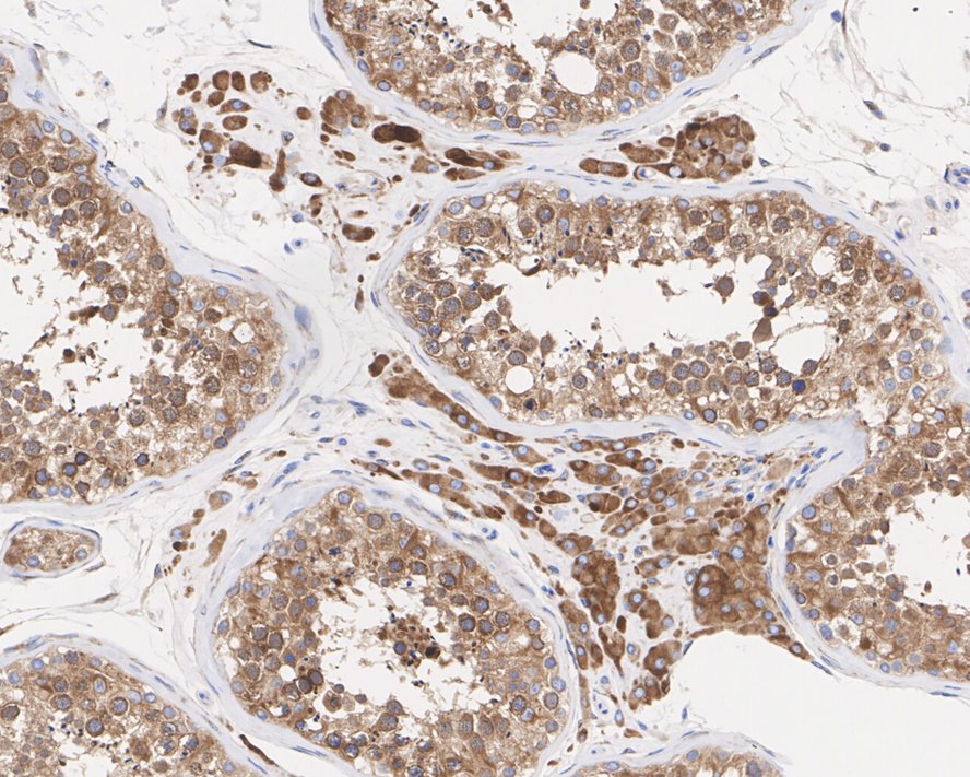
|   | Fig6:
		        				Immunohistochemical analysis of paraffin-embedded human testis tissue with Rabbit anti-Peroxiredoxin 4 antibody (HA721985) at 1/500 dilution. The section was pre-treated using heat mediated antigen retrieval with Tris-EDTA buffer (pH 9.0) for 20 minutes. The tissues were blocked in 1% BSA for 20 minutes at room temperature, washed with ddH2O and PBS, and then probed with the primary antibody (HA721985) at 1/500 dilution for 1 hour at room temperature. The detection was performed using an HRP conjugated compact polymer system. DAB was used as the chromogen. Tissues were counterstained with hematoxylin and mounted with DPX. |