CBLB Recombinant Rabbit Monoclonal Antibody [PSH03-49]
cat.: HA722008
Product Type: Recombinant Rabbit monoclonal IgG, primary antibodies
Species reactivity: Human, Mouse, Rat
Applications: WB, IHC-P
Clonality: Monoclonal
Clone number: PSH03-49
Form: Liquid
Storage condition: Shipped at 4℃. Store at +4℃ short term (1-2 weeks). It is recommended to aliquot into single-use upon delivery. Store at -20℃ long term.
Storage buffer: PBS (pH7.4), 0.1% BSA, 40% Glycerol. Preservative: 0.05% Sodium Azide.
Concentration: 1ug/ul
Purification: Protein A affinity purified.
Molecular weight: Predicted band size: 109 kDa
Isotype: IgG
Immunogen: Recombinant protein within human CBLB aa 400-982 / 982.
Positive control: Jurkat cell lysate, K-562 cell lysate, U-87 MG cell lysate, HeLa cell lysate, A431 cell lysate, A549 cell lysate, NIH/3T3 cell lysate, RAW264.7 cell lysate, PC-12 cell lysate, mouse lung tissue lysate, human stomach tissue.
Subcellular location: Cytoplasm.
Recommended Dilutions:
  WB
  IHC-P

1:2,000
1:200
Uniprot #: SwissProt: Q13191 Human | Q3TTA7 Mouse | Q8K4S7 Rat
Alternative names: AI429560 AI851073 Cas Br M (murine) ecotropic retroviral transforming sequence b Casitas B lineage lymphoma b Casitas B lineage lymphoma proto oncogene b Casitas B-lineage lymphoma proto-oncogene b Cbl b CBLB CBLB_HUMAN DKFZp686J10223 DKFZp779A0729 DKFZp779F1443 E3 ubiquitin protein ligase CBL B E3 ubiquitin-protein ligase CBL-B EC 6.3.2.- FLJ36865 FLJ41152 Nbla00127 RING finger protein 56 RNF56 SH3 binding protein CBL B SH3-binding protein CBL-B Signal transduction protein CBL B Signal transduction protein CBL-B
Images
HA722008_1.jpg Fig1: Western blot analysis of CBLB on different lysates with Rabbit anti-CBLB antibody (HA722008) at 1/2,000 dilution.

Lane 1: Jurkat cell lysate (20 µg/Lane)
Lane 2: K-562 cell lysate (20 µg/Lane)
Lane 3: U-87 MG cell lysate (20 µg/Lane)
Lane 4: HeLa cell lysate (20 µg/Lane)
Lane 5: A431 cell lysate (20 µg/Lane)
Lane 6: A549 cell lysate (20 µg/Lane)
Lane 7: NIH/3T3 cell lysate (20 µg/Lane)
Lane 8: RAW264.7 cell lysate (20 µg/Lane)
Lane 9: PC-12 cell lysate (20 µg/Lane)
Lane 10: Mouse lung tissue lysate (40 µg/Lane)

Predicted band size: 109 kDa
Observed band size: 109 kDa

Exposure time: 24 seconds;

4-20% SDS-PAGE gel.

Proteins were transferred to a PVDF membrane and blocked with 5% NFDM/TBST for 1 hour at room temperature. The primary antibody (HA722008) at 1/2,000 dilution was used in 5% NFDM/TBST at 4℃ overnight. Goat Anti-Rabbit IgG - HRP Secondary Antibody (HA1001) at 1/50,000 dilution was used for 1 hour at room temperature.
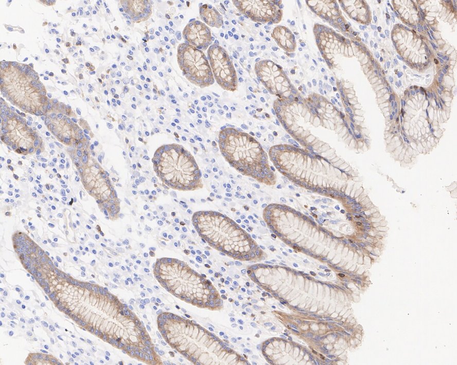
HA722008_2.jpg Fig2: Immunohistochemical analysis of paraffin-embedded human stomach tissue with Rabbit anti-CBLB antibody (HA722008) at 1/200 dilution.

The section was pre-treated using heat mediated antigen retrieval with Tris-EDTA buffer (pH 9.0) for 20 minutes. The tissues were blocked in 1% BSA for 20 minutes at room temperature, washed with ddH2O and PBS, and then probed with the primary antibody (HA722008) at 1/200 dilution for 1 hour at room temperature. The detection was performed using an HRP conjugated compact polymer system. DAB was used as the chromogen. Tissues were counterstained with hematoxylin and mounted with DPX.
Note: All products are “FOR RESEARCH USE ONLY AND ARE NOT INTENDED FOR DIAGNOSTIC OR THERAPEUTIC USE”.