Cathepsin L Recombinant Rabbit Monoclonal Antibody [PSH03-92]
cat.: HA722064
Product Type: Recombinant Rabbit monoclonal IgG, primary antibodies
Species reactivity: Human, Mouse, Rat, Monkey
Applications: WB, IHC-P
Clonality: Monoclonal
Clone number: PSH03-92
Form: Liquid
Storage condition: Shipped at 4℃. Store at +4℃ short term (1-2 weeks). It is recommended to aliquot into single-use upon delivery. Store at -20℃ long term.
Storage buffer: PBS (pH7.4), 0.1% BSA, 40% Glycerol. Preservative: 0.05% Sodium Azide.
Concentration: 1ug/ul
Purification: Protein A affinity purified.
Molecular weight: Predicted band size: 38 kDa
Isotype: IgG
Immunogen: Recombinant protein within human Cathepsin L aa 84-333 / 333.
Positive control: A549 cell lysate, HepG2 cell lysate, HEK-293 cell lysate, MDA-MB-231 cell lysate, human kidney tissue lysate, human liver tissue lysate, NIH/3T3 cell lysate, PC-12 cell lysate, mouse kidney tissue lysate, rat kidney tissue lysate, mouse liver tissue lysate, rat liver tissue lysate, COS-1 cell lysate, human kidney tissue, mouse kidney tissue, rat kidney tissue.
Subcellular location: Lysosome, Apical cell membrane, Cytoplasmic vesicle, secretory vesicle, chromaffin granule, Secreted, extracellular space.
Recommended Dilutions:
  WB
  IHC-P

1:5,000
1:10,000
Uniprot #: SwissProt: P07711 Human | P06797 Mouse | P07154 Rat
Alternative names: Cathepsin L cathepsin L, 1 b Cathepsin L1 Cathepsin L1 light chain CathepsinL CATL CATL1_HUMAN cb15 CTSL CTSL1 ctsl1b FLJ31037 hgg1 Major excreted protein MEP MGC123162 wu:fb30g09
Images
HA722064_1.jpg Fig1: Western blot analysis of Cathepsin L on different lysates with Rabbit anti-Cathepsin L antibody (HA722064) at 1/5,000 dilution.

Lane 1: A549 cell lysate (15 µg/Lane)
Lane 2: HepG2 cell lysate (15 µg/Lane)
Lane 3: HEK-293 cell lysate (15 µg/Lane)
Lane 4: MDA-MB-231 cell lysate (15 µg/Lane)
Lane 5: Human kidney tissue lysate (30 µg/Lane)
Lane 6: Human liver tissue lysate (30 µg/Lane)
Lane 7: NIH/3T3 cell lysate (15 µg/Lane)
Lane 8: PC-12 cell lysate (15 µg/Lane)
Lane 9: Mouse kidney tissue lysate (30 µg/Lane)
Lane 10: Rat kidney tissue lysate (30 µg/Lane)
Lane 11: Mouse liver tissue lysate (30 µg/Lane)
Lane 12: Rat liver tissue lysate (30 µg/Lane)
Lane 13: COS-1 cell lysate (15 µg/Lane)

Predicted band size: 38 kDa
Observed band size: 20-45 kDa

Exposure time: 10 seconds;

4-20% SDS-PAGE gel.

Proteins were transferred to a PVDF membrane and blocked with 5% NFDM/TBST for 1 hour at room temperature. The primary antibody (HA722064) at 1/5,000 dilution was used in 5% NFDM/TBST at 4℃ overnight. Goat Anti-Rabbit IgG - HRP Secondary Antibody (HA1001) at 1/50,000 dilution was used for 1 hour at room temperature.
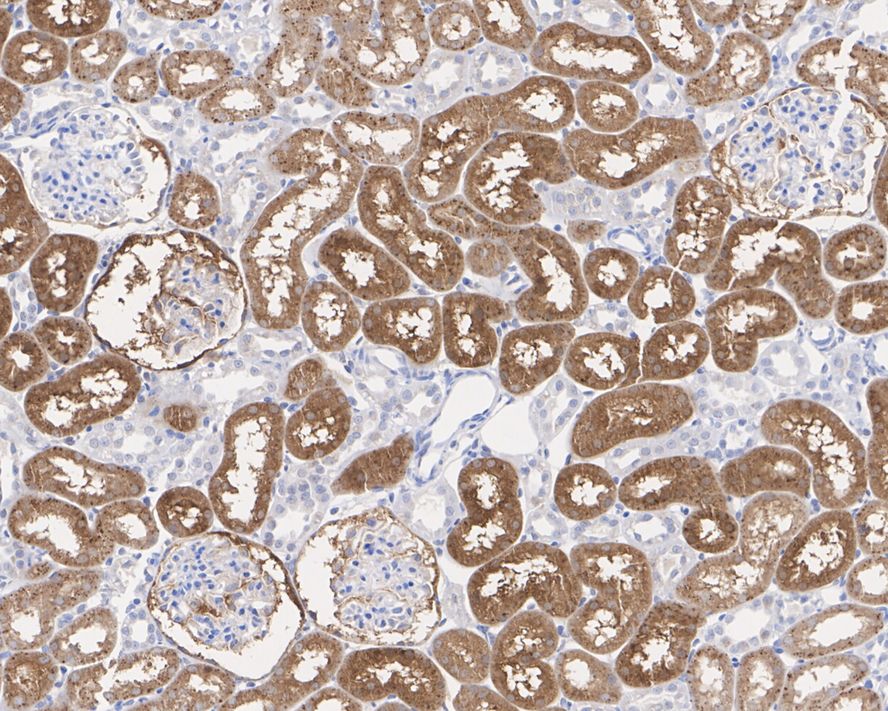
HA722064_2.jpg Fig2: Immunohistochemical analysis of paraffin-embedded human kidney tissue with Rabbit anti-Cathepsin L antibody (HA722064) at 1/10,000 dilution.

The section was pre-treated using heat mediated antigen retrieval with sodium citrate buffer (pH 6.0) for 2 minutes. The tissues were blocked in 1% BSA for 20 minutes at room temperature, washed with ddH2O and PBS, and then probed with the primary antibody (HA722064) at 1/1,000 dilution for 1 hour at room temperature. The detection was performed using an HRP conjugated compact polymer system. DAB was used as the chromogen. Tissues were counterstained with hematoxylin and mounted with DPX.
HA722064_3.jpg Fig3: Immunohistochemical analysis of paraffin-embedded mouse kidney tissue with Rabbit anti-Cathepsin L antibody (HA722064) at 1/10,000 dilution.

The section was pre-treated using heat mediated antigen retrieval with sodium citrate buffer (pH 6.0) for 2 minutes. The tissues were blocked in 1% BSA for 20 minutes at room temperature, washed with ddH2O and PBS, and then probed with the primary antibody (HA722064) at 1/1,000 dilution for 1 hour at room temperature. The detection was performed using an HRP conjugated compact polymer system. DAB was used as the chromogen. Tissues were counterstained with hematoxylin and mounted with DPX.
HA722064_4.jpg Fig4: Immunohistochemical analysis of paraffin-embedded rat kidney tissue with Rabbit anti-Cathepsin L antibody (HA722064) at 1/10,000 dilution.

The section was pre-treated using heat mediated antigen retrieval with sodium citrate buffer (pH 6.0) for 2 minutes. The tissues were blocked in 1% BSA for 20 minutes at room temperature, washed with ddH2O and PBS, and then probed with the primary antibody (HA722064) at 1/1,000 dilution for 1 hour at room temperature. The detection was performed using an HRP conjugated compact polymer system. DAB was used as the chromogen. Tissues were counterstained with hematoxylin and mounted with DPX.
HA722064_5.jpg Fig5: Western blot analysis of Cathepsin L on different lysates with Rabbit anti-Cathepsin L antibody (HA722064) at 1/5,000 dilution.

Lane 1: HCT 116-si NT cell lysate (10 µg/Lane)
Lane 2: HCT 116-si Cathepsin L cell lysate (10 µg/Lane)

Predicted band size: 38 kDa
Observed band size: 20 kDa

Exposure time: 10 seconds; ECL: K1801;

4-20% SDS-PAGE gel.

Proteins were transferred to a PVDF membrane and blocked with 5% NFDM/TBST for 1 hour at room temperature. The primary antibody (HA722064) at 1/5,000 dilution was used in 5% NFDM/TBST at 4℃ overnight. Goat Anti-Rabbit IgG - HRP Secondary Antibody (HA1001) at 1/50,000 dilution was used for 1 hour at room temperature.
Note: All products are “FOR RESEARCH USE ONLY AND ARE NOT INTENDED FOR DIAGNOSTIC OR THERAPEUTIC USE”.