p38 alpha/MAPK14 + p38 beta/MAPK11 + p38 gamma/MAPK12 Recombinant Rabbit Monoclonal Antibody [PSH03-60]
cat.: HA722019
Product Type: Recombinant Rabbit monoclonal IgG, primary antibodies
Species reactivity: Human, Mouse, Rat, Monkey
Applications: WB
Clonality: Monoclonal
Clone number: PSH03-60
Form: Liquid
Storage condition: Shipped at 4℃. Store at +4℃ short term (1-2 weeks). It is recommended to aliquot into single-use upon delivery. Store at -20℃ long term.
Storage buffer: PBS (pH7.4), 0.1% BSA, 40% Glycerol. Preservative: 0.05% Sodium Azide.
Concentration: 1ug/ul
Purification: Protein A affinity purified.
Molecular weight: Predicted band size: 42 kDa
Isotype: IgG
Immunogen: Recombinant protein within human MAPK12 aa 1-367 / 367.
Positive control: 293T cell lysate, HeLa cell lysate, K-562 cell lysate, MDA-MB-231 cell lysate, COS-1 cell lysate, Neuro-2a cell lysate, PC-12 cell lysate, mouse skeletal muscle tissue lysate, rat skeletal muscle tissue lysate, rat heart tissue lysate.
Subcellular location: Cytoplasm, Nucleus, Mitochondrion.
Recommended Dilutions:
  WB

1:2,000
Uniprot #: SwissProt: Q16539 Human | Q15759 Human | P53778 Human | P47811 Mouse | Q9WUI1 Mouse | O08911 Mouse | P70618 Rat | D4A3U7 Rat | Q63538 Rat
Alternative names: ERK 6 ERK-6 ERK6 Extracellular signal-regulated kinase 6 MAP kinase 12 MAP kinase p38 gamma MAPK 12 Mapk12 Mitogen Activated Protein Kinase 12 Mitogen activated protein kinase p38 gamma Mitogen-activated protein kinase 12 Mitogen-activated protein kinase p38 gamma MK12_HUMAN P38 GAMMA P38GAMMA PRKM12 SAPK 3 SAPK-3 SAPK3 Stress Activated Protein Kinase 3 Stress-activated protein kinase 3
Images
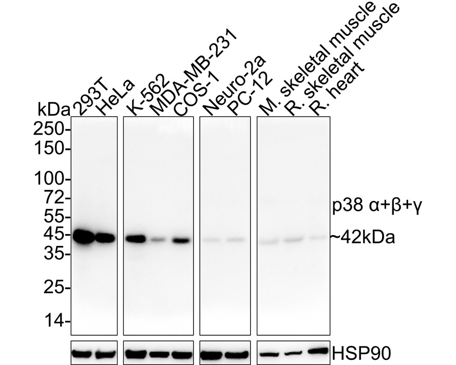
HA722019_1.jpg Fig1: Western blot analysis of p38 alpha/MAPK14 + p38 beta/MAPK11 + p38 gamma/MAPK12 on different lysates with Rabbit anti-p38 alpha/MAPK14 + p38 beta/MAPK11 + p38 gamma/MAPK12 antibody (HA722019) at 1/2,000 dilution.

Lane 1: 293T cell lysate (30 µg/Lane)
Lane 2: HeLa cell lysate (30 µg/Lane)
Lane 3: K-562 cell lysate (30 µg/Lane)
Lane 4: MDA-MB-231 cell lysate (30 µg/Lane)
Lane 5: COS-1 cell lysate (30 µg/Lane)
Lane 6: Neuro-2a cell lysate (30 µg/Lane)
Lane 7: PC-12 cell lysate (30 µg/Lane)
Lane 8: Mouse skeletal muscle tissue lysate (30 µg/Lane)
Lane 9: Rat skeletal muscle tissue lysate (30 µg/Lane)
Lane 10: Rat heart tissue lysate (30 µg/Lane)

Predicted band size: 42 kDa
Observed band size: 42 kDa

Exposure time: 40 seconds; ECL: K1802;
4-20% SDS-PAGE gel.

Proteins were transferred to a PVDF membrane and blocked with 5% NFDM/TBST for 1 hour at room temperature. The primary antibody (HA722019) at 1/2,000 dilution was used in 5% NFDM/TBST at 4℃ overnight. Goat Anti-Rabbit IgG - HRP Secondary Antibody (HA1001) at 1/50,000 dilution was used for 1 hour at room temperature.
HA722019_2.jpg Fig2: Western blot analysis of p38 alpha/MAPK14 + p38 beta/MAPK11 + p38 gamma/MAPK12 with Rabbit anti-p38 alpha/MAPK14 + p38 beta/MAPK11 + p38 gamma/MAPK12 antibody (HA722019) at 1/2,000 dilution.

Lane 1: Human p38 gamma recombinant protein, 30ng/Lane
Lane 2: Human p38 alpha recombinant protein, 50ng/Lane
Lane 3: Human p38 delta recombinant protein, 50ng/Lane
Lane 4: Human p38 beta recombinant protein, 50ng/Lane

Exposure time: 43 seconds; ECL: K1801;
4-20% SDS-PAGE gel.

Proteins were transferred to a PVDF membrane and blocked with 5% NFDM/TBST for 1 hour at room temperature. The primary antibody (HA722019) at 1/2,000 dilution was used in 5% NFDM/TBST at room temperature for 2 hours. Goat Anti-Rabbit IgG - HRP Secondary Antibody (HA1001) at 1/50,000 dilution was used for 1 hour at room temperature.
Note: All products are “FOR RESEARCH USE ONLY AND ARE NOT INTENDED FOR DIAGNOSTIC OR THERAPEUTIC USE”.