p21 Recombinant Rabbit Monoclonal Antibody [PSH03-93]
cat.: HA722065
Product Type: Recombinant Rabbit monoclonal IgG, primary antibodies
Species reactivity: Mouse
Applications: WB, IF-Cell, IHC-P, FC, mIHC, IF-Tissue
Clonality: Monoclonal
Clone number: PSH03-93
Form: Liquid
Storage condition: Shipped at 4℃. Store at +4℃ short term (1-2 weeks). It is recommended to aliquot into single-use upon delivery. Store at -20℃ long term.
Storage buffer: PBS (pH7.4), 0.1% BSA, 40% Glycerol. Preservative: 0.05% Sodium Azide.
Concentration: 1ug/ul
Purification: Protein A affinity purified.
Molecular weight: Predicted band size: 18 kDa
Isotype: IgG
Immunogen: Recombinant protein within mouse p21
Positive control: NIH/3T3 cell lysate, RAW264.7 cell lysate, RAW264.7, mouse testis tissue.
Subcellular location: Cytoplasm, Nucleus.
Recommended Dilutions:
  WB
  IF-Cell
  IHC-P
  FC
  mIHC
  IF-Tissue

1:1,000
1:100
1:200
1:1,000
1:100
1:200
Uniprot #: SwissProt: P39689 Mouse
Alternative names: CAP20 CDK-interacting protein 1 CDKI CDKN1 Cdkn1a CDN1A_HUMAN CIP1 Cyclin Dependent Kinase Inhibitor 1A Cyclin-dependent kinase inhibitor 1 Cyclin-dependent kinase inhibitor 1A (P21) Cyclin-dependent kinase inhibitor 1A (p21, Cip1) DNA Synthesis Inhibitor MDA-6 MDA6 Melanoma differentiation-associated protein 6 Melanoma differentiation-associated protein p21 P21 protein p21CIP1 p21Cip1/Waf1 p21WAF PIC1 SDI1 SLC12A9 WAF1 Wild type p53 activated fragment 1 (WAF1) Wild type p53 activated fragment 1 Wildtype p53-activated fragment 1
Images
HA722065_1.jpg Fig1: Western blot analysis of p21 on different lysates with Rabbit anti-p21 antibody (HA722065) at 1/1,000 dilution.

Lane 1: NIH/3T3 cell lysate
Lane 2: RAW264.7 cell lysate

Lysates/proteins at 30 µg/Lane.

Predicted band size: 18 kDa
Observed band size: 21 kDa

Exposure time: Lane 1: 1 minute; Lane 2: 9 seconds;

4-20% SDS-PAGE gel.

Proteins were transferred to a PVDF membrane and blocked with 5% NFDM/TBST for 1 hour at room temperature. The primary antibody (HA722065) at 1/1,000 dilution was used in 5% NFDM/TBST at 4℃ overnight. Goat Anti-Rabbit IgG - HRP Secondary Antibody (HA1001) at 1/50,000 dilution was used for 1 hour at room temperature.
HA722065_2.jpg Fig2: Immunocytochemistry analysis of RAW264.7 cells labeling p21 with Rabbit anti-p21 antibody (HA722065) at 1/100 dilution.

Cells were fixed in 4% paraformaldehyde for 20 minutes at room temperature, permeabilized with 0.1% Triton X-100 in PBS for 5 minutes at room temperature, then blocked with 1% BSA in 10% negative goat serum for 1 hour at room temperature. Cells were then incubated with Rabbit anti-p21 antibody (HA722065) at 1/100 dilution in 1% BSA in PBST overnight at 4 ℃. Goat Anti-Rabbit IgG H&L (iFluor™ 488, HA1121) was used as the secondary antibody at 1/1,000 dilution. PBS instead of the primary antibody was used as the secondary antibody only control. Nuclear DNA was labelled in blue with DAPI.

Beta tubulin (M1305-2, red) was stained at 1/100 dilution overnight at +4℃. Goat Anti-Mouse IgG H&L (iFluor™ 594, HA1126) was used as the secondary antibody at 1/1,000 dilution.
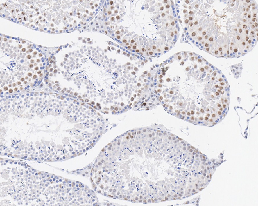
HA722065_3.jpg Fig3: Immunohistochemical analysis of paraffin-embedded mouse testis tissue with Rabbit anti-p21 antibody (HA722065) at 1/200 dilution.

The section was pre-treated using heat mediated antigen retrieval with sodium citrate buffer (pH 6.0) (high pressure) for 2 minutes. The tissues were blocked in 1% BSA for 20 minutes at room temperature, washed with ddH2O and PBS, and then probed with the primary antibody (HA722065) at 1/200 dilution for 1 hour at room temperature. The detection was performed using an HRP conjugated compact polymer system. DAB was used as the chromogen. Tissues were counterstained with hematoxylin and mounted with DPX.
HA722065_4.jpg Fig4: Flow cytometric analysis of RAW264.7 cells labeling p21.

Cells were fixed and permeabilized. Then stained with the primary antibody (HA722065, 1μg/mL) (red) compared with Rabbit IgG Isotype Control (green). After incubation of the primary antibody at +4℃ for an hour, the cells were stained with a iFluor™ 488 conjugate-Goat anti-Rabbit IgG Secondary antibody (HA1121) at 1/1,000 dilution for 30 minutes at +4℃. Unlabelled sample was used as a control (cells without incubation with primary antibody; black).
HA722065_5.jpg Fig5: Application: Immunofluorescence (IF-tissue)

Species: Mouse
Tissue: Testis
Sample: Paraffin-embedded section

Antigen retrieval: Heat-mediated, Tris-EDTA buffer (pH 9.0), 20 minutes at 95℃.

Wash buffer: 1× PBS
Endogenous peroxidase blocking: 3% H₂O₂, 10 minutes.
Blocking: 1% BSA + 10% normal goat serum, 10 minutes at room temperature.
Primary antibody: HA722065, 1/200, overnight at 4℃.
Secondary antibody: Goat Anti-Rabbit IgG (iFluor™ 488, HA1121), 1.5 hours at room temperature.
Note: All products are “FOR RESEARCH USE ONLY AND ARE NOT INTENDED FOR DIAGNOSTIC OR THERAPEUTIC USE”.