Parathyroid Hormone Recombinant Rabbit Monoclonal Antibody [JE66-58]
cat.: HA722059
Product Type: Recombinant Rabbit monoclonal IgG, primary antibodies
Species reactivity: Human, Mouse, Rat
Applications: WB, IHC-P
Clonality: Monoclonal
Clone number: JE66-58
Form: Liquid
Storage condition: Shipped at 4℃. Store at +4℃ short term (1-2 weeks). It is recommended to aliquot into single-use upon delivery. Store at -20℃ long term.
Storage buffer: 1*TBS (pH7.4), 0.05% BSA, 40% Glycerol. Preservative: 0.05% Sodium Azide.
Concentration: 1ug/ul
Purification: Protein A affinity purified.
Molecular weight: Predicted band size: 13 kDa
Isotype: IgG
Immunogen: Synthetic peptide within Human Parathyroid Hormone aa 26-75 / 115.
Positive control: HEK-293 cell lysate, CAL-62 cell lysate, A549 cell lysate, Jurkat cell lysate, mouse thymus tissue lysate, rat thymus tissue lysate, human parathyroid tissue.
Subcellular location: Secreted.
Recommended Dilutions:
  WB
  IHC-P

1;1,000
1:100
Uniprot #: SwissProt: P01270 Human | P04089 Rat
Entrez Gene: 19226 Mouse
Alternative names: hPTH Parathormone Parathyrin Parathyroid hormone 1 Parathyroid hormone Prepro PTH Preproparathyroid hormone PTH PTH1 PTH1 receptor PTH1R PTHR PTHR1 PTHY_HUMAN
Images
HA722059_1.jpg Fig1: Western blot analysis of Parathyroid Hormone on different lysates with Rabbit anti-Parathyroid Hormone antibody (HA722059) at 1/1,000 dilution.

Lane 1: HEK-293 cell lysate (20 µg/Lane)
Lane 2: CAL-62 cell lysate (20 µg/Lane)
Lane 3: A549 cell lysate (20 µg/Lane)
Lane 4: Jurkat cell lysate (20 µg/Lane)
Lane 5: Mouse thymus tissue lysate (40 µg/Lane)
Lane 6: Rat thymus tissue lysate (40 µg/Lane)

Predicted band size: 13 kDa
Observed band size: 16 kDa

Exposure time: 3 minutes;

4-20% SDS-PAGE gel.

Proteins were transferred to a PVDF membrane and blocked with 5% NFDM/TBST for 1 hour at room temperature. The primary antibody (HA722059) at 1/1,000 dilution was used in 5% NFDM/TBST at 4℃ overnight. Goat Anti-Rabbit IgG - HRP Secondary Antibody (HA1001) at 1/50,000 dilution was used for 1 hour at room temperature.
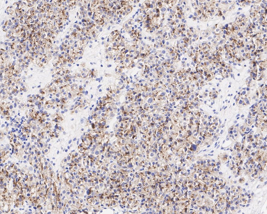
HA722059_2.jpg Fig2: Immunohistochemical analysis of paraffin-embedded human parathyroid tissue with Rabbit anti-Parathyroid Hormone antibody (HA722059) at 1/100 dilution.

The section was pre-treated using heat mediated antigen retrieval with Tris-EDTA buffer (pH 9.0) for 20 minutes. The tissues were blocked in 1% BSA for 20 minutes at room temperature, washed with ddH2O and PBS, and then probed with the primary antibody (HA722059) at 1/100 dilution for 1 hour at room temperature. The detection was performed using an HRP conjugated compact polymer system. DAB was used as the chromogen. Tissues were counterstained with hematoxylin and mounted with DPX.
Note: All products are “FOR RESEARCH USE ONLY AND ARE NOT INTENDED FOR DIAGNOSTIC OR THERAPEUTIC USE”.