MELK Recombinant Rabbit Monoclonal Antibody [PSH03-55]
cat.: HA722014
Product Type: Recombinant Rabbit monoclonal IgG, primary antibodies
Species reactivity: Human, Mouse
Applications: WB, IHC-P
Clonality: Monoclonal
Clone number: PSH03-55
Form: Liquid
Storage condition: Shipped at 4℃. Store at +4℃ short term (1-2 weeks). It is recommended to aliquot into single-use upon delivery. Store at -20℃ long term.
Storage buffer: PBS (pH7.4), 0.1% BSA, 40% Glycerol. Preservative: 0.05% Sodium Azide.
Concentration: 1ug/ul
Purification: Protein A affinity purified.
Molecular weight: Predicted band size: 75 kDa
Isotype: IgG
Immunogen: Recombinant protein within human MELK aa 1-400 / 651.
Positive control: HeLa cell lysate, 293T cell lysate, MDA-MB-231 cell lysate, HCT 116 cell lysate, NIH/3T3 cell lysate, C2C12 cell lysate, human breast cancer tissue, human testis tissue.
Subcellular location: Cell membrane.
Recommended Dilutions:
  WB
  IHC-P

1:2,000
1:500-1:2,000
Uniprot #: SwissProt: Q14680 Human | Q61846 Mouse
Alternative names: AI327312 hMELK HPK 38 hPK38 KIAA0175 Likely ortholog of maternal embryonic leucine zipper kinase Maternal embryonic leucine zipper kinase MELK MELK_HUMAN mKIAA0175 MPK38 OTTHUMP00000021377 OTTHUMP00000046113 pEg3 kinase Protein kinase Eg3 Protein kinase PK38 RP23 382O11.1 Tyrosine protein kinase MELK
Images
HA722014_1.jpg Fig1: Western blot analysis of MELK on different lysates with Rabbit anti-MELK antibody (HA722014) at 1/2,000 dilution.

Lane 1: HeLa cell lysate
Lane 2: 293T cell lysate
Lane 3: MDA-MB-231 cell lysate
Lane 4: HCT 116 cell lysate
Lane 5: NIH/3T3 cell lysate
Lane 6: C2C12 cell lysate

Lysates/proteins at 30 µg/Lane.

Predicted band size: 75 kDa
Observed band size: 72 kDa

Exposure time: 2 minutes;

4-20% SDS-PAGE gel.

Proteins were transferred to a PVDF membrane and blocked with 5% NFDM/TBST for 1 hour at room temperature. The primary antibody (HA722014) at 1/2,000 dilution was used in 5% NFDM/TBST at 4℃ overnight. Goat Anti-Rabbit IgG - HRP Secondary Antibody (HA1001) at 1/100,000 dilution was used for 1 hour at room temperature.
HA722014_2.jpg Fig2: Western blot analysis of MELK on different lysates with Rabbit anti-MELK antibody (HA722014) at 1/2,000 dilution.

Lane 1: Hepa1-6-si NT cell lysate
Lane 2: Hepa1-6-si MELK cell lysate

Lysates/proteins at 10 µg/Lane.

Predicted band size: 75 kDa
Observed band size: 75 kDa

Exposure time: 20 seconds; ECL: K1801;

4-20% SDS-PAGE gel.

Proteins were transferred to a PVDF membrane and blocked with 5% NFDM/TBST for 1 hour at room temperature. The primary antibody (HA722014) at 1/2,000 dilution was used in 5% NFDM/TBST at room temperature for 2 hours. Goat Anti-Rabbit IgG - HRP Secondary Antibody (HA1001) at 1/50,000 dilution was used for 1 hour at room temperature.
HA722014_3.jpg Fig3: Immunohistochemical analysis of paraffin-embedded human breast cancer tissue with Rabbit anti-MELK antibody (HA722014) at 1/500 dilution.

The section was pre-treated using heat mediated antigen retrieval with Tris-EDTA buffer (pH 9.0) for 20 minutes. The tissues were blocked in 1% BSA for 20 minutes at room temperature, washed with ddH2O and PBS, and then probed with the primary antibody (HA722014) at 1/500 dilution for 1 hour at room temperature. The detection was performed using an HRP conjugated compact polymer system. DAB was used as the chromogen. Tissues were counterstained with hematoxylin and mounted with DPX.
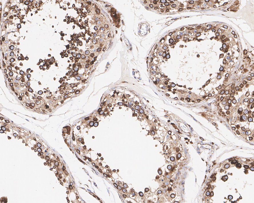
HA722014_4.jpg Fig4: Immunohistochemical analysis of paraffin-embedded human testis tissue with Rabbit anti-MELK antibody (HA722014) at 1/2,000 dilution.

The section was pre-treated using heat mediated antigen retrieval with Tris-EDTA buffer (pH 9.0) for 20 minutes. The tissues were blocked in 1% BSA for 20 minutes at room temperature, washed with ddH2O and PBS, and then probed with the primary antibody (HA722014) at 1/2,000 dilution for 1 hour at room temperature. The detection was performed using an HRP conjugated compact polymer system. DAB was used as the chromogen. Tissues were counterstained with hematoxylin and mounted with DPX.
Note: All products are “FOR RESEARCH USE ONLY AND ARE NOT INTENDED FOR DIAGNOSTIC OR THERAPEUTIC USE”.