Peroxiredoxin 5 Recombinant Rabbit Monoclonal Antibody [PSH03-90]
cat.: HA722061
Product Type: Recombinant Rabbit monoclonal IgG, primary antibodies
Species reactivity: Human, Mouse, Rat
Applications: WB, IHC-P, IF-Cell, FC, IP
Clonality: Monoclonal
Clone number: PSH03-90
Form: Liquid
Storage condition: Shipped at 4℃. Store at +4℃ short term (1-2 weeks). It is recommended to aliquot into single-use upon delivery. Store at -20℃ long term.
Storage buffer: PBS (pH7.4), 0.1% BSA, 40% Glycerol. Preservative: 0.05% Sodium Azide.
Concentration: 1ug/ul
Purification: Protein A affinity purified.
Molecular weight: Predicted band size: 22 kDa
Isotype: IgG
Immunogen: Recombinant protein within human Peroxiredoxin 5 aa 31-214 / 214.
Positive control: HeLa cell lysate, A549 cell lysate, MCF7 cell lysate, mouse liver tissue lysate, mouse kidney tissue lysate, rat liver tissue lysate, rat kidney tissue lysate, HepG2 cell lysate, Neuro-2a cell lysate, NIH/3T3 cell lysate, PC-12 cell lysate, C6 cell lysate, human kidney tissue, human liver tissue, mouse kidney tissue, mouse liver tissue, rat kidney tissue, rat liver tissue, HeLa, F9, PC-12, C6.
Subcellular location: Mitochondrion; Cytoplasm, Peroxisome matrix.
Recommended Dilutions:
  WB
  IHC-P
  IF-Cell
  FC
  IP

1:20,000-1:50,000
1:10,000
1:100
1:1,000
1-2μg/sample
Uniprot #: SwissProt: P30044 Human | P99029 Mouse | Q9R063 Rat
Alternative names: ACR1 Alu co repressor 1 Alu corepressor 1 Antioxidant enzyme B166 AOEB166 B166 epididymis secretory protein Li 55 HEL-S-55 Liver tissue 2D-page spot 71B mitochondrial Peroxiredoxin 5, mitochondrial Peroxiredoxin V Peroxiredoxin-5 Peroxisomal antioxidant enzyme PLP PMP20 PRDX 5 PRDX5 PRDX5_HUMAN PRDX6 Prx-V PRXV SBBI10 Thioredoxin peroxidase PMP20 Thioredoxin reductase TPx type VI
Images
HA722061_1.jpg Fig1: Western blot analysis of Peroxiredoxin 5 on different lysates with Rabbit anti-Peroxiredoxin 5 antibody (HA722061) at 1/50,000 dilution and competitor's antibody at 1/10,000 dilution.

Lane 1: HeLa cell lysate (10 µg/Lane)
Lane 2: A549 cell lysate (10 µg/Lane)
Lane 3: MCF7 cell lysate (10 µg/Lane)
Lane 4: Mouse liver tissue lysate (15 µg/Lane)
Lane 5: Mouse kidney tissue lysate (15 µg/Lane)
Lane 6: Rat liver tissue lysate (15 µg/Lane)
Lane 7: Rat kidney tissue lysate (15 µg/Lane)

Predicted band size: 22 kDa
Observed band size: 17 kDa

Exposure time: 10 seconds; ECL: K1801;
4-20% SDS-PAGE gel.

Proteins were transferred to a PVDF membrane and blocked with 5% NFDM/TBST for 1 hour at room temperature. The primary antibody (HA722061) at 1/50,000 dilution and competitor's antibody at 1/10,000 dilution were used in 5% NFDM/TBST at 4℃ overnight. Goat Anti-Rabbit IgG - HRP Secondary Antibody (HA1001) at 1/200,000 dilution was used for 1 hour at room temperature.
HA722061_2.jpg Fig2: Western blot analysis of Peroxiredoxin 5 on different lysates with Rabbit anti-Peroxiredoxin 5 antibody (HA722061) at 1/20,000 dilution.

Lane 1: HeLa cell lysate (10 µg/Lane)
Lane 2: HepG2 cell lysate (10 µg/Lane)
Lane 3: A549 cell lysate (10 µg/Lane)
Lane 4: MCF7 cell lysate (10 µg/Lane)

Predicted band size: 22 kDa
Observed band size: 17 kDa

Exposure time: 6 seconds; ECL: K1801;

4-20% SDS-PAGE gel.

Proteins were transferred to a PVDF membrane and blocked with 5% NFDM/TBST for 1 hour at room temperature. The primary antibody (HA722061) at 1/20,000 dilution was used in 5% NFDM/TBST at 4℃ overnight. Goat Anti-Rabbit IgG - HRP Secondary Antibody (HA1001) at 1/50,000 dilution was used for 1 hour at room temperature.
HA722061_3.jpg Fig3: Western blot analysis of Peroxiredoxin 5 on different lysates with Rabbit anti-Peroxiredoxin 5 antibody (HA722061) at 1/20,000 dilution.

Lane 1: Neuro-2a cell lysate
Lane 2: NIH/3T3 cell lysate
Lane 3: PC-12 cell lysate
Lane 4: C6 cell lysate

Lysates/proteins at 20 µg/Lane.

Predicted band size: 22 kDa
Observed band size: 17 kDa

Exposure time: 1 minute 40 seconds; ECL: K1801;

4-20% SDS-PAGE gel.

Proteins were transferred to a PVDF membrane and blocked with 5% NFDM/TBST for 1 hour at room temperature. The primary antibody (HA722061) at 1/20,000 dilution was used in 5% NFDM/TBST at 4℃ overnight. Goat Anti-Rabbit IgG - HRP Secondary Antibody (HA1001) at 1/50,000 dilution was used for 1 hour at room temperature.
HA722061_4.jpg Fig4: Immunocytochemistry analysis of HeLa cells labeling Peroxiredoxin 5 with Rabbit anti-Peroxiredoxin 5 antibody (HA722061) at 1/100 dilution.

Cells were fixed in 4% paraformaldehyde for 20 minutes at room temperature, permeabilized with 0.1% Triton X-100 in PBS for 5 minutes at room temperature, then blocked with 1% BSA in 10% negative goat serum for 1 hour at room temperature. Cells were then incubated with Rabbit anti-Peroxiredoxin 5 antibody (HA722061) at 1/100 dilution in 1% BSA in PBST overnight at 4 ℃. Goat Anti-Rabbit IgG H&L (iFluor™ 488, HA1121) was used as the secondary antibody at 1/1,000 dilution. PBS instead of the primary antibody was used as the secondary antibody only control. Nuclear DNA was labelled in blue with DAPI.

Beta tubulin (M1305-2, red) was stained at 1/100 dilution overnight at +4℃. Goat Anti-Mouse IgG H&L (iFluor™ 594, HA1126) was used as the secondary antibody at 1/1,000 dilution.
HA722061_5.jpg Fig5: Immunocytochemistry analysis of F9 cells labeling Peroxiredoxin 5 with Rabbit anti-Peroxiredoxin 5 antibody (HA722061) at 1/100 dilution.

Cells were fixed in 4% paraformaldehyde for 20 minutes at room temperature, permeabilized with 0.1% Triton X-100 in PBS for 5 minutes at room temperature, then blocked with 1% BSA in 10% negative goat serum for 1 hour at room temperature. Cells were then incubated with Rabbit anti-Peroxiredoxin 5 antibody (HA722061) at 1/100 dilution in 1% BSA in PBST overnight at 4 ℃. Goat Anti-Rabbit IgG H&L (iFluor™ 488, HA1121) was used as the secondary antibody at 1/1,000 dilution. PBS instead of the primary antibody was used as the secondary antibody only control. Nuclear DNA was labelled in blue with DAPI.

Beta tubulin (M1305-2, red) was stained at 1/100 dilution overnight at +4℃. Goat Anti-Mouse IgG H&L (iFluor™ 594, HA1126) was used as the secondary antibody at 1/1,000 dilution.
HA722061_6.jpg Fig6: Immunocytochemistry analysis of PC-12 cells labeling Peroxiredoxin 5 with Rabbit anti-Peroxiredoxin 5 antibody (HA722061) at 1/100 dilution.

Cells were fixed in 4% paraformaldehyde for 20 minutes at room temperature, permeabilized with 0.1% Triton X-100 in PBS for 5 minutes at room temperature, then blocked with 1% BSA in 10% negative goat serum for 1 hour at room temperature. Cells were then incubated with Rabbit anti-Peroxiredoxin 5 antibody (HA722061) at 1/100 dilution in 1% BSA in PBST overnight at 4 ℃. Goat Anti-Rabbit IgG H&L (iFluor™ 488, HA1121) was used as the secondary antibody at 1/1,000 dilution. PBS instead of the primary antibody was used as the secondary antibody only control. Nuclear DNA was labelled in blue with DAPI.

Beta tubulin (M1305-2, red) was stained at 1/100 dilution overnight at +4℃. Goat Anti-Mouse IgG H&L (iFluor™ 594, HA1126) was used as the secondary antibody at 1/1,000 dilution.
HA722061_7.jpg Fig7: Immunohistochemical analysis of paraffin-embedded human kidney tissue with Rabbit anti-Peroxiredoxin 5 antibody (HA722061) at 1/10,000 dilution.

The section was pre-treated using heat mediated antigen retrieval with sodium citrate buffer (pH 6.0) for 2 minutes. The tissues were blocked in 1% BSA for 20 minutes at room temperature, washed with ddH2O and PBS, and then probed with the primary antibody (HA722061) at 1/10,000 dilution for 1 hour at room temperature. The detection was performed using an HRP conjugated compact polymer system. DAB was used as the chromogen. Tissues were counterstained with hematoxylin and mounted with DPX.
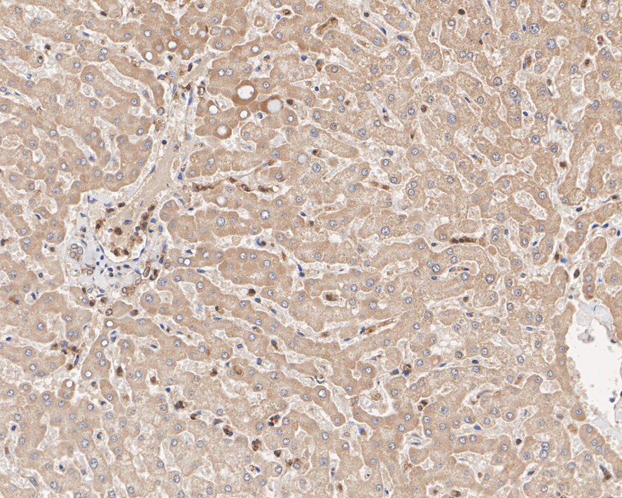
HA722061_8.jpg Fig8: Immunohistochemical analysis of paraffin-embedded human liver tissue with Rabbit anti-Peroxiredoxin 5 antibody (HA722061) at 1/10,000 dilution.

The section was pre-treated using heat mediated antigen retrieval with sodium citrate buffer (pH 6.0) for 2 minutes. The tissues were blocked in 1% BSA for 20 minutes at room temperature, washed with ddH2O and PBS, and then probed with the primary antibody (HA722061) at 1/10,000 dilution for 1 hour at room temperature. The detection was performed using an HRP conjugated compact polymer system. DAB was used as the chromogen. Tissues were counterstained with hematoxylin and mounted with DPX.
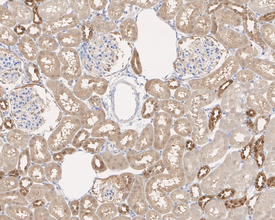
HA722061_9.jpg Fig9: Immunohistochemical analysis of paraffin-embedded mouse kidney tissue with Rabbit anti-Peroxiredoxin 5 antibody (HA722061) at 1/10,000 dilution.

The section was pre-treated using heat mediated antigen retrieval with sodium citrate buffer (pH 6.0) for 2 minutes. The tissues were blocked in 1% BSA for 20 minutes at room temperature, washed with ddH2O and PBS, and then probed with the primary antibody (HA722061) at 1/10,000 dilution for 1 hour at room temperature. The detection was performed using an HRP conjugated compact polymer system. DAB was used as the chromogen. Tissues were counterstained with hematoxylin and mounted with DPX.
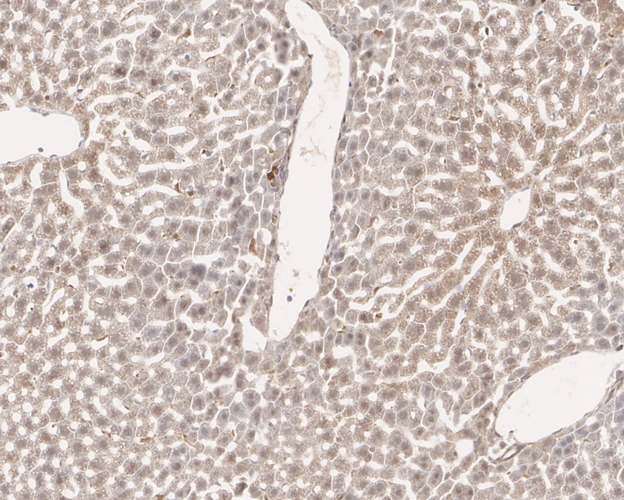
HA722061_10.jpg Fig10: Immunohistochemical analysis of paraffin-embedded mouse liver tissue with Rabbit anti-Peroxiredoxin 5 antibody (HA722061) at 1/10,000 dilution.

The section was pre-treated using heat mediated antigen retrieval with sodium citrate buffer (pH 6.0) for 2 minutes. The tissues were blocked in 1% BSA for 20 minutes at room temperature, washed with ddH2O and PBS, and then probed with the primary antibody (HA722061) at 1/10,000 dilution for 1 hour at room temperature. The detection was performed using an HRP conjugated compact polymer system. DAB was used as the chromogen. Tissues were counterstained with hematoxylin and mounted with DPX.
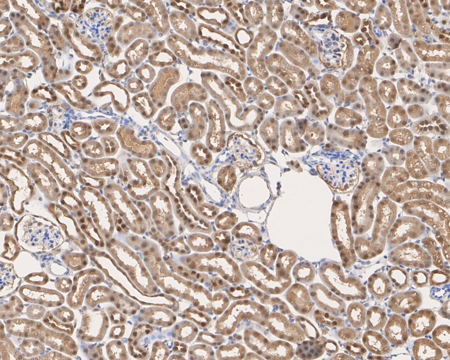
HA722061_11.jpg Fig11: Immunohistochemical analysis of paraffin-embedded rat kidney tissue with Rabbit anti-Peroxiredoxin 5 antibody (HA722061) at 1/10,000 dilution.

The section was pre-treated using heat mediated antigen retrieval with sodium citrate buffer (pH 6.0) for 2 minutes. The tissues were blocked in 1% BSA for 20 minutes at room temperature, washed with ddH2O and PBS, and then probed with the primary antibody (HA722061) at 1/10,000 dilution for 1 hour at room temperature. The detection was performed using an HRP conjugated compact polymer system. DAB was used as the chromogen. Tissues were counterstained with hematoxylin and mounted with DPX.
HA722061_12.jpg Fig12: Immunohistochemical analysis of paraffin-embedded rat liver tissue with Rabbit anti-Peroxiredoxin 5 antibody (HA722061) at 1/10,000 dilution.

The section was pre-treated using heat mediated antigen retrieval with sodium citrate buffer (pH 6.0) for 2 minutes. The tissues were blocked in 1% BSA for 20 minutes at room temperature, washed with ddH2O and PBS, and then probed with the primary antibody (HA722061) at 1/10,000 dilution for 1 hour at room temperature. The detection was performed using an HRP conjugated compact polymer system. DAB was used as the chromogen. Tissues were counterstained with hematoxylin and mounted with DPX.
HA722061_13.jpg Fig13: Flow cytometric analysis of HeLa cells labeling Peroxiredoxin 5.

Cells were fixed and permeabilized. Then stained with the primary antibody (HA722061, 1μg/mL) (red) compared with Rabbit IgG Isotype Control (green). After incubation of the primary antibody at +4℃ for an hour, the cells were stained with a iFluor™ 488 conjugate-Goat anti-Rabbit IgG Secondary antibody (HA1121) at 1/1,000 dilution for 30 minutes at +4℃. Unlabelled sample was used as a control (cells without incubation with primary antibody; black).
HA722061_14.jpg Fig14: Flow cytometric analysis of F9 cells labeling Peroxiredoxin 5.

Cells were fixed and permeabilized. Then stained with the primary antibody (HA722061, 1μg/mL) (red) compared with Rabbit IgG Isotype Control (green). After incubation of the primary antibody at +4℃ for an hour, the cells were stained with a iFluor™ 488 conjugate-Goat anti-Rabbit IgG Secondary antibody (HA1121) at 1/1,000 dilution for 30 minutes at +4℃. Unlabelled sample was used as a control (cells without incubation with primary antibody; black).
HA722061_15.jpg Fig15: Flow cytometric analysis of C6 cells labeling Peroxiredoxin 5.

Cells were fixed and permeabilized. Then stained with the primary antibody (HA722061, 1μg/mL) (green) compared with Rabbit IgG Isotype Control (red). After incubation of the primary antibody at +4℃ for an hour, the cells were stained with a iFluor™ 488 conjugate-Goat anti-Rabbit IgG Secondary antibody (HA1121) at 1/1,000 dilution for 30 minutes at +4℃. Unlabelled sample was used as a control (cells without incubation with primary antibody; black).
HA722061_16.jpg Fig16: Peroxiredoxin 5 was immunoprecipitated in 0.2mg HeLa cell lysate with HA722061 at 2 µg/25 µl agarose. Western blot was performed from the immunoprecipitate using HA722061 at 1/5,000 dilution. Anti-Rabbit IgG for IP Nano-secondary antibody (NBI01H) at 1/5,000 dilution was used for 1 hour at room temperature.

Lane 1: HeLa cell lysate (input)
Lane 2: HA722061 IP in HeLa cell lysate
Lane 3: Rabbit IgG instead of HA722061 in HeLa cell lysate

Blocking/Dilution buffer: 5% NFDM/TBST
Exposure time: 43 seconds; ECL: K1801
HA722061_17.jpg Fig17: Peroxiredoxin 5 was immunoprecipitated in 0.2mg PC-12 cell lysate with HA722061 at 2 µg/25 µl agarose. Western blot was performed from the immunoprecipitate using HA722061 at 1/5,000 dilution. Anti-Rabbit IgG for IP Nano-secondary antibody (NBI01H) at 1/5,000 dilution was used for 1 hour at room temperature.

Lane 1: PC-12 cell lysate (input)
Lane 2: HA722061 IP in PC-12 cell lysate
Lane 3: Rabbit IgG instead of HA722061 in PC-12 cell lysate

Blocking/Dilution buffer: 5% NFDM/TBST
Exposure time: 43 seconds; ECL: K1801
Note: All products are “FOR RESEARCH USE ONLY AND ARE NOT INTENDED FOR DIAGNOSTIC OR THERAPEUTIC USE”.